ARHGAP5 Antibody

Code CSB-PA923194
Size US$166
Order now
Image
  • The image on the left is immunohistochemistry of paraffin-embedded Human thyroid cancer tissue using CSB-PA923194(ARHGAP5 Antibody) at dilution 1/25, on the right is treated with fusion protein. (Original magnification: ×200)
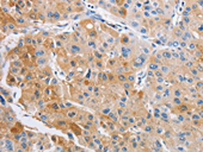
  • The image on the left is immunohistochemistry of paraffin-embedded Human liver cancer tissue using CSB-PA923194(ARHGAP5 Antibody) at dilution 1/25, on the right is treated with fusion protein. (Original magnification: ×200)
Have Questions? Leave a Message or Start an on-line Chat

Product Details

Uniprot No.
Target Names
Alternative Names
Arhgap5 antibody; p190-B antibody; RHG05_HUMAN antibody; Rho GTPase activating protein 5 antibody; Rho GTPase-activating protein 5 antibody; Rho-type GTPase-activating protein 5 antibody
Raised in
Rabbit
Species Reactivity
Human,Mouse
Immunogen
Fusion protein of Human ARHGAP5
Immunogen Species
Homo sapiens (Human)
Conjugate
Non-conjugated
Isotype
IgG
Purification Method
Antigen affinity purification
Concentration
It differs from different batches. Please contact us to confirm it.
Buffer
-20°C, pH7.4 PBS, 0.05% NaN3, 40% Glycerol
Form
Liquid
Tested Applications
ELISA,IHC
Recommended Dilution
Application Recommended Dilution
ELISA 1:2000-1:5000
IHC 1:25-1:100
Troubleshooting and FAQs
Storage
Upon receipt, store at -20°C or -80°C. Avoid repeated freeze.
Lead Time
Basically, we can dispatch the products out in 1-3 working days after receiving your orders. Delivery time maybe differs from different purchasing way or location, please kindly consult your local distributors for specific delivery time.
Usage
For Research Use Only. Not for use in diagnostic or therapeutic procedures.

Customer Reviews and Q&A

 Customer Reviews

There are currently no reviews for this product.

Submit a Review here

Target Background

Function
GTPase-activating protein for Rho family members.
Gene References into Functions
  1. only collagen-IV elicits the formation of proteolytically active podosomes through a mechanism involving increased Src phosphorylation, p190RhoGAP-B (also known as ARHGAP5) relocalisation and MT1-MMP (also known as MMP14) cell surface exposure at podosome sites. PMID: 27231093
  2. Brazilian Amerindian ancestry compared to Asian, European, and African Genomes.SNPs within or proximal to CIITA (rs6498115), SMC6 (rs1834619), and KLHL29 (rs2288697) were most differentiated in the Amerindian-specific branch. SNPs in ADAMTS9 (rs7631391), DOCK2 (rs77594147), SLC28A1 (rs28649017), ARHGAP5 (rs7151991), and CIITA (rs45601437) in the Asian comparison. PMID: 28100790
  3. This newly identified miR-744/ARHGAP5 pathway provides further insight into the progression and metastasis of NPC and indicates potential novel therapeutic targets for NPC. PMID: 25961434
  4. Ectopic expression of p190B suppressed the miR-494-induced EGFR upregulation. PMID: 24316134
  5. The expression level of miR-486-5p was inversely correlated with that of ARHGAP5. PMID: 23474761
  6. RhoA is down-regulated at cell-cell contacts via p190RhoGAP-B in response to tensional homeostasis. PMID: 23552690
  7. Data indicate a role for p120-catenin (amino acids 820-843) domain in the p120-catenin.p190RhoGAP signaling complex assembly and membrane targeting. PMID: 23653363
  8. A cell cycle-regulated reduction in endogenous p190 levels is linked to completion of cytokinesis and generation of viable cell progeny. PMID: 14610059
  9. precise control of p190-B Rho GTPase-activating protein activity is critical for normal branching morphogenesis during mammary gland development PMID: 16469769
  10. Results link Cdk5 to Rho-ROCK signaling via Src and p190RhoGAP and implicate Cdk5 in the regulation of cell contraction, attachment, and migration. PMID: 19822667

Show More

Hide All

Subcellular Location
Cytoplasm. Cell membrane; Peripheral membrane protein.
Tissue Specificity
Detected in skin fibroblasts (at protein level).
Database Links

HGNC: 675

OMIM: 602680

KEGG: hsa:394

STRING: 9606.ENSP00000371897

UniGene: Hs.592313

icon of phone
Call us
301-363-4651 (Available 9 a.m. to 5 p.m. CST from Monday to Friday)
icon of address
Address
7505 Fannin St., Ste 610, Room 7 (CUBIO Innovation Center), Houston, TX 77054, USA
icon of social media
Join us with

Subscribe newsletter

Leave a message

* To protect against spam, please pass the CAPTCHA test below.
CAPTCHA verification
© 2007-2025 CUSABIO TECHNOLOGY LLC All rights reserved. 鄂ICP备15011166号-1
×
Place an order now

I. Product details

*
*
*
*

II. Contact details

*
*

III. Ship To

*
*
*
*
*
*
*

IV. Bill To

*
*
*
*
*
*
*
*