TRIM28 Recombinant Monoclonal Antibody

Code CSB-RA930628A0HU
Size US$210
Order now
Image
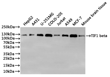
  • Western Blot
    Positive WB detected in: HepG2 whole cell lysate(30µg), A431 whole cell lysate(30µg), U-251MG whole cell lysate(30µg), COLO-205 whole cell lysate(30µg), Jurkat whole cell lysate(30µg), A549 whole cell lysate(30µg), MCF-7 whole cell lysate(30µg), Mouse brain tissue lysate(30µg)
    All lanes: TIF1 beta antibody at 1:1000
    Secondary
    Goat polyclonal to rabbit IgG at 1/40000 dilution
    Predicted band size: 89 kDa
    Observed band size: 122 kDa
    Exposure time:1min
  • IHC image of CSB-RA930628A0HU diluted at 1:100 and staining in paraffin-embedded human lung cancer performed on a Leica BondTM system. After dewaxing and hydration, antigen retrieval was mediated by high pressure in a citrate buffer (pH 6.0). Section was blocked with 10% normal goat serum 30min at RT. Then primary antibody (1% BSA) was incubated at 4°C overnight. The primary is detected by a Goat anti-rabbit polymer IgG labeled by HRP and visualized using 0.05% DAB.
  • IHC image of CSB-RA930628A0HU diluted at 1:100 and staining in paraffin-embedded human testis tissue performed on a Leica BondTM system. After dewaxing and hydration, antigen retrieval was mediated by high pressure in a citrate buffer (pH 6.0). Section was blocked with 10% normal goat serum 30min at RT. Then primary antibody (1% BSA) was incubated at 4°C overnight. The primary is detected by a Goat anti-rabbit polymer IgG labeled by HRP and visualized using 0.05% DAB.
  • Overlay Peak curve showing jurkat cells stained with CSB-RA930628A0HU (red line) at 1:100. The cells were fixed in 4% formaldehyde and permeated by 0.2% TritonX-100 for 10min. Then 10% normal goat serum to block non-specific protein-protein interactions followed by the antibody (1ug/1*106cells) for 45min at 4℃. The secondary antibody used was FITC-conjugated goat anti-rabbit IgG (H+L) at 1/200 dilution for 35min at 4℃.Control antibody (green line) was Rabbit IgG (1ug/1*106cells) used under the same conditions. Acquisition of >10,000 events was performed.
Have Questions? Leave a Message or Start an on-line Chat

Product Details

Uniprot No.
Target Names
Alternative Names
Transcription intermediary factor 1-beta (TIF1-beta) (E3 SUMO-protein ligase TRIM28) (EC 2.3.2.27) (KRAB-associated protein 1) (KAP-1) (KRAB-interacting protein 1) (KRIP-1) (Nuclear corepressor KAP-1) (RING finger protein 96) (RING-type E3 ubiquitin transferase TIF1-beta) (Tripartite motif-containing protein 28), TRIM28, KAP1 RNF96 TIF1B
Species Reactivity
Human, Mouse
Immunogen
Recombinant Antibody
Immunogen Species
Homo sapiens (Human)
Conjugate
Non-conjugated
Clonality
Monoclonal
Isotype
Rabbit IgG
Clone No.
6D2
Purification Method
Affinity-chromatography
Concentration
It differs from different batches. Please contact us to confirm it.
Buffer
Preservative: 0.03% Proclin 300
Constituents: 50% Glycerol, 0.01M PBS, PH 7.4
Form
Liquid
Tested Applications
ELISA, WB, IHC, FC
Recommended Dilution
Application Recommended Dilution
WB 1:500-1:5000
IHC 1:50-1:200
FC 1:50-1:200
Troubleshooting and FAQs
Storage
Upon receipt, store at -20°C or -80°C. Avoid repeated freeze.
Lead Time
Basically, we can dispatch the products out in 1-3 working days after receiving your orders. Delivery time maybe differs from different purchasing way or location, please kindly consult your local distributors for specific delivery time.
Usage
For Research Use Only. Not for use in diagnostic or therapeutic procedures.

Customer Reviews and Q&A

 Customer Reviews

There are currently no reviews for this product.

Submit a Review here

Target Background

Function
Nuclear corepressor for KRAB domain-containing zinc finger proteins (KRAB-ZFPs). Mediates gene silencing by recruiting CHD3, a subunit of the nucleosome remodeling and deacetylation (NuRD) complex, and SETDB1 (which specifically methylates histone H3 at 'Lys-9' (H3K9me)) to the promoter regions of KRAB target genes. Enhances transcriptional repression by coordinating the increase in H3K9me, the decrease in histone H3 'Lys-9 and 'Lys-14' acetylation (H3K9ac and H3K14ac, respectively) and the disposition of HP1 proteins to silence gene expression. Recruitment of SETDB1 induces heterochromatinization. May play a role as a coactivator for CEBPB and NR3C1 in the transcriptional activation of ORM1. Also corepressor for ERBB4. Inhibits E2F1 activity by stimulating E2F1-HDAC1 complex formation and inhibiting E2F1 acetylation. May serve as a partial backup to prevent E2F1-mediated apoptosis in the absence of RB1. Important regulator of CDKN1A/p21(CIP1). Has E3 SUMO-protein ligase activity toward itself via its PHD-type zinc finger. Also specifically sumoylates IRF7, thereby inhibiting its transactivation activity. Ubiquitinates p53/TP53 leading to its proteosomal degradation; the function is enhanced by MAGEC2 and MAGEA2, and possibly MAGEA3 and MAGEA6. Mediates the nuclear localization of KOX1, ZNF268 and ZNF300 transcription factors. In association with isoform 2 of ZFP90, is required for the transcriptional repressor activity of FOXP3 and the suppressive function of regulatory T-cells (Treg). Probably forms a corepressor complex required for activated KRAS-mediated promoter hypermethylation and transcriptional silencing of tumor suppressor genes (TSGs) or other tumor-related genes in colorectal cancer (CRC) cells. Required to maintain a transcriptionally repressive state of genes in undifferentiated embryonic stem cells (ESCs). In ESCs, in collaboration with SETDB1, is also required for H3K9me3 and silencing of endogenous and introduced retroviruses in a DNA-methylation independent-pathway. Associates at promoter regions of tumor suppressor genes (TSGs) leading to their gene silencing. The SETDB1-TRIM28-ZNF274 complex may play a role in recruiting ATRX to the 3'-exons of zinc-finger coding genes with atypical chromatin signatures to establish or maintain/protect H3K9me3 at these transcriptionally active regions. Acts as a corepressor for ZFP568.; (Microbial infection) Plays a critical role in the shutdown of lytic gene expression during the early stage of herpes virus 8 primary infection. This inhibition is mediated through interaction with herpes virus 8 protein LANA1.
Gene References into Functions
  1. a null mutation in TRIM28 causes significant alterations in transposable element expression in both the naive and primed states of human pluripotency, and phenotypically this has limited effects on self-renewal, instead causing a loss of germline competency. PMID: 29290627
  2. Data suggest that retention of SMARCAD1 in nucleus is dependent on interaction of CUE1 domain of SMARCAD1 with RBCC domain of KAP1; these studies were conducted with recombinant proteins expressed in mouse embryonic stem cell line and human somatic cell line. (SMARCAD1 = ATP-dependent helicase-1; KAP1 = KRAB-interacting protein-1) PMID: 29284678
  3. Comparison of chromatin immunoprecipitation and high throughput nucleotide sequencing data and a reference motif set for human KRAB C2H2 zinc finger proteins has been reported. PMID: 29146583
  4. Genes co-repressed by TRIM28 and FAM208A are evolutionarily young, or exhibit tissue-specific expression, are enriched in young L1s, and display evidence for regulation through LTR promoters. Finally, we demonstrate that the HUSH complex is also required to repress L1 elements in human cells. PMID: 29728366
  5. Authors identify a viral mechanism for the counteraction of KAP1 in which interference with the KAP1 phosphatase protein phosphatase 1 (PP1) by the AAV2 Rep proteins mediates enhanced phosphorylation of KAP1-S824 and thus relief from KAP1 repression. PMID: 29581310
  6. Evaluation of the potential mechanism demonstrated that TRIM28 promoted cervical cancer cell growth by activating the mammalian target of rapamycin (mTOR) signaling pathway. In support of this finding, TRIM28-induced cell proliferation was abolished by treatment with everolimus, a specific mTOR inhibitor PMID: 29393469
  7. TRIM28 employs KRAB-ZNFs to evoke epigenetic silencing of its target differentiation genes via H3K9me3 and DNA methylation. PMID: 29198826
  8. Study describes germline mutations and loss of function of TRIM28 in familial Wilms tumours, along with somatic loss of function in a non-familial Wilms tumour. Inactivation of TRIM28 provides the molecular basis for defining a previously described subtype of Wilms tumour, that has early age of onset and excellent prognosis. PMID: 29912901
  9. Study identified TRIM28 among REST-interacting proteins, and suggested functional links between REST and TRIM28 during neuronal development and differentiation via induction of CTNND2 expression. PMID: 27976729
  10. Data indicate a mechanism in breast cancer cells that tripartite motif-containing 28 protein (TRIM28) enhances metastasis by stabilizing TWIST1, suggesting that targeting TRIM28 could be an efficacious strategy in breast cancer treatment. PMID: 27412325
  11. Gamma-H2AX, phosphorylated KAP-1 and 53BP1 play an important role in the repair of heterochromatic radon-induced DNA double-strand breaks. PMID: 27922110
  12. Our data demonstrate that the downregulation of TRIM28 gene expression reduced the ability of CSCs to self-renew that resulted in significant reduction of tumor growth. Loss of function of TRIM28 leads to dysregulation of cell cycle, cellular response to stress, cancer cell metabolism, and inhibition of oxidative phosphorylation. PMID: 27845900
  13. Cell proliferation and apoptosis were almost completely abolished in the PAa cells cotreated with TRIM28 siRNA and etoposide following knockdown of E2F1. The results of our study demonstrated that the combination of TRIM28 siRNA and etoposide may be effective against nonsmall cell lung cancer (NSCLC)and has the potential of being a new therapeutic tool for future treatment. PMID: 28498400
  14. The authors found that TRIM28 regulates alpha-Synuclein and tau nuclear levels and that its reduction rescues toxicity in animal models of tau- and alpha-Synuclein-mediated degeneration. PMID: 27779468
  15. TRIM28 represses Endogenous retroviruses and consequently regulates the expression of neighboring genes. PMID: 28052240
  16. it is primarily peroxide-induced p38 MAPK that mediates Ser473 phosphorylation and activation of TIF1beta to enable more efficient DNA repair to assist in tumor cell survival against exogenous ROS PMID: 28864417
  17. TRIM28 acts as a central factor in controlling endothelial inflammatory responses and angiogenic activities by retaining expression of TNFR-1 and -2 and VEGF receptor 2 in endothelial cells PMID: 28159803
  18. TRIM28 depletion repressed EZH2 recruitment to chromatin and expression of this gene set, in parallel with decreased CD44(hi)/CD24(lo) mammosphere formation. PMID: 28068325
  19. These findings provide a unique context in which ataxia telangiectasia mutated proteins modify KAP1 to regulate persistence of a herpesvirus in humans PMID: 28249048
  20. OGA is physically associated with the known RNA polymerase II (pol II) pausing/elongation factors SPT5 and TRIM28-KAP1-TIF1beta, and a purified OGA-SPT5-TIF1beta complex has elongation properties. PMID: 27601472
  21. that KAP1 phosphorylation is decreased following recruitment of PP2A by URI. PMID: 27780869
  22. Taken together, these results suggest that PARIS and PIASy modulate PGC-1a gene transcription through distinct molecular mechanisms. PMID: 27086851
  23. a role for TRIM28 on EMT, drug resistance, and stemness in addition to the already reported protumorigenic actions in breast and other cancers. PMID: 28381187
  24. Data suggest that TRIM28 regulates the expression of a subset of lncRNAs. PMID: 27432546
  25. we revealed that KAP1 was overexpressed in HCC patients and also an independently biomarker for the overall survival rate prediction of patients with HCC. It appeared that KAP1 was involved into the tumor progression process. PMID: 27095111
  26. Combined effect of dynamic recruitment of RNF4 to KAP1 regulates the relative occupancy of 53BP1 and BRCA1 at double-strand break sites to direct DNA repair in a cell cycle-dependent manner. PMID: 26766492
  27. These results indicate that over-expression of TRIM28 is associated with poor outcome in glioma patients. PMID: 26476730
  28. Adipose tissue transcriptome analyses in children indicate that humans, like mice cluster into distinct sub-populations, stratifying according to Trim28 expression, transcriptome organization, and obesity-associated imprinted gene dysregulation. PMID: 26824653
  29. KAP1 controls 7SK snRNP delivery to promoter-proximal regions to facilitate "on-site" P-TEFb activation and Pol II elongation. PMID: 26725010
  30. KAP1 binds to the viral E1B-55K protein, promoting its SUMO modification, therefore illustrating a crucial step for efficient viral replication. PMID: 26537675
  31. Data show that tripartite motif-containing 28 protein (TRIM28) and beta-actin were up-regulated in the glioblastoma multiforme (GBM) stem-like cells compared to the controls. PMID: 25419715
  32. study suggests a SIRT1-KAP1 regulatory mechanism for HR-NHEJ repair pathway choice PMID: 25905708
  33. Study indicates that TRIM28 appears to play a unique and essential role in transcriptional elongation and DNA repair by pausing and stabilizing Pol II. [Review] PMID: 26293668
  34. SET interacts with the Kruppel-associated box (KRAB)-associated co-repressor KAP1, and its overexpression results in the sustained retention of KAP1 and Heterochromatin protein 1 (HP1) on chromatin PMID: 25818296
  35. Human cytomegalovirus latency in human CD34(+) hematopoietic stem cells reflects the recruitment on the viral genome of KAP1, a master co-repressor, together with HP1 and the SETDB1 histone methyltransferase, which results in transcriptional silencing. PMID: 25846574
  36. Nrf2 interaction with KSHV LANA-1 and the host KAP1 repress viral lytic gene expression. PMID: 25995248
  37. results suggest a model in which Trim28 is a tumor suppressor early in the transformation process in lung cancer, but in later stages it functions as an oncogene PMID: 24983967
  38. Inhibition of LMP1-induced protein sumoylation abrogates the binding of KAP1 to Epstein-Barr Virus promoters. PMID: 25948750
  39. TRIM28 is an E3 ligase for ARF-mediated SUMOylation of NPM1. PMID: 26055329
  40. KAP1 expression correlated significantly with clinical stage, pathological grade and metastases in ovarian cancer. PMID: 25548895
  41. Identify a nuclear localization signal within the 462-494 amino acid region of TRIM28 that overlaps with its HP1 binding site. GST-pulldown experiments revealed the interaction of the arginine-rich TRIM28 NLS with various importin alpha subtypes. PMID: 25960296
  42. Data show that RRP1B regulates metastasis associated gene expression by interacting with the transcriptional corepressors TRIM28 and HP1a, which act by recruiting chromatin-modifying enzymes. PMID: 25092915
  43. successfully established stable pcDNA5/FRT/TO-KAP1-HEK293 cell line, which can express KAP1 inducibly. This inducible cell line might be very useful for KAP1 functional studies. PMID: 26081272
  44. TRIM28 regulates senescence and affects the induction of the senescence-associated secretory phenotype. PMID: 25160591
  45. KAP-1 is overexpressed and correlates with increased metastatic ability in pancreatic cancer.KAP-1 may promote metastasis in pancreatic cancer by regulating the epithelial-mesenchymal transition. PMID: 24861921
  46. Results show that KAP1-mediated stimulation of multiple KRAB-ZNF contributes to the growth and metastasis of breast cancer. PMID: 25421577
  47. TRIM28-mediated regulation is responsible for controlling a very broad range of human-specific endogenous retroelements. PMID: 24879559
  48. MAGE proteins bind to KAP1, a gene repressor and ubiquitin E3 ligase which also binds KRAB domain containing zinc finger transcription factors (KZNFs), and MAGE expression may affect KZNF mediated gene regulation. PMID: 25107531
  49. the ARM dynamically regulates the SIM-dependent recruitment of targets to RNF4, which could be critical to dynamically fine-tune the abundance of Ser(P)-824-SUMO-KAP1 and, potentially, other SUMOylated proteins during DNA damage response. PMID: 24907272
  50. TRIM28 is a new factor that modulates Pol II pausing and transcriptional elongation at a large number of mammalian genes. PMID: 25173174

Show More

Hide All

Subcellular Location
Nucleus.
Protein Families
TRIM/RBCC family
Tissue Specificity
Expressed in all tissues tested including spleen, thymus, prostate, testis, ovary, small intestine, colon and peripheral blood leukocytes.
Database Links

HGNC: 16384

OMIM: 601742

KEGG: hsa:10155

STRING: 9606.ENSP00000253024

UniGene: Hs.467408

icon of phone
Call us
301-363-4651 (Available 9 a.m. to 5 p.m. CST from Monday to Friday)
icon of address
Address
7505 Fannin St., Ste 610, Room 7 (CUBIO Innovation Center), Houston, TX 77054, USA
icon of social media
Join us with

Subscribe newsletter

Leave a message

* To protect against spam, please pass the CAPTCHA test below.
CAPTCHA verification
© 2007-2025 CUSABIO TECHNOLOGY LLC All rights reserved. 鄂ICP备15011166号-1
×
Place an order now

I. Product details

*
*
*
*

II. Contact details

*
*

III. Ship To

*
*
*
*
*
*
*

IV. Bill To

*
*
*
*
*
*
*
*