FYB Recombinant Monoclonal Antibody

Code CSB-RA214399A0HU
Size US$210
Order now
Image
  • Western Blot
    Positive WB detected in: A549 whole cell lysate(30µg), THP-1 whole cell lysate(30µg), COLO205 whole cell lysate(30µg)
    All lanes: FYN binding protein 1 antibody at 1:1000
    Secondary
    Goat polyclonal to rabbit IgG at 1/40000 dilution
    Predicted band size: 85 kDa
    Observed band size: 120 kDa
    Exposure time:2min
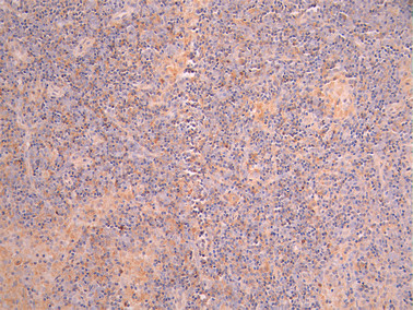
  • IHC image of CSB-RA214399A0HU diluted at 1:100 and staining in paraffin-embedded human lymph node tissue performed on a Leica BondTM system. After dewaxing and hydration, antigen retrieval was mediated by high pressure in a citrate buffer (pH 6.0). Section was blocked with 10% normal goat serum 30min at RT. Then primary antibody (1% BSA) was incubated at 4°C overnight. The primary is detected by a Goat anti-rabbit polymer IgG labeled by HRP and visualized using 0.05% DAB.
  • Overlay Peak curve showing K562 cells stained with CSB-RA214399A0HU (red line) at 1:100. The cells were fixed in 4% formaldehyde and permeated by 0.2% TritonX-100 for 10min. Then 10% normal goat serum to block non-specific protein-protein interactions followed by the antibody (1ug/1*106cells) for 45min at 4℃. The secondary antibody used was FITC-conjugated goat anti-rabbit IgG (H+L) at 1/200 dilution for 35min at 4℃.Control antibody (green line) was Rabbit IgG (1ug/1*106cells) used under the same conditions. Acquisition of >10, 000 events was performed.
Have Questions? Leave a Message or Start an on-line Chat

Product Details

Uniprot No.
Target Names
FYB
Alternative Names
ADAP antibody; Adhesion and degranulation promoting adaptor protein antibody; FYB 120/130 antibody; Fyb antibody; FYB-120/130 antibody; FYB_HUMAN antibody; FYN binding protein antibody; FYN T binding protein antibody; FYN-binding protein antibody; FYN-T-binding protein antibody; p120/p130 antibody; PRO0823 antibody; SLAP 130 antibody; SLAP-130 antibody; SLAP130 antibody; SLP 76 associated phosphoprotein antibody; SLP-76-associated phosphoprotein antibody; SLP76 associated phosphoprotein antibody
Species Reactivity
Human
Immunogen
A synthesized peptide from human FYB protein
Immunogen Species
Homo sapiens (Human)
Conjugate
Non-conjugated
Clonality
Monoclonal
Isotype
Rabbit IgG
Clone No.
6D11
Purification Method
Affinity-chromatography
Concentration
It differs from different batches. Please contact us to confirm it.
Buffer
Rabbit IgG in 10mM phosphate buffered saline , pH 7.4, 150mM sodium chloride, 0.05% BSA, 0.02% sodium azide and 50% glycerol.
Form
Liquid
Tested Applications
ELISA, WB, IHC, FC
Recommended Dilution
Application Recommended Dilution
WB 1:500-1:5000
IHC 1:50-1:200
FC 1:50-1:200
Troubleshooting and FAQs
Storage
Upon receipt, store at -20°C or -80°C. Avoid repeated freeze.
Lead Time
Basically, we can dispatch the products out in 1-3 working days after receiving your orders. Delivery time maybe differs from different purchasing way or location, please kindly consult your local distributors for specific delivery time.
Usage
For Research Use Only. Not for use in diagnostic or therapeutic procedures.

Customer Reviews and Q&A

 Customer Reviews

There are currently no reviews for this product.

Submit a Review here

Target Background

Function
Acts as an adapter protein of the FYN and LCP2 signaling cascades in T-cells. May play a role in linking T-cell signaling to remodeling of the actin cytoskeleton. Modulates the expression of IL2. Involved in platelet activation. Prevents the degradation of SKAP1 and SKAP2. May be involved in high affinity immunoglobulin epsilon receptor signaling in mast cells.
Gene References into Functions
  1. results of this study indicate that a novel T cell adaptor protein, activation-dependent, raft-recruited ADAP-like phosphoprotein (ARAP), plays a unique role in T cells as a part of both the proximal activation signaling and inside-out signaling pathways that result in integrin activation and T cell adhesion PMID: 27335501
  2. Ubc9 is an essential regulator of ADAP where it is required for TCR-induced membrane recruitment of the small GTPase Rap1 and its effector protein RapL and for activation of the small GTPase Rac1 in T cell adhesion. PMID: 29127148
  3. Current knowledge of the functions of the adapter protein ADAP in T cell signaling with a focus on the role of individual phosphotyrosine (pY) motifs for SH2 domain mediated interactions is presented. PMID: 27258783
  4. A distinct set of proteins interaction partners required for chemokine-directed T cell migration is attracted by phosphotyrosine 571 of ADAP, including ZAP70. PMID: 26246585
  5. FYB nonsense mutations in humans causing small-platelet thrombocytopenia and a significant bleeding tendency. PMID: 25876182
  6. Data (including data from studies in knockout/transgenic mice) suggest that ADAP regulates positive feedback loop of TGFbeta1 production and TGFbeta1-induced CD103 expression in CD8+ T-lymphocytes and protects against influenza H5N1 virus infection. PMID: 25909459
  7. The aim of this study was to perform an association study between seven Fyn-binding protein gene (FYB)-tag single nucleotide polymorphisms (SNPs) and type I diabetes mellitus (T1DM), as well as with disease age of onset. PMID: 25729932
  8. The autosomal recessive bleeding phenotype seen in several members of this highly consanguineous family included petechial rash, mild epistaxis and thrombocytopenia with some decrease in platelet volume. These clinical findings, together with the results of exome sequencing pointed to only one strong candidate gene, the FYB gene. PMID: 25516138
  9. ADAP interacts with talin and kindlin-3 to promote platelet Integrin alphaIIbbeta3 activation and stable fibrinogen binding. PMID: 24523237
  10. ADAP and Nck adapter proteins cooperatively facilitate T cell adhesion to the LFA-1 ligand ICAM-1. PMID: 24769494
  11. These findings indicate that ADAP regulates two steps of HIV-1 infection cooperatively with two distinct receptors, and as such, serves as a new potential target in the blockade of HIV-1 infection. PMID: 24047317
  12. our findings indicate an association between polymorphisms located in FYB gene and SLE, suggesting their possible involvement in disease susceptibility and clinical manifestations. PMID: 23628395
  13. Multipoint binding of SLP-76 to ADAP facilitates the assembly of SLP-76 microclusters. PMID: 23979596
  14. TM4SF10, possibly through ADAP, may regulate Fyn activity PMID: 21881001
  15. a functional cooperation between Nck and ADAP in stabilizing the recruitment of WASp to SLP76 regulates actin rearrangement. PMID: 21536650
  16. the ADAP CARMA1 binding site is required for IKK gamma ubiquitination; both TAK1 and CARMA1 binding sites are required for IkappaB alpha phosphorylation and degradation and NF-kappaB nuclear translocation PMID: 20164171
  17. Mass spectrometric identification of ADAP associated with EVL, an actin-binding protein of the ENA/VASP family, DOCK2 and GEF-H1 suggests a direct link between ADAP and the cytoskeleton. PMID: 19798671
  18. ADAP lipid interaction defines the helically extended SH3 scaffold as a novel member of membrane interaction domains PMID: 15843031
  19. show in an ADAP-deficient Jurkat T cell line that the co-dependence of ADAP and SKAP55 extends beyond their functional and physical interactions and show that SKAP55 protein is unstable in the absence of ADAP PMID: 15849195
  20. Lipid binding of ADAP at the immunological synapse most likely contributes to the function of ADAP as a regulator of T cell migration and adhesion. PMID: 16831444
  21. An eight-membered ring formed upon oxidation of two neighboring cysteines leads to significant changes in the variable arginine-threonine (RT) loop of the hSH3N domain of this protein. PMID: 17511475
  22. ADAP-deficient T-cell-receptor transgenic T cells demonstrate that ADAP is a positive regulator of antigen-dependent, LFA-1 integrin-mediated T cell conjugate formation with antigen presenting cells. PMID: 17785790
  23. Naive transgenic ADAP-deficient T cells show impaired adhesion to ovalbumin fragment-bearing antigen-presenting cells that is restored following reconstitution with wild-type ADAP. PMID: 18802088

Show More

Hide All

Involvement in disease
Thrombocytopenia 3 (THC3)
Subcellular Location
Cytoplasm. Nucleus. Cell junction.
Tissue Specificity
Expressed in hematopoietic tissues such as myeloid and T-cells, spleen and thymus. Not expressed in B-cells, nor in non-lymphoid tissues.
Database Links

HGNC: 4036

OMIM: 273900

KEGG: hsa:2533

UniGene: Hs.370503

icon of phone
Call us
301-363-4651 (Available 9 a.m. to 5 p.m. CST from Monday to Friday)
icon of address
Address
7505 Fannin St., Ste 610, Room 7 (CUBIO Innovation Center), Houston, TX 77054, USA
icon of social media
Join us with

Subscribe newsletter

Leave a message

* To protect against spam, please pass the CAPTCHA test below.
CAPTCHA verification
© 2007-2025 CUSABIO TECHNOLOGY LLC All rights reserved. 鄂ICP备15011166号-1
×
Place an order now

I. Product details

*
*
*
*

II. Contact details

*
*

III. Ship To

*
*
*
*
*
*
*

IV. Bill To

*
*
*
*
*
*
*
*