TAF3 Recombinant Monoclonal Antibody

Code CSB-RA158092A0HU
Size US$210
Order now
Image
  • Western Blot
    Positive WB detected in: MCF-7 whole cell lysate(30µg), A549 whole cell lysate(30µg)
    All lanes: TAF3 antibody at 1:1000
    Secondary
    Goat polyclonal to rabbit IgG at 1/40000 dilution
    Predicted band size: 104 kDa
    Observed band size: 150 kDa
    Exposure time:5min
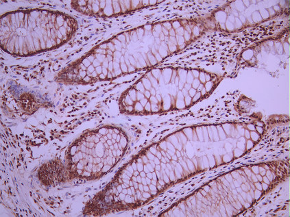
  • IHC image of CSB-RA158092A0HU diluted at 1:100 and staining in paraffin-embedded human colorectal cancer performed on a Leica BondTM system. After dewaxing and hydration, antigen retrieval was mediated by high pressure in a citrate buffer (pH 6.0). Section was blocked with 10% normal goat serum 30min at RT. Then primary antibody (1% BSA) was incubated at 4°C overnight. The primary is detected by a Goat anti-rabbit polymer IgG labeled by HRP and visualized using 0.05% DAB.
  • Immunofluorescence staining of MCF-7 cell with CSB-RA158092A0HU at 1:50 , counter-stained with DAPI. The cells were fixed in 4% formaldehyde, permeabilized using 0.2% Triton X-100 and blocked in 10% normal Goat Serum. The cells were then incubated with the antibody overnight at 4°C. The secondary antibody was Alexa Fluor 488-congugated AffiniPure Goat Anti-Rabbit IgG(H+L).
  • Overlay Peak curve showing jurkat cells stained with CSB-RA158092A0HU (red line) at 1:100. The cells were fixed in 4% formaldehyde and permeated by 0.2% TritonX-100 for 10min. Then 10% normal goat serum to block non-specific protein-protein interactions followed by the antibody (1ug/1*106cells) for 45min at 4℃. The secondary antibody used was FITC-conjugated goat anti-rabbit IgG (H+L) at 1/200 dilution for 35min at 4℃.Control antibody (green line) was Rabbit IgG (1ug/1*106cells) used under the same conditions. Acquisition of >10, 000 events was performed.
Have Questions? Leave a Message or Start an on-line Chat

Product Details

Uniprot No.
Target Names
TAF3
Alternative Names
140 kDa TATA box-binding protein-associated factor antibody; Bip2 protein antibody; RNA polymerase II transcription factor TAFII140 antibody; TAF(II)140 antibody; TAF140 antibody; TAF3 antibody; TAF3 RNA polymerase II TATA box binding protein (TBP)-associated factor antibody; TAF3_HUMAN antibody; TAFII-140 antibody; TAFII140 antibody; TAFII155 protein antibody; TATA box binding protein associated factor 3 antibody; TBP-associated factor 3 antibody; Transcription initiation factor TFIID 140 kDa subunit antibody; Transcription initiation factor TFIID subunit 3 antibody
Species Reactivity
Human
Immunogen
A synthesized peptide from human TAF3 protein
Immunogen Species
Homo sapiens (Human)
Conjugate
Non-conjugated
Clonality
Monoclonal
Isotype
Rabbit IgG
Clone No.
12E12
Purification Method
Affinity-chromatography
Concentration
It differs from different batches. Please contact us to confirm it.
Buffer
Rabbit IgG in 10mM phosphate buffered saline , pH 7.4, 150mM sodium chloride, 0.05% BSA, 0.02% sodium azide and 50% glycerol.
Form
Liquid
Tested Applications
ELISA, WB, IHC, IF, FC
Recommended Dilution
Application Recommended Dilution
WB 1:500-1:5000
IHC 1:50-1:200
IF 1:50-1:200
FC 1:50-1:200
Troubleshooting and FAQs
Storage
Upon receipt, store at -20°C or -80°C. Avoid repeated freeze.
Lead Time
Basically, we can dispatch the products out in 1-3 working days after receiving your orders. Delivery time maybe differs from different purchasing way or location, please kindly consult your local distributors for specific delivery time.
Usage
For Research Use Only. Not for use in diagnostic or therapeutic procedures.

Customer Reviews and Q&A

 Customer Reviews

There are currently no reviews for this product.

Submit a Review here

Target Background

Function
Transcription factor TFIID is one of the general factors required for accurate and regulated initiation by RNA polymerase II. TFIID is a multimeric protein complex that plays a central role in mediating promoter responses to various activators and repressors. Required in complex with TBPL2 for the differentiation of myoblasts into myocytes. The complex replaces TFIID at specific promoters at an early stage in the differentiation process.
Gene References into Functions
  1. Data show that transcription cofactor TAF3 is required for transcription of the alpha spectrin SPTA1 gene. PMID: 23935956
  2. Study shows that H3K4me3-TAF3 interactions direct global TFIID recruitment to active genes, some of which are p53 targets. Further analyses show that H3K4me3 enhances p53-dependent transcription by stimulating preinitiation complex formation. PMID: 23452851
  3. Study shows that this TAF3 activity is critical for early lineage segregation during stem cell differentiation. PMID: 21884934
  4. Data identified TAF3 as an evolutionarily conserved negative regulator of p53 transcription activation function. PMID: 18549481
Subcellular Location
Nucleus.
Protein Families
TAF3 family
Database Links

HGNC: 17303

OMIM: 606576

KEGG: hsa:83860

STRING: 9606.ENSP00000340271

UniGene: Hs.527688

icon of phone
Call us
301-363-4651 (Available 9 a.m. to 5 p.m. CST from Monday to Friday)
icon of address
Address
7505 Fannin St., Ste 610, Room 7 (CUBIO Innovation Center), Houston, TX 77054, USA
icon of social media
Join us with

Subscribe newsletter

Leave a message

* To protect against spam, please pass the CAPTCHA test below.
CAPTCHA verification
© 2007-2025 CUSABIO TECHNOLOGY LLC All rights reserved. 鄂ICP备15011166号-1
×
Place an order now

I. Product details

*
*
*
*

II. Contact details

*
*

III. Ship To

*
*
*
*
*
*
*

IV. Bill To

*
*
*
*
*
*
*
*