Phospho-NTRK1 (Tyr757) Antibody

Code CSB-PA271642
Size US$360
Order now
Image
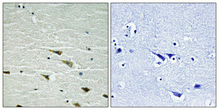
  • Immunohistochemical analysis of paraffin-embedded human brain tissue using Trk A (Phospho-Tyr757) antibody (left)or the same antibody preincubated with blocking peptide (right).
Have Questions? Leave a Message or Start an on-line Chat

Product Details

Full Product Name
Rabbit anti-Homo sapiens (Human) NTRK1 Polyclonal antibody
Uniprot No.
Target Names
Alternative Names
NTRK1; MTC; TRK; TRKA; High affinity nerve growth factor receptor; Neurotrophic tyrosine kinase receptor type 1; TRK1-transforming tyrosine kinase protein; Tropomyosin-related kinase A; Tyrosine kinase receptor; Tyrosine kinase receptor A; Trk-A; gp140trk; p140-TrkA
Raised in
Rabbit
Species Reactivity
Human,Mouse
Immunogen
Peptide sequence around phosphorylation site of tyrosine 757 (E-V-Y(p)-A-I) derived from Human Trk A.
Immunogen Species
Homo sapiens (Human)
Clonality
Polyclonal
Purification Method
Antibodies were produced by immunizing rabbits with synthetic phosphopeptide and KLH conjugates. Antibodies were purified by affinity-chromatography using epitope-specific phosphopeptide. Non-phospho specific antibodies were removed by chromatogramphy usi
Concentration
It differs from different batches. Please contact us to confirm it.
Form
Rabbit IgG in phosphate buffered saline (without Mg2+ and Ca2+), pH 7.4, 150mM NaCl, 0.02% sodium azide and 50% glycerol.
Tested Applications
ELISA,IHC
Recommended Dilution
Application Recommended Dilution
IHC 1:50-1:100
Troubleshooting and FAQs
Storage
Upon receipt, store at -20°C or -80°C. Avoid repeated freeze.
Lead Time
Basically, we can dispatch the products out in 1-3 working days after receiving your orders. Delivery time maybe differs from different purchasing way or location, please kindly consult your local distributors for specific delivery time.
Usage
For Research Use Only. Not for use in diagnostic or therapeutic procedures.

Customer Reviews and Q&A

 Customer Reviews

There are currently no reviews for this product.

Submit a Review here

Target Background

Function
Receptor tyrosine kinase involved in the development and the maturation of the central and peripheral nervous systems through regulation of proliferation, differentiation and survival of sympathetic and nervous neurons. High affinity receptor for NGF which is its primary ligand. Can also bind and be activated by NTF3/neurotrophin-3. However, NTF3 only supports axonal extension through NTRK1 but has no effect on neuron survival. Upon dimeric NGF ligand-binding, undergoes homodimerization, autophosphorylation and activation. Recruits, phosphorylates and/or activates several downstream effectors including SHC1, FRS2, SH2B1, SH2B2 and PLCG1 that regulate distinct overlapping signaling cascades driving cell survival and differentiation. Through SHC1 and FRS2 activates a GRB2-Ras-MAPK cascade that regulates cell differentiation and survival. Through PLCG1 controls NF-Kappa-B activation and the transcription of genes involved in cell survival. Through SHC1 and SH2B1 controls a Ras-PI3 kinase-AKT1 signaling cascade that is also regulating survival. In absence of ligand and activation, may promote cell death, making the survival of neurons dependent on trophic factors.; Resistant to NGF, it constitutively activates AKT1 and NF-kappa-B and is unable to activate the Ras-MAPK signaling cascade. Antagonizes the anti-proliferative NGF-NTRK1 signaling that promotes neuronal precursors differentiation. Isoform TrkA-III promotes angiogenesis and has oncogenic activity when overexpressed.
Gene References into Functions
  1. Two novel compound heterozygous variants of NTRK1 (c.632T > A and c.1253_1254delTC) were identified in a pair of Chinese identical twins with Congenital Insensitivity to Pain and Anhidrosis. PMID: 30461622
  2. The above results suggest that rutin preconditioning ameliorates cerebral I/R injury in OVX rats through ER-mediated BDNF-TrkB and NGF-TrkA signaling. PMID: 29420916
  3. The TrkA peptide is competitive for metal binding with analogous peptides due to the N-terminal domain of NGF. These data provide cues for future exploration of the effect of metal ions on the activity of the NGF and its specific cellular receptor. PMID: 30103559
  4. The LMNA-NTRK1 fusion was likely the molecular driver of tumorigenesis and metastasis in this patient, and the observed effectiveness of crizotinib treatment provides clinical validation of this molecular target. PMID: 30134855
  5. that lipofibromatosis-like tumour represents a novel entity of NTRK1-associated neoplasms PMID: 29958731
  6. System xC(-)-mediated TrkA activation therefore presents a promising target for therapeutic intervention in cancer pain treatment. PMID: 29761734
  7. Results identified two known splice-site mutations, one known nonsense mutation and one novel missense mutation in three congenital insensitivity to pain with anhidrosis (CIPA) pedigrees. These findings expanded the spectrum of the NTRK1 mutations associated with CIPA patients, provided additional clues for the phenotype-genotype relationship beneath CIPA. PMID: 30201336
  8. 27 mutations in NTRK1 from Congenital insensitivity to pain with anhidrosis cohort, including 15 novel mutations, are reported. PMID: 29770739
  9. NTRK1 was upregulated in 80% of head and neck squamous carcinoma tissue. PMID: 29904026
  10. TRKA expression can be found in 1.6% of solid tumours and can be paralleled by NTRK1 gene rearrangements or mostly copy number gain PMID: 29802225
  11. These results suggest that polymorphisms in NTRK1 play an important role in pain sensitivity in young Han Chinese women PMID: 29054434
  12. We developed a comprehensive model of acquired resistance to NTRK inhibitors in cancer with NTRK1 rearrangement and identified cabozantinib as a therapeutic strategy to overcome the resistance PMID: 28751539
  13. TrkA plays an important role in the pathogenesis of NPM-ALK(+) T-cell lymphoma. PMID: 28557340
  14. Results show frequent BRCA2, EGFR, and NTRK1/2/3 mutations in mismatch repair-deficient colorectal cancers , sugggesting personalized medicine strategies to treat the patients with advanced disease who may have no remaining treatment options PMID: 28591715
  15. novel deletional mutation has enriched the spectrum of NTRK1 mutations PMID: 28981924
  16. This study identify four novel NTRK1 mutations (IVS14+3A>T, p.Ser235*, p.Asp596Asn, and p.Leu784Serfs*79) and demonstrate that they are pathologic mutations using an mRNA splicing assay and an NTRK autophosphorylation assay. PMID: 28177573
  17. Report a novel mechanism for the TRAIL-induced apoptosis of TrkAIII expressing NB cells that depends upon SHP/Src-mediated crosstalk between the TRAIL-receptor signaling pathway and TrkAIII. PMID: 27821809
  18. This show evidence of variation in plasmatic monocytic TrkA expression during the progression of dementia. PMID: 27802234
  19. TrkA was detected in 20% of thyroid cancers, compared with none of the benign samples. TrkA expression was independent of histologic subtypes but associated with lymph node metastasis, suggesting the involvement of TrkA in tumor invasiveness. Nerves in the tumor microenvironment were positive for TrkA. PMID: 29037860
  20. phenotypes, as well as both recurrent and novel mutations in NTRK1 in 2 Chinese patients with CIPA PMID: 28192073
  21. we conclude that complete abolition of TRKA kinase activity is not the only pathogenic mechanism underlying HSAN IV. PMID: 27676246
  22. Nine patients have been reported from nine unrelated families with hereditary sensory and autonomic neuropathy IV due to various mutations in NTRK1, five of which are novel. PMID: 28328124
  23. Data suggest that kinase domains of neurotrophin receptor isoforms, TRKA, TRKB, and TRKC, exhibit a bulky phenylalanine gatekeeper, leading to a small and unattractive back pocket/binding site for antineoplastic kinase inhibitors. [REVIEW] PMID: 28215291
  24. Pan-Trk immunohistochemistry is a time-efficient and tissue-efficient screen for NTRK fusions, particularly in driver-negative advanced malignancies and potential cases of secretory carcinoma and congenital fibrosarcoma. PMID: 28719467
  25. analysis of NTRK1 transcripts in peripheral blood cells of the patient revealed an influence of the variant on mRNA splicing. The C>A transversion generated a novel splice-site, which led to the incorporation of 10 intronic bases into the NTRK1 mRNA and consequently to a non-functional gene product. PMID: 27184211
  26. NTRK fusions occur in a subset of young patients with mesenchymal or sarcoma-like tumors at a low frequency PMID: 28097808
  27. A novel nonsense mutation and a known splice-site mutation were detected in NTRK1 in two siblings and were shown to be associated with congenital insensitivity to pain with anhidrosis. PMID: 28345382
  28. NTRK1 gene fusion in spitzoid neoplasms results in tumors with Kamino bodies and were typically arranged in smaller nests with smaller predominantly spindle-shaped cells, occasionally forming rosettes. PMID: 27776007
  29. Results suggest that NTRK1 oncogenic activation through gene fusion defines a novel and distinct subset of soft tissue tumors resembling lipofibromatosis (LPF), but displaying cytologic atypia and a neural immunophenotype, provisionally named LPF-like neural tumors. PMID: 27259011
  30. This review highlights treatment options, including clinical trials for ROS1 rearrangement, RET fusions, NTRK1 fusions, MET exon skipping, BRAF mutations, and KRAS mutations. PMID: 27912827
  31. ShcD binds to active Ret, TrkA, and TrkB neurotrophic factor receptors predominantly via its phosphotyrosine-binding (PTB) domain. PMID: 28213521
  32. TrkA misfolding and aggregation induced by some Insensitivity to Pain with Anhidrosis mutations disrupt the autophagy homeostasis causing neurodegeneration. PMID: 27551041
  33. USP36 actions extend beyond TrkA because the presence of USP36 interferes with Nedd4-2-dependent Kv7.2/3 channel regulation. PMID: 27445338
  34. Our results demonstrated that TrkA expression was associated with tumor progression and poor survival, and was an independent predictor of poor outcomes in gastric cancer patients PMID: 26459250
  35. High NTRK1 expression is associated with colon cancer. PMID: 26716414
  36. TrkA immunohistochemistry is an effective, initial screening method for NTRK1 rearrangement detection in the clinic. PMID: 26472021
  37. This work identifies GGA3 as a key player in a novel DXXLL-mediated endosomal sorting machinery that targets TrkA to the plasma membrane, where it prolongs the activation of Akt signaling and survival responses. PMID: 26446845
  38. Data show that p.G595R and p.G667C TRKA mutations drive acquired resistance to entrectinib in colorectal cancers carrying NTRK1 rearrangements. PMID: 26546295
  39. Two key biological processes for progressive hearing loss, TrkA signaling pathway and EGF receptor signaling pathway were significantly and differentially enriched by the two sets of allele-specific target genes of miR-96. PMID: 26564979
  40. Report novel variant of myo/haemangiopericytic sarcoma with recurrent NTRK1 gene fusions. PMID: 26863915
  41. TrkA as a candidate oncogene in malignant melanoma and support a model in which the NGF-TrkA-MAPK pathway may mediate a trade-off between neoplastic transformation and adaptive anti-proliferative response. PMID: 26496938
  42. IL-13 confers epithelial cell responsiveness to NGF by regulating NTRK1 levels by a transcriptional and epigenetic mechanism and that this process likely contributes to allergic inflammation. PMID: 25389033
  43. findings suggest that Cbl-b limits NGF-TrkA signaling to control the length of neurites. PMID: 25921289
  44. mRNA expression of NTRK1 genes was higher in low-grade gliomas vs. high-grade and control samples. Poor survival was associated with NTRK1 mRNA. Promoter methylation does not regulate NTRK1 genes in glioma. PMID: 24840578
  45. Translocations in the NTRK1 gene are recurring events in colorectal cancer, although occurring at a low frequency (around 0.5%). PMID: 26001971
  46. Findings have implications for understanding the mature and less malignant neuroblastoma phenotype associated with NTRK1 expression, and could assist the development of new therapeutic strategies for neuroblastoma differentiation PMID: 25361003
  47. TrkA expression in neurons was found to be regulated at the gene promoter level by Bex3 protein. PMID: 25948268
  48. Causative role for M379I and R577G NTRK1 mutations in melanoma development is highly unlikely. PMID: 24965840
  49. Increased NTRK1 expression is associated with spontaneous abortions. PMID: 24825909
  50. Data indicate how the neurotrophins function through tyrosine kinase receptors TrkC and TrkA. PMID: 24603864

Show More

Hide All

Involvement in disease
Congenital insensitivity to pain with anhidrosis (CIPA)
Subcellular Location
Cell membrane; Single-pass type I membrane protein. Early endosome membrane; Single-pass type I membrane protein. Late endosome membrane; Single-pass type I membrane protein. Recycling endosome membrane; Single-pass type I membrane protein.
Protein Families
Protein kinase superfamily, Tyr protein kinase family, Insulin receptor subfamily
Tissue Specificity
Isoform TrkA-I is found in most non-neuronal tissues. Isoform TrkA-II is primarily expressed in neuronal cells. TrkA-III is specifically expressed by pluripotent neural stem and neural crest progenitors.
Database Links

HGNC: 8031

OMIM: 164970

KEGG: hsa:4914

STRING: 9606.ENSP00000431418

UniGene: Hs.406293

icon of phone
Call us
301-363-4651 (Available 9 a.m. to 5 p.m. CST from Monday to Friday)
icon of address
Address
7505 Fannin St., Ste 610, Room 7 (CUBIO Innovation Center), Houston, TX 77054, USA
icon of social media
Join us with

Subscribe newsletter

Leave a message

* To protect against spam, please pass the CAPTCHA test below.
CAPTCHA verification
© 2007-2025 CUSABIO TECHNOLOGY LLC All rights reserved. 鄂ICP备15011166号-1
×
Place an order now

I. Product details

*
*
*
*

II. Contact details

*
*

III. Ship To

*
*
*
*
*
*
*

IV. Bill To

*
*
*
*
*
*
*
*