EDNRB Antibody

Code CSB-PA460645
Size US$119
Order now
Image
  • Western Blot analysis of Hela cells using ETBR Polyclonal Antibody diluted at 1:500. Secondary antibody was diluted at 1:20000
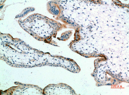
  • Immunohistochemical analysis of paraffin-embedded human-placenta, antibody was diluted at 1:200
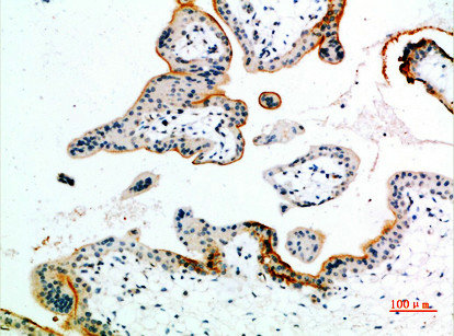
  • Immunohistochemical analysis of paraffin-embedded human-placenta, antibody was diluted at 1:200
Have Questions? Leave a Message or Start an on-line Chat

Product Details

Uniprot No.
Target Names
Alternative Names
EDNRB; ETRB; Endothelin receptor type B; ET-B; ET-BR; Endothelin receptor non-selective type
Raised in
Rabbit
Species Reactivity
Human
Immunogen
Synthesized peptide derived from ETBR at AA range: 31-80
Immunogen Species
Homo sapiens (Human)
Conjugate
Non-conjugated
Purification Method
The antibody was affinity-purified from rabbit antiserum by affinity-chromatography using epitope-specific immunogen.
Concentration
It differs from different batches. Please contact us to confirm it.
Buffer
Liquid in PBS containing 50% glycerol, 0.5% BSA and 0.02% sodium azide.
Form
Liquid
Tested Applications
WB,ELISA
Recommended Dilution
Application Recommended Dilution
WB 1:500-2000
ELISA 1:10000-20000
Troubleshooting and FAQs
Storage
Upon receipt, store at -20°C or -80°C. Avoid repeated freeze.
Lead Time
Basically, we can dispatch the products out in 1-3 working days after receiving your orders. Delivery time maybe differs from different purchasing way or location, please kindly consult your local distributors for specific delivery time.
Usage
For Research Use Only. Not for use in diagnostic or therapeutic procedures.

Customer Reviews and Q&A

 Customer Reviews

There are currently no reviews for this product.

Submit a Review here

Target Background

Function
Non-specific receptor for endothelin 1, 2, and 3. Mediates its action by association with G proteins that activate a phosphatidylinositol-calcium second messenger system.
Gene References into Functions
  1. the joint effect of polymorphisms of EDNRB and NOS3 on diabetic retinopathy risk was greater than the individual effect of each polymorphism in the analyzed genetic models PMID: 28817788
  2. the results suggest that aberrant expression of Gli1 serves a role in HSCR by targeting EDNRB. PMID: 29484400
  3. Endothelin B receptor (ETBR) is overexpressed in glioblastoma and may be a prognostic marker and useful target for treating cancer patients. PMID: 29409474
  4. our current findings suggest that human neutrophils display functional ETB receptors with calcium signaling capability, leading to accentuated adhesion to the endothelium. PMID: 28385784
  5. ETBR function contributes to diminished endothelium-dependent dilation in previously preeclamptic women. PMID: 29042489
  6. An IL2-targeted antibody failed to detect transfected ETB in HEK293 cultures. In contrast, the NT-targeted antibody accurately detected transfected ETB in HEK293 cultures by labeling a 37-kDa band. PMID: 25232999
  7. This study concluded that ETB receptors mediate vasodilation in young women, but this effect is lost after menopause. PMID: 28438762
  8. Our results suggest that EDNRB rs5351 single nucleotide polymorphism is a strong independent predictor of essential hypertension in men of Tatar ethnic origin. PMID: 28350619
  9. No rare EDNRB variants were identified among 57 patients with Hirschsprung disease. PMID: 26395553
  10. Taking into account that the cohort we screened was deprived of patients previously found mutated in MITF (about 15%) and SOX10 (another 15%), our 8% mutation rate indicates that EDNRB heterozygous mutations represent about 5%-6% of all WS2, making it the third gene of this subtype. PMID: 28236341
  11. The high level of ETBR expression observed in CMS patients compared to healthy controls suggests that the cerebral hypoxia diastolic reaction is possible due to ETBR, rather than ET-1 itself. PMID: 27485004
  12. crystal structures of human endothelin type B receptor in the ligand-free form and in complex with the endogenous agonist endothelin-1 PMID: 27595334
  13. Wnt-dependent EdnrB signaling can rescue the defects in melanocyte regeneration caused by Mc1R loss. PMID: 27134165
  14. This article is focused on the engineering, expression, purification, and characterization of the endothelin receptor B for subsequent structural and functional studies PMID: 27193723
  15. Serum EDNRB hypermethylation is a highly specific but not sensitive serum biomarker for HNSCC PMID: 24995714
  16. High Endothelin B receptor expression is associated with malignant gliomas. PMID: 26645886
  17. EDNRB plays a key role in hypoxia tolerance PMID: 26240367
  18. The increased gene expression of MITF and EDNRB in UVB-exposed NHMs. PMID: 26030901
  19. culturing of reconstructed skin with microvascular endothelial cells led to increased skin pigmentation that could be prevented by inhibiting EDNRB PMID: 26308584
  20. Polymorphisms of the EDNRB gene may influence the susceptibility to obesity and can interact with plasma arsenic levels PMID: 25799405
  21. Cumulative effects of the RET and EDNRB genes contribute to long-segment and total colonic aganglionosis. PMID: 25638620
  22. Endothelin receptor B expression was significantly lower while higher staining grade was found in basal cell carcinoma rather than squamous cell carcinoma or psoriasis. PMID: 25946671
  23. Its expression by lymphoma and endothelial cells may mediate trafficking of tumor-infiltrated lymphocytes, which may explain the immune escape processes of primary central nervous system lymphomas. PMID: 25433721
  24. The results show that MitA can effectively be used to block ETBR mediated vasoconstriction as a supplement to an existing ischemic stroke therapy. PMID: 25479176
  25. Identification of heterozygous deletion of the entire EDNRB in a father and 2 children. Since heterozygous deletion was the only change identified in EDNRB, the family represents one of the few cases of autosomal dominant inheritance of Waardenburg type 4 PMID: 25118007
  26. The anti-EDNRB ADC combines well with BRAF and MEK inhibitors and could have therapeutic use in the majority of human melanoma cases. PMID: 24651527
  27. A novel stop mutation in the EDNRB gene was found in a family with Hirschsprung's disease associated with multiple sclerosis. PMID: 24726125
  28. No biologically significant correlation was observed in the ETBR immunohistochemistry of human pancreatic ductal adenocarcinoma sections PMID: 24549269
  29. There was no difference in EDNRB mRNA expression between reflux esophagitis, Barrett's esophagus, and controls. PMID: 23384184
  30. Hypermethylation of EDNRB promoter contributes to the risk of colorectal cancer. PMID: 24326135
  31. The endothelin B receptor was demonstrated to mediate the proliferation of oligodendroglioma cells according to an ERK-dependent mechanism. PMID: 24145738
  32. The -615 to -624 bp region is the key binding site of AP-1 in ETB receptor promoter and was found to be crucial for inducible ETB receptor expression. PMID: 24265756
  33. The levels of the EDNRB, HJURP and p60/CAF-1 proteins were strongly associated with overall survival in high-grade gliomas patients (p<0.001, p<0.001 and p=0.002, respectively), whereas the one of PDLI4 was not (P=0.11). PMID: 24039914
  34. Gene expression profiling for uveal melanoma may be obtained from patients who were previously treated with radiotherapy PMID: 24511587
  35. Endothelin receptor type B expression was correlated with several clinicopathological factors including tumor differentiation, tumor depth, and lymph node metastasis. PMID: 24357795
  36. EDNRB is generally accepted as a major gene for Hirschsprung's disease. PMID: 23579558
  37. Endothelin receptor type B is a novel pathway and therapeutic target for enhancing remyelination in multiple sclerosis. PMID: 23518706
  38. Expression of endothelin A and B receptors and endothelin-1 in the pulmonary arteries is significantly increased in failed Fontan patients. PMID: 21356562
  39. Data indicate that endothelin receptor B (EDNRB) overexpression facilitates intracranial melanoma growth. PMID: 22865454
  40. Our findings demonstrate that aldosterone modulates an ET(B) cysteinyl thiol redox switch to decrease pulmonary endothelium-derived NO(.) and promote pulmonary arterial hypertension. PMID: 22787113
  41. Loss of EDNRB is associated with metastasis in clear-cell renal cell carcinoma. PMID: 22213152
  42. results obtained give evidence of a possible participation of receptor for endothelin B in the pathogenesis of the itch in the dermatitis herpetiformis PMID: 22535604
  43. promoter hypermethylation of EDNRB gene is highly prevalent in gastric cancer PMID: 21264540
  44. In transgenic Ednrb-deficient mice, sacral crest-derived cells diminish in number from fetal to postnatal stages. PMID: 21858821
  45. Survival analysis shows that the ETB receptor high expression group had significantly shorter disease-free survival and overall survival rates than the low expression group. PMID: 21770857
  46. Attenuated ET-B receptor mediated vasodilatation during local skin warming compared to Controls. PMID: 21825025
  47. 3 novel mutations in EDNRB gene associated with Waardenburg-Shah syndrome (WS4) in Pakistani patients. PMID: 21547364
  48. No association of S305N EDNRB polymorphism with sporadic melanoma risk in the French or Italian populations, but there was an indication that EDNRB might be a melanoma-predisposing gene in French patients with a hereditary predisposition to melanoma. PMID: 21507037
  49. Endothelin type B receptor-mediated contractions of the cerebrovasculature are significantly reduced following inhibition of B-raf kinase. PMID: 21223556
  50. cigarette smoke extract induced ET(B) receptor overexpression by a feed forward mechanism mediated partly by ET release, promoting pulmonary artery endothelial cell dysfunction and attenuated by ET(B) receptor blockade, Rho kinase and ROS inhibition PMID: 20698855

Show More

Hide All

Involvement in disease
Waardenburg syndrome 4A (WS4A); Hirschsprung disease 2 (HSCR2); ABCD syndrome (ABCDS)
Subcellular Location
Cell membrane; Multi-pass membrane protein.
Protein Families
G-protein coupled receptor 1 family, Endothelin receptor subfamily, EDNRB sub-subfamily
Tissue Specificity
Expressed in placental stem villi vessels, but not in cultured placental villi smooth muscle cells.
Database Links

HGNC: 3180

OMIM: 131244

KEGG: hsa:1910

STRING: 9606.ENSP00000366416

UniGene: Hs.732046

icon of phone
Call us
301-363-4651 (Available 9 a.m. to 5 p.m. CST from Monday to Friday)
icon of address
Address
7505 Fannin St., Ste 610, Room 7 (CUBIO Innovation Center), Houston, TX 77054, USA
icon of social media
Join us with

Subscribe newsletter

Leave a message

* To protect against spam, please pass the CAPTCHA test below.
CAPTCHA verification
© 2007-2025 CUSABIO TECHNOLOGY LLC All rights reserved. 鄂ICP备15011166号-1
×
Place an order now

I. Product details

*
*
*
*

II. Contact details

*
*

III. Ship To

*
*
*
*
*
*
*

IV. Bill To

*
*
*
*
*
*
*
*