DPPA2 Antibody

Code CSB-PA992708
Size US$166
Order now
Image
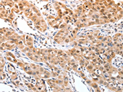
  • The image on the left is immunohistochemistry of paraffin-embedded Human lung cancer tissue using CSB-PA992708(DPPA2 Antibody) at dilution 1/30, on the right is treated with fusion protein. (Original magnification: ×200)
Have Questions? Leave a Message or Start an on-line Chat

Product Details

Uniprot No.
Target Names
DPPA2
Alternative Names
DPPA2 antibody; PESCRG1Developmental pluripotency-associated protein 2 antibody; Pluripotent embryonic stem cell-related gene 1 protein antibody
Raised in
Rabbit
Species Reactivity
Human
Immunogen
Fusion protein of Human DPPA2
Immunogen Species
Homo sapiens (Human)
Conjugate
Non-conjugated
Isotype
IgG
Purification Method
Antigen affinity purification
Concentration
It differs from different batches. Please contact us to confirm it.
Buffer
-20°C, pH7.4 PBS, 0.05% NaN3, 40% Glycerol
Form
Liquid
Tested Applications
ELISA,IHC
Recommended Dilution
Application Recommended Dilution
ELISA 1:2000-1:5000
IHC 1:25-1:100
Troubleshooting and FAQs
Storage
Upon receipt, store at -20°C or -80°C. Avoid repeated freeze.
Lead Time
Basically, we can dispatch the products out in 1-3 working days after receiving your orders. Delivery time maybe differs from different purchasing way or location, please kindly consult your local distributors for specific delivery time.
Usage
For Research Use Only. Not for use in diagnostic or therapeutic procedures.

Customer Reviews and Q&A

 Customer Reviews

There are currently no reviews for this product.

Submit a Review here

Target Background

Function
Binds to target gene promoters, including NKX2-5 and SYCE1, but not GATA4, and may be involved in the maintenance of the active epigenetic status of these genes.
Gene References into Functions
  1. High DPPA2 Protein Expression is Associated with Gastric Cancer Metastasis PMID: 26745102
  2. results showed that DPPA2 expression was significantly correlated to the depth of tumor invasion and progression of tumor cells through advanced stages in colorectal cancer. PMID: 25497006
  3. A important role of HIWI and DPPA2 in tumorigenesis and also in lymph node metastasis of tumor cells. PMID: 24532429
  4. Differential expression of the embryo/cancer gene ECSA(DPPA2) in human preimplantation development. PMID: 18467432
  5. ECSA/DPPA2 is a promising target for antigen-specific immunotherapy in non-small cell lung cancers PMID: 18519755
  6. In normal tissues, PLAC1 expression was restricted to the placenta while DPPA2 expression was restricted to the placenta and testis. PMID: 19705800

Show More

Hide All

Subcellular Location
Nucleus.
Tissue Specificity
Expressed in embryonic stem cells. No expression is seen in 5 months embryo, mesenchymal stem cells, embryonic fibrocytes and adult tissues.
Database Links

HGNC: 19197

OMIM: 614445

KEGG: hsa:151871

STRING: 9606.ENSP00000417710

UniGene: Hs.351113

icon of phone
Call us
301-363-4651 (Available 9 a.m. to 5 p.m. CST from Monday to Friday)
icon of address
Address
7505 Fannin St., Ste 610, Room 7 (CUBIO Innovation Center), Houston, TX 77054, USA
icon of social media
Join us with

Subscribe newsletter

Leave a message

* To protect against spam, please pass the CAPTCHA test below.
CAPTCHA verification
© 2007-2025 CUSABIO TECHNOLOGY LLC All rights reserved. 鄂ICP备15011166号-1
×
Place an order now

I. Product details

*
*
*
*

II. Contact details

*
*

III. Ship To

*
*
*
*
*
*
*

IV. Bill To

*
*
*
*
*
*
*
*