DSTYK Antibody

Code CSB-PA846981
Size US$166
Order now
Image
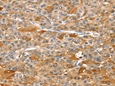
  • The image on the left is immunohistochemistry of paraffin-embedded Human liver cancer tissue using CSB-PA846981(DSTYK Antibody) at dilution 1/25, on the right is treated with fusion protein. (Original magnification: ×200)

  • Gel: 6%SDS-PAGE, Lysate: 40 μg, Lane 1-2: 823 cells, hepg2 cells, Primary antibody: CSB-PA846981(DSTYK Antibody) at dilution 1/200, Secondary antibody: Goat anti rabbit IgG at 1/8000 dilution, Exposure time: 1 minute

Have Questions? Leave a Message or Start an on-line Chat

Product Details

Uniprot No.
Target Names
DSTYK
Alternative Names
DSTYK antibody; Dual serine/threonine and tyrosine protein kinase antibody; Dusty PK antibody; Dusty protein kinase antibody; DUSTY_HUMAN antibody; HDCMD38P antibody; KIAA0472 antibody; Receptor interacting protein 5 antibody; Receptor interacting protein kinase 5 antibody; Receptor interacting serine/threonine protein kinase 5 antibody; Receptor-interacting serine/threonine-protein kinase 5 antibody; RIP homologous kinase antibody; RIP-homologous kinase antibody; RIP5 antibody; RIPK5 antibody; SgK496 antibody; Sugen kinase 496 antibody
Raised in
Rabbit
Species Reactivity
Human,Mouse
Immunogen
Fusion protein of Human DSTYK
Immunogen Species
Homo sapiens (Human)
Conjugate
Non-conjugated
Isotype
IgG
Purification Method
Antigen affinity purification
Concentration
It differs from different batches. Please contact us to confirm it.
Buffer
-20°C, pH7.4 PBS, 0.05% NaN3, 40% Glycerol
Form
Liquid
Tested Applications
ELISA,WB,IHC
Recommended Dilution
Application Recommended Dilution
ELISA 1:1000-1:2000
WB 1:200-1:1000
IHC 1:25-1:100
Troubleshooting and FAQs
Storage
Upon receipt, store at -20°C or -80°C. Avoid repeated freeze.
Lead Time
Basically, we can dispatch the products out in 1-3 working days after receiving your orders. Delivery time maybe differs from different purchasing way or location, please kindly consult your local distributors for specific delivery time.
Usage
For Research Use Only. Not for use in diagnostic or therapeutic procedures.

Customer Reviews and Q&A

 Customer Reviews

There are currently no reviews for this product.

Submit a Review here

Target Background

Function
Acts as a positive regulator of ERK phosphorylation downstream of fibroblast growth factor-receptor activation. Involved in the regulation of both caspase-dependent apoptosis and caspase-independent cell death. In the skin, it plays a predominant role in suppressing caspase-dependent apoptosis in response to UV stress in a range of dermal cell types.
Gene References into Functions
  1. RIPK3 promotes adenovirus type 5 oncolytic activity. PMID: 29238045
  2. we identified a complex homozygous 4-kb deletion/20-bp insertion in DSTYK in all four affected family members with Autosomal-Recessive Complicated Spastic Paraparesis, SPG23 PMID: 28157540
  3. We detected independent DSTYK mutations in 2.3% of patients with congenital abnormalities of the kidney or urinary tract, a finding that suggests that DSTYK is a major determinant of human urinary tract development, downstream of FGF signaling. PMID: 23862974
  4. Confocal imaging of transiently expressed human Dusty-GFP fusion proteins showed a cytoplasmic distribution. PMID: 17123648
Involvement in disease
Congenital anomalies of the kidney and urinary tract 1 (CAKUT1); Spastic paraplegia 23 (SPG23)
Subcellular Location
Cytoplasm. Cell membrane. Apical cell membrane. Basolateral cell membrane. Cell junction.
Protein Families
Protein kinase superfamily, Ser/Thr protein kinase family
Tissue Specificity
Predominantly expressed in skeletal muscle and testis. Expressed in basolateral and apical membranes of all tubular epithelia. Expressed in thin ascending limb of the loop of Henle and the distal convoluted tubule. Expressed in all layers of transitional
Database Links

HGNC: 29043

OMIM: 270750

KEGG: hsa:25778

STRING: 9606.ENSP00000356130

UniGene: Hs.6874

icon of phone
Call us
301-363-4651 (Available 9 a.m. to 5 p.m. CST from Monday to Friday)
icon of address
Address
7505 Fannin St., Ste 610, Room 7 (CUBIO Innovation Center), Houston, TX 77054, USA
icon of social media
Join us with

Subscribe newsletter

Leave a message

* To protect against spam, please pass the CAPTCHA test below.
CAPTCHA verification
© 2007-2025 CUSABIO TECHNOLOGY LLC All rights reserved. 鄂ICP备15011166号-1
×
Place an order now

I. Product details

*
*
*
*

II. Contact details

*
*

III. Ship To

*
*
*
*
*
*
*

IV. Bill To

*
*
*
*
*
*
*
*