ARG1 Recombinant Monoclonal Antibody

Code CSB-RA002005MA1HU
Size US$210
Order now
Image
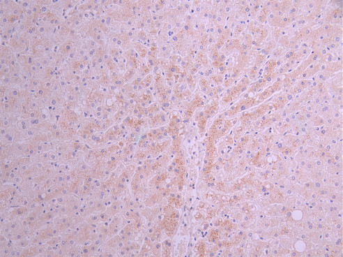
  • IHC image of CSB-RA002005MA1HU diluted at 1:50 and staining in paraffin-embedded human liver tissue performed on a Leica BondTM system. After dewaxing and hydration, antigen retrieval was mediated by high pressure in a citrate buffer (pH 6.0). Section was blocked with 10% normal goat serum 30min at RT. Then primary antibody (1% BSA) was incubated at 4°C overnight. The primary is detected by a Anti-Human lgG, Fcy Fragment Specific labeled by HRP and visualized using 0.05% DAB.
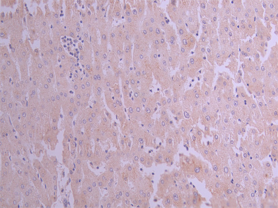
  • IHC image of CSB-RA002005MA1HU diluted at 1:50 and staining in paraffin-embedded human liver cancer performed on a Leica BondTM system. After dewaxing and hydration, antigen retrieval was mediated by high pressure in a citrate buffer (pH 6.0). Section was blocked with 10% normal goat serum 30min at RT. Then primary antibody (1% BSA) was incubated at 4°C overnight. The primary is detected by a Anti-Human lgG, Fcy Fragment Specific labeled by HRP and visualized using 0.05% DAB.
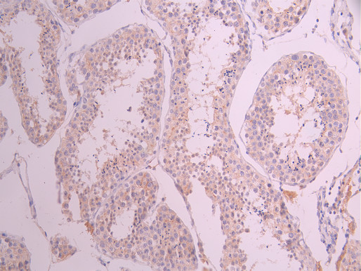
  • IHC image of CSB-RA002005MA1HU diluted at 1:50 and staining in paraffin-embedded human testis tissue performed on a Leica BondTM system. After dewaxing and hydration, antigen retrieval was mediated by high pressure in a citrate buffer (pH 6.0). Section was blocked with 10% normal goat serum 30min at RT. Then primary antibody (1% BSA) was incubated at 4°C overnight. The primary is detected by a Anti-Human lgG, Fcy Fragment Specific labeled by HRP and visualized using 0.05% DAB.
Have Questions? Leave a Message or Start an on-line Chat

Product Details

Uniprot No.
Target Names
ARG1
Alternative Names
A I antibody; Al antibody; ARG 1 antibody; arg1 antibody; ARGI1_HUMAN antibody; Arginase 1 antibody; Arginase liver antibody; Arginase type I antibody; Arginase; liver antibody; Arginase-1 antibody; Arginase1 antibody; Liver type arginase antibody; Liver-type arginase antibody; Type I arginase antibody
Species Reactivity
Human
Immunogen
Recombinant Human ARG1 protein
Immunogen Species
Homo sapiens (Human)
Conjugate
Non-conjugated
Clonality
Monoclonal
Isotype
hIgG1
Clone No.
6F1
Purification Method
Affinity-chromatography
Concentration
It differs from different batches. Please contact us to confirm it.
Buffer
Preservative: 0.03% Proclin 300
Constituents: 50% Glycerol, 0.01M PBS, PH 7.4
Form
Liquid
Tested Applications
ELISA, IHC
Recommended Dilution
Application Recommended Dilution
IHC 1:50-1:200
Troubleshooting and FAQs
Storage
Upon receipt, store at -20°C or -80°C. Avoid repeated freeze.
Lead Time
Basically, we can dispatch the products out in 1-3 working days after receiving your orders. Delivery time maybe differs from different purchasing way or location, please kindly consult your local distributors for specific delivery time.
Usage
For Research Use Only. Not for use in diagnostic or therapeutic procedures.

Customer Reviews and Q&A

 Customer Reviews

There are currently no reviews for this product.

Submit a Review here

Target Background

Function
Key element of the urea cycle converting L-arginine to urea and L-ornithine, which is further metabolized into metabolites proline and polyamides that drive collagen synthesis and bioenergetic pathways critical for cell proliferation, respectively; the urea cycle takes place primarily in the liver and, to a lesser extent, in the kidneys.; Functions in L-arginine homeostasis in nonhepatic tissues characterized by the competition between nitric oxide synthase (NOS) and arginase for the available intracellular substrate arginine. Arginine metabolism is a critical regulator of innate and adaptive immune responses. Involved in an antimicrobial effector pathway in polymorphonuclear granulocytes (PMN). Upon PMN cell death is liberated from the phagolysosome and depletes arginine in the microenvironment leading to suppressed T cell and natural killer (NK) cell proliferation and cytokine secretion. In group 2 innate lymphoid cells (ILC2s) promotes acute type 2 inflammation in the lung and is involved in optimal ILC2 proliferation but not survival. In humans, the immunological role in the monocytic/macrophage/dendritic cell (DC) lineage is unsure.
Gene References into Functions
  1. study of the significance of heat activation and the role of metal ions in human arginase PMID: 30282613
  2. TGF-beta1 and arginase-1 may play important roles in determining long-term graft survival. PMID: 30074212
  3. These results showed that arginase controlled sFlt-1 elevation to some extent. PMID: 29548823
  4. ARG1 gene polymorphisms and their association in individuals with essential hypertension in Pakistan has been presented. PMID: 29756997
  5. A subset of well-differentiated hepatocellular carcinomas are arginase-1 negative. PMID: 28970136
  6. The data in this study suggest that arginase I inhibition potentially represents a novel therapeutic target for the prevention and/or treatment of bronchopulmonary dysplasia-associated pulmonary hypertension. PMID: 27895230
  7. this study shows that infiltrating macrophages expressing Arg1 are present in active allergic contact dermatitis lesions PMID: 28747341
  8. High arginase expression is associated with glioblastoma. PMID: 27006175
  9. Report the value of Arg-1 in distinguishing HepPar-1-positive prostatic carcinoma from hepatocellular carcinoma at metastatic sites or cases of liver metastasis from prostate carcinoma. PMID: 27184483
  10. AEG-1 is positively activated in the tumorigenesis and deterioration of NSCLC. PMID: 28152520
  11. Arginase-1 expression is common (62.5%) in hepatoid adenocarcinoma and hence it is not useful in distinguishing hepatocellular carcinoma from hepatoid adenocarcinoma. PMID: 27137985
  12. Arginase 1 was highly expressed by tumor-associated Gr1+ microglia and macrophages. PMID: 27936099
  13. The authors report here that Candida albicans blocks nitric oxide production in human-monocyte-derived macrophages by induction of host arginase activity. PMID: 28119468
  14. Evidence for a negative association of arginase I with job strain and positive association with job control and social support in females. PMID: 28403218
  15. Two argininemia patients were initially diagnosed by tandem mass spectrometry in newborn screening. Mutation analysis of the ARG1 gene was performed by direct sequencing.Two missense mutations, p.D100N and p.R71T, in Patient-1 were predicted to lower the stability of arginase Iota by analysis of 3D crystal structure, while two nonsense mutations, p.G12X and p.E42X, in Patient-2 were predicted to lead to truncated protein. PMID: 28089752
  16. The results of this study suggested a novel relationship exists between ARG1, neutrophil-lymphocyte ratio , and stroke severity which may help guide future mechanistic studies of post-stroke immune suppression. PMID: 26515089
  17. This study provides a molecular mechanism of the pathogenesis of systemic lupus erythematosus by demonstrating an Arg-1-dependent effect of myeloid-derived suppressor cells in the development of TH17 cell-associated autoimmunity. PMID: 27009269
  18. ARG1 rs2781659 AA and rs2781667 TT genotypes were associated with lower IIEF scores (increased severity) in clinical erectile dysfunction (ED), whereas ARG1 GTCC haplotype is associated with higher IIEF scores in clinical ED, thus suggesting a genetic contribution of ARG1 variations to ED PMID: 26537638
  19. These results showed that alterations in the expression levels of Arg I and iNOS in the peripheral T cells and peripheral nodes of HIV infected patients are associated with disease progression in these patients. PMID: 26647762
  20. Increased ARG1 expression in macrophages after a single radiotherapy dose is an independent prognostic factor of skin toxicities. PMID: 26061397
  21. Arginase inhibition arrests human pulmonary artery smooth muscle cells in the G1/G0-phase under hypoxic conditions. PMID: 26126810
  22. Arginase from neutrophils can modulate nitric oxide production from activated macrophages which may affect the course of infection by intracellular bacteria. PMID: 26119192
  23. Overexpression and elevated activity of arginase I are involved in tobacco-induced pulmonary endothelial dysfunction. PMID: 25889611
  24. This method not only solved the problem of obtaining a large amount of arginase, but also provided a promising alternative for the future industrial production of L-Orn. PMID: 26227111
  25. the combination of high levels of CD14, FOXP3, and ARG1 mRNAs identified a small group of patients with excellent event-free and overall survival. PMID: 26161395
  26. Overexpression of Arg1 in the CNS of transgenic mice significantly reduced tau pathology. PMID: 26538654
  27. data indicate that helminth coinfection induces arginase-1-expressing type 2 granulomas, thereby increasing inflammation and TB disease severity. PMID: 26571397
  28. The data exclude a prognostic role of IL-10 and ARG-1 in metastatic neuroblastoma. PMID: 25961062
  29. Arginase activity increases in peripheral blood of patients with intestinal schistosomiasis. PMID: 25786588
  30. Data indicate that arginase-1 showed positivity in 2 ampullary region carcinomas and diffuse positivity in 1 duodenal adenocarcinoma. PMID: 26030248
  31. Arg1 induced accumulation of autophagosomes in MDA-MB-231 cells. PMID: 25501824
  32. Arg1 and PD-L1 are dynamically modulated upon neutrophil migration into human airways, and, Arg1, but not PD-L1, contributes to early neutrophil-driven T cell suppression in cystic fibrosis, likely hampering resolution of infection and inflammation. PMID: 25926674
  33. These results suggest that ARG1 and GABA influence both neural development and neuroblastoma and that benzodiazepines in clinical use may have potential applications for neuroblastoma therapy. PMID: 25437558
  34. Arg1 expression is decreased, and Arg2 expression is increased in the newborn congenital obstructive nephropathy and in the mouse model. PMID: 25205225
  35. rs2781666 may be associated with protection against pulmonary hypertension in preterm neonates with bronchopulmonary dysplasia PMID: 24919409
  36. The plasma levels of arginase I was higher in patients with DCL. PMID: 25124926
  37. Novel variants in the ARG1 locus associated with CRP levels in cardiovascular disease in a Korean population. [Meta-analysis] PMID: 24763700
  38. Arginase I levels are decreased in the plasma of pediatric patients with atopic dermatitis. PMID: 25027824
  39. Arginase activity was higher in cord blood of gestational diabetes mellitus mothers as opposed to the control group. PMID: 24376824
  40. Our results suggest that serum ARG and CRP together can efficiently diagnose Head and neck squamous cell carcinoma. PMID: 24715304
  41. Serum arginase I might regulate serum L-arginine and 3-nitrotyrosine via L-arginine. PMID: 24060156
  42. The independent associations of arginase I with urinary 8-OHdG and serum insulin may reflect its involvement in oxidative stress and diabetes mellitus. PMID: 24005081
  43. Arginase-1 mRNA expression correlates with myeloid-derived suppressor cell levels in peripheral blood of NSCLC patients. PMID: 23850196
  44. Both arginase-1 and HepPar-1 are effective markers of hepatocellular differentiation PMID: 24281232
  45. This study demonistrated that Five novel mutations in ARG1 gene in Chinese patients of argininemia. PMID: 23859858
  46. Glypican 3 and arginase-1 are the most reliable markers for identifying scirrhous hepatocellular carcinoma. PMID: 23348905
  47. Enzymes that are directly involved in the formation of urea are expressed in ocular tissues. PMID: 23740519
  48. Results show that the positively charged state of arginine is stable in the active site of arginase I, with that stabilization facilitated by the presence of hydroxide. PMID: 23327293
  49. The tumor suppressive function of arginase-I in both infiltrating and circulating myeloid-derived suppressor cells is a downstream target of activated STAT3. PMID: 23454751
  50. results suggest that Arg-1 may play a tumor suppressive role in HCC and could be a new, promising prognostic biomarker for HCC patients PMID: 23505904

Show More

Hide All

Involvement in disease
Argininemia (ARGIN)
Subcellular Location
Cytoplasm. Cytoplasmic granule.
Protein Families
Arginase family
Tissue Specificity
Within the immune system initially reported to be selectively expressed in granulocytes (polymorphonuclear leukocytes [PMNs]). Also detected in macrophages mycobacterial granulomas. Expressed in group2 innate lymphoid cells (ILC2s) during lung disease.
Database Links

HGNC: 663

OMIM: 207800

KEGG: hsa:383

STRING: 9606.ENSP00000357066

UniGene: Hs.440934

icon of phone
Call us
301-363-4651 (Available 9 a.m. to 5 p.m. CST from Monday to Friday)
icon of address
Address
7505 Fannin St., Ste 610, Room 7 (CUBIO Innovation Center), Houston, TX 77054, USA
icon of social media
Join us with

Subscribe newsletter

Leave a message

* To protect against spam, please pass the CAPTCHA test below.
CAPTCHA verification
© 2007-2025 CUSABIO TECHNOLOGY LLC All rights reserved. 鄂ICP备15011166号-1
×
Place an order now

I. Product details

*
*
*
*

II. Contact details

*
*

III. Ship To

*
*
*
*
*
*
*

IV. Bill To

*
*
*
*
*
*
*
*