TARBP2 Recombinant Monoclonal Antibody

Code CSB-RA778009A0HU
Size US$210
Order now
Image
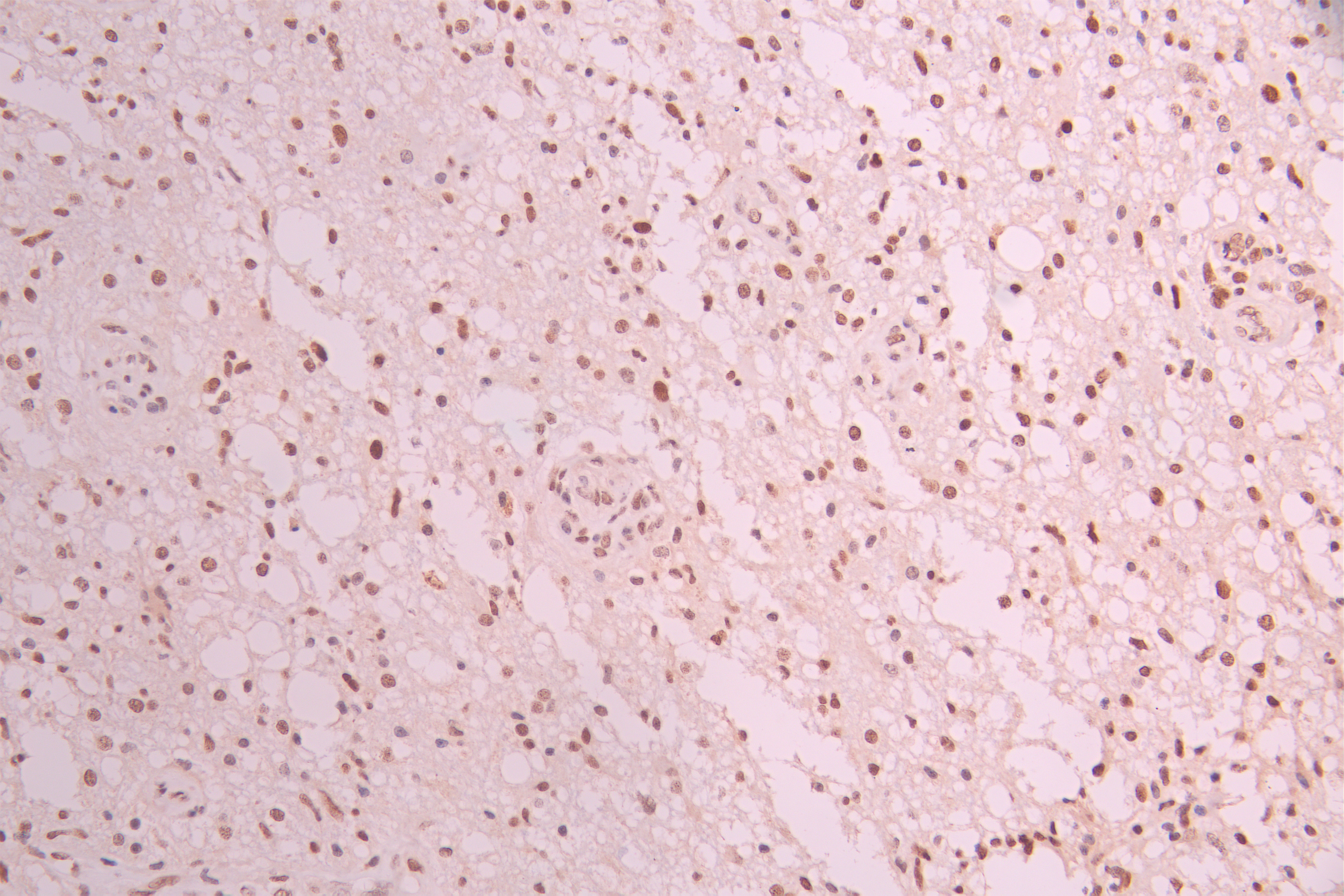
  • IHC image of CSB-RA778009A0HU diluted at 1:100 and staining in paraffin-embedded human glioma cancer performed on a Leica BondTM system. After dewaxing and hydration, antigen retrieval was mediated by high pressure in a citrate buffer (pH 6.0). Section was blocked with 10% normal goat serum 30min at RT. Then primary antibody (1% BSA) was incubated at 4°C overnight. The primary is detected by a Goat anti-rabbit polymer IgG labeled by HRP and visualized using 0.05% DAB.
  • Overlay Peak curve showing HepG2 cells stained with CSB-RA778009A0HU (red line) at 1:100. The cells were fixed in 4% formaldehyde and permeated by 0.2% TritonX-100 for 10min. Then 10% normal goat serum to block non-specific protein-protein interactions followed by the antibody (1ug/1*106cells) for 45min at 4℃. The secondary antibody used was FITC-conjugated goat anti-rabbit IgG (H+L) at 1/200 dilution for 35min at 4℃.Control antibody (green line) was Rabbit IgG (1ug/1*106cells) used under the same conditions. Acquisition of >10,000 events was performed.
Have Questions? Leave a Message or Start an on-line Chat

Product Details

Uniprot No.
Target Names
TARBP2
Alternative Names
LOQS antibody; Prbp antibody; RISC loading complex subunit TARBP2 antibody; RISC-loading complex subunit tarbp2 antibody; TAR (HIV 1) RNA binding protein 2 antibody; TAR (HIV) RNA binding protein 2 antibody; TAR (HIV) RNA-binding protein TRBP1 antibody; TAR RNA Binding Protein 2 antibody; TAR RNA-binding protein 2 antibody; tarbp2 antibody; TARBP2 RISC loading complex RNA binding subunit antibody; Trans-activation-responsive RNA-binding protein antibody; TRBP antibody; TRBP1 antibody; TRBP2 antibody; TRBP2_HUMAN antibody
Species Reactivity
Human
Immunogen
A synthesized peptide derived from human TARBP2
Immunogen Species
Homo sapiens (Human)
Conjugate
Non-conjugated
Clonality
Monoclonal
Isotype
Rabbit IgG
Clone No.
8G12
Purification Method
Affinity-chromatography
Concentration
It differs from different batches. Please contact us to confirm it.
Buffer
Rabbit IgG in 10mM phosphate buffered saline , pH 7.4, 150mM sodium chloride, 0.05% BSA, 0.02% sodium azide and 50% glycerol.
Form
Liquid
Tested Applications
ELISA, IHC, FC
Recommended Dilution
Application Recommended Dilution
IHC 1:50-1:200
FC 1:50-1:200
Troubleshooting and FAQs
Storage
Upon receipt, store at -20°C or -80°C. Avoid repeated freeze.
Lead Time
Basically, we can dispatch the products out in 1-3 working days after receiving your orders. Delivery time maybe differs from different purchasing way or location, please kindly consult your local distributors for specific delivery time.
Usage
For Research Use Only. Not for use in diagnostic or therapeutic procedures.

Customer Reviews and Q&A

 Customer Reviews

There are currently no reviews for this product.

Submit a Review here

Target Background

Function
Required for formation of the RNA induced silencing complex (RISC). Component of the RISC loading complex (RLC), also known as the micro-RNA (miRNA) loading complex (miRLC), which is composed of DICER1, AGO2 and TARBP2. Within the RLC/miRLC, DICER1 and TARBP2 are required to process precursor miRNAs (pre-miRNAs) to mature miRNAs and then load them onto AGO2. AGO2 bound to the mature miRNA constitutes the minimal RISC and may subsequently dissociate from DICER1 and TARBP2. May also play a role in the production of short interfering RNAs (siRNAs) from double-stranded RNA (dsRNA) by DICER1.; (Microbial infection) Binds to the HIV-1 TAR RNA which is located in the long terminal repeat (LTR) of HIV-1, and stimulates translation of TAR-containing RNAs. This is achieved in part at least by binding to and inhibiting EIF2AK2/PKR, thereby reducing phosphorylation and inhibition of EIF2S1/eIF-2-alpha. May also promote translation of TAR-containing RNAs independently of EIF2AK2/PKR. Mediates recruitment of FTSJ3 methyltransferase to HIV-1 RNA, leading to 2'-O-methylation of the viral genome, allowing HIV-1 to escape the innate immune system.
Gene References into Functions
  1. These results establish that PKR regulation through stress-induced TRBP phosphorylation is an important mechanism ensuring cellular recovery and preventing apoptosis due to sustained PKR activation. PMID: 29348664
  2. A statistically significant association with the risk of AD was observed with the CT genotype for rs784567 on the TARBP2 gene. on controlling for age and sex, we found that for the TARBP2-RNASEN association with AD the age variation was a risk factor for AD risk (P<0.001; OR=1.104; 95% CI, 1.059-1.151). PMID: 26796812
  3. TRBP is a novel transcriptional coactivator of the Notch signaling pathway, playing an important role in neural stem cell regulation during mammalian brain development PMID: 28174252
  4. TRBP is required for normal antiviral responses to Cardiovirus infection. PMID: 27743889
  5. Experimental and computational techniques were employed to examine the hypothesis that TRBP-double-stranded RNA-binding domain (dsRBD) 2 binding by a 20-mer dsRNA is coupled with RNA bending, results suggest that this particular dsRBD-dsRNA interaction produces little to no change in the A-form geometry of dsRNA in solution PMID: 27332119
  6. We propose that the S6K2/TRBP node controls miRNA biogenesis in HDLECs and provides a molecular link between the mTOR pathway and the miRNA biogenesis machinery. PMID: 27407113
  7. TARBP2 silencing inhibits in vitro invasion and migration of NCIH1299 nonsmall cell lung cancer cell via the JNK/STAT3/AKT pathway. TARBP2 silencing does not significantly affect cell growth. PMID: 27599909
  8. TARBP2 has roles in tumor development and progression [review] PMID: 26486325
  9. SUMOylation of TARBP2 is required for regulating siRNA efficiency. PMID: 26582366
  10. HIV-1 Rev-response element RNA acts as an RNA silencing suppressor by competing with TRBP-bound siRNAs. PMID: 25668122
  11. the role of TRBP and unveils negative feedback regulation of PKR through TRBP phosphorylation. PMID: 25437560
  12. Results show the crystal structure of the interface between microRNA biogenesis proteins Dicer and TRBP. Mutations in this interface prevent recruitment of TRBP to Dicer. PMID: 25557550
  13. RPL5 binds to the TRBP2 and Ago2 subunits of the RISC and mediates the binding to c-Myc 3'UTR. PMID: 24141778
  14. TARBP2 expression is upregulated in late-stage breast cancer and triple-negative breast cancer and may have a role in poorer disease-free survival and overall survival PMID: 24563327
  15. identified TARBP2, a double-stranded RNA-binding protein implicated in microRNA processing, as the trans factor that binds the sRSE family and similar structural elements--collectively termed TARBP2-binding structural elements (TBSEs)--in transcripts PMID: 25043050
  16. Tarbp2 binding to TRPC4 promotes changes of cytosolic Ca(2+) and, thereby, leads to a dynamic regulation of Dicer activity, essentially at low endogenous Dicer concentrations. PMID: 24563462
  17. mRNA expression of TARBP2, but not DICER or DROSHA, is a strong molecular predictor to discriminate between adrenocortical adenomas and carcinomas PMID: 23671264
  18. in vitro binding patterns of human TRBP and PACT to siRNA PMID: 23658827
  19. The results show that PACT and TRBP have distinct effects on Dicer-mediated dsRNA processing. PMID: 23661684
  20. No frameshift mutations in TARBP2 were identified in a study of 4 cases of upper urinary tract urothelial carcinoma with high microsatellite instability status. PMID: 23690119
  21. Results show that the region of TRBP that binds immature miRNAs comprises two independent double-stranded RNA-binding domains connected by a 60-residue flexible linker. PMID: 23435228
  22. RISC proteins PACT, TRBP, and Dicer, together with PKR, are steroid receptor RNA activator-binding nuclear receptor coregulators that are recruited to the promoters of hormone-regulated genes and regulate the expression of downstream target genes. PMID: 23550157
  23. We report an unanticipated dsRNA diffusion behavior of TRBP, which requires two double-stranded RNA binding domains, and its correlation with the role of TRBP in promoting Dicer-induced RNA cleavage. PMID: 23251028
  24. The studies in this review show that TRBP is multifunctional and mediates cross talk between different pathways. Its activities at the molecular level impact the cellular function from normal development to cancer and the response to infections. PMID: 22933564
  25. There was no significant difference in the TARBP2 expression levels between the epithelial skin cancer groups and the healthy controls (P > 0.05). PMID: 22025453
  26. Depletion of Dicer and TRBP, proteins involved in miRNA biogenesis, reduced HCV RNA accumulation, mature duplex miR-122 abundance, and miR-122 directed mRNA translation suppression, suggesting roles in miR-122 processing. PMID: 22999255
  27. TRBP is a key regulator of miRNA processing and targeting in humans. PMID: 23006623
  28. Data suggest that cancer stem cell (CSC) self-renewal and tumor maintenance may depend on deregulation of TARBP2-dependent miRNA expression. PMID: 22698405
  29. AGO2, PACT and TRBP are required for the efficient functioning of Dicer in cells PMID: 22163034
  30. results demonstrate for the first time that stress-induced PACT phosphorylation functions to free PACT from the inhibitory interaction with TRBP and also to enhance its interaction with PKR PMID: 21526770
  31. The structures dsRNA-bdinding domain 1 and dsRNA binding domain 2 solved by x-ray crystallography and NMR spectroscopy respectively. PMID: 21080422
  32. TARBP2 frameshift mutation is associated with hereditary nonpolyposis colorectal cancer. PMID: 20877318
  33. the three-dimensional structure of human Dicer bound to the protein TRBP at approximately 20 A resolution determined by negative-stain electron microscopy (EM) and single-particle analysis PMID: 19836333
  34. binds to merlin, which inhibits its oncogenic activity; results provide the first clue to the functional interaction between TRBP and merlin and suggest a novel mechanism for the tumor suppressor function of merlin both in vitro and in vivo PMID: 15123692
  35. Data suggest that the cell specifity of HIV-1 expression and replication may be regulated, in part, through the control of TRBP1 expression by NF-Y factors. PMID: 16343534
  36. These results suggest that, in the context of HIV replication, TRBP contributes mainly to the enhancement of virus production and that Dicer does not mediate HIV restriction by RNAi. PMID: 17360756
  37. Results indicate that human TRBP and PACT directly interact with each other and associate with Dicer to stimulate the cleavage of double-stranded or short hairpin RNA to siRNA. PMID: 17452327
  38. Ago2, Dicer, and TRBP comprise the RISC-loading complex (RLC) and assembles spontaneously in vitro from purified components PMID: 18178619
  39. TRBP controls PACT activation of PKR, an activity that is reversed by stress. PMID: 18936160
  40. RDE-4 preferentially binds long dsRNA, while TRBP binds siRNA with an affinity that is independent of dsRNA length. PMID: 18948111
  41. The RLC Dicer's N-terminal DExH/D domain, located in a short 'base branch', interacts with TRBP, whereas its C-terminal catalytic domains in the main body are proximal to AGO2. PMID: 19820710

Show More

Hide All

Subcellular Location
Cytoplasm. Cytoplasm, perinuclear region. Nucleus.
Protein Families
TARBP2 family
Database Links

HGNC: 11569

OMIM: 605053

KEGG: hsa:6895

STRING: 9606.ENSP00000266987

UniGene: Hs.326

icon of phone
Call us
301-363-4651 (Available 9 a.m. to 5 p.m. CST from Monday to Friday)
icon of address
Address
7505 Fannin St., Ste 610, Room 7 (CUBIO Innovation Center), Houston, TX 77054, USA
icon of social media
Join us with

Subscribe newsletter

Leave a message

* To protect against spam, please pass the CAPTCHA test below.
CAPTCHA verification
© 2007-2025 CUSABIO TECHNOLOGY LLC All rights reserved. 鄂ICP备15011166号-1
×
Place an order now

I. Product details

*
*
*
*

II. Contact details

*
*

III. Ship To

*
*
*
*
*
*
*

IV. Bill To

*
*
*
*
*
*
*
*