ERCC2 Recombinant Monoclonal Antibody

Code CSB-RA250899A0HU
Size US$210
Order now
Image
  • Western Blot
    Positive WB detected in: Hela whole cell lysate(30µg), K562 whole cell lysate(30µg), COLO205 whole cell lysate(30µg), U251 whole cell lysate(30µg), THP-1 whole cell lysate(30µg)
    All lanes: XPD binding protein 1 antibody at 1:1000
    Secondary
    Goat polyclonal to rabbit IgG at 1/40000 dilution
    Predicted band size: 87 kDa
    Observed band size: 87 kDa
    Exposure time:2min
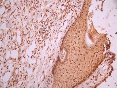
  • IHC image of CSB-RA250899A0HU diluted at 1:100 and staining in paraffin-embedded human skin tissue performed on a Leica BondTM system. After dewaxing and hydration, antigen retrieval was mediated by high pressure in a citrate buffer (pH 6.0). Section was blocked with 10% normal goat serum 30min at RT. Then primary antibody (1% BSA) was incubated at 4°C overnight. The primary is detected by a Goat anti-rabbit polymer IgG labeled by HRP and visualized using 0.05% DAB.
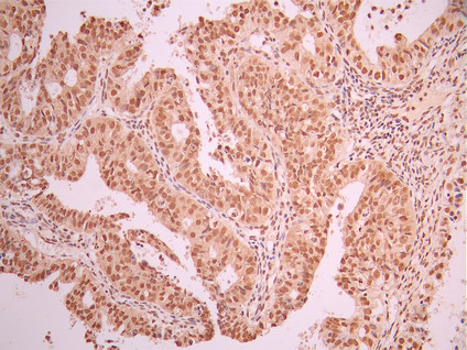
  • IHC image of CSB-RA250899A0HU diluted at 1:100 and staining in paraffin-embedded human ovarian cancer performed on a Leica BondTM system. After dewaxing and hydration, antigen retrieval was mediated by high pressure in a citrate buffer (pH 6.0). Section was blocked with 10% normal goat serum 30min at RT. Then primary antibody (1% BSA) was incubated at 4°C overnight. The primary is detected by a Goat anti-rabbit polymer IgG labeled by HRP and visualized using 0.05% DAB.
  • Immunofluorescence staining of HeLa cell with CSB-RA250899A0HU at 1:50 , counter-stained with DAPI. The cells were fixed in 4% formaldehyde, permeabilized using 0.2% Triton X-100 and blocked in 10% normal Goat Serum. The cells were then incubated with the antibody overnight at 4°C. The secondary antibody was Alexa Fluor 488-congugated AffiniPure Goat Anti-Rabbit IgG(H+L).
Have Questions? Leave a Message or Start an on-line Chat

Product Details

Uniprot No.
Target Names
Alternative Names
TFIIH 80 kDa subunit antibody; Basic transcription factor 2 80 kDa subunit antibody; BTF2 p80 antibody; COFS 2 antibody; COFS2 antibody; CXPD antibody; DNA excision repair protein ERCC 2 antibody; DNA excision repair protein ERCC-2 antibody; DNA repair protein complementing XP D cells antibody; DNA repair protein complementing XP-D cells antibody; EM9 antibody; ERCC 2 antibody; ERCC2 antibody; ERCC2_HUMAN antibody; Excision repair 2 antibody; Excision repair cross complementing rodent repair deficiency complementation antibody; Excision repair cross complementing rodent repair deficiency; complementation group 2 antibody; MAG antibody; MGC102762 antibody; MGC126218 antibody; MGC126219 antibody; OTTHUMP00000045860 antibody; OTTHUMP00000045861 antibody; OTTHUMP00000045862 antibody; OTTHUMP00000045863 antibody; TFIIH 80 kDa subunit antibody; TFIIH basal transcription factor complex 80 kDa subunit antibody; TFIIH Basal Transcription Factor Complex Helicase Subunit antibody; TFIIH basal transcription factor complex helicase XPD subunit antibody; TFIIH basal transcription factor complex p80 subunit antibody; TFIIH p80 antibody; TTD antibody; Xeroderma pigmentosum complementary group D antibody; Xeroderma pigmentosum group D complementing protein antibody; Xeroderma pigmentosum group D-complementing protein antibody; XPD antibody; XPDC antibody
Species Reactivity
Human
Immunogen
A synthesized peptide from human ERCC2 protein
Immunogen Species
Homo sapiens (Human)
Conjugate
Non-conjugated
Clonality
Monoclonal
Isotype
Rabbit IgG
Clone No.
17G12
Purification Method
Affinity-chromatography
Concentration
It differs from different batches. Please contact us to confirm it.
Buffer
Rabbit IgG in 10mM phosphate buffered saline , pH 7.4, 150mM sodium chloride, 0.05% BSA, 0.02% sodium azide and 50% glycerol.
Form
Liquid
Tested Applications
ELISA, WB, IHC, IF
Recommended Dilution
Application Recommended Dilution
WB 1:500-1:5000
IHC 1:50-1:200
IF 1:50-1:200
Troubleshooting and FAQs
Storage
Upon receipt, store at -20°C or -80°C. Avoid repeated freeze.
Lead Time
Basically, we can dispatch the products out in 1-3 working days after receiving your orders. Delivery time maybe differs from different purchasing way or location, please kindly consult your local distributors for specific delivery time.
Usage
For Research Use Only. Not for use in diagnostic or therapeutic procedures.

Customer Reviews and Q&A

 Customer Reviews

There are currently no reviews for this product.

Submit a Review here

Target Background

Function
ATP-dependent 5'-3' DNA helicase, component of the general transcription and DNA repair factor IIH (TFIIH) core complex, which is involved in general and transcription-coupled nucleotide excision repair (NER) of damaged DNA and, when complexed to CAK, in RNA transcription by RNA polymerase II. In NER, TFIIH acts by opening DNA around the lesion to allow the excision of the damaged oligonucleotide and its replacement by a new DNA fragment. The ATP-dependent helicase activity of XPD/ERCC2 is required for DNA opening. In transcription, TFIIH has an essential role in transcription initiation. When the pre-initiation complex (PIC) has been established, TFIIH is required for promoter opening and promoter escape. Phosphorylation of the C-terminal tail (CTD) of the largest subunit of RNA polymerase II by the kinase module CAK controls the initiation of transcription. XPD/ERCC2 acts by forming a bridge between CAK and the core-TFIIH complex. Involved in the regulation of vitamin-D receptor activity. As part of the mitotic spindle-associated MMXD complex it plays a role in chromosome segregation. Might have a role in aging process and could play a causative role in the generation of skin cancers.
Gene References into Functions
  1. Polymorphic variants of XRCC1 Arg399Gln and XPD Lys751Gln are not associated with the risk of gastric cancer in the Kashmiri population. PMID: 30225185
  2. A significant association was discovered between the rs1799793 A allele and increased Diffuse Large B-Cell Lymphoma risk (P=0.031, OR=1.928, 95% CI=1.052-3.534). The C allele of rs13181 was obviously associated with elevated Diffuse Large B-Cell Lymphoma susceptibility (P=0.047, OR=1.820, 95% CI=1.002-3.305). PMID: 30279407
  3. Results identified a significant relationship between SNP rs13181 of ERCC2 and an increased risk of endometrial cancer development. PMID: 30194171
  4. ERCC2 polymorphism is associated with breast cancer susceptibility. PMID: 29544444
  5. These results provide new evidence to reveal the role of XPD in Cutaneous squamous cell carcinoma A431 cells. PMID: 29362353
  6. studied SNPs in XRCC1 and XPD have no association with the incidence of age related cataract in the analyzed group of subjects. PMID: 28560653
  7. results indicate that the ERCC2 Lys751Gln polymorphism might be important in stimulating the development of pancreatic cancer, especially for Asians. PMID: 28223548
  8. our results suggested that ERCC2 Asp312Asn polymorphism is associated with increased cancer risk. A significantly increased cancer risk was observed in Asian populations, but not in Caucasian populations. PMID: 28489582
  9. hospital workers as a category are at risk for genotoxic damage caused by chronic exposure to xenobiotics. The higher levels of cytogenetic damage observed among GSTT1 null, XPD 751 and XPC 939 CC homozygote subjects confirm the importance of the genetic polymorphisms analysis associated to genotoxicological studies. PMID: 28434254
  10. XPD Lys/Lys might play a facilitating role in the development of OCD. PMID: 29264886
  11. XPG rs2296147T>C polymorphism is associated with response to therapy in cancer. PMID: 27588464
  12. We found that the T allele of ERCC2-rs1799793 and the A allele of ERCC3-rs4150441, interaction between rs1799793 and rs4150441, and haplotype containing the rs1799793T and rs11615-T alleles were all associated with increased osteosarcoma risk PMID: 28474168
  13. meta-analysis indicates that XRCC2 rs3218536 and ERCC2 rs13181 polymorphisms may not be associated with the risk of ovarian cancer PMID: 27863412
  14. Results show that the response to treatment depended of the variability in genes engaged in drugs' transport ABCC2 c.-24C>T and ABCB1 p.Ser893Ala/Thr and in DNA repair machinery ERCC2 p.Lys751Gln. PMID: 27527855
  15. Results indicate that ERCC excision repair 2 (ERCC2) is a potential target of miR-770-5p. PMID: 27449101
  16. The allele combination of CGC from hOGG1, ITGA2 and XPD polymorphisms was significantly associated with increased odds of nasopharyngeal carcinoma. PMID: 29121049
  17. CHD1 facilitates substrate handover from XPC to the downstream TFIIH (transcription factor IIH). PMID: 29018037
  18. our study provided preliminary evidence that the ERCC2 rs50872 T allele was associated with a favorable survival while the XRCC1 rs25487 A allele was associated with a worse survival outcome for advanced NSCLC patients. PMID: 27465648
  19. Genetic polymorphism in ERCC2 gene is associated with response to chemotherapy in osteosarcoma. PMID: 28388903
  20. XPD 312 single nucleotide polymorphism is associated with Non-Small-Cell Lung Cancer. PMID: 27908619
  21. At 24 months of follow-up, patients with xeroderma pigmentosum group D protein (XPD) c.934AA genotype presented lower progression-free survival and overall survival in Kaplan-Meier estimates. PMID: 26918827
  22. the association of six non-synonymous coding variants from XRCC1, XRCC3 and XPD genes with hepatocellular carcinoma risk, was assessed. PMID: 27306318
  23. characterized by a broad spectrum of base changes. In addition, we note an association between the activity of this signature and smoking that is independent of ERCC2 mutation status, providing genomic evidence of tobacco-related mutagenesis in urothelial cancer PMID: 27111033
  24. Hypermethylation within the promoter region of the ERCC2 gene is associated with gastric cancer. PMID: 27607585
  25. significant interactions between ERCC2 (Lys751Gln) and ERCC3 (7122 A>G) genotypes polymorphism and cadmium exposure in association with nasal polyposis disease PMID: 27838878
  26. ERCC2 mutation is associated with sarcoma. PMID: 27498913
  27. The carriage of homozygous minor allele of DNA repair gene XPD Gln751Gln is a risk factor for thyroid cancer in persons from Ukrainian population exposed to ionizing radiation and is associated with the increased levels of chromosomal instability. PMID: 28230823
  28. In conclusion, we provide a useful resource on the mutational landscape of ERCC2 mutations in hereditary BC/OC patients and, as our key finding, we demonstrate the complexity of correct interpretation for the discovery of "bonafide" breast cancer susceptibility genes PMID: 27504877
  29. Accumulating evidence suggests that XPA and the helicase activity of transcription factor IIH (TFIIH) cooperate to verify abnormalities in damaged DNA chemistry. (Review) PMID: 27264556
  30. The data indicate that XPD, as a part of the TFIIH complex, due to its iron-sulfur center interacts with the iron sulfur cluster assembly proteins and may interact with other proteins in the cell to mediate a diverse set of biological functions including cell cycle regulation, mitosis, and mitochondrial function. (Review) PMID: 27262611
  31. genetic association studies in population of women in Poland: Data suggest that an SNP in ERCC2 (C to A, R156R, rs238406) is associated with ovarian carcinoma; this SNP is also associated with ovarian cancer progression, assessed by the degree of histological grades and FIGO staging. PMID: 27888704
  32. The analysis results showed that the following polymorphisms were correlated with susceptibility to lung cancer: rs4646903 in CYP1A1 (P < 0.001), rs1048943 in CYP1A1 (P < 0.001), rs1695 in GSTP1 (P < 0.05), rs13181 in ERCC2 (P < 0.001), and rs25487 in XRCC1 (P < 0.05); no such correlation existed in rs861539 in XRCC3 (P > 0.05). PMID: 27819744
  33. There was no association between the XPD Lys751Gln polymorphism and CRC risk. PMID: 27686263
  34. Polymorphisms in XPD gene is associated with gastrointestinal stromal tumours. PMID: 27460091
  35. No association was found between ERCC2 rs13181, and ERCC2 rs1799793 and overall survival of gastric cancer. PMID: 27173253
  36. Study provides evidence that genetic polymorphisms in XPD-751, XRCC1-194 and XRCC1-399 were all correlated with non-small cell lung cancer occurrence. PMID: 25308691
  37. the ERCC2 rs13181 polymorphism is correlated with an increased risk of gliomas in codominant and recessive models, which suggests that this polymorphism could influence the etiology of gliomas. PMID: 27323065
  38. XPD gene polymorphism is associated with acute myeloid leukemia. PMID: 26779634
  39. we conclude that ERCC2 gene polymorphism R156R may be associated with an increased risk of endometrial cancer. PMID: 26349749
  40. No significant association was found for XPD Asp312Asn polymorphism with the risk of autism spectrum disorder. PMID: 27064873
  41. Frequency of XPD-Gln in IFH suggests that this variant may protect against OSCC. PMID: 26742000
  42. Data did not find any association between ERCC2 or ERCC3 gene polymorphisms and the development of osteosarcoma. PMID: 27051024
  43. Photosensitive form of trichothiodystrophy associated with a novel mutation in the XPD gene. PMID: 26577220
  44. No significant association was found between the ERCC2 rs13181 polymorphism and the risk of pancreatic cancer in the codominant, dominant, and recessive models. PMID: 27051038
  45. XPD Lys751Gln polymorphism may be a risk factor for CCRCC. Regarding the XRCC3 Thr241Met polymorphism, an association with CCRCC was found only in XRCC3 Thr241Met/XPD Lys751Gln combined genotypes. PMID: 26682510
  46. Results found no significant association between ERCC2 rs13181 polymorphism and breast cancer in Chinese population. PMID: 26985954
  47. Polymorphisms of ERCC2 gene are associated with HPV-positive cervical cancer. PMID: 25812040
  48. Our data suggest that deregulation of ERCC2 in head and neck cancer (HNC) has the potential to predict a more aggressive cancer phenotype and may be considered a possible biomarker for improved diagnosis and prognosis of HNC. PMID: 26659720
  49. The aim of this study was to investigate the association between polymorphisms of XRCC1 Arg399Gln, XRCC3 Thr241Met, and XPD Lys751Gln and laryngeal cancer risk. PMID: 26898429
  50. ERCC1 rs11615 and rs3212986 and ERCC2 rs13181 and rs1799793 polymorphisms were genotyped using the polymerase chain reaction restriction fragment length polymorphism PMID: 26823845

Show More

Hide All

Involvement in disease
Xeroderma pigmentosum complementation group D (XP-D); Trichothiodystrophy 1, photosensitive (TTD1); Cerebro-oculo-facio-skeletal syndrome 2 (COFS2)
Subcellular Location
Nucleus. Cytoplasm, cytoskeleton, spindle.
Protein Families
Helicase family, RAD3/XPD subfamily
Database Links

HGNC: 3434

OMIM: 126340

KEGG: hsa:2068

STRING: 9606.ENSP00000375809

UniGene: Hs.487294

icon of phone
Call us
301-363-4651 (Available 9 a.m. to 5 p.m. CST from Monday to Friday)
icon of address
Address
7505 Fannin St., Ste 610, Room 7 (CUBIO Innovation Center), Houston, TX 77054, USA
icon of social media
Join us with

Subscribe newsletter

Leave a message

* To protect against spam, please pass the CAPTCHA test below.
CAPTCHA verification
© 2007-2025 CUSABIO TECHNOLOGY LLC All rights reserved. 鄂ICP备15011166号-1
×
Place an order now

I. Product details

*
*
*
*

II. Contact details

*
*

III. Ship To

*
*
*
*
*
*
*

IV. Bill To

*
*
*
*
*
*
*
*