AXL Recombinant Monoclonal Antibody

Code CSB-RA326981MA2HU
Size US$210
Order now
Image
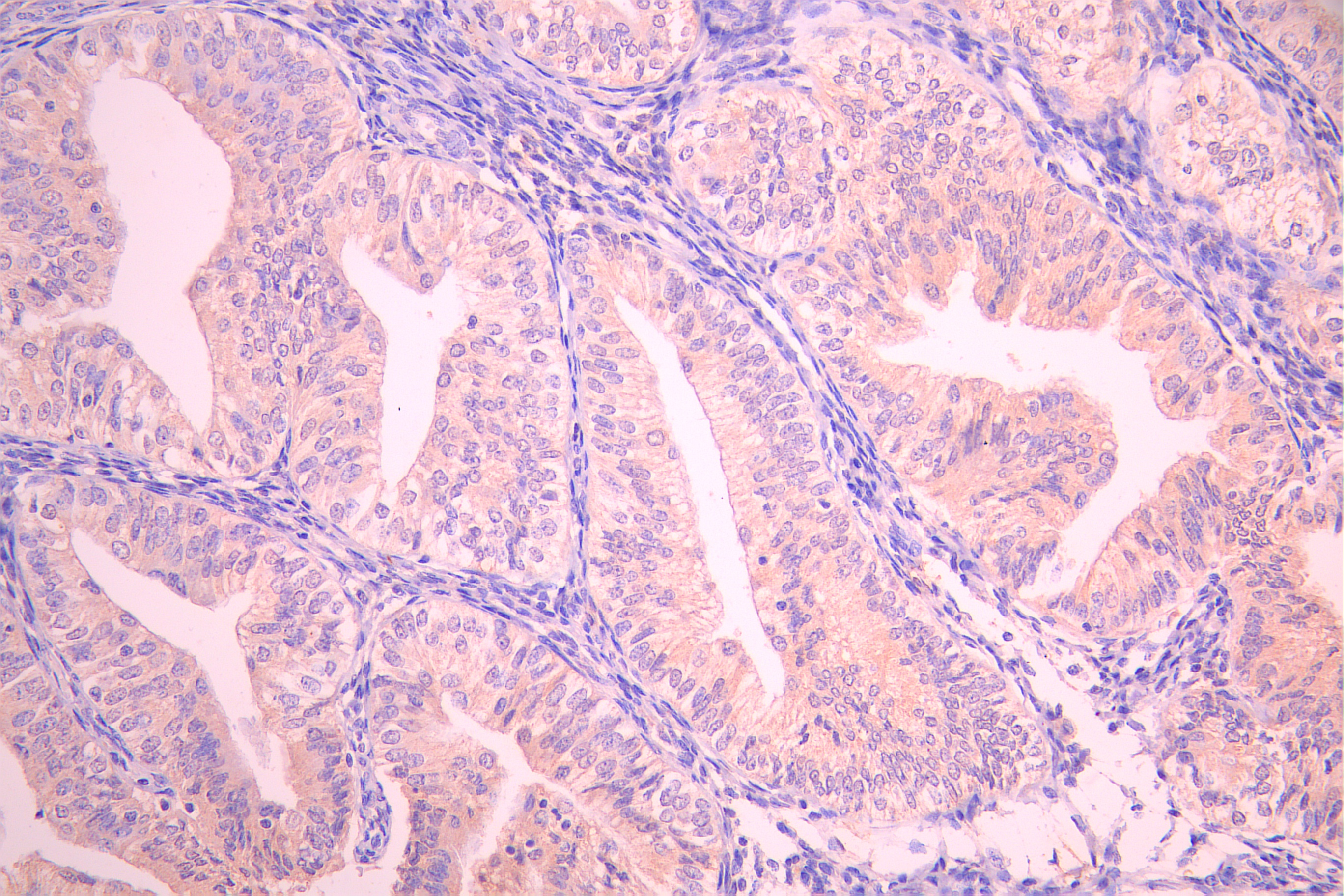
  • IHC image of CSB-RA326981MA2HU diluted at 1:50 and staining in paraffin-embedded human endometrial cancer performed on a Leica BondTM system. After dewaxing and hydration, antigen retrieval was mediated by high pressure in a citrate buffer (pH 6.0). Section was blocked with 10% normal goat serum 30min at RT. Then primary antibody (1% BSA) was incubated at 4°C overnight. The primary is detected by a Anti-Human lgG, Fcy Fragment Specific labeled by HRP and visualized using 0.05% DAB.
Have Questions? Leave a Message or Start an on-line Chat

Product Details

Uniprot No.
Target Names
Alternative Names
Tyrosine-protein kinase receptor UFO (EC 2.7.10.1) (AXL oncogene), AXL, UFO
Species Reactivity
Human
Immunogen
Recombinant Human AXL protein
Immunogen Species
Homo sapiens (Human)
Conjugate
Non-conjugated
Clonality
Monoclonal
Isotype
hIgG1
Clone No.
15G12
Purification Method
Affinity-chromatography
Concentration
It differs from different batches. Please contact us to confirm it.
Buffer
Preservative: 0.03% Proclin 300
Constituents: 50% Glycerol, 0.01M PBS, PH 7.4
Form
Liquid
Tested Applications
ELISA, IHC
Recommended Dilution
Application Recommended Dilution
IHC 1:50-1:200
Troubleshooting and FAQs
Storage
Upon receipt, store at -20°C or -80°C. Avoid repeated freeze.
Lead Time
Basically, we can dispatch the products out in 1-3 working days after receiving your orders. Delivery time maybe differs from different purchasing way or location, please kindly consult your local distributors for specific delivery time.
Usage
For Research Use Only. Not for use in diagnostic or therapeutic procedures.

Customer Reviews and Q&A

 Customer Reviews

There are currently no reviews for this product.

Submit a Review here

Target Background

Function
Receptor tyrosine kinase that transduces signals from the extracellular matrix into the cytoplasm by binding growth factor GAS6 and which is thus regulating many physiological processes including cell survival, cell proliferation, migration and differentiation. Ligand binding at the cell surface induces dimerization and autophosphorylation of AXL. Following activation by ligand, AXL binds and induces tyrosine phosphorylation of PI3-kinase subunits PIK3R1, PIK3R2 and PIK3R3; but also GRB2, PLCG1, LCK and PTPN11. Other downstream substrate candidates for AXL are CBL, NCK2, SOCS1 and TNS2. Recruitment of GRB2 and phosphatidylinositol 3 kinase regulatory subunits by AXL leads to the downstream activation of the AKT kinase. GAS6/AXL signaling plays a role in various processes such as endothelial cell survival during acidification by preventing apoptosis, optimal cytokine signaling during human natural killer cell development, hepatic regeneration, gonadotropin-releasing hormone neuron survival and migration, platelet activation, or regulation of thrombotic responses. Plays also an important role in inhibition of Toll-like receptors (TLRs)-mediated innate immune response.; (Microbial infection) Acts as a receptor for lassa virus and lymphocytic choriomeningitis virus, possibly through GAS6 binding to phosphatidyl-serine at the surface of virion envelope.; (Microbial infection) Acts as a receptor for Ebolavirus, possibly through GAS6 binding to phosphatidyl-serine at the surface of virion envelope.
Gene References into Functions
  1. identify the receptor tyrosine kinase Axl as a novel target of ZNF224 transcriptional repression activity. PMID: 30176265
  2. Findings suggest that METTL3 plays very important oncogenic roles in ovarian carcinoma development and/or aggressiveness by stimulating AXL translation and EMT. PMID: 30249526
  3. Co-expression of CDCP1 and AXL is often observed in EGFR-mutation-positive tumors, limiting the efficacy of EGFR TKIs. Co-treatment with EGFR TKI and TPX-0005 warrants testing. PMID: 29433983
  4. This study demonstrates that motility behavior of AXL-expressing tumor cells can be elicited by Gas6-bearing apoptotic bodies generated from tumor treatment with therapeutics that produce killing of a portion of the tumor cells present but not all, hence generating potentially problematic invasive and metastatic behavior of the surviving tumor cells PMID: 28923840
  5. Results show that average methylation in AXL at birth was associated with higher risk for asthma-related phenotypes in childhood, especially wheezing. The effects of average AXL methylation on wheezing symptoms were magnified in girls compared to boys. PMID: 29177020
  6. we identified YAP-driven AXL overexpression as a mechanism of resistance to EGFR TKIs in lung cancer cells. PMID: 29136529
  7. The anti-angiogenic effect of luteolin may be associated with the inhibition of the Gas6/Axl pathway and its downstream phosphatidylinositol 3-kinase (PI3K)/protein kinase B (Akt)/mammalian target of rapamycin (mTOR) signaling pathways. PMID: 28627676
  8. AXL is influenced by p53 status and could cause the emergence of aggressive clones after exposure to chemotherapy in colon and breast cancer PMID: 28596680
  9. Taken together, these findings suggest that AXL most likely serves as an attachment factor for Zika virus on the cell surface, and that productive infection requires endocytosis and delivery of the virus to acidified intracellular compartments. PMID: 29574335
  10. serum Axl shows high diagnostic accuracy at early stage hepatocellular carcinoma as well as cirrhosis PMID: 28526812
  11. AXL is the only relevant Zika virus entry cofactor expressed on fetal endothelial cells, and that when produced in mammalian cells, only Zika virus, but not West Nile virus or dengue virus, can use AXL, because it more efficiently binds Gas6. PMID: 28167751
  12. Results indicate AXL receptor tyrosine kinase (AXL) as an important mediator of docetaxel resistance in prostate cancer. PMID: 28455956
  13. AXL promotes epithelial cell efferocytosis in a tyrosine kinase-dependent manner.AXL role in AKT-dependent drug resistance. PMID: 28184013
  14. The plasma concentrations of Gas6 and Axl are lowered in rheumatoid arthritis patients. PMID: 24702788
  15. The anti-AXL antibody 20G7-D9 represents a promising therapeutic strategy in triple-negative breast cancer with mesenchymal features by inhibiting AXL-dependent Epithelial-Mesenchymal Transition, tumor growth, and metastasis formation PMID: 27923843
  16. Suppression of AXL by shRNA and inhibitor prolonged survival of chronic myelogenous leukemia (CML) mice and reduced the growth of leukemia stem cells ( LSCs) in mice. Gas6/AXL ligation stabilizes beta-catenin in an AKT-dependent fashion in human CML CD34(+) cells. Our findings improve the understanding of LSC regulation and validate Gas6/AXL as a pair of therapeutic targets to eliminate CML LSCs PMID: 27852702
  17. our data point to a targetable Axl-PI3 kinase-PD-L1 axis that is highly associated with radiation resistance PMID: 28476872
  18. AXL+ and GAS6+ expression is relevant to a poor prognosis in resected lung adenocarcinoma (AD)patients at stage I. AXL/GAS6 might serve as crucial predictive and prognostic biomarkers and targets to identify individuals at high risk of post-operative death. PMID: 28440492
  19. report that Axl regulates FGFR signaling via complex formation with FGFR3 PMID: 26598018
  20. AZD7762 inhibits the proliferative/metastatic activity of breast cancer cells through the suppression of cellular AXL signaling events including anti-apoptosis, migration, invasion, and angiogenesis. PMID: 27829217
  21. BGB324 does not inhibit BCR-ABL1 and consequently inhibits chronic myeloid leukemia (CML)independent of BCR-ABL1 mutational status. Our data show that Axl inhibition has therapeutic potential in BCR-ABL TKI-sensitive as well as -resistant CML and support the need for clinical trials PMID: 27856601
  22. Results show that AXL is upregulated in endometrial cancer tissues and indicate that AXL promotes invasion and migration of endometrial cancer cells. PMID: 27764792
  23. these results suggest that HOTAIR promotes renal cell carcinoma (Rcc) tumorigenesis via miR-217/HIF-1alpha/AXL signaling, which may provide a new target for the diagnosis and therapy of Rcc disease. PMID: 28492542
  24. The expression of MerTK and AxlTK varied according to the deposition of immunoglobulin and complements on glomeruli. Both MerTK and AxlTK expressions were increased on glomeruli and varied according to pathological classifications. PMID: 28127639
  25. High expression level of AXL is associated with lung adenocarcinoma. PMID: 26942465
  26. AXL is a strong adverse prognostic factor for esophageal squamous cell carcinoma PMID: 27172793
  27. Our data demonstrate that AXL is a crucial therapeutic target of carvacrol-induced inhibition of NSCLC cell proliferation and migration. PMID: 29277784
  28. These results show that TYRO3, AXL and GAS6 are expressed at higher levels in LMS and expression of its ligands correlates to a worse PFS in LMS patients. PMID: 29024938
  29. miR-34a reconstitution in DMPM cells significantly inhibited proliferation and tumorigenicity, induced an apoptotic response, and declined invasion ability, mainly through the down-regulation of c-MET and AXL and the interference with the activation of downstream signaling. PMID: 28100259
  30. kinase AXL drives the mesenchymal gene signature and motility of ovarian tumor cells. PMID: 27703029
  31. The AXL inhibitor R428 attenuated RTK and ERK activation and reduced cell motility in Mes cells in culture and reduced tumor growth PMID: 27703030
  32. These results highlight the dual role of Axl during Zika virus infection of glial cells: promoting viral entry and modulating innate immune responses. PMID: 28076778
  33. The expression of AXL was positively associated with GAS6 expression (P < 0.001), and tumor differentiation (P = 0.014) in advanced NSCLC with metastases. AXL expression displayed no association with gender, age, smoking history, pathology, T stage, N stage, CEA, and LDH. PMID: 28551766
  34. Data indicate a role for AXL receptor tyrosine kinase (AXL) in regulating the nuclear translocation of epidermal growth factor receptor (EGFR) and suggest that AXL-mediated SRC family kinases (SFKs) and neuregulin-1 (NRG1) expression promote this process. PMID: 28049763
  35. Combination of high serum levels of soluble AXL and BNP had greater predictive value for heart failure than BNP alone. PMID: 27718443
  36. These results demonstrate that Gas6/Axl axis confers aggressiveness in breast cancer. PMID: 27279912
  37. a lower stability and greater dynamic nature of the Axl kinase domain PMID: 28724631
  38. Silencing AXL or the inhibition of AXL kinase activity significantly inhibits tumor cell migration and invasion in colorectal cancer. PMID: 28727830
  39. we identify PROS1 as a driver of Oral Squamous Cell Carcinoma tumor growth and a modulator of AXL expression PMID: 28118606
  40. Studies indicate that aberrant AXL receptor tyrosine kinase (AXL) signaling and development of an epithelial-to-mesenchymal transition (EMT) phenotype underlie resistance of anaplastic lymphoma kinase (ALK F1174L)-driven neuroblastoma (NB) cells to TAE684 and its derivatives. PMID: 26616860
  41. Studied axl kinase as a negative regulator of an alveolar epithelial cell phenotype; results found that inhibition of Axl kinase could form epithelial adhesion structure and augment surfactant protein production via the MET of human lung multi-potent cells. PMID: 28553934
  42. AXL is efficiently and sequentially cleaved by alpha- and gamma-secretases in various types of cancer cell lines. The AXL intracellular domain cleavage product translocates into the nucleus via a nuclear localization sequence that harbored a basic HRRKK motif. PMID: 28034848
  43. a relationship between AXL and the cellular response to DNA damage whereby abrogation of AXL signaling leads to accumulation of the DNA-damage markers gammaH2AX, 53BP1, and RAD51. PMID: 27893463
  44. Small molecule and antibody inhibitors of AXL and MER have recently been described, and some of these have already entered clinical trials. The optimal design of treatment strategies to maximize the clinical benefit of these AXL and MER targeting agents are discussed in relation to the different cancer types and the types of resistance encountered. PMID: 28251492
  45. our results demonstrate that AR can promote melanoma metastasis via altering the miRNA-539-3p/USP13/MITF/AXL signal and targeting this newly identified signal with AR degradation enhancer ASC-J9 may help us to better suppress the melanoma metastasis. PMID: 27869170
  46. AXL can be an effective therapeutic target in combination with targeted therapy such as PARP inhibitors in several different malignancies. PMID: 27671334
  47. AXL/TAZ/YAP expression is associated with poor prognosis in male breast cancer patients. PMID: 27987320
  48. ablation of AXL has no effect on ZIKA virus (ZIKV) entry or ZIKV-mediated cell death in human induced pluripotent stem cell (iPSC)-derived NPCs or cerebral organoids. PMID: 27912091
  49. the candidate viral entry receptor AXL is highly expressed by human radial glial cells, astrocytes, endothelial cells, and microglia in developing human cortex and by progenitor cells in developing retina. PMID: 27038591
  50. Coexistence of vimentin-positive and Axl-high expression is a poor prognostic factor for primary breast cancer. Vimentin and Axl expression might contribute to the aggressive phenotype in breast cancer. PMID: 27506606

Show More

Hide All

Involvement in disease
AXL and its ligand GAS6 are highly expressed in thyroid carcinoma tissues, and might thus be involved in thyroid tumorigenesis. Overexpression of AXL and its ligand was also detected in many other cancers such as myeloproliferative disorders, prostatic carcinoma cells, or breast cancer.
Subcellular Location
Cell membrane; Single-pass type I membrane protein.
Protein Families
Protein kinase superfamily, Tyr protein kinase family, AXL/UFO subfamily
Tissue Specificity
Highly expressed in metastatic colon tumors. Expressed in primary colon tumors. Weakly expressed in normal colon tissue.
Database Links

HGNC: 905

OMIM: 109135

KEGG: hsa:558

STRING: 9606.ENSP00000301178

UniGene: Hs.590970

icon of phone
Call us
301-363-4651 (Available 9 a.m. to 5 p.m. CST from Monday to Friday)
icon of address
Address
7505 Fannin St., Ste 610, Room 7 (CUBIO Innovation Center), Houston, TX 77054, USA
icon of social media
Join us with

Subscribe newsletter

Leave a message

* To protect against spam, please pass the CAPTCHA test below.
CAPTCHA verification
© 2007-2026 CUSABIO TECHNOLOGY LLC All rights reserved. 鄂ICP备15011166号-1
Place an order now

I. Product details

*
*
*
*

II. Contact details

*
*

III. Ship To

*
*
*
*
*
*
*

IV. Bill To

*
*
*
*
*
*
*
*