H2AFY Recombinant Monoclonal Antibody

Code CSB-RA135386A0HU
Size US$210
Order now
Image
  • Western Blot
    Positive WB detected in: Hela whole cell lysate(30µg), HepG2 whole cell lysate(30µg), THP-1 whole cell lysate(30µg), SH-SY5Y whole cell lysate(30µg), MCF-7 whole cell lysate(30µg), COLO-205 whole cell lysate(30µg), HEK293 whole cell lysate(30µg), Mouse brain tissue lysate(30µg), Rat brain tissue lysate(30µg)
    All lanes: Histone mH2A1 antibody at 1:1000
    Secondary
    Goat polyclonal to rabbit IgG at 1/40000 dilution
    Predicted band size: 40 kDa
    Observed band size: 40 kDa
    Exposure time:10s
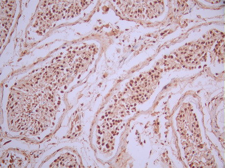
  • IHC image of CSB-RA135386A0HU diluted at 1:100 and staining in paraffin-embedded human testis tissue performed on a Leica BondTM system. After dewaxing and hydration, antigen retrieval was mediated by high pressure in a citrate buffer (pH 6.0). Section was blocked with 10% normal goat serum 30min at RT. Then primary antibody (1% BSA) was incubated at 4°C overnight. The primary is detected by a Goat anti-rabbit polymer IgG labeled by HRP and visualized using 0.05% DAB.
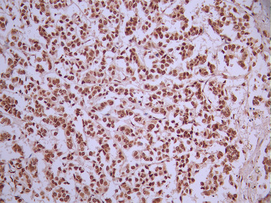
  • IHC image of CSB-RA135386A0HU diluted at 1:100 and staining in paraffin-embedded human breast cancer performed on a Leica BondTM system. After dewaxing and hydration, antigen retrieval was mediated by high pressure in a citrate buffer (pH 6.0). Section was blocked with 10% normal goat serum 30min at RT. Then primary antibody (1% BSA) was incubated at 4°C overnight. The primary is detected by a Goat anti-rabbit polymer IgG labeled by HRP and visualized using 0.05% DAB.
  • Immunofluorescence staining of A431 cell with CSB-RA135386A0HU at 1:50 , counter-stained with DAPI. The cells were fixed in 4% formaldehyde, permeabilized using 0.2% Triton X-100 and blocked in 10% normal Goat Serum. The cells were then incubated with the antibody overnight at 4°C. The secondary antibody was Alexa Fluor 488-congugated AffiniPure Goat Anti-Rabbit IgG(H+L).
  • Overlay Peak curve showing THP-1 cells stained with CSB-RA135386A0HU (red line) at 1:100. The cells were fixed in 4% formaldehyde and permeated by 0.2% TritonX-100 for 10min. Then 10% normal goat serum to block non-specific protein-protein interactions followed by the antibody (1ug/1*106cells) for 45min at 4℃. The secondary antibody used was FITC-conjugated goat anti-rabbit IgG (H+L) at 1/200 dilution for 35min at 4℃.Control antibody (green line) was Rabbit IgG (1ug/1*106cells) used under the same conditions. Acquisition of >10, 000 events was performed.
Have Questions? Leave a Message or Start an on-line Chat

Product Details

Uniprot No.
Target Names
Alternative Names
Core histone macro h2a.1 antibody; Core histone macro-H2A.1 antibody; H2A histone family member Y antibody; H2A.y antibody; H2A/y antibody; H2AF12M antibody; H2AFJ antibody; H2afy antibody; H2AY_HUMAN antibody; Histone H2A.Y antibody; Histone macroH2A1 antibody; Histone macroH2A1.1 antibody; Histone macroH2A1.2 antibody; Macroh2a1 antibody; MACROH2A1.1 antibody; MacroH2A1.2 antibody; Medulloblastoma antigen MU MB 50.205 antibody; Medulloblastoma antigen MU-MB-50.205 antibody; mH2a antibody; mH2A1 antibody
Species Reactivity
Human, Mouse, Rat
Immunogen
A synthesized peptide from human H2AFY protein
Immunogen Species
Homo sapiens (Human)
Conjugate
Non-conjugated
Clonality
Monoclonal
Isotype
Rabbit IgG
Clone No.
17G2
Purification Method
Affinity-chromatography
Concentration
It differs from different batches. Please contact us to confirm it.
Buffer
Rabbit IgG in 10mM phosphate buffered saline , pH 7.4, 150mM sodium chloride, 0.05% BSA, 0.02% sodium azide and 50% glycerol.
Form
Liquid
Tested Applications
ELISA, WB, IHC, IF, FC
Recommended Dilution
Application Recommended Dilution
WB 1:500-1:5000
IHC 1:50-1:200
IF 1:50-1:200
FC 1:50-1:200
Troubleshooting and FAQs
Storage
Upon receipt, store at -20°C or -80°C. Avoid repeated freeze.
Lead Time
Basically, we can dispatch the products out in 1-3 working days after receiving your orders. Delivery time maybe differs from different purchasing way or location, please kindly consult your local distributors for specific delivery time.
Usage
For Research Use Only. Not for use in diagnostic or therapeutic procedures.

Customer Reviews and Q&A

 Customer Reviews

There are currently no reviews for this product.

Submit a Review here

Target Background

Function
Variant histone H2A which replaces conventional H2A in a subset of nucleosomes where it represses transcription. Nucleosomes wrap and compact DNA into chromatin, limiting DNA accessibility to the cellular machineries which require DNA as a template. Histones thereby play a central role in transcription regulation, DNA repair, DNA replication and chromosomal stability. DNA accessibility is regulated via a complex set of post-translational modifications of histones, also called histone code, and nucleosome remodeling. Involved in stable X chromosome inactivation. Inhibits the binding of transcription factors, including NF-kappa-B, and interferes with the activity of remodeling SWI/SNF complexes. Inhibits histone acetylation by EP300 and recruits class I HDACs, which induces a hypoacetylated state of chromatin.; Binds ADP-ribose and O-acetyl-ADP-ribose, and may be involved in ADP-ribose-mediated chromatin modulation. Increases the expression of genes involved in redox metabolism, including SOD3.; Represses SOD3 gene expression.
Gene References into Functions
  1. This article points to a splicing-regulated, proto-oncogenic role for the macroH2A1.2 variant and suggests manipulation of macroH2A1.2 expression as a potential therapeutic means to interfere with tumorigenesis. PMID: 29249653
  2. The Skp2-mH2A1-CDK8 axis has a critical role in breast cancer development via dysregulation of the G2/M transition, polyploidy, cell growth dysregulation, and loss of tumor suppression. PMID: 25818643
  3. We show that composite nucleosomes containing mH2A and NRF-1 are stably positioned on gene regulatory regions and can buffer transcriptional noise associated with antiviral responses PMID: 25959814
  4. High MacroH2A1 expression is associated with epigenetic markers for activation of lipogenic genes in fat-induced steatosis. PMID: 25526730
  5. macroH2A1.1 expression correlates with poor survival of triple-negative breast cancer patients PMID: 24911873
  6. MacroH2A1.1 and PARP-1 cooperate to regulate transcription by promoting CBP-mediated H2B acetylation. PMID: 25306110
  7. MacroH2A1 specifically recruits PELP1 to the promoters of macroH2A1 target genes, but macroH2A1 occupancy occurs independent of PELP1. This recruitment allows macroH2A1 and PELP1 to cooperatively regulate gene expression outcomes. PMID: 24752897
  8. The results demonstrate that macroH2A1 is a new factor involved in the regulation of rDNA transcription. PMID: 24071584
  9. macro histone variants (macroH2A) are expressed at low levels in stem cells and are up-regulated during differentiation PMID: 23595991
  10. Both macroH2A1 isoforms may play a role in hepatocellular carcinoma pathogenesis and may be considered as novel diagnostic markers for human hepatocellular carcinoma. PMID: 23372727
  11. MacroH2A1 splicing isoforms differentially regulate the transcription of a set of genes involved in redox metabolism. PMID: 23022728
  12. The histone variant macroH2A1.1 is recruited to DNA double-strand breaks through a mechanism involving PARP1. PMID: 23031826
  13. Within the macro domain of mH2A1.2, a trinucleotide insertion (-EIS-) sequence not found in mH2A1.1 was essential for the interaction between HER-2 and mH2A1.2 as well as mH2A1.2-induced HER-2 expression and cell proliferation. PMID: 22589551
  14. ATRX (alpha-thalassemia/MR, X-linked) is a novel macroH2A-interacting protein PMID: 22391447
  15. H2AFY is specifically overexpressed in the blood and frontal cortex of patients with Huntington disease compared with controls PMID: 21969577
  16. macroH2A can play either a positive or negative role in transcriptional regulation in a context-dependent manner. Additionally, macroH2A has been linked to the control of the cell cycle and cell proliferation. PMID: 20543561
  17. significant inverse correlation between mH2A and CDK8 expression levels exists in melanoma patient samples PMID: 21179167
  18. distributed during the maintainance phase of x inactivation throughout cell cycle PMID: 12082075
  19. MACROH2A1 deposition is regulated by the CULLIN3/SPOP ligase complex and is actively involved in stable X inactivation. PMID: 15897469
  20. A specific interaction between mH2A1.1 and PARP-1 was demonstrated and found to be associated with inactivation of PARP-1 enzymatic activity. PMID: 17158748
  21. multiple short sequences dispersed along the macroH2A1 histone domain individually supported enrichment on the inactive X chromosome when introduced into H2A PMID: 17570398
  22. A phosphorylation site, S137ph, was identified in mH2A1;S137ph is enriched in mitosis. PMID: 18227505
  23. expression of histone macroH2A1.1 and macroH2A2 predicts lung cancer recurrence. PMID: 19648962
  24. show that distinct macrodomains, including those of histone macroH2A1.1, are recruited to sites of PARP1 activation induced by laser-generated DNA damage. PMID: 19680243
  25. an unexpected role for macroH2A1 in the escape from heterochromatin-associated silencing and the enhancement of autosomal gene transcription PMID: 20008927

Show More

Hide All

Subcellular Location
Nucleus. Chromosome.
Tissue Specificity
Widely expressed.
Database Links

HGNC: 4740

OMIM: 610054

KEGG: hsa:9555

STRING: 9606.ENSP00000423563

UniGene: Hs.420272

icon of phone
Call us
301-363-4651 (Available 9 a.m. to 5 p.m. CST from Monday to Friday)
icon of address
Address
7505 Fannin St., Ste 610, Room 7 (CUBIO Innovation Center), Houston, TX 77054, USA
icon of social media
Join us with

Subscribe newsletter

Leave a message

* To protect against spam, please pass the CAPTCHA test below.
CAPTCHA verification
© 2007-2025 CUSABIO TECHNOLOGY LLC All rights reserved. 鄂ICP备15011166号-1
×
Place an order now

I. Product details

*
*
*
*

II. Contact details

*
*

III. Ship To

*
*
*
*
*
*
*

IV. Bill To

*
*
*
*
*
*
*
*