FGFR1OP2 Antibody

Code CSB-PA070949
Size US$166
Order now
Image
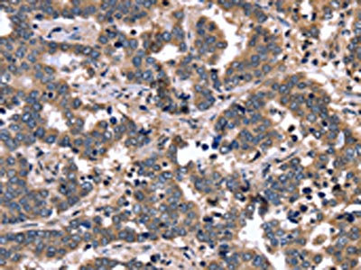
  • The image on the left is immunohistochemistry of paraffin-embedded Human liver cancer tissue using CSB-PA070949(FGFR1OP2 Antibody) at dilution 1/40, on the right is treated with fusion protein. (Original magnification: ×200)
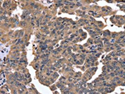
  • The image on the left is immunohistochemistry of paraffin-embedded Human ovarian cancer tissue using CSB-PA070949(FGFR1OP2 Antibody) at dilution 1/40, on the right is treated with fusion protein. (Original magnification: ×200)
Have Questions? Leave a Message or Start an on-line Chat

Product Details

Uniprot No.
Target Names
FGFR1OP2
Alternative Names
DKFZp564O1863 antibody; FGFR1 oncogene partner 2 antibody; FGFR1OP2 antibody; FGOP2_HUMAN antibody; Fibroblast growth factor receptor 1 oncogene partner 2 antibody; HSPC123 antibody; HSPC123 like antibody; WIT3.0 antibody; Wound inducible transcript 3.0 antibody
Raised in
Rabbit
Species Reactivity
Human,Mouse,Rat
Immunogen
Fusion protein of Human FGFR1OP2
Immunogen Species
Homo sapiens (Human)
Conjugate
Non-conjugated
Isotype
IgG
Purification Method
Antigen affinity purification
Concentration
It differs from different batches. Please contact us to confirm it.
Buffer
-20°C, pH7.4 PBS, 0.05% NaN3, 40% Glycerol
Form
Liquid
Tested Applications
ELISA,IHC
Recommended Dilution
Application Recommended Dilution
ELISA 1:2000-1:5000
IHC 1:50-1:200
Troubleshooting and FAQs
Storage
Upon receipt, store at -20°C or -80°C. Avoid repeated freeze.
Lead Time
Basically, we can dispatch the products out in 1-3 working days after receiving your orders. Delivery time maybe differs from different purchasing way or location, please kindly consult your local distributors for specific delivery time.
Usage
For Research Use Only. Not for use in diagnostic or therapeutic procedures.

Customer Reviews and Q&A

 Customer Reviews

There are currently no reviews for this product.

Submit a Review here

Target Background

Function
May be involved in wound healing pathway.
Gene References into Functions
  1. The patient with minor allele of ss518063493 may be associated with excessive atrophy of edentulous mandible whereas the patients with that of rs840869 are not associated in Korean population. PMID: 22880093
  2. patients with the minor allele of rs840869 or rs859024 of FGFR1OP2 were associated with excessive atrophy of edentulous mandible PMID: 21283824
  3. FGFR1OP2/wit3.0 may regulate cell motility and stimulate wound closure. PMID: 19959814
  4. FGFR1OP2 is a new FGFR1 fusion gene involving a chromosomes 12X8 translocation in a 8p11 myeloproliferative syndrome patient. PMID: 15034873
Involvement in disease
A chromosomal aberration involving FGFR1OP2 may be a cause of stem cell myeloproliferative disorder (MPD). Insertion ins(12;8)(p11;p11p22) with FGFR1. MPD is characterized by myeloid hyperplasia, eosinophilia and T-cell or B-cell lymphoblastic lymphoma. In general it progresses to acute myeloid leukemia. The fusion protein FGFR1OP2-FGFR1 may exhibit constitutive kinase activity and be responsible for the transforming activity.
Subcellular Location
Cytoplasm.
Protein Families
SIKE family
Tissue Specificity
Expressed in bone marrow, spleen and thymus.
Database Links

HGNC: 23098

OMIM: 608858

KEGG: hsa:26127

STRING: 9606.ENSP00000229395

UniGene: Hs.591162

icon of phone
Call us
301-363-4651 (Available 9 a.m. to 5 p.m. CST from Monday to Friday)
icon of address
Address
7505 Fannin St., Ste 610, Room 7 (CUBIO Innovation Center), Houston, TX 77054, USA
icon of social media
Join us with

Subscribe newsletter

Leave a message

* To protect against spam, please pass the CAPTCHA test below.
CAPTCHA verification
© 2007-2025 CUSABIO TECHNOLOGY LLC All rights reserved. 鄂ICP备15011166号-1
×
Place an order now

I. Product details

*
*
*
*

II. Contact details

*
*

III. Ship To

*
*
*
*
*
*
*

IV. Bill To

*
*
*
*
*
*
*
*