CPT2 Recombinant Monoclonal Antibody

Code CSB-RA118695A0HU
Size US$210
Order now
Image
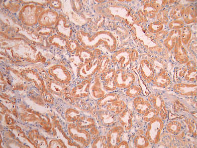
  • IHC image of CSB-RA118695A0HU diluted at 1:100 and staining in paraffin-embedded human kidney tissue performed on a Leica BondTM system. After dewaxing and hydration, antigen retrieval was mediated by high pressure in a citrate buffer (pH 6.0). Section was blocked with 10% normal goat serum 30min at RT. Then primary antibody (1% BSA) was incubated at 4°C overnight. The primary is detected by a Goat anti-rabbit polymer IgG labeled by HRP and visualized using 0.05% DAB.
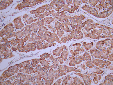
  • IHC image of CSB-RA118695A0HU diluted at 1:100 and staining in paraffin-embedded human liver cancer performed on a Leica BondTM system. After dewaxing and hydration, antigen retrieval was mediated by high pressure in a citrate buffer (pH 6.0). Section was blocked with 10% normal goat serum 30min at RT. Then primary antibody (1% BSA) was incubated at 4°C overnight. The primary is detected by a Goat anti-rabbit polymer IgG labeled by HRP and visualized using 0.05% DAB.
Have Questions? Leave a Message or Start an on-line Chat

Product Details

Uniprot No.
Target Names
Alternative Names
Carnitine O palmitoyltransferase 2 antibody; Carnitine O palmitoyltransferase 2 mitochondrial antibody; Carnitine O-palmitoyltransferase 2 antibody; Carnitine palmitoyltransferase 2 antibody; Carnitine palmitoyltransferase II antibody; CPT 1 antibody; CPT 2 antibody; CPT II antibody; CPT1 antibody; CPT2 antibody; CPT2_HUMAN antibody; CPTASE antibody; CPTII antibody; IIAE4 antibody; mitochondrial antibody
Species Reactivity
Human
Immunogen
A synthesized peptide from human CPT2 protein
Immunogen Species
Homo sapiens (Human)
Conjugate
Non-conjugated
Clonality
Monoclonal
Isotype
Rabbit IgG
Clone No.
11H5
Purification Method
Affinity-chromatography
Concentration
It differs from different batches. Please contact us to confirm it.
Buffer
Rabbit IgG in 10mM phosphate buffered saline , pH 7.4, 150mM sodium chloride, 0.05% BSA, 0.02% sodium azide and 50% glycerol.
Form
Liquid
Tested Applications
ELISA, IHC
Recommended Dilution
Application Recommended Dilution
IHC 1:50-1:200
Troubleshooting and FAQs
Storage
Upon receipt, store at -20°C or -80°C. Avoid repeated freeze.
Lead Time
Basically, we can dispatch the products out in 1-3 working days after receiving your orders. Delivery time maybe differs from different purchasing way or location, please kindly consult your local distributors for specific delivery time.
Usage
For Research Use Only. Not for use in diagnostic or therapeutic procedures.

Customer Reviews and Q&A

 Customer Reviews

There are currently no reviews for this product.

Submit a Review here

Target Background

Function
Involved in the intramitochondrial synthesis of acylcarnitines from accumulated acyl-CoA metabolites. Reconverts acylcarnitines back into the respective acyl-CoA esters that can then undergo beta-oxidation, an essential step for the mitochondrial uptake of long-chain fatty acids and their subsequent beta-oxidation in the mitochondrion. Active with medium (C8-C12) and long-chain (C14-C18) acyl-CoA esters.
Gene References into Functions
  1. To the best of our knowledge, this is the first report of the coexistence of VHL disease and CPT2 deficiency in the same individual. Based on findings from animal models, the case illustrates that mutations in the VHL gene might protect against renal damage caused by CPT2 gene mutations. PMID: 27034144
  2. this study shows that upregulation of the citrate pathway and down-regulation of carnitine/acylcarnitine carrier gene in cells from children with Down syndrome PMID: 27502741
  3. The clinical presentation of patients with muscle carnitine palmitoyltransferase II deficiency is discussed in this review in line with enzymatic features. The thermolability of the mutant enzyme might explain why symptoms in muscle CPT II deficiency mainly occur during prolonged exercise, infections and exposure to cold. [review] PMID: 28054946
  4. Variations in AMPD1, CPT2, and PGYM genes are not associated with the onset, susceptibility, or severity of chronic fatigue syndrome. PMID: 27525900
  5. polymorphism may be associated with severity of EV71 infection PMID: 26874509
  6. CPT2 is active inside the mitochondrial matrix to recover acyl-CoA from a process generally known as the carnitine shuttle. This protein is expressed in a constitutive way in all cells and tissues. PMID: 26041663
  7. CPT II deficiency induces an energy crisis of the fatty acid metabolic pathway. PMID: 25781464
  8. L-carnitine deficiency participates in the pathogenesis of endometrial cancer by means of a mechanism which is unrelated with obesity and increased amount of fat in human body. PMID: 25335471
  9. The rs2229291 and rs1799821 variants in CPT II gene might be one of the predisposing factors of acute encephalitis. PMID: 25361188
  10. The F352C CPT2 variant might be a genetic risk factor for sudden unexpected death in infancy PMID: 23969168
  11. The data indicate that within the muscle form of CPT II deficiency, the various genotypes have only marginal influence on the clinical and biochemical phenotype. PMID: 24398345
  12. The present study shows that screening for second mutations in patients that are heterozygote for the common p.S113L is justified although rare symptomatic heterozygotes. PMID: 23475205
  13. The homozygous genotype (AA) of CPT2 variant V368I had significantly less blood carnitine in acute myocardial infarction patients. PMID: 23566841
  14. Allelic and phenotypic heterogeneity in 49 Italian patients with the muscle form of CPT-II deficiency PMID: 21913903
  15. CPT2 and CACT are crucial for mitochondrial acylcarnitine formation and export to the extracellular fluids in mitochondrial fatty acid beta-oxidation disorders. PMID: 23322164
  16. the thermolabile F352C CPT II variant, found only in Japanese, might be one of the predisposing factors to trigger the pathomechanism of acute encephalopathy in the Japanese population PMID: 21277129
  17. A homozygous mutation (c.534_558del25bpinsT) of CPT2 in a case of neonatal CPT II deficiency associated with Dandy-Walker syndrome and sudden death at 13 days of life. PMID: 21641254
  18. Data demonstrated the thermolabile CPT-II variants in demonstrated the thermolabile CPT-II variants in patients with viral infection-associated encephalopathy in Chinese population. PMID: 21697855
  19. Results revealed that having at least one carnitine palmitoyl transferase II CIM allele is a risk factor for the onset of acute encephalopathy, regardless of its antecedent infections. PMID: 20934285
  20. Analyzed potential rhabdomyolysis-susceptibility genes (RYR 1, CPT II, VLCAD and CYP 2D6) from autopsy samples of methamphetamine abusers; no obvious relationship between the genetic mutations observed in this study and rhabdomyolysis was seen. PMID: 20952238
  21. We found a high frequency of the common p.Ser113Leu mutation, the recurrence of the rare p.Arg631Cys mutation , and identified four novel mutations, in patients with muscle type CPT II deficiency. PMID: 20810031
  22. New allele (515del14)leads to a frameshift that results in a stop codon 15 codons upstream. PMID: 11855939
  23. genetic CPT II deficiency is characterized by insulin resistance, which is not explained by increased intramyomellular lipids. Homozygote. PMID: 11994355
  24. 5'-flanking region of this gene is transcriptionally active and binds PPARalpha , we characterized the peroxisome proliferator-responsive element in the proximal promoter of the CPT II gene, which appears to be a novel PPRE. PMID: 12408750
  25. 3 described mutations (S113L, P50H, & F448L) & two novel mutations (M214T & Y479F)OF cpt2 were modeled. A structure could be identified anchoring the protein in the membrane. Only Y479F is located within this region. PMID: 12707442
  26. Very high activity of CPT2 and VCLAD, involved in the metabolism of long-chain fatty acids. Fatty acid oxidation may play role in energy generation in placenta, and deficiency in may result in placental dysfunction and gestational complications. PMID: 12971426
  27. These results indicate that mutation of CPT II patient not to increase fatty acid oxidation during exercise. And also suggest that single CPT2 gene mutations may exert a dominant-negative effect on the tetrameric CPT II protein. PMID: 15622536
  28. The phenotype of muscle CPT II deficiency might be influenced by the underlying mutation,analysis of S113L ,P50H and Q413fs-F448L mutations PMID: 15642848
  29. A novel variant of CPT II was found in a patient with rhabdomyolysis & acute renal failure: a deletion of cytosine & thymine at codon 408, resulting in a stop signal at 420, & an Arg631Cys mutation. The frame shift at 408 has never been described before. PMID: 15754283
  30. A patient had an episode of acute renal failure with myoglobinuria, myalgias, and weakness. Carnitine palmitoyl-transferase II (CPT II) deficiency was documented both biochemically and genetically. PMID: 16168441
  31. In conclusion, the findings from this study indicate that exercise training alters the localization of FAT/CD36 and increases its association with CPT I, which may help augment fat oxidation. PMID: 16670153
  32. Within the CPT2 gene there were identified 16 novel deasese-causing mutations. PMID: 16996287
  33. acute overexpression of CPT I in muscle leads to a repartitioning of FAs away from esterification and toward oxidation and highlight the importance of CPT I in regulating muscle fatty acid metabolism. PMID: 17179390
  34. Our data evidenced that R631C mutation is not exclusively detected in the infantile form but it may be present in a wider spectrum of CPT2 phenotypes. These findings suggest that other modulators may influence clinical severity of CPT2 deficiency. PMID: 17651973
  35. We report a Japanese adult form of CPT II deficiency associated with a homozygous F383Y mutation causing myalgia and rhabdomyolysis. PMID: 17709715
  36. our data expand the spectrum of CPT II mutations and help to evaluate possible correlations between genotypes and phenotypes PMID: 17936304
  37. It was not possible to repair the CPT-2 gene under a variety of conditions, this approach is of little value until cellular DNA repair mechanisms are much better understood. PMID: 18024217
  38. unstable CPT II variants with decreased enzymatic activity may bring mitochondrial fuel utilization below the phenotypic threshold during high fever, and thus may play an important role in development of brain edema of influenza-associated encephalopathy PMID: 18306170
  39. study identified p.F383Y mutations in 6 of 7 Japanese patients with CPT II deficiency & 2 novel variants of the coding gene: p.Y408fsX420 & p.V605L; data suggest that the p.F383Y mutation is significant in Japanese patients with CPT II deficiency PMID: 18363739
  40. Two mutations in the CPT2 gene were identified in lethal neonatal or severe infantile diseases. PMID: 18550408
  41. The triheptanoin diet seems to be an effective therapy for adult-onset carnitine palmitoyltransferase II deficiency. PMID: 18645163
  42. Patient with adult-onset carnitine palmitoyl transferase II deficiency was able to have a successful pregnancy outcomes after fertilization in vitro. PMID: 19362304
  43. Case Report: Malignant hyperthermia-like syndrome and carnitine palmitoyltransferase II deficiency with heterozygous R503C mutation. PMID: 19762733

Show More

Hide All

Involvement in disease
Carnitine palmitoyltransferase 2 deficiency, myopathic, stress-induced (CPT2D); Carnitine palmitoyltransferase 2 deficiency, infantile (CPT2DI); Carnitine palmitoyltransferase 2 deficiency, lethal neonatal (CPT2DLN); Encephalopathy, acute, infection-induced, 4 (IIAE4)
Subcellular Location
Mitochondrion inner membrane; Peripheral membrane protein; Matrix side.
Protein Families
Carnitine/choline acetyltransferase family
Database Links

HGNC: 2330

OMIM: 255110

KEGG: hsa:1376

STRING: 9606.ENSP00000360541

UniGene: Hs.713535

icon of phone
Call us
301-363-4651 (Available 9 a.m. to 5 p.m. CST from Monday to Friday)
icon of address
Address
7505 Fannin St., Ste 610, Room 7 (CUBIO Innovation Center), Houston, TX 77054, USA
icon of social media
Join us with

Subscribe newsletter

Leave a message

* To protect against spam, please pass the CAPTCHA test below.
CAPTCHA verification
© 2007-2025 CUSABIO TECHNOLOGY LLC All rights reserved. 鄂ICP备15011166号-1
×
Place an order now

I. Product details

*
*
*
*

II. Contact details

*
*

III. Ship To

*
*
*
*
*
*
*

IV. Bill To

*
*
*
*
*
*
*
*