CDCA5 Recombinant Monoclonal Antibody

Code CSB-RA436367A0HU
Size US$210
Order now
Image
  • Western Blot
    Positive WB detected in:Raji whole cell lysate(30µg)
    All lanes: Sororin antibody at 1:1000
    Secondary
    Goat polyclonal to rabbit IgG at 1/40000 dilution
    Predicted band size: 28 kDa
    Observed band size: 35 kDa
    Exposure time:3min
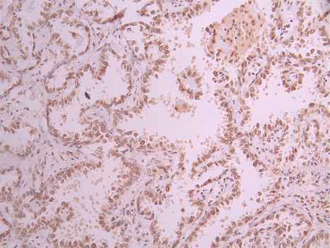
  • IHC image of CSB-RA436367A0HU diluted at 1:100 and staining in paraffin-embedded human lung cancer performed on a Leica BondTM system. After dewaxing and hydration, antigen retrieval was mediated by high pressure in a citrate buffer (pH 6.0). Section was blocked with 10% normal goat serum 30min at RT. Then primary antibody (1% BSA) was incubated at 4°C overnight. The primary is detected by a Goat anti-rabbit polymer IgG labeled by HRP and visualized using 0.05% DAB.
  • Immunofluorescence staining of A549 cell with CSB-RA436367A0HU at 1:50, counter-stained with DAPI. The cells were fixed in 4% formaldehyde, permeabilized using 0.2% Triton X-100 and blocked in 10% normal Goat Serum. The cells were then incubated with the antibody overnight at 4°C. The secondary antibody was Alexa Fluor 488-congugated AffiniPure Goat Anti-Rabbit IgG(H+L).
  • Overlay Peak curve showing Hela cells stained with CSB-RA436367A0HU (red line) at 1:100. The cells were fixed in 4% formaldehyde and permeated by 0.2% TritonX-100 for 10min. Then 10% normal goat serum to block non-specific protein-protein interactions followed by the antibody (1ug/1*106cells) for 45min at 4℃. The secondary antibody used was FITC-conjugated goat anti-rabbit IgG (H+L) at 1/200 dilution for 35min at 4℃.Control antibody (green line) was Rabbit IgG (1ug/1*106cells) used under the same conditions. Acquisition of >10,000 events was performed.
Have Questions? Leave a Message or Start an on-line Chat

Product Details

Uniprot No.
Target Names
CDCA5
Alternative Names
Sororin (Cell division cycle-associated protein 5) (p35), CDCA5
Species Reactivity
Human
Immunogen
A synthesized peptide from human CDCA5 protein
Immunogen Species
Homo sapiens (Human)
Conjugate
Non-conjugated
Clonality
Monoclonal
Isotype
Rabbit IgG
Clone No.
20F9
Purification Method
Affinity-chromatography
Concentration
It differs from different batches. Please contact us to confirm it.
Buffer
Preservative: 0.03% Proclin 300
Constituents: 50% Glycerol, 0.01M PBS, PH 7.4
Form
Liquid
Tested Applications
ELISA, WB, IHC, IF, FC
Recommended Dilution
Application Recommended Dilution
WB 1:500-1:2000
IHC 1:50-1:200
IF 1:50-1:200
FC 1:50-1:200
Troubleshooting and FAQs
Storage
Upon receipt, store at -20°C or -80°C. Avoid repeated freeze.
Lead Time
Basically, we can dispatch the products out in 1-3 working days after receiving your orders. Delivery time maybe differs from different purchasing way or location, please kindly consult your local distributors for specific delivery time.
Usage
For Research Use Only. Not for use in diagnostic or therapeutic procedures.

Customer Reviews and Q&A

 Customer Reviews

There are currently no reviews for this product.

Submit a Review here

Target Background

Function
Regulator of sister chromatid cohesion in mitosis stabilizing cohesin complex association with chromatin. May antagonize the action of WAPL which stimulates cohesin dissociation from chromatin. Cohesion ensures that chromosome partitioning is accurate in both meiotic and mitotic cells and plays an important role in DNA repair. Required for efficient DNA double-stranded break repair.
Gene References into Functions
  1. High CDCA5 expression is associated with hepatocellular carcinoma. PMID: 30015982
  2. These results suggest that satellite I RNA plays a role in stabilizing RBMX and Sororin in the ncRNP complex to maintain proper sister chromatid cohesion. PMID: 29383807
  3. Silencing of CDCA5 suppresses proliferation of gastric cancer cells by inducing G1-phase arrest via downregulating CCNE1. PMID: 29326043
  4. Sororin participates in the regulation of centromeric cohesion during meiosis in collaboration with SGO2-PP2A. PMID: 26951638
  5. The results suggest that CDCA5 functions as a critical gene supporting oral squamous cell carcinoma progression and that targeting CDCA5 may be a useful therapeutic strategy for oral squamous cell carcinoma. PMID: 26497678
  6. phosphorylation plays unexpected roles in regulating the subcellular localization of Sororin. PMID: 26177583
  7. the C-terminus of Sororin functions as an anchor binding to SA2, which facilitates other conserved motifs on Sororin to interact with other proteins to regulate sister chromatid cohesion and separation. PMID: 25608232
  8. We propose that the Prp19 complex and the splicing machinery contribute to the establishment of cohesion by promoting Sororin accumulation during S phase, and are, therefore, essential to the maintenance of genome stability. PMID: 25092791
  9. A transcriptome-wide analysis revealed that SNW1 or PRPF8 depletion affects the splicing of specific introns in a subset of pre-mRNAs, including pre-mRNAs encoding the cohesion protein sororin and the APC/C subunit APC2. PMID: 25257309
  10. Targeting p35/Cdk5 signalling via CIP-peptide promotes angiogenesis in hypoxia. PMID: 24098701
  11. Data show that the MEK-ERK pathway regulates cell cycle-related neuronal apoptosis (CRNA) by elevating the levels of cyclin D1, and the increase in cyclin D1 attenuates the activation of cyclin-dependent kinase 5 (cdk5) by its neuronal activator p35. PMID: 22833568
  12. Sororin is phosphorylated by Cdk1/cyclin B at prophase and acts as a docking protein to bring Plk1 into proximity with SA2, resulting in the phosphorylation of SA2 and the removal of cohesin complexes from chromosomal arms. PMID: 21987589
  13. the interaction of the highly conserved motif at the C terminus of sororin with the cohesin complex is critical to its ability to mediate sister chromatid cohesion. PMID: 21115494
  14. Transactivation of CDCA5 and its phosphorylation at Ser209 by ERK play an important role in lung cancer proliferation. PMID: 20551060
  15. data indicate that sororin interacts with chromatin-bound cohesin and functions during the establishment or maintenance of cohesion in S or G2 phase, respectively PMID: 17349791
  16. Sororin protects centromeric cohesion in response to the spindle checkpoint, but prevents the removal of cohesion by a mechanism independent of the anaphase-promoting complex. PMID: 17361102

Show More

Hide All

Subcellular Location
Nucleus. Chromosome. Cytoplasm. Note=Associates with nuclear chromatin from S phase until metaphase and is released in the cytoplasm upon nuclear envelope breakdown.
Protein Families
Sororin family
Database Links

HGNC: 14626

OMIM: 609374

KEGG: hsa:113130

STRING: 9606.ENSP00000275517

UniGene: Hs.434886

icon of phone
Call us
301-363-4651 (Available 9 a.m. to 5 p.m. CST from Monday to Friday)
icon of address
Address
7505 Fannin St., Ste 610, Room 7 (CUBIO Innovation Center), Houston, TX 77054, USA
icon of social media
Join us with

Subscribe newsletter

Leave a message

* To protect against spam, please pass the CAPTCHA test below.
CAPTCHA verification
© 2007-2026 CUSABIO TECHNOLOGY LLC All rights reserved. 鄂ICP备15011166号-1
Place an order now

I. Product details

*
*
*
*

II. Contact details

*
*

III. Ship To

*
*
*
*
*
*
*

IV. Bill To

*
*
*
*
*
*
*
*