ADGRL4 Recombinant Monoclonal Antibody

Code CSB-RA872541MA1HU
Size US$210
Order now
Image
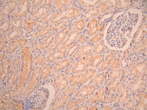
  • IHC image of CSB-RA872541MA1HU diluted at 1:50 and staining in paraffin-embedded human kidney tissue performed on a Leica BondTM system. After dewaxing and hydration, antigen retrieval was mediated by high pressure in a citrate buffer (pH 6.0). Section was blocked with 10% normal goat serum 30min at RT. Then primary antibody (1% BSA) was incubated at 4°C overnight. The primary is detected by a Anti-Human lgG, Fcy Fragment Specific labeled by HRP and visualized using 0.05% DAB.
Have Questions? Leave a Message or Start an on-line Chat

Product Details

Uniprot No.
Target Names
Alternative Names
ADGRL4 antibody; Adhesion G protein-coupled receptor L4 antibody; EGF antibody; EGF latrophilin and seven transmembrane domain containing 1 antibody; EGF TM7 latrophilin related protein antibody; EGF; latrophilin and seven transmembrane domain-containing protein 1 antibody; EGF; latrophilin; and 7 transmembrane domain-containing protein 1 antibody; EGF-; TM7-; and latrophilin-related protein antibody; EGF-TM7-latrophilin-related protein antibody; EGFTM7 latrophilin related protein antibody; ELTD 1 antibody; ELTD1 antibody; ELTD1_HUMAN antibody; ETL antibody; ETL protein antibody; KPG_003 antibody; latrophilin and seven transmembrane domain-containing protein 1 antibody; UNQ202/PRO228 antibody; zgc:63629 antibody
Species Reactivity
Human
Immunogen
Recombinant Human ADGRL4 protein
Immunogen Species
Homo sapiens (Human)
Conjugate
Non-conjugated
Clonality
Monoclonal
Isotype
hIgG1
Clone No.
18A11
Purification Method
Affinity-chromatography
Concentration
It differs from different batches. Please contact us to confirm it.
Buffer
Preservative: 0.03% Proclin 300
Constituents: 50% Glycerol, 0.01M PBS, PH 7.4
Form
Liquid
Tested Applications
ELISA, IHC
Recommended Dilution
Application Recommended Dilution
IHC 1:50-1:200
Troubleshooting and FAQs
Storage
Upon receipt, store at -20°C or -80°C. Avoid repeated freeze.
Lead Time
Basically, we can dispatch the products out in 1-3 working days after receiving your orders. Delivery time maybe differs from different purchasing way or location, please kindly consult your local distributors for specific delivery time.
Usage
For Research Use Only. Not for use in diagnostic or therapeutic procedures.

Customer Reviews and Q&A

 Customer Reviews

There are currently no reviews for this product.

Submit a Review here

Target Background

Function
Endothelial orphan receptor that acts as a key regulator of angiogenesis.
Gene References into Functions
  1. High ELTD1 expression is associated with glioma. PMID: 27416955
  2. miR-139-5p suppresses glioblastoma multiforme cell proliferation by targeting ELTD1 and regulating cell cycle. PMID: 26449464
  3. Results provide insight into the regulation of tumor angiogenesis and highlight ELTD1 as key player in blood vessel formation. PMID: 23871637
  4. Two of these (D1S0818i-ELTD1 and D6S0035i-MAPK14) remain associated following application of Bonferroni's correction and multivariate analysis. PMID: 23474535
  5. Results of this study strongly suggests that associative analysis was able to accurately identify ELTD1 as a putative glioma-associated biomarker PMID: 23096411
  6. Genes such as ELTD1 on chromosome 1, in addition to genes on chromosomes 4 (eg, GABRA2) and 6 (eg, CNR1), may be associated with the genetic risk for cannabis use disorders. PMID: 18519829

Show More

Hide All

Subcellular Location
Cell membrane; Multi-pass membrane protein.
Protein Families
G-protein coupled receptor 2 family, Adhesion G-protein coupled receptor (ADGR) subfamily
Tissue Specificity
Detected in the majority of epithelial cells in tumor and normal tissues. Expressed also in human umbilical vein endothelial cells.
Database Links

HGNC: 20822

OMIM: 616419

KEGG: hsa:64123

STRING: 9606.ENSP00000359778

UniGene: Hs.132314

icon of phone
Call us
301-363-4651 (Available 9 a.m. to 5 p.m. CST from Monday to Friday)
icon of address
Address
7505 Fannin St., Ste 610, Room 7 (CUBIO Innovation Center), Houston, TX 77054, USA
icon of social media
Join us with

Subscribe newsletter

Leave a message

* To protect against spam, please pass the CAPTCHA test below.
CAPTCHA verification
© 2007-2025 CUSABIO TECHNOLOGY LLC All rights reserved. 鄂ICP备15011166号-1
×
Place an order now

I. Product details

*
*
*
*

II. Contact details

*
*

III. Ship To

*
*
*
*
*
*
*

IV. Bill To

*
*
*
*
*
*
*
*