FMR1 Recombinant Monoclonal Antibody

Code CSB-RA970878A0HU
Size US$210
Order now
Image
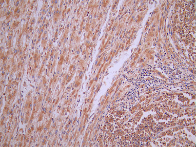
  • IHC image of CSB-RA970878A0HU diluted at 1:100 and staining in paraffin-embedded human liver cancer performed on a Leica BondTM system. After dewaxing and hydration, antigen retrieval was mediated by high pressure in a citrate buffer (pH 6.0). Section was blocked with 10% normal goat serum 30min at RT. Then primary antibody (1% BSA) was incubated at 4°C overnight. The primary is detected by a Goat anti-rabbit polymer IgG labeled by HRP and visualized using 0.05% DAB.
  • Overlay Peak curve showing Hela cells stained with CSB-RA970878A0HU (red line) at 1:100. The cells were fixed in 4% formaldehyde and permeated by 0.2% TritonX-100 for 10min. Then 10% normal goat serum to block non-specific protein-protein interactions followed by the antibody (1ug/1*106cells) for 45min at 4℃. The secondary antibody used was FITC-conjugated goat anti-rabbit IgG (H+L) at 1/200 dilution for 35min at 4℃.Control antibody (green line) was Rabbit IgG (1ug/1*106cells) used under the same conditions. Acquisition of >10, 000 events was performed.
Have Questions? Leave a Message or Start an on-line Chat

Product Details

Uniprot No.
Target Names
Alternative Names
FMR 1 antibody; Fmr1 antibody; Fmr1 gene antibody; FMR1_HUMAN antibody; FMRP antibody; Fragile X mental retardation 1 antibody; Fragile X mental retardation 1 protein antibody; Fragile X mental retardation protein 1 antibody; Fragile X mental retardation protein antibody; fragile X mental retardation syndrome-related protein 1 antibody; fragile X mental retardation; autosomal homolog 1 antibody; FRAXA antibody; fxr1 antibody; MGC87458 antibody; POF antibody; POF1 antibody; Protein FMR-1 antibody; Protein FMR1 antibody; wu:fb16f11 antibody; wu:fd18c10 antibody; zgc:66226 antibody
Species Reactivity
Human
Immunogen
A synthesized peptide from human FMR1 protein
Immunogen Species
Homo sapiens (Human)
Conjugate
Non-conjugated
Clonality
Monoclonal
Isotype
Rabbit IgG
Clone No.
8B4
Purification Method
Affinity-chromatography
Concentration
It differs from different batches. Please contact us to confirm it.
Buffer
Rabbit IgG in 10mM phosphate buffered saline , pH 7.4, 150mM sodium chloride, 0.05% BSA, 0.02% sodium azide and 50% glycerol.
Form
Liquid
Tested Applications
ELISA, IHC, FC
Recommended Dilution
Application Recommended Dilution
IHC 1:50-1:200
FC 1:50-1:200
Troubleshooting and FAQs
Storage
Upon receipt, store at -20°C or -80°C. Avoid repeated freeze.
Lead Time
Basically, we can dispatch the products out in 1-3 working days after receiving your orders. Delivery time maybe differs from different purchasing way or location, please kindly consult your local distributors for specific delivery time.
Usage
For Research Use Only. Not for use in diagnostic or therapeutic procedures.

Customer Reviews and Q&A

 Customer Reviews

There are currently no reviews for this product.

Submit a Review here

Target Background

Function
Multifunctional polyribosome-associated RNA-binding protein that plays a central role in neuronal development and synaptic plasticity through the regulation of alternative mRNA splicing, mRNA stability, mRNA dendritic transport and postsynaptic local protein synthesis of a subset of mRNAs. Plays a role in the alternative splicing of its own mRNA. Plays a role in mRNA nuclear export. Together with export factor NXF2, is involved in the regulation of the NXF1 mRNA stability in neurons. Stabilizes the scaffolding postsynaptic density protein DLG4/PSD-95 and the myelin basic protein (MBP) mRNAs in hippocampal neurons and glial cells, respectively; this stabilization is further increased in response to metabotropic glutamate receptor (mGluR) stimulation. Plays a role in selective delivery of a subset of dendritic mRNAs to synaptic sites in response to mGluR activation in a kinesin-dependent manner. Plays a role as a repressor of mRNA translation during the transport of dendritic mRNAs to postsynaptic dendritic spines. Component of the CYFIP1-EIF4E-FMR1 complex which blocks cap-dependent mRNA translation initiation. Represses mRNA translation by stalling ribosomal translocation during elongation. Reports are contradictory with regards to its ability to mediate translation inhibition of MBP mRNA in oligodendrocytes. Also involved in the recruitment of the RNA helicase MOV10 to a subset of mRNAs and hence regulates microRNA (miRNA)-mediated translational repression by AGO2. Facilitates the assembly of miRNAs on specific target mRNAs. Plays also a role as an activator of mRNA translation of a subset of dendritic mRNAs at synapses. In response to mGluR stimulation, FMR1-target mRNAs are rapidly derepressed, allowing for local translation at synapses. Binds to a large subset of dendritic mRNAs that encode a myriad of proteins involved in pre- and postsynaptic functions. Binds to 5'-ACUbinds to RNA homomer; preferentially on poly(G) and to a lesser extent on poly(U), but not on poly(A) or poly(C). May bind to RNA in Cajal bodies.; binds to RNA homomer; preferentially on poly(G) and to a lesser extent on poly(U), but not on poly(A) or poly(C). May bind to RNA in Cajal bodies.; (Microbial infection) Acts as a positive regulator of influenza A virus (IAV) replication. Required for the assembly and nuclear export of the viral ribonucleoprotein (vRNP) components.
Gene References into Functions
  1. CGG repeat length and FMR1 mRNA levels were not associated with performance on any gait domain in Fragile X-associated tremor ataxia syndrome (FXTAS). PMID: 27683920
  2. The knockdown of FMRP induced miR-181a expression and contributed to endothelial cell proliferation and angiogenesis. Authors identified CaM as a downstream target of miR-181a in endothelial cells. PMID: 30080293
  3. Study found no significant relationship between the longitudinal changes of the CGG repeat in the FMR1 promoter region and premature ovarian failure etiology which can be attributed to the genetic heterogeneity nature of the disease, the possible involvement of the other genomic variations with the ovarian function and the reproductive health. PMID: 30030199
  4. Agenet domain of FMRP binds FUS. PMID: 28424484
  5. Our male patient had a pattern of the FMR1 size mosaic with both premutation (129 CGG) and full mutation (over 200) fragments PMID: 29319541
  6. AKT inhibition led to decreased FMRP levels, as expected due to the known FMR1/FMRP negative feedback loop. But rFSH and the mTOR inhibition increased them, indicating a decoupling of this FMR1/FMRP negative feedback loop in our model system PMID: 28826600
  7. The CGG expanded allele of the FMR1 gene might be associated with unexplained multiple miscarriages. PMID: 29054962
  8. Fragile X-associated disorders encompass several conditions, which are caused by expansion mutations in the fragile X mental retardation 1 (FMR1) gene. PMID: 29325626
  9. We demonstrate that romidepsin, an inhibitor of class I histone deacetylases, does not activate FMR1 expression in patient cell cultures, whereas vorinostat, an inhibitor of classes I and II histone deacetylases, activates a low level of FMR1 expression in some patient cell lines PMID: 29209628
  10. the current study shows lower rates of blastocyst development per metaphase II oocyte and 2PN embryos in FMR1 pre-mutation carriers compared to age-matched controls. PMID: 28222427
  11. Next-generation sequencing in human melanoma cells revealed that FMRP regulates a large number of mRNAs involved in relevant processes of melanoma progression PMID: 29144507
  12. The naturally occurring Fragile XFMR1 5' region undergoes inactivation post implantation in a Dicer/Ago-dependent targeted process which involves local SUV39H-mediated tri-methylation of histone H3K9. Fragile X syndrome may come about through inadvertent siRNA-mediated heterochromatinization. PMID: 28621425
  13. The learning disability fragile X syndrome results from the presence of >200 CGG/CCG repeats in exon 1 of the X-linked gene FMR1. Such alleles arise by expansion from maternally transmitted FMR1 premutation alleles, alleles having 55 to 200 repeats. Expansion risk is directly related to maternal repeat number. However, AGG interruptions to the repeat tract are important modifiers of expansion risk. PMID: 28818679
  14. Women who carry a fragile X premutation, defined as having 55-200 unmethylated CGG repeats in the 5' UTR of the X-linked FMR1 gene, have a 20-fold increased risk for primary ovarian insufficiency .This study supports the idea of a relationship between a fragile X premutation and accelerated biological aging and could be the basis of future studies aimed to better understand the role of this mutation on cellular senescence PMID: 28941155
  15. Studies indicate the relationship between Fragile X mental retardation 1 (Fmr1) and non-coding RNA pathways, suggesting molecular pathogenesis of Fragile X syndrome, and potential translational applications in clinical management of the disease [Review]. PMID: 29428901
  16. In women with the FMR1 premutation, elevated optimism may reduce the occurrence or severity of MDD and anxiety disorders. PMID: 28895261
  17. Eight of the 14 fetuses that inherited the maternal mutant allele were verified to have a full mutation, with the smallest maternal pre-mutation allele of the FMR1 gene carrying 56 CGG repeats. The overall findings confirmed that the carrier prevalence among low-risk women in Taiwan is significantly lower than that reported in western countries PMID: 28139839
  18. The results show that SMNDC1 mRNA 5'-UTR forms an intramolecular, parallel G quadruplex structure comprised of three G quartet planes, which is bound specifically by FMRP both in vitro and in mouse brain lysates. PMID: 28612854
  19. The results of this study findings reveal domain-specific functions of FMRP in the regulation of axonal complexity that may be controlled by differential expression of FMRP splice forms. PMID: 27643955
  20. contextualize 3 years of FXS model research PMID: 28826631
  21. our study shows that increased expression of FMRP, an important RNA binding protein, is associated with increased astrocytoma proliferation. PMID: 27683117
  22. The characterization of the expression levels of the different FMR1 isoforms is fundamental for understanding the regulation of the FMR1 gene as imbalance in their expression could lead to an altered functional diversity with neurotoxic consequences. Their characterization will also help to elucidating the mechanism(s) by which "toxic gain of function" of the FMR1 mRNA may play a role in Fragile X-associated tremorAtaxia. PMID: 28888471
  23. FMR1 CGG repeat length may have a role in determining X-chromosome inactivation which could represent a possible mechanism for previously observed association of low age adjusted ovarian reserve with FMR1 variations in repeat length. PMID: 28454580
  24. Authors found that 5hmC enrichment at the FMR1 locus in FXS cells is specific to neurons by utilizing a nuclei sorting technique to separate neuronal and glial DNA fractions from post-mortem brain tissues. This FMR1 5hmC enrichment was not present in cellular models of FXS including fibroblasts, lymphocytes and reprogrammed neurons. PMID: 28173181
  25. Mutation intolerant genes and targets of FMRP are associated with schizophrenia. PMID: 28719003
  26. FMR1 mutation is associated with Fragile X syndrome. PMID: 28815939
  27. High or low numbers of CGGs in FMR1 gene is associated with poorer health and functional outcomes during aging.. PMID: 28407408
  28. There is no robust evidence in this large study that variation within the normal range of FMR1 repeat alleles influences timing of menopause in the general population, which contradicts findings from some earlier, mainly smaller studies. The FMR1 CGG repeat polymorphism in the normal range is unlikely to contribute to genetic susceptibility to early menopause. PMID: 27614355
  29. APP levels then decrease progressively as a function of age in close relationship with the gradual normalization of FMRP and hnRNP C levels. PMID: 26048669
  30. FMRP is mostly associated diacylglycerol kinase kappa (Dgkkappa), a master regulator that controls the switch between diacylglycerol and phosphatidic acid signaling pathways. PMID: 27233938
  31. The tetradecaplex marker assay can be performed directly on single cells or after whole-genome amplification, thus supporting its use in fragile X syndrome preimplantation genetic diagnosis either as a standalone linkage-based assay or as a complement to FMR1 mutation detection. PMID: 26741412
  32. In the PM group, the lack of any significant association between FMR1 mRNA levels and phenotypic measures found in this study suggests that either FMR1 expression is not well conserved between tissues, or that FMR1 intron 1 methylation is linked to neuroanatomical and cognitive phenotype in PM females via a different mechanism. PMID: 27959330
  33. Cerebellar and brainstem volumes were likely affected during both development and progression of neurodegeneration in premutation carriers of FMR1. PMID: 28391068
  34. unmethylated full mutation individuals do not lack the cell-intrinsic ability to silence FMR1 and that inter-individual variability in the CGG repeat size required for silencing exists in the fragile X syndrome population. PMID: 27840045
  35. CGG-repeat dynamics and FMR1 gene silencing in fragile X syndrome stem cells and stem cell-derived neurons has been reported. PMID: 27713816
  36. Based on insights from the structures and existing biochemical data, the existence of an evolutionarily conserved ribonucleoprotein (RNP) complex consisting of Caprin-1, FMRP and G3BP1 is proposed. PMID: 27303792
  37. found that human Torsin1A and human FMRP were present in the same protein complexes, suggesting that this phenomenon is evolutionarily conserved PMID: 27313903
  38. Understanding how FMRP regulates iontophoresis should reveal new molecular factors underpinning Fragile X syndrome dysfunction PMID: 28887386
  39. Data demonstrate that FMR1 distributions do vary by race-ethnicity, even within the "normal" range. This study indicates the need to control for race-ethnicity in FMR1 ovarian aging research and provides race-ethnic population data for females separated by allele. PMID: 26905421
  40. Fmr1 knockout (KO) mice show widespread changes in histone marks as well as transcriptional misregulation resulting in increased expression of many critical synaptic genes. Data suggest that one chromatin target of FMRP, the reader protein Brd4, appears to be significantly involved in this transcriptional disruption. PMID: 28823556
  41. We found 230 different alleles of which the most frequent are 10A9A9 (38.4%), 9A9A9 (15.1%), and 10A9 (10.5%). Furthermore, alleles with 0 AGG interruptions or with a pure (uninterrupted) CGG repeat run larger than 34 (presumably more unstable), were more frequent among premutation alleles compared to normal alleles. PMID: 27333191
  42. The study establishes a functional/physical partnership between FMRP and TDP-43 that mechanistically links several neurodevelopmental disorders and neurodegenerative diseases. PMID: 27518042
  43. High CGG trinucleotide repeat expansion in FMR1 gene is associated with fragile X syndrome. PMID: 28278294
  44. showing the potential of being applicable to other psychiatric disorders to identify endophenotype-specific responses relevant to neurobiology.-Napoli, E., Song, G., Schneider, A., Hagerman, R., Eldeeb, M. A. A. A., Azarang, A., Tassone, F., Giulivi, C. Warburg effect linked to cognitive-executive deficits in FMR1 premutation PMID: 27335370
  45. Intragenic FMR1 variants, although much less frequent than CGG expansions, are a significant mutational mechanism leading to FXS. PMID: 28176767
  46. FMR1 triple CGG repeats in the normal range may be associated with primary ovarian insufficiency in China PMID: 27916452
  47. Expression of FMRpolyG is pathogenic, while the sole expression of CGG RNA is not. FMRpolyG interacts with the nuclear lamina protein LAP2beta and disorganizes the nuclear lamina architecture in neurons differentiated from FXTAS iPS cells. Finally, expression of LAP2beta rescues neuronal death induced by FMRpolyG. PMID: 28065649
  48. FMR1 CGG trinucleotide repeats were low in Caucasian women with diminished ovarian reserve. PMID: 27816231
  49. For routine screening of patients/carriers with full/pre-mutations of the FMR1 gene in the population. PMID: 27984619
  50. Data show that the FMRP deficiency in fragile X syndrome (FXS) patients has significant impact on the gene expression patterns during development, which will help to discover potential targeting candidates for the cure of FXS symptoms. PMID: 27730449

Show More

Hide All

Involvement in disease
Fragile X syndrome (FXS); Fragile X tremor/ataxia syndrome (FXTAS); Premature ovarian failure 1 (POF1)
Subcellular Location
Nucleus. Nucleus, nucleolus. Chromosome, centromere. Chromosome. Cytoplasm. Cytoplasm, perinuclear region. Cytoplasm, Cytoplasmic ribonucleoprotein granule. Perikaryon. Cell projection, neuron projection. Cell projection, axon. Cell projection, dendrite. Cell projection, dendritic spine. Cell junction, synapse, synaptosome. Cell projection, growth cone. Cell projection, filopodium tip. Cell junction, synapse. Cell junction, synapse, postsynaptic cell membrane. Cell junction, synapse, presynaptic cell membrane. Cell membrane. Cytoplasm, Stress granule.; [Isoform 6]: Cytoplasm. Cytoplasm, perinuclear region.; [Isoform 9]: Cytoplasm.; [Isoform 10]: Nucleus. Nucleus, Cajal body. Note=Colocalizes with Colin and SMN in Cajal bodies (PubMed:24204304).; [Isoform 11]: Nucleus. Nucleus, Cajal body.
Protein Families
FMR1 family
Tissue Specificity
Expressed in the brain, cerebellum and testis. Also expressed in epithelial tissues. Expressed in mature oligodendrocytes (OLGs). Expressed in fibroblast. Expressed in neurons, Purkinje cells and spermatogonias (at protein level). Expressed in brain, test
Database Links

HGNC: 3775

OMIM: 300623

KEGG: hsa:2332

STRING: 9606.ENSP00000359506

UniGene: Hs.103183

icon of phone
Call us
301-363-4651 (Available 9 a.m. to 5 p.m. CST from Monday to Friday)
icon of address
Address
7505 Fannin St., Ste 610, Room 7 (CUBIO Innovation Center), Houston, TX 77054, USA
icon of social media
Join us with

Subscribe newsletter

Leave a message

* To protect against spam, please pass the CAPTCHA test below.
CAPTCHA verification
© 2007-2025 CUSABIO TECHNOLOGY LLC All rights reserved. 鄂ICP备15011166号-1
×
Place an order now

I. Product details

*
*
*
*

II. Contact details

*
*

III. Ship To

*
*
*
*
*
*
*

IV. Bill To

*
*
*
*
*
*
*
*