ICAM3 Recombinant Monoclonal Antibody

Code CSB-RA097685A0HU
Size US$210
Order now
Image
  • Western Blot
    Positive WB detected in: Jurkat whole cell lysate(30µg)
    All lanes: ICAM 3 antibody at 1:1000
    Secondary
    Goat polyclonal to rabbit IgG at 1/40000 dilution
    Predicted band size: 60 kDa
    Observed band size: 130 kDa
    Exposure time:1min
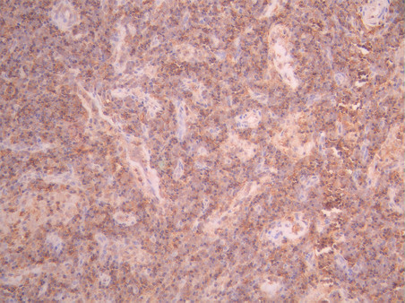
  • IHC image of CSB-RA097685A0HU diluted at 1:100 and staining in paraffin-embedded human lymph node tissue performed on a Leica BondTM system. After dewaxing and hydration, antigen retrieval was mediated by high pressure in a citrate buffer (pH 6.0). Section was blocked with 10% normal goat serum 30min at RT. Then primary antibody (1% BSA) was incubated at 4°C overnight. The primary is detected by a Goat anti-rabbit polymer IgG labeled by HRP and visualized using 0.05% DAB.
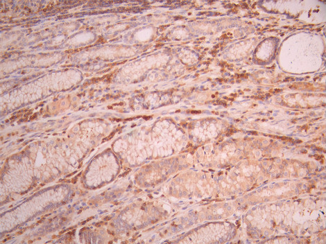
  • IHC image of CSB-RA097685A0HU diluted at 1:100 and staining in paraffin-embedded human gastric cancer performed on a Leica BondTM system. After dewaxing and hydration, antigen retrieval was mediated by high pressure in a citrate buffer (pH 6.0). Section was blocked with 10% normal goat serum 30min at RT. Then primary antibody (1% BSA) was incubated at 4°C overnight. The primary is detected by a Goat anti-rabbit polymer IgG labeled by HRP and visualized using 0.05% DAB.
Have Questions? Leave a Message or Start an on-line Chat

Product Details

Uniprot No.
Target Names
ICAM3
Alternative Names
CD50 antibody; CDW 50 antibody; CDw50 antibody; ICAM 3 antibody; ICAM-3 antibody; ICAM-R antibody; ICAM3 antibody; ICAM3_HUMAN antibody; ICAMR antibody; Intercellular adhesion molecule 3 antibody
Species Reactivity
Human
Immunogen
A synthesized peptide from human ICAM3 protein
Immunogen Species
Homo sapiens (Human)
Conjugate
Non-conjugated
Clonality
Monoclonal
Isotype
Rabbit IgG
Clone No.
5D1
Purification Method
Affinity-chromatography
Concentration
It differs from different batches. Please contact us to confirm it.
Buffer
Rabbit IgG in 10mM phosphate buffered saline , pH 7.4, 150mM sodium chloride, 0.05% BSA, 0.02% sodium azide and 50% glycerol.
Form
Liquid
Tested Applications
ELISA, WB, IHC
Recommended Dilution
Application Recommended Dilution
WB 1:500-1:5000
IHC 1:50-1:200
Troubleshooting and FAQs
Storage
Upon receipt, store at -20°C or -80°C. Avoid repeated freeze.
Lead Time
Basically, we can dispatch the products out in 1-3 working days after receiving your orders. Delivery time maybe differs from different purchasing way or location, please kindly consult your local distributors for specific delivery time.
Usage
For Research Use Only. Not for use in diagnostic or therapeutic procedures.

Customer Reviews and Q&A

 Customer Reviews

There are currently no reviews for this product.

Submit a Review here

Target Background

Function
ICAM proteins are ligands for the leukocyte adhesion protein LFA-1 (integrin alpha-L/beta-2). ICAM3 is also a ligand for integrin alpha-D/beta-2. In association with integrin alpha-L/beta-2, contributes to apoptotic neutrophil phagocytosis by macrophages.
Gene References into Functions
  1. exploration of the underlying mechanism demonstrated that ICAM3 not only binds to LFA-1 with its extracellular domain and structure protein ERM but also to lamellipodia with its intracellular domain which causes a tension that pulls cells apart (metastasis). PMID: 29729315
  2. Increased expression of PECAM-1, ICAM-3, and VCAM-1 in colonic biopsies from patients with inflammatory bowel disease (IBD) in clinical remission is associated with subsequent flares; this suggests that increases in the expression of these proteins may be early events that lead to flares in patients with IBD PMID: 27552332
  3. ICAM3 acts as recognition receptors in the phagocytosis portals of macrophages for engulfment of apoptotic neutrophils. PMID: 23775590
  4. this data clearly indicate that ICAM-3 promotes drug resistance via inhibition of apoptosis. PMID: 24177012
  5. Intercellular adhesion molecule (ICAM)-3 mRNA is upregulated in non-adherent endothelial forming cells. PMID: 23144795
  6. Results indicate that the ICAM-3 gene promoter is negatively regulated by RUNX3. PMID: 22479382
  7. analysis of activated apoptotic cells induce dendritic cell maturation via engagement of Toll-like receptor 4 (TLR4), dendritic cell-specific intercellular adhesion molecule 3 (ICAM-3)-grabbing nonintegrin (DC-SIGN), and beta2 integrins PMID: 22396536
  8. ICAM-3 may be an important adhesion molecule involved in chemotaxis to apoptotic human leukocytes. PMID: 22117198
  9. the molecular basis of allergen-induced Th2 cell polarization PMID: 22205703
  10. the cross-talk between neutrophils and NK cells is mediated by ICAM-3 and CD11d/CD18, respectively. PMID: 21712539
  11. Single nucleotide polymorphisms in ICAM3 gene is associated with lymphoma. PMID: 21239057
  12. induction of morphological polarization in primary T lymphocytes and Jurkat cells enhances Kidins220/ARMS colocalization with ICAM-3 PMID: 21381019
  13. CCR1 antagonist, BX471, did not significantly alter ICAM-3 expression in relapsing-remitting multiple sclerosis patients. PMID: 20086017
  14. ICAM-3 enhances the migratory and invasive potential of human non-small cell lung cancer cells by inducing MMP-2 and MMP-9 via Akt and CREB PMID: 19956847
  15. no significant risk association was found for SARS infection for the ICAM-3 Asp143Gly SNP. PMID: 19801714
  16. A novel serine-rich motif in the intercellular adhesion molecule 3 is critical for its ezrin/radixin/moesin-directed subcellular targeting PMID: 11784723
  17. identification of DC-SIGN binding sites PMID: 11799126
  18. interactions with DC-SIGN does not promote DC-SIGN mediated HIV-1 transmission PMID: 12021323
  19. Expression of DC-SIGN and its ligand, ICAM-3, is found in substantial amounts only in RA synovium, suggesting that their interaction is implicated in the additional activation of synovial macrophages that leads to the production of EMMPRIN and MMP-1. PMID: 12571844
  20. ICAM-3 is highly expressed on the surface of human eosinophils and has a role in the downregulation of GM-CSF production. PMID: 12743567
  21. Relationship of intercellular adhesion molecule-3 and hepatocyte growth factor with amyloidosis A in chronic renal-failure patients. There was a higher density of intercellular adhesion molecule-3-positive cells in the patients with amyloidosis A. PMID: 14704632
  22. ICAM-3 is expressed on human bone marrow endothelial cells and controls endothelial integrity via reactive oxygen species-dependent signaling. PMID: 14726630
  23. acts as a costimulating molecule to increase HIV-1 transcription and viral replication, a process allowing productive infection of quiescent CD4+ T lymphocytes. PMID: 15163761
  24. Expression of ICAM-3 can be used as a valuable biomarker to predict the radiation resistance in cervical cancer that occurs during radiotherapy. PMID: 15880373
  25. The results suggest that ICAM-3 assists in the interaction of granulocytes with DC-SIGN of dendritic cells. PMID: 17145745
  26. Patients with SARS homozygous for ICAM3 Gly143 showed significant association with higher lactate dehydrogenase levels and lower total white blood cell counts. PMID: 17570115
  27. This is the first case of CD20 positive mycosis fungoides involving a lymph node to be reported in the literature. PMID: 18261116
  28. extended alpha(L)beta(2) with an open headpiece is required for ICAM-3 adhesion PMID: 18354203

Show More

Hide All

Subcellular Location
Membrane; Single-pass type I membrane protein.
Protein Families
Immunoglobulin superfamily, ICAM family
Tissue Specificity
Leukocytes.
Database Links

HGNC: 5346

OMIM: 146631

KEGG: hsa:3385

STRING: 9606.ENSP00000160262

UniGene: Hs.654563

icon of phone
Call us
301-363-4651 (Available 9 a.m. to 5 p.m. CST from Monday to Friday)
icon of address
Address
7505 Fannin St., Ste 610, Room 7 (CUBIO Innovation Center), Houston, TX 77054, USA
icon of social media
Join us with

Subscribe newsletter

Leave a message

* To protect against spam, please pass the CAPTCHA test below.
CAPTCHA verification
© 2007-2025 CUSABIO TECHNOLOGY LLC All rights reserved. 鄂ICP备15011166号-1
×
Place an order now

I. Product details

*
*
*
*

II. Contact details

*
*

III. Ship To

*
*
*
*
*
*
*

IV. Bill To

*
*
*
*
*
*
*
*