ARHGEF7 Antibody

Code CSB-PA01445A0Rb
Size US$166
Order now
Image
  • IHC image of CSB-PA01445A0Rb diluted at 1:50 and staining in paraffin-embedded human gastric cancer performed on a Leica BondTM system. After dewaxing and hydration, antigen retrieval was mediated by high pressure in a citrate buffer (pH 6.0). Section was blocked with 10% normal goat serum 30min at RT. Then primary antibody (1% BSA) was incubated at 4°C overnight. The primary is detected by a Goat anti-rabbit polymer IgG labeled by HRP and visualized using 0.05% DAB. Secondary antibody only control: uses 1% BSA instead of primary antibody
  • IHC image of CSB-PA01445A0Rb diluted at 1:50 and staining in paraffin-embedded human colorectal cancer performed on a Leica BondTM system. After dewaxing and hydration, antigen retrieval was mediated by high pressure in a citrate buffer (pH 6.0). Section was blocked with 10% normal goat serum 30min at RT. Then primary antibody (1% BSA) was incubated at 4°C overnight. The primary is detected by a Goat anti-rabbit polymer IgG labeled by HRP and visualized using 0.05% DAB. Secondary antibody only control: uses 1% BSA instead of primary antibody
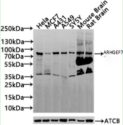
  • Western Blot
    Positive WB detected in: Hela whole cell lysate(30µg), MCF7 whole cell lysate(30µg), A431 whole cell lysate(30µg), A549 whole cell lysate(30µg), SY5Y whole cell lysate(30µg),Mouse Brain tissue lysate(20µg),Rat Brain tissue lysate(20µg)
    All lanes: ARHGEF7 antibody at 1:1000
    Secondary
    Goat polyclonal to rabbit IgG at 1/40000 dilution
    Predicted band size: 91/74/85/88/83/71 kDa
    Observed band size: 71-91 kDa
    Exposure time: 120s
Promotion Free Antibody trial simple
Have Questions? Leave a Message or Start an on-line Chat

Product Details

Full Product Name
Rabbit anti-Homo sapiens (Human) ARHGEF7 Polyclonal antibody
Uniprot No.
Target Names
Alternative Names
ARHG7 antibody; ARHG7_HUMAN antibody; ARHGEF 7 antibody; Arhgef7 antibody; Beta pix antibody; Beta-Pix antibody; betaPix antibody; betaPix-b antibody; betaPix-c antibody; Cool antibody; COOL-1 antibody; COOL1 antibody; DKFZp686C12170 antibody; DKFZp761K1021 antibody; KIAA0142 antibody; KIAA0412 antibody; mKIAA0142 antibody; Nbla10314 antibody; P50 antibody; P50BP antibody; p85 antibody; P85COOL1 antibody; P85SPR antibody; PAK interacting exchange factor beta antibody; PAK-interacting exchange factor beta antibody; PAK3 antibody; Pak3bp antibody; PIX antibody; PIXB antibody; Rho guanine nucleotide exchange factor (GEF) 7 antibody; Rho guanine nucleotide exchange factor (GEF) 7b antibody; Rho guanine nucleotide exchange factor (GEF7) antibody; Rho guanine nucleotide exchange factor 7 antibody; SH3 domain containing proline rich protein antibody
Raised in
Rabbit
Species Reactivity
Human, Mouse
Immunogen
Recombinant Human Rho guanine nucleotide exchange factor 7 protein (1-250AA)
Immunogen Species
Homo sapiens (Human)
Conjugate
Non-conjugated

The ARHGEF7 Antibody (Product code: CSB-PA01445A0Rb) is Non-conjugated. For ARHGEF7 Antibody with conjugates, please check the following table.

Available Conjugates
Conjugate Product Code Product Name Application
HRP CSB-PA01445B0Rb ARHGEF7 Antibody, HRP conjugated ELISA
FITC CSB-PA01445C0Rb ARHGEF7 Antibody, FITC conjugated
Biotin CSB-PA01445D0Rb ARHGEF7 Antibody, Biotin conjugated ELISA
Clonality
Polyclonal
Isotype
IgG
Purification Method
Antigen affinity purification
Concentration
It differs from different batches. Please contact us to confirm it.
Buffer
Preservative: 0.03% Proclin 300
Constituents: 50% Glycerol, 0.01M PBS, PH 7.4
Form
Liquid
Tested Applications
ELISA, WB, IHC
Recommended Dilution
Application Recommended Dilution
WB 1:500-1:2000
IHC 1:50-1:200
Troubleshooting and FAQs
Storage
Upon receipt, store at -20°C or -80°C. Avoid repeated freeze.
Lead Time
Basically, we can dispatch the products out in 1-3 working days after receiving your orders. Delivery time maybe differs from different purchasing way or location, please kindly consult your local distributors for specific delivery time.
Usage
For Research Use Only. Not for use in diagnostic or therapeutic procedures.

Customer Reviews and Q&A

 Customer Reviews

There are currently no reviews for this product.

Submit a Review here

Target Background

Function
Acts as a RAC1 guanine nucleotide exchange factor (GEF) and can induce membrane ruffling. Functions in cell migration, attachment and cell spreading. Promotes targeting of RAC1 to focal adhesions. May function as a positive regulator of apoptosis. Downstream of NMDA receptors and CaMKK-CaMK1 signaling cascade, promotes the formation of spines and synapses in hippocampal neurons.
Gene References into Functions
  1. Traction forces generated by beta-PIX knockdown cells are increased relative to those in control cells, a result consistent with an unexpected enhancement in the migration of single beta-PIX knockdown cells and monolayers of such cells. Authors propose that targeting beta-PIX might be a means of promoting epithelialization of wounds in vivo. PMID: 28596238
  2. S340E mutation enhances Nox1 activation (Kaito et al., 2014), the present study suggests that betaPix can also play an inhibitory role in O2(-) production, depending on the sites of phosphorylation. PMID: 29242061
  3. Data suggest that Scribble PDZ-domain-1 and PDZ-domain-3 are major domains that interact with beta-PIX and exhibit distinct binding hierarchy in interactions between individual Scribble PDZ domains and beta-PIX. (Scribble = scribbled planar cell polarity protein; beta-PIX = Rho guanine nucleotide exchange factor 7) PMID: 29061852
  4. each mutation in LRRK2 and ARHGEF7 demonstrated its unique functional property, which may contribute to the pathogenesis of Parkinson disease PMID: 27423549
  5. we discuss recent findings in key physiological systems that exemplify current understanding of the function of this important regulatory complex. Further, we draw attention to gaps in crucial information that remain to be filled to allow a better understanding of the many roles of the GIT-PIX complex in health and disease PMID: 27182061
  6. Data show association of G protein-coupled receptor kinase-interacting protein 1 (GIT1), p21-activated kinase interacting exchange factor (betaPIX), and p21 protein (Cdc42/Rac)-activated kinase 1 (PAK1) with centrosomes. PMID: 27012601
  7. Data show the role of Rho guanine nucleotide exchange factor 7 (beta-PIX) to the regulation of high mobility of lung adenocarcinoma cell line H1299 via regulation of focal adhesions dynamics, changes in actin cytoskeleton organization and cell polarity. PMID: 25683605
  8. Phosphorylation of LRRK2 by casein kinase 1alpha regulates trans-Golgi clustering via differential interaction with ARHGEF7. PMID: 25500533
  9. GIT1/betaPIX/Rac1/PAK pathway plays a crucial role in regulating GABA(A)R synaptic stability and hence inhibitory synaptic transmission with important implications for inhibitory plasticity and information processing in the brain. PMID: 25284783
  10. Conversely, increased expression of betaPIX in breast cancer cell lines re-couples the Hippo kinase cassette to Yap/Taz, promoting localization of Yap/Taz to the cytoplasm and inhibiting cell migration and proliferation. PMID: 25425573
  11. Data indicate that suppression of c-Cbl protein by rho guanine nucleotide exchange factor 7 (Cool-1) may be critical for generation of at least a subset of glioblastoma (GBM). PMID: 24458840
  12. The interaction of betaPix with srGAP1 is critical for maintaining suppressive crosstalk between Cdc42 and RhoA during 3D collagen migration. PMID: 25150978
  13. BetaPix phosphorylation at Ser-340 upregulates Nox1 through Rac activation. PMID: 24792722
  14. It has identified and characterized a novel interaction between CaM and beta-p21-activated kinase interacting exchange factor (beta-PIX), a putative guanine exchange factor implicated in cell signaling. PMID: 22588125
  15. Inhibition of glycogen synthase kinase (GSK)-3beta increases the migration capacity of mesenchymal stromal cells during ex vivo expansion. PMID: 23288365
  16. beta1Pix functions as a transcriptional regulator of beta-catenin signaling through direct interaction with beta-catenin, an action that may be functionally relevant to colon cancer biology. PMID: 24129564
  17. BETA-PIX is a novel downstream signalling mediator during invadopodia formation. PMID: 23740575
  18. In vivo migratory capacity of mesenchymal stromal cells depends upon the expression level of beta-PIX. PMID: 22087847
  19. These defects could be rescued by depletion of ARHGEF7 and p21-activated kinase, Rac1-specific effector proteins required for cell adhesion. PMID: 22945935
  20. a model by which SNX27 regulates trafficking of beta-Pix to focal adhesions and thereby influences cell motility. PMID: 21926430
  21. Results describe the role of beta-Pix in the negative regulation of focal adhesion maturation and the promotion of lamellipodial protrusion and focal adhesion turnover to drive cell migration. PMID: 21423176
  22. Downstream effects of phosphorylation of ARHGEF7 through LRRK2 could be (i) a feedback control mechanism for LRRK2 activity as well as (ii) an impact of LRRK2 on actin cytoskeleton regulation PMID: 21048939
  23. betaPix up-regulates NHE3 membrane expression and activity by Shank2-mediated protein-protein interaction and by activating Rho GTPases in the apical regions of epithelial cells PMID: 20080968
  24. MYO18A is a novel binding partner of the PAK2/betaPIX/GIT1 complex and suggest that MYO18A may play an important role in regulating epithelial cell migration via affecting multiple cell machineries. PMID: 19923322
  25. bFGF- and NGF-induced phosphorylation of p85 betaPIX mediates Rac1 activation, which in turn regulates cytoskeletal reorganization at growth cones, but not translocation of the PIX complex. PMID: 14557270
  26. PIX protein is tightly associated with the GIT family ARF GTPase-activating proteins as a multimeric nexus capable of linking together important signaling molecules. PMID: 15212761
  27. PAK1 recruitment to the T cell-antigen-presenting cell interface required interaction with PIX. PMID: 15864311
  28. These results suggest that the formation of the complex consisting of Nox1, betaPix, and NoxO1 is likely to be a critical step in EGF-induced ROS generation. PMID: 16329988
  29. the SH3 domain of betaPix specifically interacts with a proline-arginine motif (PxxxPR) present within the ubiquitin ligase Cbl and Pak1 kinase. Cdc42/betaPix complex blocks Cbl's ability to downregulate EGFR. PMID: 16407834
  30. Rac1-beta-Pix interaction is required for Rac1 activation by beta-Pix as well as for Rac1-mediated spreading PMID: 16492808
  31. These data strongly suggest that, in addition to the known SAP-interacting kinase Fyn, PIX may be another key player in SAP-mediated T cell activation. PMID: 16983070
  32. Tiam1 and betaPIX mediate OxPAPC-induced Rac activation, cytoskeletal remodeling, and barrier protective response in pulmonary endothelium PMID: 17219408
  33. The association of PLCgamma1 with complexes containing GIT1 and beta-Pix is essential for its role in integrin-mediated cell spreading and motility. As a component of this complex, PLCgamma1 is also involved in the activation of Cdc42 and Rac1. PMID: 17562871
  34. PKA-dependent phosphorylation modulates PIXB activity through 14-3-3-beta binding. PMID: 18160719
  35. mutant betaPIX lacking guanine nucleotide exchange factor activity inhibited lamellipodium formation PMID: 18325335
  36. These results identify p66Shc and FOXO3a as novel partners of beta(1)Pix and represent the first direct evidence of beta(1)Pix in cell proliferation via Erk/p66Shc-dependent and Akt-independent mechanisms. PMID: 18385518
  37. Data show that the Rac1 guanine exchange factor- beta-Pix, localizes to focal contacts in human primary Schwannoma cells. PMID: 18445079
  38. Beta-PIX regulates nitric oxide synthase type 2 (NOD2) trafficking and NOD2-dependent signal transduction in primary human monocytes and cell line THP-1. PMID: 18684957
  39. betaPIX and GIT1 regulate the hepatocyte growth factor-induced and Rac1-dependent membrane transport of WAVE2 and consequently, lamellipodia formation. PMID: 19303398

Show More

Hide All

Subcellular Location
Cell junction, focal adhesion. Cell projection, ruffle. Cytoplasm, cell cortex. Cell projection, lamellipodium. Note=Detected at cell adhesions. A small proportion is detected at focal adhesions.
Database Links

HGNC: 15607

OMIM: 605477

KEGG: hsa:8874

STRING: 9606.ENSP00000364893

UniGene: Hs.508738

icon of phone
Call us
301-363-4651 (Available 9 a.m. to 5 p.m. CST from Monday to Friday)
icon of address
Address
7505 Fannin St., Ste 610, Room 7 (CUBIO Innovation Center), Houston, TX 77054, USA
icon of social media
Join us with

Subscribe newsletter

Leave a message

* To protect against spam, please pass the CAPTCHA test below.
CAPTCHA verification
© 2007-2025 CUSABIO TECHNOLOGY LLC All rights reserved. 鄂ICP备15011166号-1
×
Place an order now

I. Product details

*
*
*
*

II. Contact details

*
*

III. Ship To

*
*
*
*
*
*
*

IV. Bill To

*
*
*
*
*
*
*
*