CTSH Recombinant Monoclonal Antibody

Code CSB-RA055227A0HU
Size US$210
Order now
Image
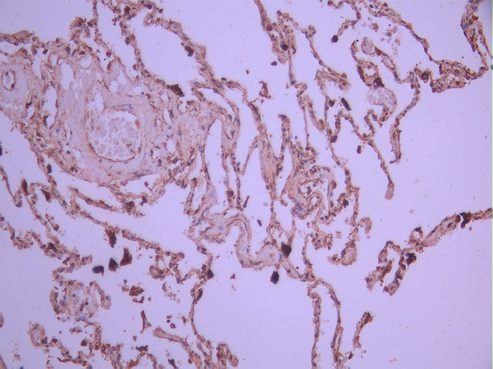
  • IHC image of CSB-RA055227A0HU diluted at 1:100 and staining in paraffin-embedded human lung tissue performed on a Leica BondTM system. After dewaxing and hydration, antigen retrieval was mediated by high pressure in a citrate buffer (pH 6.0). Section was blocked with 10% normal goat serum 30min at RT. Then primary antibody (1% BSA) was incubated at 4°C overnight. The primary is detected by a Goat anti-rabbit polymer IgG labeled by HRP and visualized using 0.05% DAB.
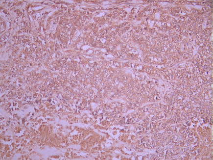
  • IHC image of CSB-RA055227A0HU diluted at 1:100 and staining in paraffin-embedded human breast cancer performed on a Leica BondTM system. After dewaxing and hydration, antigen retrieval was mediated by high pressure in a citrate buffer (pH 6.0). Section was blocked with 10% normal goat serum 30min at RT. Then primary antibody (1% BSA) was incubated at 4°C overnight. The primary is detected by a Goat anti-rabbit polymer IgG labeled by HRP and visualized using 0.05% DAB.
Have Questions? Leave a Message or Start an on-line Chat

Product Details

Uniprot No.
Target Names
Alternative Names
ACC 4 antibody; ACC 5 antibody; ACC4 antibody; ACC5 antibody; aleurain antibody; CATH_HUMAN antibody; cathepsin B3 antibody; cathepsin BA antibody; Cathepsin H heavy chain antibody; Cathepsin H light chain antibody; Cathepsin H mini chain antibody; CPSB antibody; CTSH antibody; minichain antibody; N benzoylarginine beta naphthylamide hydrolase antibody; N-benzoylarginine-beta-naphthylamide hydrolase antibody; pro cathepsin H antibody
Species Reactivity
Human
Immunogen
A synthesized peptide from human CTSH protein
Immunogen Species
Homo sapiens (Human)
Conjugate
Non-conjugated
Clonality
Monoclonal
Isotype
Rabbit IgG
Clone No.
1A8
Purification Method
Affinity-chromatography
Concentration
It differs from different batches. Please contact us to confirm it.
Buffer
Rabbit IgG in 10mM phosphate buffered saline , pH 7.4, 150mM sodium chloride, 0.05% BSA, 0.02% sodium azide and 50% glycerol.
Form
Liquid
Tested Applications
ELISA, IHC
Recommended Dilution
Application Recommended Dilution
IHC 1:50-1:200
Troubleshooting and FAQs
Storage
Upon receipt, store at -20°C or -80°C. Avoid repeated freeze.
Lead Time
Basically, we can dispatch the products out in 1-3 working days after receiving your orders. Delivery time maybe differs from different purchasing way or location, please kindly consult your local distributors for specific delivery time.
Usage
For Research Use Only. Not for use in diagnostic or therapeutic procedures.

Customer Reviews and Q&A

 Customer Reviews

There are currently no reviews for this product.

Submit a Review here

Target Background

Function
Important for the overall degradation of proteins in lysosomes.
Gene References into Functions
  1. the up-regulation of MMP genes is mediated through degradation of class IIa histone deacetylases (HDACs) by certain cysteine cathepsins (Cts). PMID: 28157489
  2. Especially, rs3825932 in CTSH has integrative functional evidence supporting the association with type 1 diabetes mellitus. PMID: 26429317
  3. p41 fragment is also shown to reduce the secretion of interleukin-12 (IL-12/p70) during the subsequent maturation of treated dendritic cells. PMID: 26960148
  4. In conclusion, CTSH/rs3825932 and ERBB3/rs2292239 SNPs were associated with reduced risk of progression to proliferative diabetic retinopathy and two-step progression of diabetic retinopathy on the ETDRS scale accordingly. PMID: 26245339
  5. mutation in LRPAP1 is associated with high myopia. Further studies are expected to evaluate the pathogenicity of the variants in CTSH, LEPREL1, ZNF644, SLC39A5, and SCO2. PMID: 25525168
  6. The data provide strong evidence that CTSH is an important regulator of beta-cell function during progression of T1D PMID: 24982147
  7. CtsH-mediated processing of talin might promote cancer cell progression by affecting integrin alphaVbeta3 activation and adhesion strength PMID: 23204516
  8. The processing of procathepsin H is an autocatalytic, multistep process proceeding from an inactive 41kDa pro-form, through a 30kDa intermediate form, to the 28kDa mature form. PMID: 22704610
  9. CTSH overexpression in a subset hepatoma may be thyroid hormone receptor dependent and suggests that this overexpression has an important role in hepatoma progression. PMID: 21217776
  10. These data indicate that cathepsins B, L and S may act as cell-death mediators in in monocytic cells infected with ICP4 and Us3 deletion mutant herpes simplex virus type 1. PMID: 20881085
  11. involvement in processing of hydrophobic surfactant-associated protein C in type II pneumocytes PMID: 12034564
  12. Cathepsin H could contribute to the transformation of LDL to an atherogenic moiety; the process might involve a self-sustaining amplifying circle. PMID: 12615673
  13. kinetic data on substrates hydrolysis and enzyme inhibition show the role of the mini-chain as a framework for transition state stabilization of free alpha-amino groups of substrates and as a structural barrier for endopeptidase-like substrate cleavage. PMID: 14515996
  14. AKR1B1 and CTSH may be good markers for prediction of sensitivity to certain drugs PMID: 14662023
  15. cathepsin H is involved in maturation of the biologically active surfactant associated protein B PMID: 14766755
  16. cathepsin H has a role in progression of colorectal cancer that is distinct from that of cathepsins B and L PMID: 15646835
  17. A general defect in napsin A or cathepsin H expression or activity was not the specific cause for abnormal surfactant accumulation in juvenile pulmonary alveolar proteinosis PMID: 18216060
  18. In contrast to cathepsin S, cathepsin H values did not correlate with markers of inflammation, indicating a specific role for cathepsin H in the pleural host response. PMID: 19404922

Show More

Hide All

Subcellular Location
Lysosome.
Protein Families
Peptidase C1 family
Database Links

HGNC: 2535

OMIM: 116820

KEGG: hsa:1512

STRING: 9606.ENSP00000220166

UniGene: Hs.148641

icon of phone
Call us
301-363-4651 (Available 9 a.m. to 5 p.m. CST from Monday to Friday)
icon of address
Address
7505 Fannin St., Ste 610, Room 7 (CUBIO Innovation Center), Houston, TX 77054, USA
icon of social media
Join us with

Subscribe newsletter

Leave a message

* To protect against spam, please pass the CAPTCHA test below.
CAPTCHA verification
© 2007-2025 CUSABIO TECHNOLOGY LLC All rights reserved. 鄂ICP备15011166号-1
×
Place an order now

I. Product details

*
*
*
*

II. Contact details

*
*

III. Ship To

*
*
*
*
*
*
*

IV. Bill To

*
*
*
*
*
*
*
*