ACOT2 Antibody

Code CSB-PA787914
Size US$166
Order now
Image
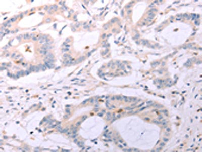
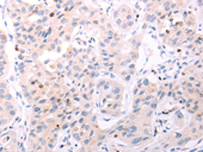
  • The image on the left is immunohistochemistry of paraffin-embedded Human colon cancer tissue using CSB-PA787914(ACOT2 Antibody) at dilution 1/25, on the right is treated with fusion protein. (Original magnification: ×200)
  • The image on the left is immunohistochemistry of paraffin-embedded Human lung cancer tissue using CSB-PA787914(ACOT2 Antibody) at dilution 1/25, on the right is treated with fusion protein. (Original magnification: ×200)
  • Gel: 8%SDS-PAGE, Lysate: 40 μg, Lane 1-2: Mouse kidney tissue, Mouse liver tissue, Primary antibody: CSB-PA787914(ACOT2 Antibody) at dilution 1/200, Secondary antibody: Goat anti rabbit IgG at 1/8000 dilution, Exposure time: 5 minutes
Have Questions? Leave a Message or Start an on-line Chat

Product Details

Uniprot No.
Target Names
Alternative Names
ACOT2 antibody; PTE2 antibody; PTE2AAcyl-coenzyme A thioesterase 2 antibody; mitochondrial antibody; Acyl-CoA thioesterase 2 antibody; EC 3.1.2.2 antibody; Acyl-coenzyme A thioester hydrolase 2a antibody; CTE-Ia antibody; Long-chain acyl-CoA thioesterase 2 antibody; ZAP128 antibody
Raised in
Rabbit
Species Reactivity
Human,Mouse
Immunogen
Fusion protein of Human ACOT2
Immunogen Species
Homo sapiens (Human)
Conjugate
Non-conjugated
Isotype
IgG
Purification Method
Antigen affinity purification
Concentration
It differs from different batches. Please contact us to confirm it.
Buffer
-20°C, pH7.4 PBS, 0.05% NaN3, 40% Glycerol
Form
Liquid
Tested Applications
ELISA,WB,IHC
Recommended Dilution
Application Recommended Dilution
ELISA 1:1000-1:2000
WB 1:200-1:1000
IHC 1:5-1:20
Troubleshooting and FAQs
Storage
Upon receipt, store at -20°C or -80°C. Avoid repeated freeze.
Lead Time
Basically, we can dispatch the products out in 1-3 working days after receiving your orders. Delivery time maybe differs from different purchasing way or location, please kindly consult your local distributors for specific delivery time.
Usage
For Research Use Only. Not for use in diagnostic or therapeutic procedures.

Customer Reviews and Q&A

 Customer Reviews

There are currently no reviews for this product.

Submit a Review here

Target Background

Function
Catalyzes the hydrolysis of acyl-CoAs into free fatty acids and coenzyme A (CoASH), regulating their respective intracellular levels. Displays higher activity toward long chain acyl CoAs (C14-C20). The enzyme is involved in enhancing the hepatic fatty acid oxidation in mitochondria.
Gene References into Functions
  1. the crystal structure at 2.1A resolution of human mitochondrial ACOT2, a type I enzyme is reported. PMID: 19497300
Subcellular Location
Mitochondrion.
Protein Families
C/M/P thioester hydrolase family
Tissue Specificity
Strongest expression in heart, liver, muscle and kidney. Weak in placenta and pancreas.
Database Links

HGNC: 18431

OMIM: 609972

KEGG: hsa:10965

STRING: 9606.ENSP00000238651

UniGene: Hs.446685

icon of phone
Call us
301-363-4651 (Available 9 a.m. to 5 p.m. CST from Monday to Friday)
icon of address
Address
7505 Fannin St., Ste 610, Room 7 (CUBIO Innovation Center), Houston, TX 77054, USA
icon of social media
Join us with

Subscribe newsletter

Leave a message

* To protect against spam, please pass the CAPTCHA test below.
CAPTCHA verification
© 2007-2025 CUSABIO TECHNOLOGY LLC All rights reserved. 鄂ICP备15011166号-1
×
Place an order now

I. Product details

*
*
*
*

II. Contact details

*
*

III. Ship To

*
*
*
*
*
*
*

IV. Bill To

*
*
*
*
*
*
*
*