CARD9 Antibody

Code CSB-PA777748
Size US$166
Order now
Image
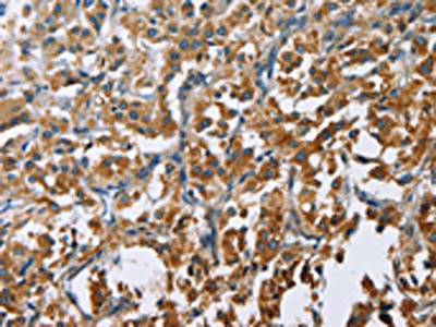
  • The image on the left is immunohistochemistry of paraffin-embedded Human thyroid cancer tissue using CSB-PA777748(CARD9 Antibody) at dilution 1/60, on the right is treated with fusion protein. (Original magnification: ×200)
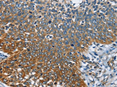
  • The image on the left is immunohistochemistry of paraffin-embedded Human cervical cancer tissue using CSB-PA777748(CARD9 Antibody) at dilution 1/60, on the right is treated with fusion protein. (Original magnification: ×200)
Have Questions? Leave a Message or Start an on-line Chat

Product Details

Uniprot No.
Target Names
Alternative Names
CANDF2 antibody; CARD9 antibody; CARD9_HUMAN antibody; Caspase recruitment domain family member 9 antibody; Caspase recruitment domain-containing protein 9 antibody; hCARD9 antibody
Raised in
Rabbit
Species Reactivity
Human
Immunogen
Fusion protein of Human CARD9
Immunogen Species
Homo sapiens (Human)
Conjugate
Non-conjugated
Isotype
IgG
Purification Method
Antigen affinity purification
Concentration
It differs from different batches. Please contact us to confirm it.
Buffer
-20°C, pH7.4 PBS, 0.05% NaN3, 40% Glycerol
Form
Liquid
Tested Applications
ELISA,IHC
Recommended Dilution
Application Recommended Dilution
ELISA 1:1000-1:5000
IHC 1:50-1:200
Troubleshooting and FAQs
Storage
Upon receipt, store at -20°C or -80°C. Avoid repeated freeze.
Lead Time
Basically, we can dispatch the products out in 1-3 working days after receiving your orders. Delivery time maybe differs from different purchasing way or location, please kindly consult your local distributors for specific delivery time.
Usage
For Research Use Only. Not for use in diagnostic or therapeutic procedures.

Customer Reviews and Q&A

 Customer Reviews

There are currently no reviews for this product.

Submit a Review here

Target Background

Function
Adapter protein that plays a key role in innate immune response against fungi by forming signaling complexes downstream of C-type lectin receptors. CARD9-mediated signals are essential for antifungal immunity against a subset of fungi from the phylum Ascomycota. Transduces signals in myeloid cells downstream of C-type lectin receptors CLEC7A (dectin-1), CLEC6A (dectin-2) and CLEC4E (Mincle), which detect pathogen-associated molecular pattern metabolites (PAMPs), such as fungal carbohydrates, and trigger CARD9 activation. Upon activation, CARD9 homooligomerizes to form a nucleating helical template that recruits BCL10 via CARD-CARD interaction, thereby promoting polymerization of BCL10 and subsequent recruitment of MALT1: this leads to activation of NF-kappa-B and MAP kinase p38 (MAPK11, MAPK12, MAPK13 and/or MAPK14) pathways which stimulate expression of genes encoding pro-inflammatory cytokines and chemokines. CARD9 signaling in antigen-presenting cells links innate sensing of fungi to the activation of adaptive immunity and provides a cytokine milieu that induces the development and subsequent of interleukin 17-producing T helper (Th17) cells. Also involved in activation of myeloid cells via classical ITAM-associated receptors and TLR: required for TLR-mediated activation of MAPK, while it is not required for TLR-induced activation of NF-kappa-B. CARD9 can also be engaged independently of BCL10: forms a complex with RASGRF1 downstream of C-type lectin receptors, which recruits and activates HRAS, leading to ERK activation and the production of cytokines. Acts as an important regulator of the intestinal commensal fungi (mycobiota) component of the gut microbiota. Plays an essential role in antifungal immunity against dissemination of gut fungi: acts by promoting induction of antifungal IgG antibodies response in CX3CR1(+) macrophages to confer protection against disseminated C.albicans or C.auris infection. Also mediates immunity against other pathogens, such as certain bacteria, viruses and parasites; CARD9 signaling is however redundant with other innate immune responses. In response to L.monocytogenes infection, required for the production of inflammatory cytokines activated by intracellular peptidoglycan: acts by connecting NOD2 recognition of peptidoglycan to downstream activation of MAP kinases (MAPK) without activating NF-kappa-B.
Gene References into Functions
  1. CARD9 deficiency can present with a phenotype of spontaneous candidal endophthalmitis. We report 2 novel mutations in CARD9, both affecting splicing, expanding the range of morbid variants causing CARD9 deficiency, emphasising the importance of both genomic and cDNA sequencing for this condition. PMID: 28984994
  2. Our results reveal a molecular mechanism for CLR-mediated Card9 regulation that controls innate immunity to fungal infections PMID: 27926862
  3. The IBD risk allele at CARD9 rs10781499 is associated with reduced aryl hydrocarbon activation by microbiota-derived metabolites extracted from fecal samples of IBD patients. PMID: 27158904
  4. Card9 in severe acute pancreatitis patients was overexpressed, suggesting the close correlation with the outcome and severity of pancreatic injury in patients. PMID: 26893103
  5. CARD9 allele C (p = 0.012) and genotype CC (p = 0.012) were significant protective factors against ankylosing spondylitis only in HLA-B27-negative patients. PMID: 26590821
  6. The findings linked, for the first time, mutations leading to CARD9 deficiencies with susceptibility to opportunistic filamentous fungi. PMID: 26440558
  7. Chronic and invasive fungal infections have been described in a Turkish consanguineous family with CARD9 deficiency. PMID: 26961233
  8. We observed no significant association between the investigated CARD9 SNPs and the susceptibility of either Crohn's disease or ulcerative colitis PMID: 26722558
  9. This study identified two novel independent loci (MAP3K14 and CARD9) strongly associated with joint damage in Mexican Americans and European Americans and a few shared loci showing suggestive evidence for association. PMID: 26498133
  10. Impaired RASGRF1/ERK-mediated GM-CSF response characterizes CARD9 deficiency in French-Canadians. PMID: 26521038
  11. homozygous mutation results in deep dermatophytosis due to impaired neutrophil fungal killing PMID: 26044242
  12. our data highlight the critical role of CARD9-dependent neutrophil trafficking into the central nervous system PMID: 26679537
  13. A CARD9 variant (protective against inflammatory bowel disease)is C-terminally truncated and acts in a dominant-negative manner for CARD9-mediated cytokine production. K125 is the CARD9 ubiquitinated residue. Ubiquitination is needed for CARD9 activity. PMID: 26488816
  14. These results indicate that CARD9 is indispensable for Phialophora verrucosa killing by polymorphonuclear neutrophils. PMID: 25790941
  15. Data indicate that MINCLE receptor is able to mediate the response to trehalose-6,6-dimycolate (TDM) dependent on SYK kinase and CARD9 protein. PMID: 26202982
  16. MyD88 and CARD9 act in two discrete phases and in two cellular compartments to direct chemokine- and neutrophil-dependent host defense. PMID: 25621893
  17. In a patient with CARD9 deficiency, clinical remission with adjunctive GM-CSF therapy suggested that a CARD9/GM-CSF axis contributes to susceptibility to candidiasis. PMID: 24704721
  18. Invasive infections of the CNS or digestive tract caused by Candida species in previously healthy children and adults might be caused by inherited CARD9 deficiency. PMID: 25702837
  19. These are the first 2 patients with inherited CARD9 deficiency. PMID: 25057046
  20. Results indicating that CARD9 is a regulator of metastasis-associated macrophages will lead to new insights into evolution of the microenvironments supporting tumor metastasis. PMID: 24722209
  21. CARD9 regulates H-Ras activation by linking Ras-GRF1 to H-Ras, which mediates Dectin-1-induced extracellular signal-regulated protein kinase (ERK) activation and proinflammatory responses when stimulated by their ligands. PMID: 25267792
  22. There is emergening evidence that genetic component is inviolved in the development of onychomycosis.(review) PMID: 24686315
  23. A new genome-wide significant association between CARD9 and IgA nephropathy. PMID: 25305756
  24. Intestinal failure patients with CARD9 polymorphism are less likely to develop progressive liver disease. PMID: 24465786
  25. Our study confirmed that an SNP rs11145835 in 9q34.3 that harbors CARD9 and SNAPC4 is associated with ankylosing spondylitis in a Chinese Han population PMID: 24334645
  26. this study reports a direct cytosolic interaction between the DNA-damage sensor Rad50 and the innate immune system adaptor CARD9. PMID: 24777530
  27. CARD9 mutations linked to subcutaneous phaeohyphomycosis and TH17 cell deficiencies. PMID: 24231284
  28. CARD9 may be involved in hepatic carcinogenesis associated with hepatitis C in Egyptian patients. PMID: 24018495
  29. All the patients with deep dermatophytosis had autosomal recessive CARD9 deficiency. PMID: 24131138
  30. Rubicon as a specific feedback inhibitor of CARD9-mediated pattern recognition receptor-signal transduction, preventing unbalanced proinflammatory responses. PMID: 22423967
  31. Human coronavirus-induced neuronal programmed cell death required cyclophilin d but not caspase 3 caspase 9 activities. PMID: 22013052
  32. variation in CARD9 genes was not associated with susceptibility to opportunistic fungal or bacterial infections in HIV-positive patients. PMID: 21985303
  33. genetic variation in CARD9 was not associated with susceptibility to candidemia. PMID: 21881131
  34. Three ulcerative colitis susceptibility loci are associated with primary sclerosing cholangitis and indicate a role for IL2, REL, and CARD9. PMID: 21425313
  35. High caspase-9 activity is associated with cervical malignancy. PMID: 21436691
  36. The single nucleotide polymorphisms most strongly associated with ankylosing spondylitis are those most associated with CARD9 expression. PMID: 20463747
  37. Studies suggest that the apoptosome contains a 1:1 Apaf-1:caspase-9 stoichiometry. PMID: 19809088
  38. Data show that pVHL acts as an adaptor to promote the inhibitory phosphorylation of the NF-kappaB agonist Card9 by casein kinase 2. PMID: 17936701
  39. CARD9 and IL18RAP are IBD loci important in innate immunity in the predisposition to both CD and UC. PMID: 18439550
  40. An autosomal recessive form of susceptibility to chronic mucocutaneous candidiasis is associated with homozygous mutations in CARD9. PMID: 19864672

Show More

Hide All

Involvement in disease
Candidiasis, familial, 2 (CANDF2)
Subcellular Location
Cytoplasm.
Tissue Specificity
Expression is restricted to several populations of phagocytes, such as macrophages, monocytes, and dendritic cells. Highly expressed in spleen. Also detected in liver, placenta, lung, peripheral blood leukocytes and in brain.
Database Links

HGNC: 16391

OMIM: 212050

KEGG: hsa:64170

STRING: 9606.ENSP00000360797

UniGene: Hs.694071

icon of phone
Call us
301-363-4651 (Available 9 a.m. to 5 p.m. CST from Monday to Friday)
icon of address
Address
7505 Fannin St., Ste 610, Room 7 (CUBIO Innovation Center), Houston, TX 77054, USA
icon of social media
Join us with

Subscribe newsletter

Leave a message

* To protect against spam, please pass the CAPTCHA test below.
CAPTCHA verification
© 2007-2025 CUSABIO TECHNOLOGY LLC All rights reserved. 鄂ICP备15011166号-1
×
Place an order now

I. Product details

*
*
*
*

II. Contact details

*
*

III. Ship To

*
*
*
*
*
*
*

IV. Bill To

*
*
*
*
*
*
*
*