TDGF1 Recombinant Monoclonal Antibody

Code CSB-RA199069A0HU
Size US$210
Order now
Image
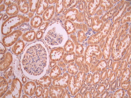
  • IHC image of CSB-RA199069A0HU diluted at 1:100 and staining in paraffin-embedded human kidney tissue performed on a Leica BondTM system. After dewaxing and hydration, antigen retrieval was mediated by high pressure in a citrate buffer (pH 6.0). Section was blocked with 10% normal goat serum 30min at RT. Then primary antibody (1% BSA) was incubated at 4°C overnight. The primary is detected by a Goat anti-rabbit polymer IgG labeled by HRP and visualized using 0.05% DAB.
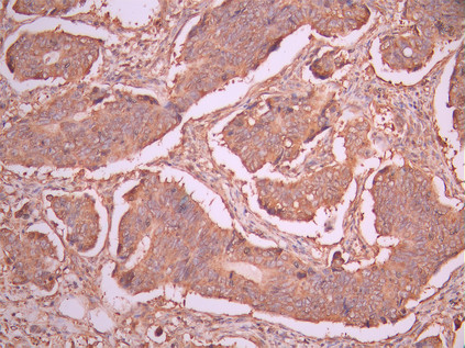
  • IHC image of CSB-RA199069A0HU diluted at 1:100 and staining in paraffin-embedded human colorectal cancer performed on a Leica BondTM system. After dewaxing and hydration, antigen retrieval was mediated by high pressure in a citrate buffer (pH 6.0). Section was blocked with 10% normal goat serum 30min at RT. Then primary antibody (1% BSA) was incubated at 4°C overnight. The primary is detected by a Goat anti-rabbit polymer IgG labeled by HRP and visualized using 0.05% DAB.
Have Questions? Leave a Message or Start an on-line Chat

Product Details

Uniprot No.
Target Names
Alternative Names
CR antibody; CRGF antibody; Cripto 1 antibody; Cripto 1 growth factor antibody; cripto antibody; Cripto-1 growth factor antibody; Cripto1 growth factor antibody; Epidermal growth factor like cripto protein CR1 antibody; Epidermal growth factor-like cripto protein CR1 antibody; TDGF 1 antibody; TDGF1 antibody; TDGF1_HUMAN antibody; Teratocarcinoma derived growth factor 1 antibody; Teratocarcinoma-derived growth factor 1 antibody
Species Reactivity
Human
Immunogen
A synthesized peptide from human TDGF1 protein
Immunogen Species
Homo sapiens (Human)
Conjugate
Non-conjugated
Clonality
Monoclonal
Isotype
Rabbit IgG
Clone No.
14B11
Purification Method
Affinity-chromatography
Concentration
It differs from different batches. Please contact us to confirm it.
Buffer
Rabbit IgG in 10mM phosphate buffered saline , pH 7.4, 150mM sodium chloride, 0.05% BSA, 0.02% sodium azide and 50% glycerol.
Form
Liquid
Tested Applications
ELISA, IHC
Recommended Dilution
Application Recommended Dilution
IHC 1:50-1:200
Troubleshooting and FAQs
Storage
Upon receipt, store at -20°C or -80°C. Avoid repeated freeze.
Lead Time
Basically, we can dispatch the products out in 1-3 working days after receiving your orders. Delivery time maybe differs from different purchasing way or location, please kindly consult your local distributors for specific delivery time.
Usage
For Research Use Only. Not for use in diagnostic or therapeutic procedures.

Customer Reviews and Q&A

 Customer Reviews

There are currently no reviews for this product.

Submit a Review here

Target Background

Function
GPI-anchored cell membrane protein involved in Nodal signaling. Cell-associated TDGF1 acts as a Nodal coreceptor in cis. Shedding of TDGF1 by TMEM8A modulates Nodal signaling by allowing soluble TDGF1 to act as a Nodal coreceptor on other cells. Could play a role in the determination of the epiblastic cells that subsequently give rise to the mesoderm.
Gene References into Functions
  1. Cripto-1 expression is increased by OCT4 overexpression, but decreased by shRNA-mediated OCT4 knockdown. OCT4 overexpression significantly activates Cripto-1 transcriptional activity. A 5'-upstream minimal promoter sequence in the gene-encoding Cripto-1 is significantly activated by OCT4 overexpression. PMID: 29223130
  2. Targeting the Cripto-1/TAK-1/NF-kappaB/Survivin pathway may be an effective approach to combat apoptosis resistance in cancer. PMID: 29807222
  3. Knockdown of Cripto-1 inhibits the proliferation, migration, invasion, and angiogenesis in prostate carcinoma cells. PMID: 29358554
  4. Results identified elevated CR-1 expression in esophageal squamous cell carcinoma (ESCC) specimens which correlated to poor prognosis of the patients. CR-1 high cells isolated from ESCC cells possess cancer stem-like cells (ECSLC) properties. PMID: 28431580
  5. These results highlight a functional role for CRIPTO and GRP78 in prostate cancer metastasis and suggest that targeting CRIPTO/GRP78 signaling may have significant therapeutic potential. PMID: 28394345
  6. PGAP6 plays a critical role in Nodal signaling modulation through CRIPTO shedding. PMID: 27881714
  7. Upregulation of cripto-1 is associated with prostate cancer. PMID: 28098905
  8. the miR-15b expression is negatively associated with the cripto-1 expression in glioma cells. miR-15b may subsequently impair growth and invasion of glioma cells through targeted regulation of cripto-1. PMID: 27082313
  9. These findings suggest that CRIPTO expression may be a useful serological marker for diagnostic and/or prognostic purposes during germ cell cancer management. PMID: 26654129
  10. serum CR-1 is a useful diagnostic and prognostic marker for nonsmall cell lung cancer patients. PMID: 26109366
  11. Cripto-1 overexpression contributes to aggressiveness and poor prognosis of hepatocellular carcinoma PMID: 26375669
  12. The main signaling pathways mediating Cripto-1 effects include Nodal-dependent (Smad2/3) and Nodal-independent (Src/p44/42/Akt) signaling transduction pathways PMID: 26327334
  13. Cripto-1 is a novel and dynamically regulated effector of stem cell functions in colorectal cancer. PMID: 26343543
  14. these findings suggest a novel molecular network, involving CRIPTO, AKT, and FGFR signaling, in favor of the emergence of mesenchymal-like cancer cells during the development of aggressive prostate tumors. PMID: 25596738
  15. Report lower gene expression of Cripto in endometriosis but difference not maintained at protein level. PMID: 25228630
  16. Treatment of U-87 MG cells with CR-1 leads to higher expression of drug efflux protein MDR-1 in the CR-1 positive subpopulation, indicating correlated induction of these two proteins. PMID: 25658584
  17. These findings clearly suggest that the downregulation of miR-15a-16 with Cripto amplification may be involved in the development of nonsmall cell lung cancer. PMID: 24500260
  18. Snail represses Cripto-1 gene by direct transcriptional interaction PMID: 25889638
  19. CR-1 expression in glioblastoma multiforme(GBM)tissue and blood; CR-1 plasma levels from GBM patients were elevated compared with normal; CR-1 concentrations higher than normal correlated with shorter overall survival; identified CR-1 in different areas of GBM tissue including perivascular tumor cells and endothelial cells PMID: 24521322
  20. the functional analysis of the main associated locus identified a causal variant in the 5'UTR of CRIPTO gene which is able to strongly modulate CRIPTO expression through an AP-1-mediate transcriptional regulation. PMID: 25629528
  21. Our findings suggest that high Cripto-1 expression might be involved in the development of bladder cancer and a potentially effective prognostic marker in bladder cancer patients PMID: 25326807
  22. Over expression of Cripto-1 was correlated with the occurrence, development, metastasis and malignant degree of lung adenocarcinoma. PMID: 25796148
  23. these findings identify the CRIPTO/GRP78 pathway as a developmentally conserved regulator of fetal and adult mammary stem cell behavior ex vivo, with implications for the stem-like cells found in many cancers. PMID: 24749068
  24. This study demonstrated CR-1 expression in the placental bed, its increased expression in creta placentas, and EVT cells as the main CR-1-producing cell type. PMID: 25165718
  25. Data suggest that the high expression of Cripto-1 (CR-1) may play an important role in the progression of non-small cell lung cancer (NSCLC), and CR-1 expression may offer a valuable marker for predicting the outcome of patients with NSCLC. PMID: 24870591
  26. Tumors from NSCLC patients with EGFR-activating mutations that were intrinsically resistant to EGFR-TKIs expressed higher levels of CRIPTO1 compared with tumors from patients that were sensitive to EGFR-TKIs. PMID: 24911146
  27. Cripto is overexpressed in colonic neoplasms and is related to cancer cell migration/invasion. PMID: 24379580
  28. The significance of cell surface CR-1 expression in human melanoma cells, was examined. PMID: 23574716
  29. Cross-talk between Cripto-1 and the Wnt/beta-catenin signaling pathway might play a role in mammary transformation leading to a more aggressive behavior of mammary cancer cells. PMID: 23022962
  30. Offer some insight into the transcriptional regulation of CR-1 gene expression and its critical role in the pathogenesis of human cancer. PMID: 23129342
  31. human testicular tumors showed upregulation of NODAL and CRIPTO that was proportional to invasiveness and to the number of malignant cells. PMID: 23034635
  32. Cripto/GRP78 modulates the TGF-beta pathway in development and oncogenesis [review] PMID: 22306319
  33. Cripto-1 may play a role during developmental EMT, and it may also be involved in the reprogramming of differentiated tumor cells into cancer stem cells through the induction of an EMT program. PMID: 22542493
  34. Cripto-1 plays a role in the malignant transformation of oral mucosa and is involved in the tumorigenesis and progression of oral squamous cell carcinoma by promoting the growth and migration of malignant cells. PMID: 21824804
  35. High CRIPTO-1 is associated with cutaneous melanoma. PMID: 21863025
  36. Disturbed expression of endometrial activin A, cripto , and follistatin suggests a dysfunction of the activin pathway in endometriosis/endometrioma. PMID: 21496809
  37. work firstly provides human genetic evidence of TDGF1 involved in the pathogenesis of ventricular septal defects PMID: 19853938
  38. expression of CR-1 may alter the physiochemical properties of the plasma membrane resulting in an enhancement of intercellular transfer of cellular signaling components which may account for the paracrine activity of CR-1. PMID: 21055389
  39. Results demonstrate that CR-1 expression is enriched in an undifferentiated, tumorigenic subpopulation and is regulated by key regulators of pluripotent stem cells. PMID: 20549704
  40. molecular model of activin receptor-like kinase 4/Cripto/Nodal complex built by homology modeling as well as docking tests aimed at identifying potential binding epitopes PMID: 20629020
  41. TDGF1 has a role in metachronous metastasis of colorectal cancer PMID: 20126975
  42. TDGF-1, which is significantly upregulated in APA and mediates aldosterone hypersecretion and deregulated growth in adrenocortical cells in vitro, may represent a key player in the development and pathophysiology of primary aldosteronism. PMID: 20385969
  43. Nodal and Cripto immunoreactivity increased dramatically in the transition from histologic Grade 1 to histologic Grades 2 and 3 endometrial carcinomas. PMID: 19874624
  44. Cripto has dual roles as a coreceptor as well as a coligand for Nodal and that this signaling interaction with Nodal is regulated by an unusual form of glycosylation. PMID: 12052855
  45. A loss-of-function mutation in the CFC domain of TDGF1 is associated with human forebrain defects. PMID: 12073012
  46. complexation with activin and type II activin receptors and role in blocking activin signaling PMID: 12682303
  47. CRIPTO signaling promotes cardiomyogenesis and redirects the neural fate of embryonic stem cells. PMID: 14581455
  48. Results suggest that cripto-1 overexpression might be associated with the progression towards a more aggressive phenotype in breast carcinoma, through the activation of both Akt and Smad-2 signalling pathways. PMID: 14584041
  49. The regulation of Netrin-1 expression is important in regulating Cripto-1-dependent invasion and migration of mammary epithelial cells. PMID: 16176936
  50. The plasma CR-1 might represent a novel biomarker for the detection of breast and colon carcinomas. A statistically significant increase in the levels of plasma CR-1 was found in patients with colon carcinoma and in patients with breast carcinoma. PMID: 16951234

Show More

Hide All

Subcellular Location
Cell membrane; Lipid-anchor, GPI-anchor. Secreted.
Protein Families
EGF-CFC (Cripto-1/FRL1/Cryptic) family
Tissue Specificity
Preferentially expressed in gastric and colorectal carcinomas than in their normal counterparts. Expressed in breast and lung.
Database Links

HGNC: 11701

OMIM: 187395

KEGG: hsa:6997

STRING: 9606.ENSP00000296145

UniGene: Hs.385870

icon of phone
Call us
301-363-4651 (Available 9 a.m. to 5 p.m. CST from Monday to Friday)
icon of address
Address
7505 Fannin St., Ste 610, Room 7 (CUBIO Innovation Center), Houston, TX 77054, USA
icon of social media
Join us with

Subscribe newsletter

Leave a message

* To protect against spam, please pass the CAPTCHA test below.
CAPTCHA verification
© 2007-2025 CUSABIO TECHNOLOGY LLC All rights reserved. 鄂ICP备15011166号-1
×
Place an order now

I. Product details

*
*
*
*

II. Contact details

*
*

III. Ship To

*
*
*
*
*
*
*

IV. Bill To

*
*
*
*
*
*
*
*