GTF2I Recombinant Monoclonal Antibody

Code CSB-RA208150A0HU
Size US$210
Order now
Image
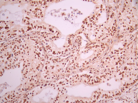
  • IHC image of CSB-RA208150A0HU diluted at 1:100 and staining in paraffin-embedded human pancreatic cancer performed on a Leica BondTM system. After dewaxing and hydration, antigen retrieval was mediated by high pressure in a citrate buffer (pH 6.0). Section was blocked with 10% normal goat serum 30min at RT. Then primary antibody (1% BSA) was incubated at 4°C overnight. The primary is detected by a Goat anti-rabbit polymer IgG labeled by HRP and visualized using 0.05% DAB.
  • Immunofluorescence staining of A549 cell with CSB-RA208150A0HU at 1:50 , counter-stained with DAPI. The cells were fixed in 4% formaldehyde, permeabilized using 0.2% Triton X-100 and blocked in 10% normal Goat Serum. The cells were then incubated with the antibody overnight at 4°C. The secondary antibody was Alexa Fluor 488-congugated AffiniPure Goat Anti-Rabbit IgG(H+L).
  • Overlay Peak curve showing SH-SY5Y cells stained with CSB-RA208150A0HU (red line) at 1:100. The cells were fixed in 4% formaldehyde and permeated by 0.2% TritonX-100 for 10min. Then 10% normal goat serum to block non-specific protein-protein interactions followed by the antibody (1ug/1*106cells) for 45min at 4℃. The secondary antibody used was FITC-conjugated goat anti-rabbit IgG (H+L) at 1/200 dilution for 35min at 4℃.Control antibody (green line) was Rabbit IgG (1ug/1*106cells) used under the same conditions. Acquisition of >10, 000 events was performed.
Have Questions? Leave a Message or Start an on-line Chat

Product Details

Uniprot No.
Target Names
Alternative Names
BAP 135 antibody; BAP-135 antibody; BAP135 antibody; Bruton tyrosine kinase associated protein 135 antibody; Bruton tyrosine kinase-associated protein 135 antibody; BTK associated protein 135 antibody; BTK associated protein 135kD antibody; BTK associated protein antibody; BTK-associated protein 135 antibody; BTKAP 1 antibody; BTKAP1 antibody; DIWS antibody; FLJ38776 antibody; FLJ56355 antibody; General transcription factor II i antibody; General transcription factor II-I antibody; General transcription factor IIi antibody; GTF 2I antibody; Gtf2i antibody; GTF2I_HUMAN antibody; GTFII I antibody; GTFII-I antibody; IB 291 antibody; IB291 antibody; SPIN antibody; SRF Phox 1 interacting protein antibody; SRF Phox1 interacting protein antibody; SRF-Phox1-interacting protein antibody; TFII-I antibody; Transcription factor II I antibody; WBS antibody; WBSCR 6 antibody; WBSCR6 antibody; Williams Beuren syndrome chromosome region 6 antibody; Williams Beuren syndrome chromosome region 6 protein antibody; Williams-Beuren syndrome chromosomal region 6 protein antibody
Species Reactivity
Human
Immunogen
A synthesized peptide from human GTF2I protein
Immunogen Species
Homo sapiens (Human)
Conjugate
Non-conjugated
Clonality
Monoclonal
Isotype
Rabbit IgG
Clone No.
13B10
Purification Method
Affinity-chromatography
Concentration
It differs from different batches. Please contact us to confirm it.
Buffer
Rabbit IgG in 10mM phosphate buffered saline , pH 7.4, 150mM sodium chloride, 0.05% BSA, 0.02% sodium azide and 50% glycerol.
Form
Liquid
Tested Applications
ELISA, IHC, IF, FC
Recommended Dilution
Application Recommended Dilution
IHC 1:50-1:200
IF 1:50-1:200
FC 1:50-1:200
Troubleshooting and FAQs
Storage
Upon receipt, store at -20°C or -80°C. Avoid repeated freeze.
Lead Time
Basically, we can dispatch the products out in 1-3 working days after receiving your orders. Delivery time maybe differs from different purchasing way or location, please kindly consult your local distributors for specific delivery time.
Usage
For Research Use Only. Not for use in diagnostic or therapeutic procedures.

Customer Reviews and Q&A

 Customer Reviews

There are currently no reviews for this product.

Submit a Review here

Target Background

Function
Interacts with the basal transcription machinery by coordinating the formation of a multiprotein complex at the C-FOS promoter, and linking specific signal responsive activator complexes. Promotes the formation of stable high-order complexes of SRF and PHOX1 and interacts cooperatively with PHOX1 to promote serum-inducible transcription of a reporter gene deriven by the C-FOS serum response element (SRE). Acts as a coregulator for USF1 by binding independently two promoter elements, a pyrimidine-rich initiator (Inr) and an upstream E-box. Required for the formation of functional ARID3A DNA-binding complexes and for activation of immunoglobulin heavy-chain transcription upon B-lymphocyte activation.
Gene References into Functions
  1. demonstrate a marked prevalence of a thymoma-specific mutated oncogene, GTF2I PMID: 29438696
  2. we identified largest-ever effect on Asian rheumatoid arthritis across human non-HLA regions at GTF2I by heterogeneity mapping followed by replication studies, and pinpointed a possible causal variant PMID: 27272985
  3. the frequency of GTF2I mutation is higher in more indolent TETs and correlated with better prognosis. PMID: 28676218
  4. GTF2I/Gtf2i, its physiologic role in human disorders was relatively unknown until recently. Novel studies show that it is involved in an array of human diseases including neurocognitive disorders, systemic lupus erythematosus (SLE), and cancer. PMID: 28461154
  5. the results reported here support a model whereby common genetic variation in GTF2I mediates human sociality and anxiety via effects on oxytocin reactivity. PMID: 28424317
  6. GTF2I mutations common in thymic epithelial tumors are not present/uncommon in hematological malignancies. PMID: 28982856
  7. a new BRAF fusion in pilocytic astrocytoma PMID: 28448514
  8. A common polymorphism in the Williams syndrome gene GTF2I associated with reduced social anxiety predicts decreased threat-related amygdala reactivity, which mediates an association between genotype and increased warmth in women. PMID: 26853120
  9. We identified rs117026326 on GTF2I with GWAS significance (P = 1.10 x 10(-15)) and rs13079920 on RBMS3 with suggestive significance (P = 2.90 x 10(-5)) associating with Primary Sjogren's syndrome in women. PMID: 27503288
  10. The authors found that human adenovirus 5 infection or ectopic E4-ORF3 expression leads to SUMOylation of TFII-I that precedes a rapid decline in TFII-I protein levels. PMID: 26814176
  11. A novel interaction between TFII-I and Mdm2 with a negative effect on TFII-I transcriptional activity has been documented. PMID: 26656605
  12. Copy-number variation in the general transcription factor gene, GTF2I is associated with gene-dose-dependent anxiety in mouse models and in both Williams syndrome and Dup7. PMID: 26285132
  13. show that SUMOylation is critical for TFII-I to promote cell proliferation and colony formation. Our findings contribute to understanding the role of SUMOylation in liver cancer development PMID: 25869096
  14. Study demonstrates a significant association between SLE in Chinese Han population and the GTF2I rs117026326 T allele/GTF2IRD1 rs4717901 C allele. PMID: 26320362
  15. Rather than contributing positively to promoter activity, a putative initiator element at the transcription start site acts as a target for negative regulation imposed on the L4P promoter of human adenovirus Type 5 by cellular TFII-I. PMID: 25926634
  16. Findings implicate the GTF2I gene in the neurogenetic basis of social communication and social anxiety, both in Williams syndrome and among individuals in healthy populations PMID: 25429715
  17. TFII-I bridges Proliferating Cell Nuclear Antigen and Polzeta to promote Translesion synthesis PMID: 24922507
  18. The GTF2I rs117026326 polymorphism is associated with anti-SSA-positive primary Sjogren's syndrome. PMID: 25480810
  19. A proportion of this transcriptional dysregulation is caused by dosage imbalances in GTF2I, which encodes a key transcription factor at 7q11.23 that is associated with the LSD1 repressive chromatin complex and silences its dosage-sensitive targets. PMID: 25501393
  20. GTF2I mutation correlated with better survival. PMID: 24974848
  21. Results reveal novel mechanisms by which TFII-I and DBC1 can modulate cellular fate by affecting cell-cycle control as well as the homologous recombination pathway. PMID: 24231951
  22. Our findings suggest the GTF2i gene is important in the etiology of autism in individuals with this duplication and in non-duplication cases with severe social interaction problems and repetitive behaviors. PMID: 22048961
  23. GTF2I duplication results in separation anxiety in mice and humans PMID: 22578324
  24. CLIP2 haploinsufficiency by itself does not lead to the physical or cognitive characteristics of the Williams-Beuren syndrome; GTF2IRD1 and GTF2I are the main genes causing the cognitive defects PMID: 22608712
  25. TFII-I gene deletion may explain the Williams-Beuren syndrome phenotype because it acts as a negative regulator of TRPC3 expression in human B lymphocytes. PMID: 22566418
  26. These data indicate that an E-box motif (RBE1) within the core promoter in the long terminal repeat of HIV-1 is a bona fide binding site for the RBF-2 transcription factor complex USF1, USF2, and TFII-I. PMID: 21813151
  27. Data demonstrate that not only does cell surface GRP78 regulate apoptosis, but it also regulates Ca(2+) homeostasis by controlling cell surface localization of TFII-I. PMID: 21503958
  28. Data show that Igh 3' enhancer-bound OCA-B and promoter-bound TFII-I mediate promoter-enhancer interactions, in both cis and trans, that are important for Igh transcription. PMID: 21549311
  29. These data indicate that Gtf2i is involved in several aspects of embryonic development and the development of social neurocircuitry and that GTF2I haploinsufficiency could be a contributor to the hypersociability in WBS patients. PMID: 21328569
  30. TFII-I may modulate the cellular functions of BRCA1. PMID: 21407215
  31. functional hemizygosity for the GTF2I and GTF2IRD1 genes is the main cause of the neurocognitive profile and some aspects of the gestalt phenotype of Williams-Beuren syndrome PMID: 19897463
  32. G-kinase I beta interacted specifically with TFII-I, an unusual transcriptional regulator that associates with multiple proteins to modulate both basal and signal-induced transcription PMID: 12082086
  33. GTF2IRD1 and GTF2I have roles in causing deficits on visual spatial functioning PMID: 12865760
  34. Comparison of these five families with reports of other individuals with partial deletions of the WS region most strongly implicates GTF2I in the mental retardation of WS. PMID: 14556246
  35. TFII-I is required for optimal induction of Grp78 by ER stress PMID: 15664986
  36. These results demonstrate that USF1/USF2 and TFII-I interact cooperatively at the upstream RBEIII element and are necessary for the induction of latent HIV-1 in response to T-cell activation signals. PMID: 15767439
  37. human VEGFR-2 promoter is functionally counter-regulated by TFII-I and TFII-IRD1. PMID: 15941713
  38. cGMP-dependent protein kinase Ibeta binds to TFII-I and IRAG through a common interaction motif PMID: 16166082
  39. TFII-I is recruited to the cyclin D1 promoter and transcriptionally activates this gene. PMID: 16314517
  40. TFII-I directly interacts with Bright through amino acids in Bright's protein interaction domain PMID: 16738337
  41. The data suggest that TFII-I and USF regulate chromatin structure accessibility and recruitment of transcription complexes in the beta-globin gene locus. PMID: 16943425
  42. observations suggest a model in which TFII-I suppresses agonist-induced calcium entry by competing with TRPC3 for binding to phospholipase C-gamma PMID: 17023658
  43. TFII-I, PARP1, and SFPQ proteins, each previously implicated in gene regulation, form a complex controlling transcription of DYX1C1. Allelic differences in the promoter or 5'UTR of DYX1C1 may affect factor binding and thus regulation of the gene. PMID: 18445785
  44. Bioinformatics and microarray results were combined to identify TFII-I downstream targets in the vertebrate genome. PMID: 18579769
  45. These results demonstrate an essential role of TFII-I bound at an upstream LTR element for viral replication. PMID: 18976654
  46. alpha(2)-macroglobulin induced increase in GRP78 synthesis is caused by transcriptional upregulation of TFII-I PMID: 19097122
  47. analyzed promoter regions of TFII-I genes and described their additional exons, as well as tested tissue specificity of both previously reported and novel alternatively spliced isoforms PMID: 19111598
  48. Results suggest that TFII-I appears to have distinct roles in distinct phases of the mammalian cell cycle. PMID: 19182516
  49. these results provide an initial step in understanding the biological role of Itk-TFII-I signaling in T-cell function. PMID: 19701889
  50. TFII-I plays an inhibitory role in regulating genes that are essential in osteogenesis and intersects with the bone-specific transcription factor Runx2 and the retinoblastoma protein, pRb. PMID: 19880526

Show More

Hide All

Involvement in disease
GTF2I is located in the Williams-Beuren syndrome (WBS) critical region. WBS results from a hemizygous deletion of several genes on chromosome 7q11.23, thought to arise as a consequence of unequal crossing over between highly homologous low-copy repeat sequences flanking the deleted region. Haploinsufficiency of GTF2I may be the cause of certain cardiovascular and musculo-skeletal abnormalities observed in the disease.
Subcellular Location
Cytoplasm. Nucleus. Note=Colocalizes with BTK in the cytoplasm.
Protein Families
TFII-I family
Tissue Specificity
Ubiquitous. Isoform 1 is strongly expressed in fetal brain, weakly in adult brain, muscle, and lymphoblasts and is almost undetectable in other adult tissues, while the other isoforms are equally expressed in all adult tissues.
Database Links

HGNC: 4659

OMIM: 601679

KEGG: hsa:2969

STRING: 9606.ENSP00000322542

UniGene: Hs.647041

icon of phone
Call us
301-363-4651 (Available 9 a.m. to 5 p.m. CST from Monday to Friday)
icon of address
Address
7505 Fannin St., Ste 610, Room 7 (CUBIO Innovation Center), Houston, TX 77054, USA
icon of social media
Join us with

Subscribe newsletter

Leave a message

* To protect against spam, please pass the CAPTCHA test below.
CAPTCHA verification
© 2007-2025 CUSABIO TECHNOLOGY LLC All rights reserved. 鄂ICP备15011166号-1
×
Place an order now

I. Product details

*
*
*
*

II. Contact details

*
*

III. Ship To

*
*
*
*
*
*
*

IV. Bill To

*
*
*
*
*
*
*
*