CHGA Antibody

Code CSB-PA149991
Size US$166
Order now
Image
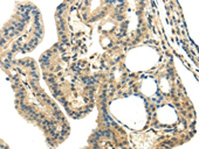
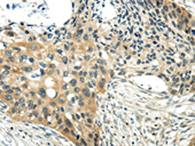
  • The image on the left is immunohistochemistry of paraffin-embedded Human thyroid cancer tissue using CSB-PA149991(CHGA Antibody) at dilution 1/35, on the right is treated with synthetic peptide. (Original magnification: ×200)
  • The image on the left is immunohistochemistry of paraffin-embedded Human esophagus cancer tissue using CSB-PA149991(CHGA Antibody) at dilution 1/35, on the right is treated with synthetic peptide. (Original magnification: ×200)
  • Gel: 8%SDS-PAGE,Lysate: 40 μg,,Primary antibody: CSB-PA149991(CHGA Antibody) at dilution 1/200 dilution,Secondary antibody: Goat anti rabbit IgG at 1/8000 dilution,Exposure time: 10 minutes
Have Questions? Leave a Message or Start an on-line Chat

Product Details

Uniprot No.
Target Names
Raised in
Rabbit
Species Reactivity
Human,Mouse,Rat
Immunogen
Synthetic peptide of Human CHGA
Immunogen Species
Homo sapiens (Human)
Conjugate
Non-conjugated
Isotype
IgG
Purification Method
Antigen affinity purification
Concentration
It differs from different batches. Please contact us to confirm it.
Buffer
-20°C, pH7.4 PBS, 0.05% NaN3, 40% Glycerol
Form
Liquid
Tested Applications
ELISA,WB,IHC
Recommended Dilution
Application Recommended Dilution
ELISA 1:1000-1:2000
WB 1:200-1:1000
IHC 1:25-1:100
Troubleshooting and FAQs
Storage
Upon receipt, store at -20°C or -80°C. Avoid repeated freeze.
Lead Time
Basically, we can dispatch the products out in 1-3 working days after receiving your orders. Delivery time maybe differs from different purchasing way or location, please kindly consult your local distributors for specific delivery time.
Usage
For Research Use Only. Not for use in diagnostic or therapeutic procedures.

Related Products

Customer Reviews and Q&A

 Customer Reviews

There are currently no reviews for this product.

Submit a Review here

Target Background

Function
Strongly inhibits glucose induced insulin release from the pancreas.; Inhibits catecholamine release from chromaffin cells and noradrenergic neurons by acting as a non-competitive nicotinic cholinergic antagonist. Displays antibacterial activity against Gram-positive bacteria S.aureus and M.luteus, and Gram-negative bacteria E.coli and P.aeruginosa. Can induce mast cell migration, degranulation and production of cytokines and chemokines. Acts as a potent scavenger of free radicals in vitro. May play a role in the regulation of cardiac function and blood pressure.; Regulates granule biogenesis in endocrine cells by up-regulating the transcription of protease nexin 1 (SERPINE2) via a cAMP-PKA-SP1 pathway. This leads to inhibition of granule protein degradation in the Golgi complex which in turn promotes granule formation.
Subcellular Location
[Serpinin]: Secreted. Cytoplasmic vesicle, secretory vesicle.; Cytoplasmic vesicle, secretory vesicle. Cytoplasmic vesicle, secretory vesicle, neuronal dense core vesicle. Secreted.
Protein Families
Chromogranin/secretogranin protein family
Tissue Specificity
GE-25 is found in the brain.
Database Links

HGNC: 1929

OMIM: 118910

KEGG: hsa:1113

STRING: 9606.ENSP00000216492

UniGene: Hs.150793

icon of phone
Call us
301-363-4651 (Available 9 a.m. to 5 p.m. CST from Monday to Friday)
icon of address
Address
7505 Fannin St., Ste 610, Room 7 (CUBIO Innovation Center), Houston, TX 77054, USA
icon of social media
Join us with

Subscribe newsletter

Leave a message

* To protect against spam, please pass the CAPTCHA test below.
CAPTCHA verification
© 2007-2026 CUSABIO TECHNOLOGY LLC All rights reserved. 鄂ICP备15011166号-1
Place an order now

I. Product details

*
*
*
*

II. Contact details

*
*

III. Ship To

*
*
*
*
*
*
*

IV. Bill To

*
*
*
*
*
*
*
*