MTUS1 Antibody

Code CSB-PA892343DSR1HU
Size US$166
Order now
Image
  • Western blot
    All lanes: MTUS1 antibody at 3.38 μg/ml + Jurkat whole cell lysate
    Secondary
    Goat polyclonal to rabbit IgG at 1/10000 dilution
    Predicted band size: 142, 136, 51, 40, 85, 59, 49 kDa
    Observed band size: 142, 50 kDa

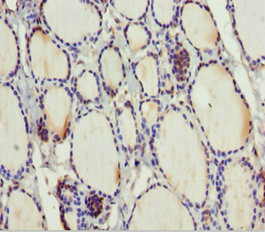
  • Immunohistochemistry of paraffin-embedded human thyroid tissue using CSB-PA892343DSR1HU at dilution of 1:100

Have Questions? Leave a Message or Start an on-line Chat

Product Details

Full Product Name
Rabbit anti-Homo sapiens (Human) MTUS1 Polyclonal antibody
Uniprot No.
Target Names
MTUS1
Alternative Names
MTUS1 antibody; ATBP antibody; ATIP antibody; GK1 antibody; KIAA1288 antibody; MTSG1 antibody; Microtubule-associated tumor suppressor 1 antibody; AT2 receptor-binding protein antibody; Angiotensin-II type 2 receptor-interacting protein antibody; Mitochondrial tumor suppressor 1 antibody
Raised in
Rabbit
Species Reactivity
Human
Immunogen
Recombinant Human Microtubule-associated tumor suppressor 1 protein (1041-1270AA)
Immunogen Species
Homo sapiens (Human)
Conjugate
Non-conjugated
Clonality
Polyclonal
Isotype
IgG
Purification Method
Antigen Affinity Purified
Concentration
It differs from different batches. Please contact us to confirm it.
Buffer
PBS with 0.02% sodium azide, 50% glycerol, pH7.3.
Form
Liquid
Tested Applications
ELISA, WB, IHC
Recommended Dilution
Application Recommended Dilution
WB 1:1000-1:5000
IHC 1:20-1:200
Troubleshooting and FAQs
Storage
Upon receipt, store at -20°C or -80°C. Avoid repeated freeze.
Lead Time
Basically, we can dispatch the products out in 1-3 working days after receiving your orders. Delivery time maybe differs from different purchasing way or location, please kindly consult your local distributors for specific delivery time.
Usage
For Research Use Only. Not for use in diagnostic or therapeutic procedures.

Customer Reviews and Q&A

 Customer Reviews

There are currently no reviews for this product.

Submit a Review here

Target Background

Function
Cooperates with AGTR2 to inhibit ERK2 activation and cell proliferation. May be required for AGTR2 cell surface expression. Together with PTPN6, induces UBE2V2 expression upon angiotensin-II stimulation. Isoform 1 inhibits breast cancer cell proliferation, delays the progression of mitosis by prolonging metaphase and reduces tumor growth.
Gene References into Functions
  1. MTUS1 is not only involved in the formation and progression of human cancers but also involved in the complex pathological conditions such as cardiac hypertrophy, atherosclerosis, and SLE-like lymphoproliferative diseases. Several molecular mechanisms such as proliferation, differentiation, DNA repair, inflammation, vascular remodeling and senescence appear to be tightly regulated by the MTUS1-encoded proteins. PMID: 28499941
  2. findings have provided the first clues regarding the roles of miR-19a/b, which appear to function as oncomirs in lung cancer by downregulating MTUS1. PMID: 28364280
  3. angiotensin II type 2 receptor-interacting protein 3a presents potential in suppressing the proliferation and aggressiveness of ovarian carcinoma cells through the high mobility group AT-hook 2-mediated extracellular signal-regulated kinase/epithelial-to-mesenchymal transition signal pathway. PMID: 28651497
  4. Our findings showed that MTUS1 regulates the p38 MAPK-mediated cytokine production in ECs. MTUS1 gene probably plays a protective role against pro-inflammatory response of ECs. PMID: 27789289
  5. MTUS1 targeting miRNAs may play key roles in the development of CRC by downregulating tumor suppressor MTUS1. PMID: 26643896
  6. Study reports differential expression of MTUS1 and its regulatory miRNAs in breast cancer and fibroadenoma tissues; among MTUS1 targeting miRNAs, miR-183-5p was overexpressed in breast cancer and down-regulated in fibroadenoma tissues; expression levels of MTUS1 and miR-183-5p correlated with clinical parameters. In particular, MTUS1 was found to be diminished and miR-183-5p was elevated with advancing stage. PMID: 27155522
  7. We propose a novel mechanism by which ATIP3-EB1 interaction indirectly reduces the kinetics of EB1 exchange on its recognition site, thereby accounting for negative regulation of microtubule dynamic instability PMID: 26498358
  8. Deregulated microRNA (miRNA) expression has been shown to be involved in the pathogenesis of several types of cancers including colorectal cancer (CRC). MTUS1 targeting miRNAs may play key roles in the development of CRC by downregulating tumor suppressor MTUS1. PMID: 26643896
  9. Our studies confirm that MTUS1 plays an important role in the progression of salivary adenoid cystic carcinoma , and may serve as a biomarker or therapeutic target for patients with salivary adenoid cystic carcinoma PMID: 25885343
  10. Data identifies MTUS1 as a tumour suppressor gene in cultured bladder cancer cells and in advanced bladder tumours. PMID: 24650297
  11. The present data suggested MTUS1 as a potential tumor suppressor in gastric cancer and might lead to a better understanding of gastric carcinogenesis. PMID: 24299308
  12. analysis of a functional ATIP3 domain that associates with microtubules and recapitulates the effects of ATIP3 on microtubule dynamics, cell proliferation, and migration in breast cancer PMID: 23396587
  13. MTUS1 plays major roles in the progression of oral tongue squamous cell carcinoma. PMID: 22153618
  14. ATIP3 is a novel microtubule-associated protein isoform of MTUS1, with a role in invasiveness and progression of breast neoplasms. PMID: 19794912
  15. Results in human prostate cancer cell lines demonstrate the presence of ATIP in both cell lines examined. PMID: 20687230
  16. MTUS1 could be involved in the loss of proliferative control in human colon cancer PMID: 19956880
  17. ATIP3 is a novel microtubule-associated protein related to MTUS1, with a role in invasiveness and progression of breast neoplasms PMID: 19794912
  18. identified a tumor suppressor gene named MTSG1 at chromosome 8p21.3-22, encoding a mitochondrial protein, controlling cellular proliferation PMID: 12692079
  19. Results identify ATIP1 (angiotensin II AT2 receptor-interacting protein) as a novel early component of growth inhibitory signaling cascade PMID: 15123706
  20. Nucleotide variations result in amino-acid substitution or deletion of conserved structural motifs and also exonic splicing enhancer motifs and physiological splice sites, suggesting deleterious effects on ATIP function and/or expression. [REVIEW] PMID: 16650523
  21. MTUS1 encodes a family of proteins(ATIP1, ATIP3 and ATIP4), with potential important biological roles in tumor suppression and/or brain function. PMID: 16887298
  22. There is an association of the deletion variant of MTUS1 with a decreased risk for both familial and high-risk familial BC supporting its role in human cancer. PMID: 17301065
  23. two transcriptional start sites in the ATIP1 promoter were identified; PARP-1 activates the ATIP1 gene PMID: 19344625

Show More

Hide All

Involvement in disease
Hepatocellular carcinoma (HCC)
Subcellular Location
Mitochondrion. Golgi apparatus. Cell membrane. Nucleus.; [Isoform 1]: Cytoplasm, cytoskeleton, microtubule organizing center, centrosome. Cytoplasm, cytoskeleton, spindle. Note=Localizes with the mitotic spindle during mitosis and with the intercellular bridge during cytokinesis.
Protein Families
MTUS1 family
Tissue Specificity
Ubiquitously expressed (at protein level). Highly expressed in brain. Down-regulated in ovarian carcinoma, pancreas carcinoma, colon carcinoma and head and neck squamous cell carcinoma (HNSCC). Isoform 1 is the major isoform in most peripheral tissues. Is
Database Links

HGNC: 29789

OMIM: 114550

KEGG: hsa:57509

STRING: 9606.ENSP00000262102

UniGene: Hs.7946

icon of phone
Call us
301-363-4651 (Available 9 a.m. to 5 p.m. CST from Monday to Friday)
icon of address
Address
7505 Fannin St., Ste 610, Room 7 (CUBIO Innovation Center), Houston, TX 77054, USA
icon of social media
Join us with

Subscribe newsletter

Leave a message

* To protect against spam, please pass the CAPTCHA test below.
CAPTCHA verification
© 2007-2025 CUSABIO TECHNOLOGY LLC All rights reserved. 鄂ICP备15011166号-1
×
Place an order now

I. Product details

*
*
*
*

II. Contact details

*
*

III. Ship To

*
*
*
*
*
*
*

IV. Bill To

*
*
*
*
*
*
*
*