LILRB3 Antibody

Code CSB-PA888287
Size US$166
Order now
Image
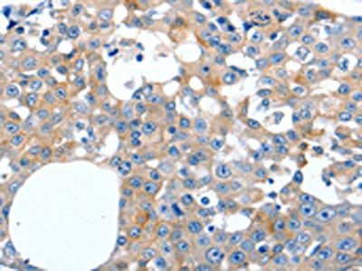
  • The image on the left is immunohistochemistry of paraffin-embedded Human breast cancer tissue using CSB-PA888287(LILRB3 Antibody) at dilution 1/20, on the right is treated with synthetic peptide. (Original magnification: ×200)
Have Questions? Leave a Message or Start an on-line Chat

Product Details

Uniprot No.
Target Names
Alternative Names
LILRB3; ILT5; LIR3; Leukocyte immunoglobulin-like receptor subfamily B member 3; LIR-3; Leukocyte immunoglobulin-like receptor 3; CD85 antigen-like family member A; Immunoglobulin-like transcript 5; ILT-5; Monocyte inhibitory receptor HL9; CD antigen CD85a
Raised in
Rabbit
Species Reactivity
Human
Immunogen
Synthetic peptide of Human LILRB3
Immunogen Species
Homo sapiens (Human)
Conjugate
Non-conjugated
Isotype
IgG
Purification Method
Antigen affinity purification
Concentration
It differs from different batches. Please contact us to confirm it.
Buffer
-20°C, pH7.4 PBS, 0.05% NaN3, 40% Glycerol
Form
Liquid
Tested Applications
ELISA,IHC
Recommended Dilution
Application Recommended Dilution
ELISA 1:1000-1:2000
IHC 1:15-1:50
Troubleshooting and FAQs
Storage
Upon receipt, store at -20°C or -80°C. Avoid repeated freeze.
Lead Time
Basically, we can dispatch the products out in 1-3 working days after receiving your orders. Delivery time maybe differs from different purchasing way or location, please kindly consult your local distributors for specific delivery time.
Usage
For Research Use Only. Not for use in diagnostic or therapeutic procedures.

Customer Reviews and Q&A

 Customer Reviews

There are currently no reviews for this product.

Submit a Review here

Target Background

Function
May act as receptor for class I MHC antigens. Becomes activated upon coligation of LILRB3 and immune receptors, such as FCGR2B and the B-cell receptor. Down-regulates antigen-induced B-cell activation by recruiting phosphatases to its immunoreceptor tyrosine-based inhibitor motifs (ITIM).
Subcellular Location
Cell membrane; Single-pass type I membrane protein.
Tissue Specificity
Detected in monocytes and B-cells.
Database Links

HGNC: 6607

OMIM: 604820

KEGG: hsa:102725035

STRING: 9606.ENSP00000245620

UniGene: Hs.631592

icon of phone
Call us
301-363-4651 (Available 9 a.m. to 5 p.m. CST from Monday to Friday)
icon of address
Address
7505 Fannin St., Ste 610, Room 7 (CUBIO Innovation Center), Houston, TX 77054, USA
icon of social media
Join us with

Subscribe newsletter

Leave a message

* To protect against spam, please pass the CAPTCHA test below.
CAPTCHA verification
© 2007-2026 CUSABIO TECHNOLOGY LLC All rights reserved. 鄂ICP备15011166号-1
Place an order now

I. Product details

*
*
*
*

II. Contact details

*
*

III. Ship To

*
*
*
*
*
*
*

IV. Bill To

*
*
*
*
*
*
*
*