IQGAP2 Antibody

Code CSB-PA142299
Size US$166
Order now
Image
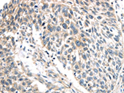
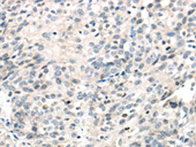
  • The image on the left is immunohistochemistry of paraffin-embedded Human lung cancer tissue using CSB-PA142299(IQGAP2 Antibody) at dilution 1/40, on the right is treated with synthetic peptide. (Original magnification: ×200)
  • The image on the left is immunohistochemistry of paraffin-embedded Human ovarian cancer tissue using CSB-PA142299(IQGAP2 Antibody) at dilution 1/40, on the right is treated with synthetic peptide. (Original magnification: ×200)
  • Gel: 6%SDS-PAGE,Lysate: 40 μg,,Primary antibody: CSB-PA142299(IQGAP2 Antibody) at dilution 1/350 dilution,Secondary antibody: Goat anti rabbit IgG at 1/8000 dilution,Exposure time: 20 seconds
Have Questions? Leave a Message or Start an on-line Chat

Product Details

Uniprot No.
Target Names
Alternative Names
IQ motif containing GTPase activating protein 2 antibody; IQGA2_HUMAN antibody; Iqgap2 antibody; Ras GTPase activating-like protein antibody; Ras GTPase-activating-like protein IQGAP2 antibody
Raised in
Rabbit
Species Reactivity
Human,Mouse
Immunogen
Synthetic peptide of Human IQGAP2
Immunogen Species
Homo sapiens (Human)
Conjugate
Non-conjugated
Isotype
IgG
Purification Method
Antigen affinity purification
Concentration
It differs from different batches. Please contact us to confirm it.
Buffer
-20°C, pH7.4 PBS, 0.05% NaN3, 40% Glycerol
Form
Liquid
Tested Applications
ELISA,WB,IHC
Recommended Dilution
Application Recommended Dilution
ELISA 1:1000-1:2000
WB 1:200-1:1000
IHC 1:30-1:150
Troubleshooting and FAQs
Storage
Upon receipt, store at -20°C or -80°C. Avoid repeated freeze.
Lead Time
Basically, we can dispatch the products out in 1-3 working days after receiving your orders. Delivery time maybe differs from different purchasing way or location, please kindly consult your local distributors for specific delivery time.
Usage
For Research Use Only. Not for use in diagnostic or therapeutic procedures.

Customer Reviews and Q&A

 Customer Reviews

There are currently no reviews for this product.

Submit a Review here

Target Background

Function
Binds to activated CDC42 and RAC1 but does not seem to stimulate their GTPase activity. Associates with calmodulin.
Gene References into Functions
  1. IQGAP2 expression correlated positively with survivability, on the contrary, IQGAP3 expression levels correlated inversely with survivability PMID: 29073199
  2. The structural basis for Cdc42-induced dimerization of IQGAP1 and IQGAP2 has been uncovered. PMID: 27524202
  3. The most frequently identified and connected to preterm birth genes in the exome library were IGF1, ATM and IQGAP2. PMID: 27163930
  4. IQGAP2 TagSNP rs457717 (A/G) was not associated with Age-Related Hearing impairment in Han male Chinese population. PMID: 26187738
  5. Thus, these data identified IQGAP2 as a novel tumor suppressor for ovarian cancer to inhibit cell invasion through regulating Wnt/b-catenin signaling, and provided a new biomarker and potential therapeutic strategy for this disease. PMID: 26549344
  6. we identified IQGAP2 as a human and zebrafish podocyte gene product that is downregulated in microarray data sets from kidney biopsies of human patients with focal segmental glomerulosclerosis and minimal change nephrotic syndrome. PMID: 26154927
  7. Data show that IQ motif-containing GTPase-activating protein 2 (IQGAP2) expression is altered in colitis. PMID: 26047140
  8. IQGAP1, IQGAP2, and IQGAP3 have diverse roles in vertebrate physiology, operating in the kidney, nervous system, cardiovascular system, pancreas, and lung. (Review) PMID: 25722290
  9. Mammalian IQGAP proteins may play a role in cytokinesis by regulating the localization of key cytokinesis regulatory proteins to the contractile apparatus during mitosis. PMID: 25229330
  10. Low IQGAP2 expression was associated with hepatocellular carcinoma. PMID: 24998570
  11. The first IQ-motifs from IQGAP2 and IQGAP3 form transient interactions with calmodulin in the absence of calcium. PMID: 21299499
  12. observations strongly indicate that IQGAP2 is a surveillance type of tumour suppressor for prostate cancer PMID: 22406297
  13. increased IQGAP1 and/or decreased IQGAP2 contribute to the pathogenesis of human HCC. PMID: 20977743
  14. The top-ranked SNP, rs457717 for association with age-related hearing impairment(P-value 3.55 x 10(-7)), was localised in an intron of the IQ motif-containing GTPase-activating-like protein (IQGAP2). PMID: 20068591
  15. The gene for the putative rac1/cdc42 effector protein IQGAP2 was found in the PAR gene cluster at 5q13, flanked by PAR1 & encompassing PAR3. It functions as a GTP-dependent effector protein in thrombin-induced platelet cytoskeletal reorganization. PMID: 12515716
  16. silencing of IQGAP2 by promoter methylation may contribute to gastric cancer development. PMID: 17957782

Show More

Hide All

Tissue Specificity
Isoform 2 expression is enhanced in testis.
Database Links

HGNC: 6111

OMIM: 605401

KEGG: hsa:10788

STRING: 9606.ENSP00000274364

UniGene: Hs.291030

icon of phone
Call us
301-363-4651 (Available 9 a.m. to 5 p.m. CST from Monday to Friday)
icon of address
Address
7505 Fannin St., Ste 610, Room 7 (CUBIO Innovation Center), Houston, TX 77054, USA
icon of social media
Join us with

Subscribe newsletter

Leave a message

* To protect against spam, please pass the CAPTCHA test below.
CAPTCHA verification
© 2007-2025 CUSABIO TECHNOLOGY LLC All rights reserved. 鄂ICP备15011166号-1
×
Place an order now

I. Product details

*
*
*
*

II. Contact details

*
*

III. Ship To

*
*
*
*
*
*
*

IV. Bill To

*
*
*
*
*
*
*
*