TRIM24 Recombinant Monoclonal Antibody

Code CSB-RA133402A0HU
Size US$210
Order now
Image
  • Western Blot
    Positive WB detected in: MCF-7 whole cell lysate(30µg)
    All lanes: TRIM24 antibody at 1:1000
    Secondary
    Goat polyclonal to rabbit IgG at 1/40000 dilution
    Predicted band size: 117 kDa
    Observed band size: 130 kDa
    Exposure time:2min
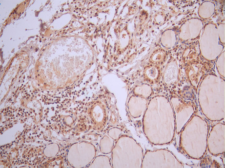
  • IHC image of CSB-RA133402A0HU diluted at 1:100 and staining in paraffin-embedded human thyroid tissue performed on a Leica BondTM system. After dewaxing and hydration, antigen retrieval was mediated by high pressure in a citrate buffer (pH 6.0). Section was blocked with 10% normal goat serum 30min at RT. Then primary antibody (1% BSA) was incubated at 4°C overnight. The primary is detected by a Goat anti-rabbit polymer IgG labeled by HRP and visualized using 0.05% DAB.
  • Overlay Peak curve showing SH-SY5Y cells stained with CSB-RA133402A0HU (red line) at 1:100. The cells were fixed in 4% formaldehyde and permeated by 0.2% TritonX-100 for 10min. Then 10% normal goat serum to block non-specific protein-protein interactions followed by the antibody (1ug/1*106cells) for 45min at 4℃. The secondary antibody used was FITC-conjugated goat anti-rabbit IgG (H+L) at 1/200 dilution for 35min at 4℃.Control antibody (green line) was Rabbit IgG (1ug/1*106cells) used under the same conditions. Acquisition of >10, 000 events was performed.
Have Questions? Leave a Message or Start an on-line Chat

Product Details

Uniprot No.
Target Names
Alternative Names
E3 ubiquitin protein ligase TRIM24 antibody; E3 ubiquitin-protein ligase Trim24 antibody; hTIF1 antibody; PTC6 antibody; RING finger protein 82 antibody; RNF82 antibody; TF1A antibody; TIF1 alpha antibody; TIF1 antibody; TIF1-alpha antibody; TIF1A antibody; TIF1A_HUMAN antibody; TIF1ALPHA antibody; Transcription intermediary factor 1-alpha antibody; Transcriptional intermediary factor 1 alpha antibody; Transcriptional intermediary factor 1 antibody; Trim24 antibody; Tripartite motif containing 24 antibody; Tripartite motif-containing protein 24 antibody
Species Reactivity
Human
Immunogen
A synthesized peptide from human TRIM24 protein
Immunogen Species
Homo sapiens (Human)
Conjugate
Non-conjugated
Clonality
Monoclonal
Isotype
Rabbit IgG
Clone No.
3A2
Purification Method
Affinity-chromatography
Concentration
It differs from different batches. Please contact us to confirm it.
Buffer
Rabbit IgG in 10mM phosphate buffered saline , pH 7.4, 150mM sodium chloride, 0.05% BSA, 0.02% sodium azide and 50% glycerol.
Form
Liquid
Tested Applications
ELISA, WB, IHC, FC
Recommended Dilution
Application Recommended Dilution
WB 1:500-1:5000
IHC 1:50-1:200
FC 1:50-1:200
Troubleshooting and FAQs
Storage
Upon receipt, store at -20°C or -80°C. Avoid repeated freeze.
Lead Time
Basically, we can dispatch the products out in 1-3 working days after receiving your orders. Delivery time maybe differs from different purchasing way or location, please kindly consult your local distributors for specific delivery time.
Usage
For Research Use Only. Not for use in diagnostic or therapeutic procedures.

Customer Reviews and Q&A

 Customer Reviews

There are currently no reviews for this product.

Submit a Review here

Target Background

Function
Transcriptional coactivator that interacts with numerous nuclear receptors and coactivators and modulates the transcription of target genes. Interacts with chromatin depending on histone H3 modifications, having the highest affinity for histone H3 that is both unmodified at 'Lys-4' (H3K4me0) and acetylated at 'Lys-23' (H3K23ac). Has E3 protein-ubiquitin ligase activity. Promotes ubiquitination and proteasomal degradation of p53/TP53. Plays a role in the regulation of cell proliferation and apoptosis, at least in part via its effects on p53/TP53 levels. Up-regulates ligand-dependent transcription activation by AR, GCR/NR3C1, thyroid hormone receptor (TR) and ESR1. Modulates transcription activation by retinoic acid (RA) receptors, including RARA. Plays a role in regulating retinoic acid-dependent proliferation of hepatocytes.
Gene References into Functions
  1. these results suggested that TRIM24 has an important role in the growth of Nasopharyngeal carcinoma (NPC). Additionally, silenced TRIM24 may lead to inhibited cell proliferation and induced cell apoptosis in NPC cells. PMID: 29749443
  2. TRIM24 is upregulated in HNSCC and promotes HNSCC cell growth and invasion through modulation of cell cycle, glucose metabolism, and GLUT3, making TRIM24 a potential oncoprotein in HNSCC. PMID: 29862279
  3. The findings identify TRIM24 as an oncogenic transcriptional co-activator in epidermal growth factor receptor-driven glioblastoma and also demonstrate a previously unknown signal relay by which H3K23ac/TRIM24 mediates epidermal growth factor receptor stimulation of STAT3 activation, thereby enhancing the oncogenic activity of the epidermal growth factor receptor/STAT3 pathway in human cancers. PMID: 29129908
  4. Results suggest that TRIM24 is a novel coactivator of the CAR that is involved in cell- and/or promoter- selective transactivation. PMID: 29101097
  5. TRIM24 expression was increased in human colorectal cancer and might be a novel prognostic biomarker. PMID: 28916426
  6. Study showed that TRIM24 was upregulated during gastric carcinogenesis and demonstrated that TRIM24 was a functional target gene of miR-511, and miR-511 inactivated PI3K/AKT and Wnt/beta-catenin pathways by suppressing TRIM24. PMID: 28114950
  7. we identified altered glucose metabolism in the progression of head and neck squamous cell carcinoma and showed that it could be partially attributed to the novel link between GLUT4 and TRIM24 PMID: 28061796
  8. This study concluded that reduced TRIM24 protein is associated with poor survival in esophageal squamous cell cancer (ESCC) patients, suggesting TRIM24 protein is a potential prognostic biomarker for ESCC. PMID: 27689360
  9. Data suggest that, in cardiomyocytes, TRIM32 attenuates activation of SRF signaling and hypertrophy due to dysbindin; TRIM24 promotes these effects. TRIM32 promotes dysbindin degradation; TRIM24 protects dysbindin from degradation. (TRIM = tripartite motif-containing protein; SRF = serum response factor) PMID: 28465353
  10. hypothesis of "synergistic modification induced recognition" is then proposed to link histone modification and TRIM24 binding PMID: 27079666
  11. Report provides evidence for an oncogenic role for TRIM24 as a transcriptional activator and mediator of hormone-refractory prostate cancer cell growth in SPOP mutant and castration-resistant prostate cells. PMID: 27238081
  12. TRIM24 expression is positively correlated with Acetylated H3 lysine 23 levels, and high levels of both TRIM24 and Acetylated H3 lysine 23 predict shorter overall survival of breast cancer patients. PMID: 27638829
  13. TRIM24 regulate resistance to Gefitinib via Akt pathway in non-small cell lung cancer cells. PMID: 26805734
  14. TRIM24 is overexpressed in human bladder cancer and facilitates bladder cancer growth and invasion, possibly through NF-kappaB and AKT signaling pathways. PMID: 25846736
  15. functions as an oncogene in colorectal carcinogenesis PMID: 25700357
  16. A role for TRIM24 in breast tumorigenesis through reprogramming of glucose metabolism in human mammary epithelial cells, further supporting TRIM24 as a viable therapeutic target in breast cancer. PMID: 25065590
  17. our study shows that TRIM24 is overexpressed in human gastric cancer and accelerates cell growth as well as induce chemoresistance PMID: 25724180
  18. Our results suggest that TRIM24 might serve as a potential prognostic marker and therapeutic target for the management of malignant gliomas. PMID: 24469053
  19. Study shows that TRIM24 is destabilized by ATM-mediated phosphorylation of TRIM24S768 in response to DNA damage, which disrupts TRIM24-p53 interactions and promotes the degradation of TRIM24. PMID: 24820418
  20. Overexpression of TRIM24 is associated with the onset and progress of human hepatocellular carcinoma. PMID: 24409330
  21. Upon TRIM24 silencing, the proliferation of HNSCC cells was notably inhibited due to the induction of apoptosis. PMID: 23717505
  22. TRIM24 plays an important role in NSCLC progression PMID: 22666376
  23. These results suggest that E4-ORF3 targets proteins for relocalization through a loosely homologous sequence dependent on accessibility. PMID: 22123502
  24. overexpression of the TRIM24/TIF-1alpha gene in breast cancer is associated with poor prognosis and worse surviva PMID: 21435435
  25. Aberrant expression of TRIM24 negatively correlates with survival of breast cancer patients. PMID: 21164480
  26. TRIM24 regulates AR-mediated transcription in collaboration with TIP60 and BRD7. PMID: 19909775
  27. Preferential expression of the HTIF1alpha gene in acute myeloid leukemia and MDS-related AML. Could play a role in myeloid differentiation, being distinctly regulated in hematopoietic lineages. PMID: 11986951
  28. TIF1alpha interacts with TIF1gamma and the coiled-coil region of TIF1gamma is necessary for this interaction. PMID: 12096914
  29. We propose that ZCCHC11 is a unique TLR signal regulator, which interacts with TIFA after LPS treatment and suppresses the TRAF6-dependent activation of NF-kappaB. PMID: 16643855
  30. We identified a novel interaction between E4 ORF3 and TIF1alpha PMID: 17287283

Show More

Hide All

Involvement in disease
A chromosomal aberration involving TRIM24/TIF1 is found in papillary thyroid carcinomas (PTCs). Translocation t(7;10)(q32;q11) with RET. The translocation generates the TRIM24/RET (PTC6) oncogene.
Subcellular Location
Nucleus. Cytoplasm. Note=Colocalizes with sites of active transcription. Detected both in nucleus and cytoplasm in some breast cancer samples. Predominantly nuclear.
Database Links

HGNC: 11812

OMIM: 603406

KEGG: hsa:8805

STRING: 9606.ENSP00000340507

UniGene: Hs.490287

icon of phone
Call us
301-363-4651 (Available 9 a.m. to 5 p.m. CST from Monday to Friday)
icon of address
Address
7505 Fannin St., Ste 610, Room 7 (CUBIO Innovation Center), Houston, TX 77054, USA
icon of social media
Join us with

Subscribe newsletter

Leave a message

* To protect against spam, please pass the CAPTCHA test below.
CAPTCHA verification
© 2007-2025 CUSABIO TECHNOLOGY LLC All rights reserved. 鄂ICP备15011166号-1
×
Place an order now

I. Product details

*
*
*
*

II. Contact details

*
*

III. Ship To

*
*
*
*
*
*
*

IV. Bill To

*
*
*
*
*
*
*
*