CMTM3 Antibody

Code CSB-PA597389
Size US$166
Order now
Image
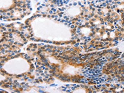
  • The image on the left is immunohistochemistry of paraffin-embedded Human colon cancer tissue using CSB-PA597389(CMTM3 Antibody) at dilution 1/20, on the right is treated with synthetic peptide. (Original magnification: ×200)
  • The image on the left is immunohistochemistry of paraffin-embedded Human thyroid cancer tissue using CSB-PA597389(CMTM3 Antibody) at dilution 1/20, on the right is treated with synthetic peptide. (Original magnification: ×200)
  • Gel: 10+12%SDS-PAGE, Lysate: 40 μg, Lane: 231 cells, Primary antibody: CSB-PA597389(CMTM3 Antibody) at dilution 1/350, Secondary antibody: Goat anti rabbit IgG at 1/8000 dilution, Exposure time: 1 minute
Have Questions? Leave a Message or Start an on-line Chat

Product Details

Uniprot No.
Target Names
CMTM3
Alternative Names
CMTM3; CKLFSF3; CKLF-like MARVEL transmembrane domain-containing protein 3; Chemokine-like factor superfamily member 3
Raised in
Rabbit
Species Reactivity
Human,Mouse
Immunogen
Synthetic peptide of Human CMTM3
Immunogen Species
Homo sapiens (Human)
Conjugate
Non-conjugated
Isotype
IgG
Purification Method
Antigen affinity purification
Concentration
It differs from different batches. Please contact us to confirm it.
Buffer
-20°C, pH7.4 PBS, 0.05% NaN3, 40% Glycerol
Form
Liquid
Tested Applications
ELISA,WB,IHC
Recommended Dilution
Application Recommended Dilution
ELISA 1:1000-1:5000
WB 1:500-1:2000
IHC 1:25-1:100
Troubleshooting and FAQs
Storage
Upon receipt, store at -20°C or -80°C. Avoid repeated freeze.
Lead Time
Basically, we can dispatch the products out in 1-3 working days after receiving your orders. Delivery time maybe differs from different purchasing way or location, please kindly consult your local distributors for specific delivery time.
Usage
For Research Use Only. Not for use in diagnostic or therapeutic procedures.

Customer Reviews and Q&A

 Customer Reviews

There are currently no reviews for this product.

Submit a Review here

Target Background

Gene References into Functions
  1. CMTM3 exhibited a lower expression pattern in gastric cancer tissues.MiR-135b-5p promotes gastric cancer progression by targeting CMTM3. PMID: 29345297
  2. this study demonstrates that knockdown of CMTM3 promotes the metastasis of gastric cancer through the STAT3/Twist1/EMT pathway PMID: 27121055
  3. CMTM3 was significantly hypermethylated in colorectal cancer tissues when compared with adjacent normal colorectal tissues. PMID: 28782576
  4. CMTM3 decreases EGFR expression, facilitates EGFR degradation, and inhibits the EGF-mediated tumorigenicity of gastric cancer cells by enhancing Rab5 activity. PMID: 27867015
  5. CMTM3 mediates cell-cell adhesion at adherens junctions and contributes to the control of vascular sprouting by regulation VE-cadherin turnover. PMID: 28428220
  6. Overexpression of CMTM3 attenuated the tumor growth of hepatocellular carcinoma. PMID: 27629543
  7. identified CMTM3 as a novel secretory protein released via exosomes in the prostate PMID: 27125975
  8. study indicates that elevated CMTM3 methylation is a risk factor in male LSCC patients, especially in the patients with age over 55years and with smoking behavior PMID: 27521994
  9. Reduced expression of CMTM3 is associated with prostate cancer. PMID: 25990505
  10. Low expression of CMTM3 was associated with metastasis and recurrence of oral squamous cell carcinoma. PMID: 25946973
  11. CMTM3 is significantly down-regulated in clear cell renal cell carcinoma and exerts remarkable tumor-suppressive functions PMID: 23907292
  12. Peritoneal disseminated metastases were significantly suppressed by CMTM3. PMID: 24131472
  13. CMTM3/CKLFSF3 is an evolutionarily conserved gene that may have important roles in the male reproductive system and immune system. PMID: 17002874
  14. CMTM3 inhibits prostate-specific antigen expression at both mRNA and protein levels with no obvious influence on androgen receptor expression. PMID: 18402773

Show More

Hide All

Subcellular Location
Membrane; Multi-pass membrane protein.
Protein Families
Chemokine-like factor family
Tissue Specificity
Expressed in the leukocytes, placenta and testis.
Database Links

HGNC: 19174

OMIM: 607886

KEGG: hsa:123920

STRING: 9606.ENSP00000354579

UniGene: Hs.298198

icon of phone
Call us
301-363-4651 (Available 9 a.m. to 5 p.m. CST from Monday to Friday)
icon of address
Address
7505 Fannin St., Ste 610, Room 7 (CUBIO Innovation Center), Houston, TX 77054, USA
icon of social media
Join us with

Subscribe newsletter

Leave a message

* To protect against spam, please pass the CAPTCHA test below.
CAPTCHA verification
© 2007-2025 CUSABIO TECHNOLOGY LLC All rights reserved. 鄂ICP备15011166号-1
×
Place an order now

I. Product details

*
*
*
*

II. Contact details

*
*

III. Ship To

*
*
*
*
*
*
*

IV. Bill To

*
*
*
*
*
*
*
*