TRIM49 Antibody

Code CSB-PA599098
Size US$166
Order now
Image
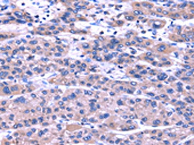
  • The image on the left is immunohistochemistry of paraffin-embedded Human breast cancer tissue using CSB-PA599098(TRIM49 Antibody) at dilution 1/40, on the right is treated with fusion protein. (Original magnification: ×200)
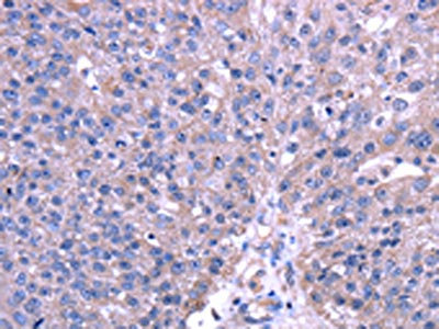
  • The image on the left is immunohistochemistry of paraffin-embedded Human liver cancer tissue using CSB-PA599098(TRIM49 Antibody) at dilution 1/40, on the right is treated with fusion protein. (Original magnification: ×200)
  • Gel: 8%SDS-PAGE,Lysate: 40 μg,,Primary antibody: CSB-PA599098(TRIM49 Antibody) at dilution 1/800 dilution,Secondary antibody: Goat anti rabbit IgG at 1/8000 dilution,Exposure time: 3 seconds
Have Questions? Leave a Message or Start an on-line Chat

Product Details

Uniprot No.
Target Names
TRIM49
Alternative Names
RING finger protein 18 antibody; RNF 18 antibody; RNF18 antibody; Testis specific RING Finger protein antibody; Testis-specific ring-finger protein antibody; TRI49_HUMAN antibody; TRIM 49 antibody; TRIM49 antibody; Tripartite motif containing 49 antibody; Tripartite motif containing protein 49 antibody; Tripartite motif-containing protein 49 antibody
Raised in
Rabbit
Species Reactivity
Human
Immunogen
Fusion protein of Human TRIM49
Immunogen Species
Homo sapiens (Human)
Conjugate
Non-conjugated
Isotype
IgG
Purification Method
Antigen affinity purification
Concentration
It differs from different batches. Please contact us to confirm it.
Buffer
-20°C, pH7.4 PBS, 0.05% NaN3, 40% Glycerol
Form
Liquid
Tested Applications
ELISA,WB,IHC
Recommended Dilution
Application Recommended Dilution
ELISA 1:2000-1:5000
WB 1:500-1:2000
IHC 1:30-1:150
Troubleshooting and FAQs
Storage
Upon receipt, store at -20°C or -80°C. Avoid repeated freeze.
Lead Time
Basically, we can dispatch the products out in 1-3 working days after receiving your orders. Delivery time maybe differs from different purchasing way or location, please kindly consult your local distributors for specific delivery time.
Usage
For Research Use Only. Not for use in diagnostic or therapeutic procedures.

Customer Reviews and Q&A

 Customer Reviews

There are currently no reviews for this product.

Submit a Review here

icon of phone
Call us
301-363-4651 (Available 9 a.m. to 5 p.m. CST from Monday to Friday)
icon of address
Address
7505 Fannin St., Ste 610, Room 7 (CUBIO Innovation Center), Houston, TX 77054, USA
icon of social media
Join us with

Subscribe newsletter

Leave a message

* To protect against spam, please pass the CAPTCHA test below.
CAPTCHA verification
© 2007-2026 CUSABIO TECHNOLOGY LLC All rights reserved. 鄂ICP备15011166号-1
Place an order now

I. Product details

*
*
*
*

II. Contact details

*
*

III. Ship To

*
*
*
*
*
*
*

IV. Bill To

*
*
*
*
*
*
*
*