EIF2A Recombinant Monoclonal Antibody

Code CSB-RA952249A0HU
Size US$210
Order now
Image
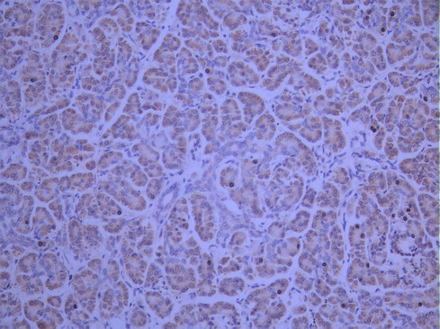
  • IHC image of CSB-RA952249A0HU diluted at 1:100 and staining in paraffin-embedded human pancreatic tissue performed on a Leica BondTM system. After dewaxing and hydration, antigen retrieval was mediated by high pressure in a citrate buffer (pH 6.0). Section was blocked with 10% normal goat serum 30min at RT. Then primary antibody (1% BSA) was incubated at 4°C overnight. The primary is detected by a Goat anti-rabbit polymer IgG labeled by HRP and visualized using 0.05% DAB.
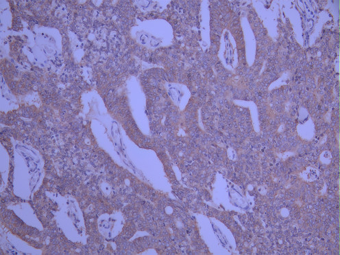
  • IHC image of CSB-RA952249A0HU diluted at 1:100 and staining in paraffin-embedded human prostate cancer performed on a Leica BondTM system. After dewaxing and hydration, antigen retrieval was mediated by high pressure in a citrate buffer (pH 6.0). Section was blocked with 10% normal goat serum 30min at RT. Then primary antibody (1% BSA) was incubated at 4°C overnight. The primary is detected by a Goat anti-rabbit polymer IgG labeled by HRP and visualized using 0.05% DAB.
  • Overlay Peak curve showing jurkat cells stained with CSB-RA952249A0HU (red line) at 1:100. The cells were fixed in 4% formaldehyde and permeated by 0.2% TritonX-100 for 10min. Then 10% normal goat serum to block non-specific protein-protein interactions followed by the antibody (1ug/1*106cells) for 45min at 4℃. The secondary antibody used was FITC-conjugated goat anti-rabbit IgG (H+L) at 1/200 dilution for 35min at 4℃.Control antibody (green line) was Rabbit IgG (1ug/1*106cells) used under the same conditions. Acquisition of >10, 000 events was performed.
Have Questions? Leave a Message or Start an on-line Chat

Product Details

Uniprot No.
Target Names
Alternative Names
65 kDa eukaryotic translation initiation factor 2A antibody; CDA 02 antibody; CDA02 antibody; EIF 2 antibody; EIF 2A antibody; eIF-2A antibody; EIF2 antibody; eif2a antibody; EIF2A_HUMAN antibody; Eukaryotic translation initiation factor 2A 65kDa antibody; Eukaryotic translation initiation factor 2A antibody; MST089 antibody; MSTP004 antibody; MSTP089 antibody
Species Reactivity
Human
Immunogen
A synthesized peptide from human EIF2A protein
Immunogen Species
Homo sapiens (Human)
Conjugate
Non-conjugated
Clonality
Monoclonal
Isotype
Rabbit IgG
Clone No.
23F9
Purification Method
Affinity-chromatography
Concentration
It differs from different batches. Please contact us to confirm it.
Buffer
Rabbit IgG in 10mM phosphate buffered saline , pH 7.4, 150mM sodium chloride, 0.05% BSA, 0.02% sodium azide and 50% glycerol.
Form
Liquid
Tested Applications
ELISA, IHC, FC
Recommended Dilution
Application Recommended Dilution
IHC 1:50-1:200
FC 1:50-1:200
Troubleshooting and FAQs
Storage
Upon receipt, store at -20°C or -80°C. Avoid repeated freeze.
Lead Time
Basically, we can dispatch the products out in 1-3 working days after receiving your orders. Delivery time maybe differs from different purchasing way or location, please kindly consult your local distributors for specific delivery time.
Usage
For Research Use Only. Not for use in diagnostic or therapeutic procedures.

Customer Reviews and Q&A

 Customer Reviews

There are currently no reviews for this product.

Submit a Review here

Target Background

Function
Functions in the early steps of protein synthesis of a small number of specific mRNAs. Acts by directing the binding of methionyl-tRNAi to 40S ribosomal subunits. In contrast to the eIF-2 complex, it binds methionyl-tRNAi to 40S subunits in a codon-dependent manner, whereas the eIF-2 complex binds methionyl-tRNAi to 40S subunits in a GTP-dependent manner.
Gene References into Functions
  1. Data suggest that neither eIF2A nor eIF2D are involved in the translation of this Sindbis virus subgenomic mRNA (sgmRNA) bearing non-AUG codons. PMID: 28240315
  2. HRD1 prevents apoptosis in renal tubular epithelial cells by mediating eIF-2a ubiquitylation and degradation. PMID: 29233968
  3. POSTN may function as a protective factor for osteoblasts during this process by inhibiting the eIF2alphaATF4 pathway. PMID: 29207036
  4. findings indicate that MSI1 plays a leading role in stress granule formation that grants cancer stem cell properties and chemoresistant stress granules in GBM, in response to stressful conditions via the PKR/eIF2alpha signalling cascade. PMID: 29486283
  5. There was no statistically significant difference in IFN therapeutic effectiveness among the patients with different genotypes of eIF-2a-reg2. PMID: 17407708
  6. activation by mechanical force PMID: 15781241
  7. FN has a role in controlling translation through beta1 integrin and eukaryotic initiation factors 4 and 2 coordinated pathways PMID: 15961545

Show More

Hide All

Protein Families
WD repeat EIF2A family
Tissue Specificity
Widely expressed. Expressed at higher level in pancreas, heart, brain and placenta.
Database Links

HGNC: 3254

OMIM: 609234

KEGG: hsa:83939

STRING: 9606.ENSP00000417229

UniGene: Hs.655782

icon of phone
Call us
301-363-4651 (Available 9 a.m. to 5 p.m. CST from Monday to Friday)
icon of address
Address
7505 Fannin St., Ste 610, Room 7 (CUBIO Innovation Center), Houston, TX 77054, USA
icon of social media
Join us with

Subscribe newsletter

Leave a message

* To protect against spam, please pass the CAPTCHA test below.
CAPTCHA verification
© 2007-2025 CUSABIO TECHNOLOGY LLC All rights reserved. 鄂ICP备15011166号-1
×
Place an order now

I. Product details

*
*
*
*

II. Contact details

*
*

III. Ship To

*
*
*
*
*
*
*

IV. Bill To

*
*
*
*
*
*
*
*