EID1 Antibody

Code CSB-PA829370
Size US$166
Order now
Image
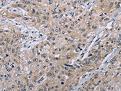
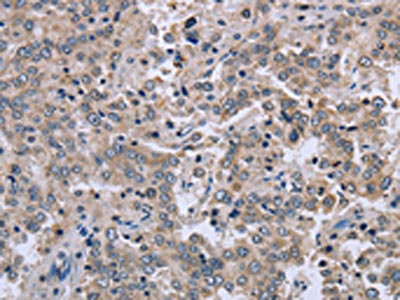
  • The image on the left is immunohistochemistry of paraffin-embedded Human liver cancer tissue using CSB-PA829370(EID1 Antibody) at dilution 1/40, on the right is treated with fusion protein. (Original magnification: ×200)
  • The image on the left is immunohistochemistry of paraffin-embedded Human esophagus cancer tissue using CSB-PA829370(EID1 Antibody) at dilution 1/40, on the right is treated with fusion protein. (Original magnification: ×200)
Have Questions? Leave a Message or Start an on-line Chat

Product Details

Uniprot No.
Target Names
EID1
Alternative Names
21 kDa pRb associated protein antibody; 21 kDa pRb-associated protein antibody; C15orf3 antibody; CBP antibody; Chromosome 15 open reading frame 3 antibody; CREBBP/EP300 inhibitor 1 antibody; CREBBP/EP300 inhibitory protein 1 antibody; CRI 1 antibody; CRI1 antibody; E1A like inhibitor of differentiation antibody; E1A-like inhibitor of differentiation 1 antibody; EID 1 antibody; EID-1 antibody; EID1 antibody; EID1_HUMAN antibody; EP300 interacting inhibitor of differentiation 1 antibody; EP300-interacting inhibitor of differentiation 1 antibody; IRO45620 antibody; MGC138883 antibody; MGC138884 antibody; NB4 apoptosis related protein antibody; PNAS 22 antibody; PNAS22 antibody; PTD014 antibody; Rb and p300 binding protein EID 1 antibody; Rb and p300 binding protein EID1 antibody; RBP21 antibody; Retinoblastoma protein associated protein antibody
Raised in
Rabbit
Species Reactivity
Human
Immunogen
Fusion protein of Human EID1
Immunogen Species
Homo sapiens (Human)
Conjugate
Non-conjugated
Isotype
IgG
Purification Method
Antigen affinity purification
Concentration
It differs from different batches. Please contact us to confirm it.
Buffer
-20°C, pH7.4 PBS, 0.05% NaN3, 40% Glycerol
Form
Liquid
Tested Applications
ELISA,IHC
Recommended Dilution
Application Recommended Dilution
ELISA 1:2000-1:5000
IHC 1:50-1:200
Troubleshooting and FAQs
Storage
Upon receipt, store at -20°C or -80°C. Avoid repeated freeze.
Lead Time
Basically, we can dispatch the products out in 1-3 working days after receiving your orders. Delivery time maybe differs from different purchasing way or location, please kindly consult your local distributors for specific delivery time.
Usage
For Research Use Only. Not for use in diagnostic or therapeutic procedures.

Customer Reviews and Q&A

 Customer Reviews

There are currently no reviews for this product.

Submit a Review here

Target Background

Function
Interacts with RB1 and EP300 and acts as a repressor of MYOD1 transactivation. Inhibits EP300 and CBP histone acetyltransferase activity. May be involved in coupling cell cycle exit to the transcriptional activation of genes required for cellular differentiation. May act as a candidate coinhibitory factor for NR0B2 that can be directly linked to transcription inhibitory mechanisms.
Gene References into Functions
  1. EID1 can modulate adipose mesenchymal stem cells, inducing a brown/beige lineage. PMID: 26643909
  2. Pcid2 is present in the CBP/p300-EID1 complex to control the switch balance of mouse and human embryonic stem cells through modulation of EID1 degradation. PMID: 24167073
  3. An unexpected EID1-binding site on SHP is located at the N terminus of the receptor, where EID1 mimics helix H1 of the nuclear receptor ligand-binding domain. PMID: 24379397
  4. This study demonstrated that overexpression of EID1 reduced hippocampal long-term potentiation and impaired spatial learning and memory function in the transgenic mice PMID: 22186421
  5. miR-138 inhibited adipogenesis through targeting the nuclear receptor coregulator EID-1 PMID: 20486779
  6. The role of EID1 in fibroblast biology and fibrosis is reported. PMID: 17559085
  7. Repression of E6 and E7 oncogenes results in restoration of pRb suppressor pathways and induced apoptosis in HPV16-positive oropharyngeal squamous cell cancer cell lines. PMID: 19276448

Show More

Hide All

Subcellular Location
Nucleus. Cytoplasm.
Tissue Specificity
Widely expressed. Most abundantly expressed in heart, skeletal muscle, pancreas, brain and testis. Expressed at much lower levels in placenta and peripheral blood leukocyte. Barely detectable in lung. Also weakly expressed in lung carcinoma A-549 and vari
Database Links

HGNC: 1191

OMIM: 605894

KEGG: hsa:23741

STRING: 9606.ENSP00000431162

UniGene: Hs.255973

icon of phone
Call us
301-363-4651 (Available 9 a.m. to 5 p.m. CST from Monday to Friday)
icon of address
Address
7505 Fannin St., Ste 610, Room 7 (CUBIO Innovation Center), Houston, TX 77054, USA
icon of social media
Join us with

Subscribe newsletter

Leave a message

* To protect against spam, please pass the CAPTCHA test below.
CAPTCHA verification
© 2007-2025 CUSABIO TECHNOLOGY LLC All rights reserved. 鄂ICP备15011166号-1
×
Place an order now

I. Product details

*
*
*
*

II. Contact details

*
*

III. Ship To

*
*
*
*
*
*
*

IV. Bill To

*
*
*
*
*
*
*
*