POU2F1 Antibody

Code CSB-PA162244
Size US$166
Order now
Image
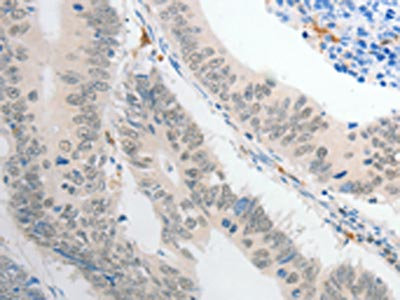
  • The image on the left is immunohistochemistry of paraffin-embedded Human colon cancer tissue using CSB-PA162244(POU2F1 Antibody) at dilution 1/30, on the right is treated with fusion protein. (Original magnification: ×200)
  • Gel: 8%SDS-PAGE, Lysate: 40 μg, Lane: 293T cells, Primary antibody: CSB-PA162244(POU2F1 Antibody) at dilution 1/400, Secondary antibody: Goat anti rabbit IgG at 1/8000 dilution, Exposure time: 15 seconds
Have Questions? Leave a Message or Start an on-line Chat

Product Details

Uniprot No.
Target Names
Alternative Names
FLJ42836 antibody; NF A1 antibody; NF-A1 antibody; Oct 1 antibody; Oct 1B antibody; Oct-1 antibody; OCT1 antibody; Octamer binding protein 1 antibody; Octamer binding transcription factor 1 antibody; Octamer-binding protein 1 antibody; Octamer-binding transcription factor 1 antibody; OTF 1 antibody; OTF-1 antibody; OTF1 antibody; OTTHUMP00000032348 antibody; OTTHUMP00000032350 antibody; OTTHUMP00000032351 antibody; PO21 antibody; PO2F1 antibody; PO2F1_HUMAN antibody; POU class 2 homeobox 1 antibody; POU domain class 2 transcription factor 1 antibody; POU domain; class 2; transcription factor 1 antibody; POU2F1 antibody
Raised in
Rabbit
Species Reactivity
Human,Mouse
Immunogen
Fusion protein of Human POU2F1
Immunogen Species
Homo sapiens (Human)
Conjugate
Non-conjugated
Isotype
IgG
Purification Method
Antigen affinity purification
Concentration
It differs from different batches. Please contact us to confirm it.
Buffer
-20°C, pH7.4 PBS, 0.05% NaN3, 40% Glycerol
Form
Liquid
Tested Applications
ELISA,WB,IHC
Recommended Dilution
Application Recommended Dilution
ELISA 1:1000-1:2000
WB 1:200-1:1000
IHC 1:25-1:100
Troubleshooting and FAQs
Storage
Upon receipt, store at -20°C or -80°C. Avoid repeated freeze.
Lead Time
Basically, we can dispatch the products out in 1-3 working days after receiving your orders. Delivery time maybe differs from different purchasing way or location, please kindly consult your local distributors for specific delivery time.
Usage
For Research Use Only. Not for use in diagnostic or therapeutic procedures.

Customer Reviews and Q&A

 Customer Reviews

There are currently no reviews for this product.

Submit a Review here

Target Background

Function
Transcription factor that binds to the octamer motif (5'-ATTTGCAT-3') and activates the promoters of the genes for some small nuclear RNAs (snRNA) and of genes such as those for histone H2B and immunoglobulins. Modulates transcription transactivation by NR3C1, AR and PGR.; (Microbial infection) In case of human herpes simplex virus (HSV) infection, POU2F1 forms a multiprotein-DNA complex with the viral transactivator protein VP16 and HCFC1 thereby enabling the transcription of the viral immediate early genes.
Gene References into Functions
  1. E6/E7-p53-POU2F1-CTHRC1 axis promotes cervical cancer cell invasion and metastasis PMID: 28303973
  2. our results indicate that POU2F1 over-expression is positively associated with aggressive phenotypes and poor survival in patients with HCC, and POU2F1 regulated by AKT pathway promotes HCC aggressive phenotypes by regulating the transcription of EMT genes. PMID: 28489585
  3. A significant influence of OCT1 mRNA expression on the clinical outcome of the disease was observed. PMID: 28025785
  4. Children with certain OCT1 genotypes have higher risk for respiratory depression and nausea and vomiting, postoperatively, following morphine administration. PMID: 28470102
  5. High POU2F1 expression is associated with liver cancer. PMID: 26375440
  6. THE results of this investigation demonstrate that genetic polymorphisms in the hepatic uptake transporter OCT1 affect the pharmacokinetics and efficacy of tramadol. PMID: 27541716
  7. Hepatic distribution of metformin was significantly reduced after oral administration in individuals with genetic polymorphisms in OCT1. PMID: 28380657
  8. We found that a combination of two polymorphisms in hOCT1 that seem to play the role of predictor for imatinib in both efficacy and toxicity PMID: 28289867
  9. hOCT1 mRNA expression may serve as a clinical biomarker of response to imatinib and could be useful to predict Imatinib mesylate therapy outcome of chronic myeloid leukemia patients PMID: 28286932
  10. Our study demonstrates that the existence of Oct-1 isoforms which vary in length and sequence at the N-terminus of the protein, also contributes in surprising diversity of Oct-1 functions in transcription regulation. PMID: 27407111
  11. HLA-C Level Is Regulated by a Polymorphic Oct1 Binding Site in the HLA-C Promoter Region PMID: 27817866
  12. OCT1 transported sumatriptan with high capacity and sumatriptan uptake into human hepatocytes was strongly inhibited by the OCT1 inhibitor MPP(+) PMID: 26659468
  13. Oct-1 modifies S100A4 exchange between intra- and extracellular compartments in Namalwa cells and increases their sensitivity to glucocorticoids. PMID: 27096393
  14. Low expression of POU2F1 is associated with osteosarcoma. PMID: 27658774
  15. Data indicate that octamer transcription factor 1 (OCT1; pou2f1) expression levels are significantly upregulated in colorectal cancer. PMID: 26433389
  16. Comparative analysis of various tumor lines showed no clear correlation between the expression level of Mts1/S100A4 and the content of Oct-1. However, at stable transfection of tumor cells with Oct-1A, Oct-1L, and Oct-1X isoforms we detected an elevated level of Oct-1, which stimulated Mts1/S100A4 secretion. PMID: 27193714
  17. The response in Burkitt's lymphoma cells (Namalwa line) to camptothecin and dexamethasone of the Oct-1 target genes involved in the development of apoptosis depended, firstly, on the type of drug, secondly, on the concentration of Oct-1 in cells and, thirdly, on the Oct-1 isoform with which these cells were transfected PMID: 27599509
  18. Role of transcription factor Oct-1 in the regulation of expression of genes of the JAK-STAT signaling pathway in the Namalwa Burkitt's lymphoma cell line: overexpression of Oct-1 isoforms (Oct-1A, Oct-1L, and Oct-1X) causes a decrease in the activity of four genes involved in the JAK-STAT signaling pathway-IFNAR2, STAT1, STAT2, and STAT4; STAT2 and STAT4 are direct targets for Oct-1 protein PMID: 27417729
  19. single-nucleotide polymorphisms of OCT1 have selective effects on the glycemic response to metformin PMID: 26464716
  20. OCT-1 plays a critical role in CD4 T cells through regulating gene expression during differentiation and mediating long-range chromosomal interactions. (Review) PMID: 27126747
  21. Oct-1 is a direct link of transcription factors with the core transcriptional machinery and chromatin remodeling and, depending on other factors present in particular cell types, it can direct cell type specific regulation. (Review) PMID: 27063953
  22. levels of microRNA-451 (miR-451) are negatively regulated through the phosphorylation and inactivation of its direct transcriptional activator OCT1 by 5' AMP-activated protein kinase PMID: 25937278
  23. hOCT1 c.480C>G SNP may significantly influence imatinib pharmacokinetics, supporting further analyses in larger groups of patients PMID: 24589908
  24. These results suggest that reduced OCT1 transport is an important determinant of metformin intolerance. PMID: 25510240
  25. POU2F1 activity regulates HOXD10 and HOXD11 gene expression in head and neck squamous cell carcinoma, promoting a proliferative and invasive phenotype. PMID: 25301728
  26. These experiments suggested that some human herpesvirus 8-infected PEL cell line-specific DNA-binding factors, such as OCT-1, should be involved in the upregulation of ANGPT-1 in a sequence-dependent manner. PMID: 25631079
  27. we demonstrate that the Oct-1 transcription factor, commonly considered pro-proliferative, indeed facilitates IFN-gamma induced apoptosis in 5637 bladder carcinoma cells PMID: 25236570
  28. combination of prelamin A accumulation and stress conditions enhance the aging phenotype by dysregulating the activity of the octamer binding protein Oct-1 PMID: 24753226
  29. a differential control exerted by both Oct-1 and Oct-2 in the transcriptional regulation of the HMGA1 gene PMID: 24367622
  30. T3 throid hormone enhanced the recruitment of the TRbeta1/Oct-1 complex on Octamer-transcription factor-1 site within cyclin D1 promoter. PMID: 24121026
  31. OCT-1 overexpression may be a marker for poor prognosis in patients with well-differentiated gastric adenocarcinoma. PMID: 24566898
  32. The new isoform of Oct-1 transcription factor is transcribed from alternative promoter. PMID: 24466753
  33. a new alternative promoter in the gene of the oct-1 transcription factor PMID: 23657650
  34. Data suggest that Oct1/Pou2f1 integrates metabolic and stress signals via O-GlcNAc modification to regulate target gene activity. PMID: 23580612
  35. our results did not show any pathogenic HOXA1 mutation, our results suggest that VSD might not be a clinically isolated manifestation of HOXA1 mutations. PMID: 22777240
  36. This study shows that long-term exposure to cisplatin promotes methylation of the OCT1 gene in human esophageal cancer cells, which in turn results in cisplatin resistance. PMID: 23053895
  37. Results indicate that lamin B1 (LMNB1) accumulation in adult-onset autosomal dominant leukodystrophy (ADLD) is associated with Oct-1 recruitment. PMID: 23261988
  38. STAT3 regulates the transcription and expression of Oct-1 by directly targeting its promoter. PMID: 23172665
  39. Oct-1 acts as a transcriptional repressor of C-reactive protein expression and it does so by occupying its cognate site on the promoter and also via other transcription factors by an as yet undefined mechanism PMID: 22750226
  40. Overexpression of wild-type, but not OCT1 loss-of-function variants, significantly increased tropisetron uptake. Correspondingly, patients with two loss-of-function OCT1 alleles had higher tropisetron plasma concentrations. PMID: 20921968
  41. AK inhibitor MK-0457 induces the growth arrest DNA damage-inducible (Gadd) 45a through recruitment of octamer-binding (Oct)-1 transcription factor at a critical promoter region for gene transcription and covalent modifications of histone H3. PMID: 22521726
  42. Exogenous Oct-1 expression showed a concentration-dependent activation of U6 promoter that was further stimulated by the p38 kinase inhibitors. PMID: 22310390
  43. Sox2 modulates the mechanism of translocation of Oct1. Both Sox2 and the Oct1 POU(HD) domain are transiently released from the specific ternary complex by sliding to an adjacent nonspecific site, followed by direct transfer to another DNA molecule PMID: 22396547
  44. patients with high immunoreactivity of Oct1 showed a low cancer-specific survival rate. PMID: 21387309
  45. role for Oct1 in mitosis PMID: 21897860
  46. Oct-1 is downregulated by reactive oxygen species via CpG island methylation in its promoter PMID: 21985966
  47. antioxidative response element-like/Oct-1 binding site was noticed to be essential for shear stress-dependent downregulation of Nox4 PMID: 21399967
  48. The authors demonstrate that the cellular transcription factor Oct-1 cooperates with the EBV immediate-early protein BRLF1 (R, Rta) to induce lytic viral reactivation. PMID: 21697476
  49. Genetic polymorphisms of the OCT1 is associated with the response to imatinib in patients newly diagnosed with chronic-phase chronic myeloid leukemia PMID: 21185600
  50. High OCT-1 is associated with chronic myeloid leukemia. PMID: 20971815

Show More

Hide All

Subcellular Location
Nucleus.
Protein Families
POU transcription factor family, Class-2 subfamily
Tissue Specificity
Ubiquitous. Isoform 2 is lymphocyte-specific.
Database Links

HGNC: 9212

OMIM: 164175

KEGG: hsa:5451

STRING: 9606.ENSP00000356840

UniGene: Hs.283402

icon of phone
Call us
301-363-4651 (Available 9 a.m. to 5 p.m. CST from Monday to Friday)
icon of address
Address
7505 Fannin St., Ste 610, Room 7 (CUBIO Innovation Center), Houston, TX 77054, USA
icon of social media
Join us with

Subscribe newsletter

Leave a message

* To protect against spam, please pass the CAPTCHA test below.
CAPTCHA verification
© 2007-2025 CUSABIO TECHNOLOGY LLC All rights reserved. 鄂ICP备15011166号-1
×
Place an order now

I. Product details

*
*
*
*

II. Contact details

*
*

III. Ship To

*
*
*
*
*
*
*

IV. Bill To

*
*
*
*
*
*
*
*