SOX1 Recombinant Monoclonal Antibody

Code CSB-RA449123A0HU
Size US$210
Order now
Image
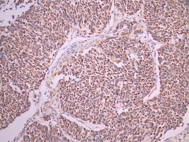
  • IHC image of CSB-RA449123A0HU diluted at 1:100 and staining in paraffin-embedded human lung cancer performed on a Leica BondTM system. After dewaxing and hydration, antigen retrieval was mediated by high pressure in a citrate buffer (pH 6.0). Section was blocked with 10% normal goat serum 30min at RT. Then primary antibody (1% BSA) was incubated at 4°C overnight. The primary is detected by a Goat anti-rabbit polymer IgG labeled by HRP and visualized using 0.05% DAB.
  • Overlay Peak curve showing A549 cells stained with CSB-RA449123A0HU (red line) at 1:100. The cells were fixed in 4% formaldehyde and permeated by 0.2% TritonX-100 for 10min. Then 10% normal goat serum to block non-specific protein-protein interactions followed by the antibody (1ug/1*106cells) for 45min at 4℃. The secondary antibody used was FITC-conjugated goat anti-rabbit IgG (H+L) at 1/200 dilution for 35min at 4℃.Control antibody (green line) was Rabbit IgG (1ug/1*106cells) used under the same conditions. Acquisition of >10, 000 events was performed.
Have Questions? Leave a Message or Start an on-line Chat

Product Details

Uniprot No.
Target Names
Alternative Names
Sex determining region Y box 1 antibody; sox1 antibody; SOX1_HUMAN antibody; SRY antibody; SRY box containing gene 1 antibody; SRY related HMG box gene 1 antibody; Transcription factor Sox-1 antibody
Species Reactivity
Human
Immunogen
A synthesized peptide from human SOX1 protein
Immunogen Species
Homo sapiens (Human)
Conjugate
Non-conjugated
Clonality
Monoclonal
Isotype
Rabbit IgG
Clone No.
7B7
Purification Method
Affinity-chromatography
Concentration
It differs from different batches. Please contact us to confirm it.
Buffer
Rabbit IgG in 10mM phosphate buffered saline , pH 7.4, 150mM sodium chloride, 0.05% BSA, 0.02% sodium azide and 50% glycerol.
Form
Liquid
Tested Applications
ELISA, IHC, FC
Recommended Dilution
Application Recommended Dilution
IHC 1:50-1:200
FC 1:50-1:200
Troubleshooting and FAQs
Storage
Upon receipt, store at -20°C or -80°C. Avoid repeated freeze.
Lead Time
Basically, we can dispatch the products out in 1-3 working days after receiving your orders. Delivery time maybe differs from different purchasing way or location, please kindly consult your local distributors for specific delivery time.
Usage
For Research Use Only. Not for use in diagnostic or therapeutic procedures.

Customer Reviews and Q&A

 Customer Reviews

There are currently no reviews for this product.

Submit a Review here

Target Background

Function
Transcriptional activator. May function as a switch in neuronal development. Keeps neural cells undifferentiated by counteracting the activity of proneural proteins and suppresses neuronal differentiation.
Gene References into Functions
  1. SOX1 overlapping transcript was found to be highly expressed in differentiated neural stem cells across different time points of differentiation, and its expression correlated with SOX1 gene expression. PMID: 28674729
  2. The sensitivity was found to be 62% and 83% for DAPK1 and SOX1, respectively, when analyzed separately in the singleplex assay, but increased to 90% in the multiplex assay when either or both of the SOX1 and the DAPK1 gene promoters showed methylation. PMID: 27452040
  3. Taken together, these data suggest that SOX1 can function as a tumor suppressor partly by interfering with Wnt/beta-catenin signaling in breast cancer. PMID: 27206213
  4. the under-expression of SOX1 was associated significantly with SALL4 overexpression. This study was the first to evaluate SOX1 underexpression and its association with poor prognosis in esophageal squamous cell carcinoma. PMID: 27576349
  5. The results of the SRY gene amplification of plasma DNA from pregnant women was the same as that of the amniocyte DNA PMID: 26782455
  6. The analysis identified a signaling axis between FGF signaling and the transcription factor Sox1, which is preferentially expressed in stem- and mesenchymal-like breast cancers. PMID: 26365194
  7. downregulation of SOX-1 was correlated with poor prognosis and tumor development in hepatocellular carcinoma. PMID: 26191244
  8. SOX 1 suppressed cell growth and invasion in Tu212 cells by inhibiting Wnt pathway, and the anti-tumor effect of SOX 1 could be weakened by SOX 2, which may be a potential molecular basis for clinical treatment of laryngeal squamous cell carcinoma . PMID: 26040764
  9. Our results suggest that SOX1 is epigenetically silenced in the majority of NSCLC and restoration of SOX1 inhibited cell migration by regulating actin cytoskeletal remodeling in NSCLC. PMID: 25613070
  10. SOX1 decreases the expression of beta-catenin in a proteasome-independent manner. PMID: 25427424
  11. PAX1 and SOX1 DNA methylation correlate with a cervical intraepithelial neoplasia diagnosis. PMID: 24799352
  12. we successfully established a three-step inducing protocol to derive Neural stem cells from adipose-derived mesenchymal stem cells with high purity by Sox1 activation PMID: 24138016
  13. The methylation index of SOX1 recovered from scrapings of uterine cervix adenocarcinomas is significantly higher than in normal controls. PMID: 24407576
  14. Taken together, these data suggest that SOX1 can function as a tumor suppressor partly by interfering with Wnt/beta-catenin signaling in cervical cancer. PMID: 23927962
  15. Inactivation of SOX1 gene is associated with cisplatin resistance in human non-small cell lung cancer cell. PMID: 23994634
  16. Concomitant epigenetic silencing of SOX1 and SFRPs through promoter hypermethylation is frequent in hepatocellular carcinoma, and this might contribute to abnormal activation of canonical Wnt signal pathway. PMID: 23215838
  17. The level and timing of SOX1 expression affects neural induction as well as neural lineage. PMID: 22860217
  18. These findings suggest that SOX1 might function as an important tumor suppressor during the development of hepatocellular carcinoma. PMID: 22767186
  19. SOX1 antibodies are a specific marker for SCLC-LEMS but they are also found in SCLC patients without paraneoplastic neurological syndromes PMID: 23278580
  20. Transgenic interneuron diversification in the p2 domain is more complex than previously thought and directly implicates Sox1 in this process. PMID: 20844123
  21. Supratentorial PNETs expressed significantly higher levels of SOX2, NOTCH1, ID1, and ASCL-1 transcripts. PMID: 20515335
  22. Sox1 works through multiple independent pathways to promote neuronal cell fate determination and differentiation. PMID: 15110721
  23. The detection of SOX1 antibodies in patients with Lambert-Eaton myasthenic syndrome (LEMS) predicts the presence of small cell lung cancer and may be used to follow more closely those LEMS patients with no evidence of cancer at the initial workup. PMID: 18032743
  24. expression of Sox1, Sox2 and Sox9 was detected at the mRNA level in both foetal and adult cerebellum samples; Sox1, Sox2 and Sox9 expression was detected in the Purkinje cell layer of the adult cerebellum PMID: 19061938
  25. Data show that SOX antibodies have diagnostic value in discriminating SCLC-LEMS from nontumor LEMS, but have no relation to survival in patients with SCLC. PMID: 19667272
  26. A similar protein directly regulates the gamma-crystallin genes and is essential for lens development in mice. PMID: 9512512

Show More

Hide All

Subcellular Location
Nucleus.
Tissue Specificity
Mainly expressed in the developing central nervous system.
Database Links

HGNC: 11189

OMIM: 602148

KEGG: hsa:6656

STRING: 9606.ENSP00000330218

UniGene: Hs.202526

icon of phone
Call us
301-363-4651 (Available 9 a.m. to 5 p.m. CST from Monday to Friday)
icon of address
Address
7505 Fannin St., Ste 610, Room 7 (CUBIO Innovation Center), Houston, TX 77054, USA
icon of social media
Join us with

Subscribe newsletter

Leave a message

* To protect against spam, please pass the CAPTCHA test below.
CAPTCHA verification
© 2007-2025 CUSABIO TECHNOLOGY LLC All rights reserved. 鄂ICP备15011166号-1
×
Place an order now

I. Product details

*
*
*
*

II. Contact details

*
*

III. Ship To

*
*
*
*
*
*
*

IV. Bill To

*
*
*
*
*
*
*
*