SP1 Recombinant Monoclonal Antibody

Code CSB-RA236224A0HU
Size US$210
Order now
Image
  • Western Blot
    Positive WB detected in: Jurkat whole cell lysate(30µg), COLO205 whole cell lysate(30µg), MCF7 whole cell lysate(30µg), HEK293 whole cell lysate(30µg), A431 whole cell lysate(30µg)
    All lanes: SP1 antibody at 1:1000
    Secondary
    Goat polyclonal to rabbit IgG at 1/40000 dilution
    Predicted band size: 81 kDa
    Observed band size: 110 kDa
    Exposure time:2min
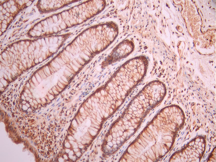
  • IHC image of CSB-RA236224A0HU diluted at 1:100 and staining in paraffin-embedded human small intestine tissue performed on a Leica BondTM system. After dewaxing and hydration, antigen retrieval was mediated by high pressure in a citrate buffer (pH 6.0). Section was blocked with 10% normal goat serum 30min at RT. Then primary antibody (1% BSA) was incubated at 4°C overnight. The primary is detected by a Goat anti-rabbit polymer IgG labeled by HRP and visualized using 0.05% DAB.
  • IHC image of CSB-RA236224A0HU diluted at 1:100 and staining in paraffin-embedded human colorectal cancer performed on a Leica BondTM system. After dewaxing and hydration, antigen retrieval was mediated by high pressure in a citrate buffer (pH 6.0). Section was blocked with 10% normal goat serum 30min at RT. Then primary antibody (1% BSA) was incubated at 4°C overnight. The primary is detected by a Goat anti-rabbit polymer IgG labeled by HRP and visualized using 0.05% DAB.
  • Immunofluorescence staining of A549 cell with CSB-RA236224A0HU at 1:50 , counter-stained with DAPI. The cells were fixed in 4% formaldehyde, permeabilized using 0.2% Triton X-100 and blocked in 10% normal Goat Serum. The cells were then incubated with the antibody overnight at 4°C. The secondary antibody was Alexa Fluor 488-congugated AffiniPure Goat Anti-Rabbit IgG(H+L).
  • Overlay Peak curve showing Hela cells stained with CSB-RA236224A0HU (red line) at 1:100. The cells were fixed in 4% formaldehyde and permeated by 0.2% TritonX-100 for 10min. Then 10% normal goat serum to block non-specific protein-protein interactions followed by the antibody (1ug/1*106cells) for 45min at 4℃. The secondary antibody used was FITC-conjugated goat anti-rabbit IgG (H+L) at 1/200 dilution for 35min at 4℃.Control antibody (green line) was Rabbit IgG (1ug/1*106cells) used under the same conditions. Acquisition of >10, 000 events was performed.
Have Questions? Leave a Message or Start an on-line Chat

Product Details

Uniprot No.
Target Names
Alternative Names
SP 1 antibody; SP1 antibody; Sp1 transcription factor antibody; SP1_HUMAN antibody; Specificity protein 1 antibody; Transcription factor Sp1 antibody; TSFP 1 antibody; TSFP1 antibody
Species Reactivity
Human
Immunogen
A synthesized peptide from human SP1 protein
Immunogen Species
Homo sapiens (Human)
Conjugate
Non-conjugated
Clonality
Monoclonal
Isotype
Rabbit IgG
Clone No.
6H12
Purification Method
Affinity-chromatography
Concentration
It differs from different batches. Please contact us to confirm it.
Buffer
Rabbit IgG in 10mM phosphate buffered saline , pH 7.4, 150mM sodium chloride, 0.05% BSA, 0.02% sodium azide and 50% glycerol.
Form
Liquid
Tested Applications
ELISA, WB, IHC, IF, FC
Recommended Dilution
Application Recommended Dilution
WB 1:500-1:5000
IHC 1:50-1:200
IF 1:50-1:200
FC 1:50-1:200
Troubleshooting and FAQs
Storage
Upon receipt, store at -20°C or -80°C. Avoid repeated freeze.
Lead Time
Basically, we can dispatch the products out in 1-3 working days after receiving your orders. Delivery time maybe differs from different purchasing way or location, please kindly consult your local distributors for specific delivery time.
Usage
For Research Use Only. Not for use in diagnostic or therapeutic procedures.

Customer Reviews and Q&A

 Customer Reviews

There are currently no reviews for this product.

Submit a Review here

Target Background

Function
Transcription factor that can activate or repress transcription in response to physiological and pathological stimuli. Binds with high affinity to GC-rich motifs and regulates the expression of a large number of genes involved in a variety of processes such as cell growth, apoptosis, differentiation and immune responses. Highly regulated by post-translational modifications (phosphorylations, sumoylation, proteolytic cleavage, glycosylation and acetylation). Binds also the PDGFR-alpha G-box promoter. May have a role in modulating the cellular response to DNA damage. Implicated in chromatin remodeling. Plays an essential role in the regulation of FE65 gene expression. In complex with ATF7IP, maintains telomerase activity in cancer cells by inducing TERT and TERC gene expression. Isoform 3 is a stronger activator of transcription than isoform 1. Positively regulates the transcription of the core clock component ARNTL/BMAL1. Plays a role in the recruitment of SMARCA4/BRG1 on the c-FOS promoter. Plays a role in protecting cells against oxidative stress following brain injury by regulating the expression of RNF112.
Gene References into Functions
  1. in this study we characterized TINCR overexpression regulated by SP1 transcription factor. High level of TINCR in turn competed with miR-7, and stabilized and promoted KLF4 expression, which consequently contributed to the oncogenic activity of TINCR. PMID: 29614984
  2. inhibition of Sp1, as well as induction of ER stress, leads to lysosomal membrane permeabilization (LMP), a sustained accumulation of cytosolic calcium, and eventually cell death in pancreatic cancer. PMID: 28484232
  3. Long non-coding RNA FTH1P3 regulates invasive/metastatic potential of esophageal squamous cell carcinoma via SP1/NF-kB pathway. PMID: 30119232
  4. These results suggested that KIAA0101 knockdown suppressed the cell proliferation and cell cycle progression by promoting the formation of p53/Sp1 complex in breast cancer. PMID: 29902451
  5. Our findings suggested that ZBP-89 and Sp1 overexpression induced Bak expression in a genetic manner. Increased Bak level was associated with poor patient survival, whereas high level of Sp1 is a beneficial factor for patient survival. PMID: 29653560
  6. Thus, these results demonstrate the presence of two new functional Sp1 binding sites in the HTLV-1 Long Terminal Repeat, which act as negative cis-regulatory elements of sense viral transcription. PMID: 28256531
  7. the results of the present study demonstrated that miR199a3p can inhibit LDHA expression by downregulating Sp1, and provided mechanistic evidence supporting the existence of a novel miR199a3p/Sp1/LDHA axis and its critical contribution to aerobic glycolysis in testicular cancer cells. PMID: 30015851
  8. The results demonstrate a direct relationship between SP1 binding and protein kinase CbetaII (PKCbetaII) transcription, and further suggest that this transcription factor is a contributor to the pathobiology of chronic lymphocytic leukaemia and potentially other malignant cells where PKCbetaII is overexpressed. PMID: 28233872
  9. Data indicate that improved Sp1 transcription factor (Sp1) and betaine homocysteine-S-methyltransferase (BHMT) expression are involved in the effects of zinc on oxidative stress. PMID: 29204947
  10. AGAP2-AS1 was upregulated and transcriptionally induced by SP1 in breast cancer..ChIP assays showed that AGAP2-AS1-bound CBP increased the enrichment of H3K27ac at the promoter region of MyD88, thus resulting in the upregulation of MyD88. Gain- and loss-of-function assays confirmed that the NF-kappaB pathway was activated by MyD88 and AGAP2-AS1 PMID: 30157918
  11. The interaction of AR and SP1 contributes to regulate EPHA3 expression. PMID: 29917167
  12. These results indicated that miR-296 may act as a tumor suppressor in cervical cancer by directly targeting SP1 PMID: 29241478
  13. The mechanism of prostaglandin E2-induced transcriptional up-regulation of Oncostatin-M by CREB and Sp1 has been described. PMID: 29269396
  14. Results indicated that SP1dependent promoter elements drive FoxO3a gene transcription in colorectal cancer (CRC), and indicated that SP1 upregulated FoxO3a is critical for CRC progression. PMID: 29565456
  15. Sp1 constitutively regulates the basal expression of the COMMD1 gene in human epithelial cell lines. PMID: 29336469
  16. In the present study, specificity protein 1 (SP1) was demonstrated to be a direct target of miR-376a. PMID: 29257212
  17. Results demonstrated that the upregulation of SP1 enhanced expression of VEGF promoting the angiogenesis and migration of trastuzumab-resistant ovarian cancer cell line SKOV3-T. PMID: 29048687
  18. Data suggest that MIR129 or MIR335 overexpression in keratinocytes inhibits MMP9 promoter activity and protein expression by targeting SP1; inhibition of these microRNAs has the opposite effect. These mechanisms may be involved in regulation of wound healing. (MIR = microRNA; MMP9 = matrix metalloproteinase-9; SP1 = transcription factor-SP1) PMID: 29748291
  19. The possible involvement of the GC box 1 at position - 54 in transcriptional regulation of Rbpms was corroborated by EMSA, which showed formation of a DNA-protein complex in the presence of the oligonucleotide corresponding to this Sp1-binding site. PMID: 29423656
  20. Our results suggested that BetA was able to enhance radiosensitization at least partially by downregulating Sp1 and upregulating PTEN through inducing Sp1 sumoylation. BetA is suggested to be a promising drug for increasing radiosensitization in oral squamous cell carcinoma radiotherapy. PMID: 28791404
  21. Mutation of two Sp1 motifs strongly reduced trans-activation of the late UF1 promoter by HPyV9 large T-antigen in HeLa cells. PMID: 29135936
  22. RhoGDIbeta overexpression led to downregulation of miR-200c, whereas miR-200c was able directly to target 3'-UTR of jnk2mRNA and attenuated JNK2 protein translation, which resulted in attenuation of Sp1mRNA and protein expression in turn, inhibiting Sp1-dependent MMP-2 transcription. PMID: 28846829
  23. Results show that C-terminal domain of SP1 interacts malat1 M5 domain which regulates its expression and stability. In turn, SP1 promotes malat1 transcription, thus forming a positive feedback loop in lung adenocarcinoma cells. PMID: 29575609
  24. Study demonstrated that Sp1 upregulation is common in castration-resistant prostate cancer (CRPC) tissues. Its knockdown significantly inhibited cell growth, aerobic glycolysis, and hypoxia-induced autophagy, which were accompanied by an increased G1 cell cycle arrest. These results provided evidence that Sp1 is an oncogene and positively regulates PKM2 in CRPC. PMID: 29094170
  25. The induced expression of RIP3 by UHRF1 RNAi depends on the presence of Sp1. Remarkably, the ectopic expression of RIP3 in RIP3-null cancer cells results in a decrease in tumor growth in mice. Therefore, our findings offer insights into RIP3 expression control in cancer cells and suggest an inhibitory effect of RIP3 on tumorigenesis. PMID: 28981102
  26. Licochalcone A showed the anti-proliferative and apoptotic effect in breast cancer cells through regulating Sp1 and apoptosis-related proteins in a dose- and a time-dependent manner. PMID: 28498645
  27. Results show that SP1 transactivation is prevented by KIBRA promoter methylation in clear cell renal cell carcinoma. PMID: 29046731
  28. Sp1 induces leptin expression in cooperation with estradiol action through estrogen receptor alpha PMID: 28864005
  29. Data suggest that among 11 NF-kappa B (NF-kappaB) pathway genes, SP1 transcription factor (SP1) expression could serve as a prognostic marker in patients. PMID: 27545642
  30. Results provide first findings for the SP1-related transcriptional regulation of ADAMTS3 and collagen genes in osteosarcoma cell lines. PMID: 29518549
  31. Taken together, these data clearly show that FKBP3/Sp1/HDAC2/p27 control cell proliferation during non-small cell lung cancer development. PMID: 28839465
  32. Results indicated that miR3633p is a tumor suppressor in HCC and functions through a mechanism involving SP1. PMID: 28627662
  33. NFATc2 and Sp1 are co-localized in cell nuclei and physically interact at the NFAT target sequence termed NFAT-responsive promotor construct. Sp1 increases the functional activity of its binding partner NFATc2. PMID: 28774282
  34. The protein level of transcription factor Sp1 was decreased. PMID: 28713892
  35. Study demonstrates that downregulation of Sp1 suppresses the malignant properties of A549 cells through the decreased beta4-galactosylation of highly branched N-glycans. PMID: 28529241
  36. The Sp1-mediaded allelic regulation of MMP13 expression by an esophageal squamous cell carcinoma susceptibility SNP rs2252070 has been demonstrated. PMID: 27245877
  37. Methylated +322-327 CpG site in the hOGG1 5'-UTR is associated with reduced expression of hOGG1 by decreasing the recruitment of Sp1 to the 5'-UTR of hOGG1 in A549 cells. PMID: 28586012
  38. that miR-22 and Sp1 form a double-negative feedback loop and consequently activation of PTEN, leading to a decline of p-AKT which influences the biological features of cells PMID: 28422727
  39. SP1 is an important component of the transcriptional complex and LGR5 activity, which is modulated by its ligands RSPO1 and RSPO2, whose expression is modulated by methylation in gastrric carcinogenesis. PMID: 28219935
  40. we proposed a model to link FXR to Sp1, which included triggered FXR, p38/MAPK and/or PI3K/AKT signaling and phosphorylated Sp1, to illustrate the potential crosstalk between the two factors. PMID: 28402278
  41. Results found that Sp1 could activate miR-205 expression by binding to its promoter region in response to ionizing radiation in esophageal squamous cell carcinoma. PMID: 27974696
  42. miR-29c suppressed MGMT expression indirectly via targeting specificity protein 1 PMID: 27384876
  43. miR-29c overexpression could abrogate the tumor progression and inhibit the Sp1/TGF-beta expressions in vivo, indicating that miR-29c could be a tumor suppressor and repress the Sp1/TGF-beta axis-induced EMT in lung cancer. PMID: 27829234
  44. Simultaneous high expression of PLD1 and Sp1 predicts a poor prognosis for pancreatic ductal adenocarcinoma patients. PMID: 27713167
  45. Specificity protein 1 (Sp1) orchestrates the transcription of both VEGF and VEGFR2; hence, Sp1 could act as a therapeutic target. Here, we demonstrate that CF3DODA-Me induced apoptosis, degraded Sp1, inhibited the expression of multiple drivers of the blebbishield emergency program such as VEGFR2, p70S6K, and N-Myc through activation of caspase-3, inhibited reactive oxygen species; and inhibited K-Ras activation to abolis PMID: 28283889
  46. MBD1 may be a tumor suppressor gene in advanced colorectal cancer (CRC)and affect the development and metastasis of CRC by regulating 8 tumor suppressor genes through binding with SP1. PMID: 28473981
  47. our results demonstrate that Sp1 positively regulates the basal transcription of FGF21 in the liver and adipose tissue and contributes to the obesity-induced FGF21 upregulation in mouse adipose tissue and hepatic FGF21 upregulation in hepatocarcinogenesis. PMID: 28466020
  48. The variant lies in a novel binding-site for the transcription factor Sp1, known to be involved in the regulation of ENG and ACVRL1 transcription. PMID: 29305977
  49. The results suggest that PLY inhibits osteoblast differentiation by downregulation of Sp1 accompanied by induction of autophagy through ROS-mediated regulation of the AMPK/mTOR pathway. PMID: 28713020
  50. these findings demonstrate that p53 can repress MCAK promoter activity indirectly via down-regulation of Sp1 expression level, and suggest that MCAK elevation in human tumor cells might be due to p53 mutation PMID: 29244835

Show More

Hide All

Subcellular Location
Nucleus. Cytoplasm. Note=Nuclear location is governed by glycosylated/phosphorylated states. Insulin promotes nuclear location, while glucagon favors cytoplasmic location.
Protein Families
Sp1 C2H2-type zinc-finger protein family
Tissue Specificity
Up-regulated in adenocarcinomas of the stomach (at protein level). Isoform 3 is ubiquitously expressed at low levels.
Database Links

HGNC: 11205

OMIM: 189906

KEGG: hsa:6667

STRING: 9606.ENSP00000329357

UniGene: Hs.620754

CUSABIO guaranteed quality
icon of phone
Call us
301-363-4651 (Available 9 a.m. to 5 p.m. CST from Monday to Friday)
icon of address
Address
7505 Fannin St., Ste 610, Room 7 (CUBIO Innovation Center), Houston, TX 77054, USA
icon of social media
Join us with

Subscribe newsletter

Leave a message

* To protect against spam, please pass the CAPTCHA test below.
CAPTCHA verification
© 2007-2025 CUSABIO TECHNOLOGY LLC All rights reserved. 鄂ICP备15011166号-1
×
Place an order now

I. Product details

*
*
*
*

II. Contact details

*
*

III. Ship To

*
*
*
*
*
*
*

IV. Bill To

*
*
*
*
*
*
*
*