EMD Recombinant Monoclonal Antibody

Code CSB-RA268144A0HU
Size US$210
Order now
Image
  • Western Blot
    Positive WB detected in: Hela whole cell lysate(30µg), HEK293 whole cell lysate(30µg), A431 whole cell lysate(30µg), U-251MG whole cell lysate(30µg), MCF-7 whole cell lysate(30µg), Jurkat whole cell lysate(30µg)
    All lanes: Emerin antibody at 1:1000
    Secondary
    Goat polyclonal to rabbit IgG at 1/40000 dilution
    Predicted band size: 29 kDa
    Observed band size: 35 kDa
    Exposure time:30s
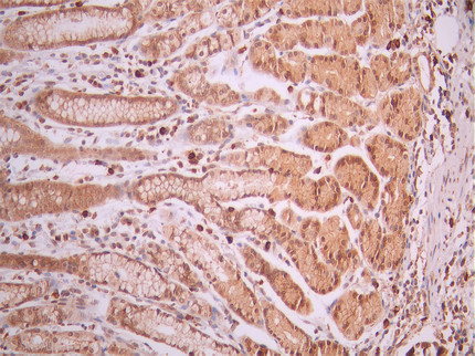
  • IHC image of CSB-RA268144A0HU diluted at 1:100 and staining in paraffin-embedded human gastric cancer performed on a Leica BondTM system. After dewaxing and hydration, antigen retrieval was mediated by high pressure in a citrate buffer (pH 6.0). Section was blocked with 10% normal goat serum 30min at RT. Then primary antibody (1% BSA) was incubated at 4°C overnight. The primary is detected by a Goat anti-rabbit polymer IgG labeled by HRP and visualized using 0.05% DAB.
  • Overlay Peak curve showing Hela cells stained with CSB-RA268144A0HU (red line) at 1:100. The cells were fixed in 4% formaldehyde and permeated by 0.2% TritonX-100 for 10min. Then 10% normal goat serum to block non-specific protein-protein interactions followed by the antibody (1ug/1*106cells) for 45min at 4℃. The secondary antibody used was FITC-conjugated goat anti-rabbit IgG (H+L) at 1/200 dilution for 35min at 4℃.Control antibody (green line) was Rabbit IgG (1ug/1*106cells) used under the same conditions. Acquisition of >10, 000 events was performed.
Have Questions? Leave a Message or Start an on-line Chat

Product Details

Uniprot No.
Target Names
EMD
Alternative Names
EDMD antibody; Emd antibody; EMD_HUMAN antibody; Emerin antibody; Emery Dreifuss muscular dystrophy antibody; STA antibody
Species Reactivity
Human
Immunogen
A synthesized peptide from human EMD protein
Immunogen Species
Homo sapiens (Human)
Conjugate
Non-conjugated
Clonality
Monoclonal
Isotype
Rabbit IgG
Clone No.
8F12
Purification Method
Affinity-chromatography
Concentration
It differs from different batches. Please contact us to confirm it.
Buffer
Rabbit IgG in 10mM phosphate buffered saline , pH 7.4, 150mM sodium chloride, 0.05% BSA, 0.02% sodium azide and 50% glycerol.
Form
Liquid
Tested Applications
ELISA, WB, IHC, FC
Recommended Dilution
Application Recommended Dilution
WB 1:500-1:5000
IHC 1:50-1:200
FC 1:50-1:200
Troubleshooting and FAQs
Storage
Upon receipt, store at -20°C or -80°C. Avoid repeated freeze.
Lead Time
Basically, we can dispatch the products out in 1-3 working days after receiving your orders. Delivery time maybe differs from different purchasing way or location, please kindly consult your local distributors for specific delivery time.
Usage
For Research Use Only. Not for use in diagnostic or therapeutic procedures.

Customer Reviews and Q&A

 Customer Reviews

There are currently no reviews for this product.

Submit a Review here

Target Background

Function
Stabilizes and promotes the formation of a nuclear actin cortical network. Stimulates actin polymerization in vitro by binding and stabilizing the pointed end of growing filaments. Inhibits beta-catenin activity by preventing its accumulation in the nucleus. Acts by influencing the nuclear accumulation of beta-catenin through a CRM1-dependent export pathway. Links centrosomes to the nuclear envelope via a microtubule association. EMD and BAF are cooperative cofactors of HIV-1 infection. Association of EMD with the viral DNA requires the presence of BAF and viral integrase. The association of viral DNA with chromatin requires the presence of BAF and EMD. Required for proper localization of non-farnesylated prelamin-A/C.
Gene References into Functions
  1. Emerin plays a crucial role in nuclear invagination and in the nuclear calcium transient in Emery-Dreifuss muscular dystrophy. PMID: 28290476
  2. evaluation of the diagnostic value of emerin and CD56 in papillary thyroid carcinoma, using immunohistochemistry PMID: 30188764
  3. the mobility of YFP-Emerin was higher in Samp1 knock out cells and lower in cells overexpressing Samp1, suggesting that Samp1 significantly attenuates the mobility of Emerin in the nuclear envelope. The mobility of Emerin depends on RanGTP. The affinity between Samp1 and Emerin is decreased in the presence of Ran, suggesting that Ran attenuates the interaction between Samp1 and Emerin. PMID: 29510091
  4. Epstein-Barr virus early lytic protein BFRF1 alters emerin distribution and post-translational modifications. PMID: 28238874
  5. results indicate that emerin negatively regulates Notch signaling by promoting the retention of the NICD at the nuclear membrane PMID: 27865926
  6. It has been concluded that the LEM domain, responsible for binding to the chromatin protein BAF, undergoes a conformational change during self-assembly of emerin N-terminal region. PMID: 27960036
  7. X-linked Emery-Dreifuss muscular dystrophy may occur along with dilative cardiomyopathy. PMID: 25502304
  8. Association of emerin with nuclear BAF in cells required the LEM domain (residues 1-47). PMID: 25052089
  9. These data suggest a new role of EMD as an enhancer of autophagosome formation in the C16-ceramide autophagy pathway in colon cancer cells. PMID: 24819607
  10. Results highlight the interactions at the nuclear envelope where mutations in the EMD and TMPO gene in combination with mutations in SUN1 have an impact on several components of the network. PMID: 24375709
  11. Emerin, a conserved LEM-domain protein, is among the few nuclear membrane proteins for which extensive basic knowledge--biochemistry, partners, functions, localizations, posttranslational regulation, roles in development and links to human disease PMID: 23873439
  12. the nucleoplasmic domains of Samp1 and Emerin can bind directly to each other. PMID: 24950247
  13. Findings show a novel EMD deletion causing rare clinical presentations which broaden the heterogeneous spectrum of phenotypes attributed to EMD mutations and provide new insight of genotype-phenotype correlations between EMD mutations and EDMD symptoms. PMID: 24997722
  14. Emerin and BAF associated only in histone- and lamin-B-containing fractions. The S173D mutation specifically and selectively reduced GFP-emerin association with BAF by 58% PMID: 24014020
  15. Immunofluorescence assay and biochemical analysis of infected or transfected cells showed that Kaposi's sarcoma-associated herpesvirus p29 expression resulted in delocalization and hyperphosphorylation of emerin. PMID: 23623980
  16. Genetic testing identified the mutation in the EMD gene, confirming X-linked recessive (XR) EDMD. The patient's asymptomatic mother was confirmed as a carrier. PMID: 22480903
  17. Data augment the number of EMD mutations by 13.8%, equating to an increase of 5.2% in the total known EMD mutations and to an increase of 6.0% in the number of different mutations. PMID: 21697856
  18. Data provide evidence that 4.1R has functional interactions with emerin and A-type lamin that impact upon nuclear architecture, centrosome-nuclear envelope association and the regulation of beta-catenin transcriptional co-activator activity. PMID: 21486941
  19. An association of Mel18 with emerin was observed in Hutchinson-Gilford progeria syndrome, but not in WT cells. PMID: 19727227
  20. BAF and emerin have dynamic roles in genome integrity and might help couple DNA damage responses to the nuclear lamina network PMID: 19759913
  21. Certain patients presenting a typical EDMD phenotype in which no mutations in the EMD or LMNA genes can be confirmed. This may indicate that an Emery-Dreifuss-like dystrophy could also be associated with mutations in other genes. PMID: 20054742
  22. These findings suggest roles for emerin as a downstream effector and signal integrator for tyrosine kinase signaling pathway(s) at the nuclear envelope. PMID: 19789182
  23. Disease-linked emerin proteins all remain active for binding directly to barrier-to-autointegration factor (BAF) both in vitro and in vivo, suggesting that disease results from loss of interactions between emerin and lamin A or putative novel partner(s). PMID: 11792821
  24. genes known to be responsible for Emery-Dreifuss muscular dystrophy PMID: 11973618
  25. emerin binds directly to a transcriptional repressor, GCL, and the emerin-repressor complexes might be regulated by barrier to autointegration factor PMID: 12493765
  26. emerin has a regulatory role, as well as a structural role in the cell nucleus PMID: 12755701
  27. the lamin a-emerin complex might have a role in muscular dystrophy and cardiomyopathy PMID: 12783988
  28. These results suggest that Btf localization is regulated by apoptotic signals, and that loss of emerin binding to Btf may be relevant to muscle wasting in Emery-Dreifuss muscular dystrophy. PMID: 15009215
  29. Data describe the mobility of barrier-to-autointegration factor to its partners emerin, LAP2 beta, and MAN1 in the nuclear membrane of living HeLa cells. PMID: 15109603
  30. emerin may disrupt transcription factors and nuclear envelope architecture by weakening a nuclear actin network PMID: 15328537
  31. Data describe the direct binding of the nuclear membrane protein MAN1 to emerin in vitro. PMID: 15681850
  32. phosphorylation at Ser175 regulates the dissociation of emerin from BAF PMID: 16204256
  33. Data show that chromosome positioning is largely unaffected in lymphoblastoid cell lines containing emerin or A-type lamin mutations. PMID: 16246140
  34. We show that epitope masking in the nucleus is often responsible for failure to detect emerin in human and rat tissues. Pig spleen had fewer emerin-positive nuclei than lung (5% vs. 32%), although their emerin content was similar by Western blotting. PMID: 16283426
  35. Ser-4 phosphorylation inhibits BAF binding to emerin and lamin A, and thereby weakens emerin-lamin interactions during both mitosis and interphase. PMID: 16371512
  36. Lamin A/C and emerin are critical for skeletal muscle satellite cell differentiation, with deficient cells displaying delayed differentiation kinetics that may underlie dystrophic phenotypes. PMID: 16481476
  37. emerin, an integral inner-nuclear-envelope protein, is necessary for HIV-1 infection PMID: 16680152
  38. Review summarizes growing evidence that emerin has both architectural and gene-regulatory roles in the nucleus which may contribute to the pathology and mechanism of Emery-Dreifuss muscular dystrophy. PMID: 16761279
  39. We found that in inclusion-body myositis (IBM) muscle vacuoles were immunoreactive for the inner nuclear membrane proteins emerin and lamin A/C. PMID: 16823856
  40. Emerin regulates the flux of beta-catenin, an important transcription coactivator, into the nucleus. PMID: 16858403
  41. Altered nuclear envelope elasticity caused by loss of emerin could contribute to increased nuclear fragility in Emery-Dreifuss muscular dystrophy patients with mutations in the emerin gene. PMID: 16997877
  42. Lmo7 positively regulates many EDMD-relevant genes (including emerin), and is feedback-regulated by binding to emerin. PMID: 17067998
  43. Mislocalization of emerin to the endoplasmic reticulum in human cells lacking A-type lamins leads to its degradation and provides the first evidence that its degradation is mediated by the proteasome. PMID: 17097067
  44. Neither emerin nor LMNA mutations in a subset of families with EDMD-like phenotypes that may imply an existence of other genes causing similar disorders. PMID: 17117676
  45. The characterisation of the residues both in emerin and in nesprin-1alpha and -2beta which are involved in their interaction is reported. PMID: 17462627
  46. findings highlight the crucial role of lamin A/C-emerin interactions, with evidence for synergistic effects of these mutations that lead to Emery-Dreifuss muscular dystrophy as the worsened result of digenic mechanism in this family PMID: 17536044
  47. Mutations in EMD may indicate a limb-girdle muscular dystrophy phenotype. Identification of emerin deficiency among patients with limb-girdle muscular dystrophy is essential to prevent cardiac catastrophe. PMID: 17620497
  48. The results suggest a model in which pUS3 and PKCdelta that has been recruited by pUL34 hyperphosphorylate emerin, leading to disruption of its connections with lamin proteins and contributing to the disruption of the nuclear lamina. PMID: 17652388
  49. significant fraction of emerin is located at the outer nuclear membrane and peripheral ER, where it interacts directly with the centrosome. PMID: 17785515
  50. mutation of EMD can underlie X-linked familial atrial fibrillation; Lys37del is associated with epithelial cell emerin deficiency, as in Emery-Dreifuss muscular dystrophy, yet it causes electrical atriomyopathy in the absence of skeletal muscle disease PMID: 18266676

Show More

Hide All

Involvement in disease
Emery-Dreifuss muscular dystrophy 1, X-linked (EDMD1)
Subcellular Location
Nucleus inner membrane; Single-pass membrane protein; Nucleoplasmic side. Nucleus outer membrane. Note=Colocalized with BANF1 at the central region of the assembling nuclear rim, near spindle-attachment sites. The accumulation of different intermediates of prelamin-A/C (non-farnesylated or carboxymethylated farnesylated prelamin-A/C) in fibroblasts modify its localization in the nucleus.
Tissue Specificity
Skeletal muscle, heart, colon, testis, ovary and pancreas.
Database Links

HGNC: 3331

OMIM: 300384

KEGG: hsa:2010

STRING: 9606.ENSP00000358857

UniGene: Hs.522823

icon of phone
Call us
301-363-4651 (Available 9 a.m. to 5 p.m. CST from Monday to Friday)
icon of address
Address
7505 Fannin St., Ste 610, Room 7 (CUBIO Innovation Center), Houston, TX 77054, USA
icon of social media
Join us with

Subscribe newsletter

Leave a message

* To protect against spam, please pass the CAPTCHA test below.
CAPTCHA verification
© 2007-2025 CUSABIO TECHNOLOGY LLC All rights reserved. 鄂ICP备15011166号-1
×
Place an order now

I. Product details

*
*
*
*

II. Contact details

*
*

III. Ship To

*
*
*
*
*
*
*

IV. Bill To

*
*
*
*
*
*
*
*