APLP1 Antibody

Code CSB-PA236485
Size US$166
Order now
Image
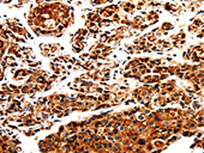
  • The image is immunohistochemistry of paraffin-embedded Human thyroid cancer tissue using CSB-PA236485(APLP1 Antibody) at dilution 1/25. (Original magnification: ×200)
  • The image is immunohistochemistry of paraffin-embedded Human liver cancer tissue using CSB-PA236485(APLP1 Antibody) at dilution 1/25. (Original magnification: ×200)
  • Gel: 8%SDS-PAGE, Lysate: 40 μg, Lane: Human fetal brain tissue, Primary antibody: CSB-PA236485(APLP1 Antibody) at dilution 1/650, Secondary antibody: Goat anti rabbit IgG at 1/8000 dilution, Exposure time: 10 seconds
Have Questions? Leave a Message or Start an on-line Chat

Product Details

Uniprot No.
Target Names
APLP1
Alternative Names
APLP1; Amyloid beta precursor like protein 1; Amyloid beta; A4 precursor-like protein 1; Amyloid-like protein 1; APLP; APLP-1
Raised in
Rabbit
Species Reactivity
Human,Mouse
Immunogen
Fusion protein of Human APLP1
Immunogen Species
Homo sapiens (Human)
Conjugate
Non-conjugated
Isotype
IgG
Purification Method
Antigen affinity purification
Concentration
It differs from different batches. Please contact us to confirm it.
Buffer
-20°C, pH7.4 PBS, 0.05% NaN3, 40% Glycerol
Form
Liquid
Tested Applications
ELISA,WB,IHC
Recommended Dilution
Application Recommended Dilution
ELISA 1:500-1:5000
WB 1:500-1:2000
IHC 1:25-1:100
Troubleshooting and FAQs
Storage
Upon receipt, store at -20°C or -80°C. Avoid repeated freeze.
Lead Time
Basically, we can dispatch the products out in 1-3 working days after receiving your orders. Delivery time maybe differs from different purchasing way or location, please kindly consult your local distributors for specific delivery time.
Usage
For Research Use Only. Not for use in diagnostic or therapeutic procedures.

Customer Reviews and Q&A

 Customer Reviews

There are currently no reviews for this product.

Submit a Review here

Target Background

Function
May play a role in postsynaptic function. The C-terminal gamma-secretase processed fragment, ALID1, activates transcription activation through APBB1 (Fe65) binding. Couples to JIP signal transduction through C-terminal binding. May interact with cellular G-protein signaling pathways. Can regulate neurite outgrowth through binding to components of the extracellular matrix such as heparin and collagen I.; The gamma-CTF peptide, C30, is a potent enhancer of neuronal apoptosis.
Gene References into Functions
  1. The direct cleavage of APLP1 is a novel feature of the gamma-secretase. PMID: 29382944
  2. Results provide direct evidence that APLP1 functions as a neuronal zinc-dependent adhesion protein and allow a more detailed understanding of the molecular mechanisms driving the formation of APLP1 adhesion platforms. PMID: 29021345
  3. The results show that in cognitively normal young adults carrying APlp1 mutations showed different spontaneous brain activity patterns without cerebral structural differences. PMID: 28987665
  4. These data reveal a conserved mechanism for the binding of APP-family proteins to HS and imply a specific regulatory role of HS modifications in the biology of APP and APP-like proteins. PMID: 25760599
  5. APLP1 and APLP2, behave similarly to APP in that they both associate with assembled NMDA receptors in the endoplasmic reticulum PMID: 25683482
  6. CSF levels of 3 endogenous peptides derived from APLP1 (APL1beta25, APL1beta27 and APL1beta28) were decreased in Down syndrome. PMID: 24740518
  7. APLP1 has a regulatory role in the nuclear translocation of APP family intracellular domains due to the sequestration of Fe65. PMID: 23874953
  8. [review] APP and its mammalian homologs, amyloid precursor-like proteins APLP1 and APLP2, participate under physiological conditions via trans-cellular dimerization in synaptogenesis. PMID: 21952790
  9. APLP1 binds the II-III loop of the Ca(v)2.3 calcium channel and that this binding promotes internalization of the channel. PMID: 22178872
  10. Both APLP1 and APLP2, form transcriptionally active triple protein complexes with Mint3 and transcriptional co-activators Taz andYap. PMID: 21178287
  11. The 2.1 A resolution electron density map reveals phosphate ions that are bound to the protein surface. Mutational analysis shows that protein residues interacting with the phosphate ions are also involved in heparin binding. PMID: 21574595
  12. Human cerebrospinal fluid contains three APLP1-derived Abeta-like peptides that are generated by beta- and gamma-cleavages at a concentration of approximately 4.5 nM. PMID: 20049724
  13. APLP1 and APLP2 are processed by the gamma-secretase in a Presenilin 1-dependent manner and the extreme carboxyl-terminal fragments produced by this processing (APP-like Intracellular Domain) are able to enhance Fe65-dependent gene activation PMID: 12228233
  14. APLP1 does not undergo the same type of regulated processing as APP and APLP2. PMID: 14597230
  15. APLP1 and APLP2 and APP are processed similarly to act via the same nuclear target and are regulated by BACE 1 in neurons PMID: 14699153
  16. APLP-1 and APLP-2 are processed by alpha- and gamma-secretase-like cleavages, and their intracellular domains can be released by cleavage at epsilon-sites. APLP-2 processing appears to be the most elaborate and to involve alternative cleavage sites. PMID: 14970212
  17. The 5' UTR of the Aplp1 gene lacks any type of CAGA box. This may explain its inability to form amyloid plaques. PMID: 15208260
  18. APLP1 affects the endocytosis of APP and makes more APP available for alpha-secretase cleavage PMID: 16344553
  19. APLP1 is differentially upregulated in gastrointestinal neuroendocrine tumours and may be important for the dissemination of small intestinal carcinoids PMID: 18430897
  20. Coexpression of APP with APLP1 or APLP2 leads to diminished generation of Abeta42 PMID: 19126676
  21. neither cell-derived nor chemically synthesized APLP1-derived peptide influences the oligomerization or aggregation of Abeta PMID: 19401174

Show More

Hide All

Subcellular Location
Cell membrane; Single-pass type I membrane protein.; [C30]: Cytoplasm. Note=C-terminally processed in the Golgi complex.
Protein Families
APP family
Tissue Specificity
Expressed in the cerebral cortex where it is localized to the postsynaptic density (PSD).
Database Links

HGNC: 597

OMIM: 104775

KEGG: hsa:333

STRING: 9606.ENSP00000221891

UniGene: Hs.74565

icon of phone
Call us
301-363-4651 (Available 9 a.m. to 5 p.m. CST from Monday to Friday)
icon of address
Address
7505 Fannin St., Ste 610, Room 7 (CUBIO Innovation Center), Houston, TX 77054, USA
icon of social media
Join us with

Subscribe newsletter

Leave a message

* To protect against spam, please pass the CAPTCHA test below.
CAPTCHA verification
© 2007-2025 CUSABIO TECHNOLOGY LLC All rights reserved. 鄂ICP备15011166号-1
×
Place an order now

I. Product details

*
*
*
*

II. Contact details

*
*

III. Ship To

*
*
*
*
*
*
*

IV. Bill To

*
*
*
*
*
*
*
*