APLF Antibody

Code CSB-PA784037
Size US$166
Order now
Image
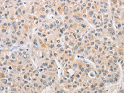
  • The image on the left is immunohistochemistry of paraffin-embedded Human liver cancer tissue using CSB-PA784037(APLF Antibody) at dilution 1/20, on the right is treated with fusion protein. (Original magnification: ×200)
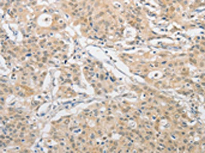
  • The image on the left is immunohistochemistry of paraffin-embedded Human gastric cancer tissue using CSB-PA784037(APLF Antibody) at dilution 1/20, on the right is treated with fusion protein. (Original magnification: ×200)
Have Questions? Leave a Message or Start an on-line Chat

Product Details

Uniprot No.
Target Names
APLF
Alternative Names
2010301N04Rik antibody; AI452191 antibody; Aplf antibody; APLF_HUMAN antibody; Aprataxin and PNK-like factor antibody; Apurinic-apyrimidinic endonuclease APLF antibody; C2orf13 antibody; PNK and APTX like FHA protein antibody; PNK and APTX-like FHA domain-containing protein antibody; RGD1565557 antibody; XIP1 antibody; XRCC1 interacting protein 1 antibody; XRCC1-interacting protein 1 antibody
Raised in
Rabbit
Species Reactivity
Human
Immunogen
Fusion protein of Human APLF
Immunogen Species
Homo sapiens (Human)
Conjugate
Non-conjugated
Isotype
IgG
Purification Method
Antigen affinity purification
Concentration
It differs from different batches. Please contact us to confirm it.
Buffer
-20°C, pH7.4 PBS, 0.05% NaN3, 40% Glycerol
Form
Liquid
Tested Applications
ELISA,IHC
Recommended Dilution
Application Recommended Dilution
ELISA 1:2000-1:5000
IHC 1:25-1:100
Troubleshooting and FAQs
Storage
Upon receipt, store at -20°C or -80°C. Avoid repeated freeze.
Lead Time
Basically, we can dispatch the products out in 1-3 working days after receiving your orders. Delivery time maybe differs from different purchasing way or location, please kindly consult your local distributors for specific delivery time.
Usage
For Research Use Only. Not for use in diagnostic or therapeutic procedures.

Customer Reviews and Q&A

 Customer Reviews

There are currently no reviews for this product.

Submit a Review here

Target Background

Function
Nuclease involved in single-strand and double-strand DNA break repair. Recruited to sites of DNA damage through interaction with poly(ADP-ribose), a polymeric post-translational modification synthesized transiently at sites of chromosomal damage to accelerate DNA strand break repair reactions. Displays apurinic-apyrimidinic (AP) endonuclease and 3'-5' exonuclease activities in vitro. Also able to introduce nicks at hydroxyuracil and other types of pyrimidine base damage. Together with PARP3, promotes the retention of the LIG4-XRCC4 complex on chromatin and accelerate DNA ligation during non-homologous end-joining (NHEJ).
Gene References into Functions
  1. characterization of the interaction of the APLF FHA domain with phosphorylated XRCC1 peptides PMID: 29059378
  2. These data suggest functional requirements for Ku and XRCC4 in APLF-dependent NHEJ and a unique role for Ku as a factor required to facilitate the nuclear retention of APLF. PMID: 23689425
  3. APLF promotes the assembly and activity of multi-protein Ku-DNA complexes containing all of the Non-homologous end joining (NHEJ) factors required for DNA ligation. PMID: 23178593
  4. Polynucleotide kinase and aprataxin-like forkhead-associated protein (PALF) acts as both a single-stranded DNA endonuclease and a single-stranded DNA 3' exonuclease and can participate in DNA end joining in a biochemical system. PMID: 21885877
  5. only a positive association (OR=1.58, 95% CI 1.05-2.46, P=0.027) was obtained for XRCC1 (Arg280His PMID: 21414327
  6. APLF has a role in chromosomal DNA double-strand break repair. PMID: 21211721
  7. The poly(ADP-ribose)-regulated protein APLF as a DNA-damage-specific histone chaperone. PMID: 21211722
  8. The authors present solution structures of the two poly(ADP-ribose)-binding zinc finger modules of aprataxin and PNK-like factor (APLF), revealing a novel type of zinc finger. PMID: 20098424
  9. These data identify APLF as a novel component of the cellular response to DNA strand breaks in human cells. PMID: 17353262
  10. PALF is novel human AP endonuclease with conserved zinc-finger-like motifs involved in DNA strand break responses. PMID: 17396150
  11. APLF is an ATM target that is involved in nonhomologous end-joining and facilitates double-strand break repair, likely via interactions with Ku and XRCC4-DNA ligase IV. PMID: 18077224
  12. Study concludes that APLF can accumulate at sites of chromosomal damage via zinc finger-mediated binding to poly(ADP-ribose) and is a novel component of poly(ADP-ribose) signaling in mammalian cells. PMID: 18474613

Show More

Hide All

Subcellular Location
Nucleus. Chromosome. Cytoplasm, cytosol.
Protein Families
APLF family
Database Links

HGNC: 28724

OMIM: 611035

KEGG: hsa:200558

STRING: 9606.ENSP00000307004

UniGene: Hs.720369

icon of phone
Call us
301-363-4651 (Available 9 a.m. to 5 p.m. CST from Monday to Friday)
icon of address
Address
7505 Fannin St., Ste 610, Room 7 (CUBIO Innovation Center), Houston, TX 77054, USA
icon of social media
Join us with

Subscribe newsletter

Leave a message

* To protect against spam, please pass the CAPTCHA test below.
CAPTCHA verification
© 2007-2025 CUSABIO TECHNOLOGY LLC All rights reserved. 鄂ICP备15011166号-1
×
Place an order now

I. Product details

*
*
*
*

II. Contact details

*
*

III. Ship To

*
*
*
*
*
*
*

IV. Bill To

*
*
*
*
*
*
*
*