UBL4A Antibody

Code CSB-PA265121
Size US$166
Order now
Image
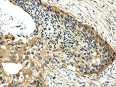
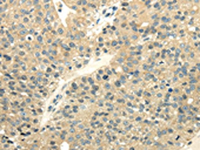
  • The image on the left is immunohistochemistry of paraffin-embedded Human breast cancer tissue using CSB-PA265121(UBL4A Antibody) at dilution 1/40, on the right is treated with fusion protein. (Original magnification: ×200)
  • The image on the left is immunohistochemistry of paraffin-embedded Human esophagus cancer tissue using CSB-PA265121(UBL4A Antibody) at dilution 1/40, on the right is treated with fusion protein. (Original magnification: ×200)
  • Gel: 12%SDS-PAGE, Lysate: 40 μg, Lane 1-6: Hepg2 and Jurkat cell, human fetal brain tissue and hela cell, A431 and PC3 cell, Primary antibody: CSB-PA265121(UBL4A Antibody) at dilution 1/800 dilution, Secondary antibody: Goat anti rabbit IgG at 1/8000 dilution, Exposure time: 1 minute
Have Questions? Leave a Message or Start an on-line Chat

Product Details

Uniprot No.
Target Names
UBL4A
Alternative Names
DX254E antibody; DXS254E antibody; G6PD antibody; GDX antibody; OTTHUMP00000061462 antibody; Ubiquitin like 4 antibody; Ubiquitin like 4A antibody; Ubiquitin like protein 4A antibody; Ubiquitin like protein GDX antibody; Ubiquitin-like protein 4A antibody; Ubiquitin-like protein GDX antibody; UBL 4 antibody; UBL 4A antibody; UBL4 antibody; Ubl4a antibody; UBL4A_HUMAN antibody
Raised in
Rabbit
Species Reactivity
Human,Mouse,Rat
Immunogen
Full length fusion protein
Immunogen Species
Homo sapiens (Human)
Conjugate
Non-conjugated
Isotype
IgG
Purification Method
Antigen affinity purification
Concentration
It differs from different batches. Please contact us to confirm it.
Buffer
-20°C, pH7.4 PBS, 0.05% NaN3, 40% Glycerol
Form
Liquid
Tested Applications
ELISA,WB,IHC
Recommended Dilution
Application Recommended Dilution
ELISA 1:2000-1:10000
WB 1:1000-1:5000
IHC 1:30-1:150
Troubleshooting and FAQs
Storage
Upon receipt, store at -20°C or -80°C. Avoid repeated freeze.
Lead Time
Basically, we can dispatch the products out in 1-3 working days after receiving your orders. Delivery time maybe differs from different purchasing way or location, please kindly consult your local distributors for specific delivery time.
Usage
For Research Use Only. Not for use in diagnostic or therapeutic procedures.

Customer Reviews and Q&A

 Customer Reviews

There are currently no reviews for this product.

Submit a Review here

Target Background

Function
As part of a cytosolic protein quality control complex, the BAG6/BAT3 complex, maintains misfolded and hydrophobic patches-containing proteins in a soluble state and participates in their proper delivery to the endoplasmic reticulum or alternatively can promote their sorting to the proteasome where they undergo degradation. The BAG6/BAT3 complex is involved in the post-translational delivery of tail-anchored/type II transmembrane proteins to the endoplasmic reticulum membrane. Recruited to ribosomes, it interacts with the transmembrane region of newly synthesized tail-anchored proteins and together with SGTA and ASNA1 mediates their delivery to the endoplasmic reticulum. Client proteins that cannot be properly delivered to the endoplasmic reticulum are ubiquitinated and sorted to the proteasome. Similarly, the BAG6/BAT3 complex also functions as a sorting platform for proteins of the secretory pathway that are mislocalized to the cytosol either delivering them to the proteasome for degradation or to the endoplasmic reticulum. The BAG6/BAT3 complex also plays a role in the endoplasmic reticulum-associated degradation (ERAD), a quality control mechanism that eliminates unwanted proteins of the endoplasmic reticulum through their retrotranslocation to the cytosol and their targeting to the proteasome. It maintains these retrotranslocated proteins in an unfolded yet soluble state condition in the cytosol to ensure their proper delivery to the proteasome.
Gene References into Functions
  1. The authors identify USP13 as a gp78-associated deubiquitinase that eliminates ubiquitin conjugates from Ubl4A to maintain the functionality of Bag6. PMID: 24424410
  2. Structures of the Sgt2/SGTA dimerization domain with the Get5/UBL4A UBL domain reveal an interaction that forms a conserved dynamic interface. PMID: 23142665
Subcellular Location
Cytoplasm, cytosol. Nucleus.
Database Links

HGNC: 12505

OMIM: 312070

KEGG: hsa:8266

STRING: 9606.ENSP00000358674

UniGene: Hs.76480

icon of phone
Call us
301-363-4651 (Available 9 a.m. to 5 p.m. CST from Monday to Friday)
icon of address
Address
7505 Fannin St., Ste 610, Room 7 (CUBIO Innovation Center), Houston, TX 77054, USA
icon of social media
Join us with

Subscribe newsletter

Leave a message

* To protect against spam, please pass the CAPTCHA test below.
CAPTCHA verification
© 2007-2025 CUSABIO TECHNOLOGY LLC All rights reserved. 鄂ICP备15011166号-1
×
Place an order now

I. Product details

*
*
*
*

II. Contact details

*
*

III. Ship To

*
*
*
*
*
*
*

IV. Bill To

*
*
*
*
*
*
*
*