IFIH1 Recombinant Monoclonal Antibody

Code CSB-RA254201A0HU
Size US$210
Order now
Image
  • Immunocytochemical staining of HepG2 cells with IFIH1 antibody. Nuclei were stained blue with DAPI; IFIH1 was stained magenta with Alexa Fluor® 647. Images were taken using Leica stellaris 5. Protein abundance based on laser Intensity and smart gain: Medium. Scale bar, 20 μm.
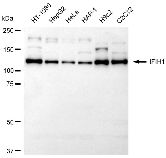
  • Western blotting analysis using IFIH1 antibody. Total cell lysates (30 μg) from various cell lines were loaded and separated by SDS-PAGE. The blot was incubated with IFIH1 antibody and HRP-conjugated goat anti-rabbit secondary antibody respectively.
Have Questions? Leave a Message or Start an on-line Chat

Product Details

Uniprot No.
Target Names
Alternative Names
IFIH1; Interferon Induced With Helicase C Domain 1; MDA-5; MDA5; Helicard; IDDM19; Interferon-Induced Helicase C Domain-Containing Protein 1; Clinically Amyopathic Dermatomyositis Autoantigen 140 KDa; Melanoma Differentiation-Associated Protein 5; Melanoma Differentiation-Associated Gene 5; RNA Helicase-DEAD Box Protein 116; Murabutide Down-Regulated Protein; Helicase With 2 CARD Domains; RIG-I-Like Receptor; CADM-140 Autoantigen; RLR-2; Hlcd; Interferon-Induced With Helicase C Domain Protein 1; DEAD/H (Asp-Glu-Ala-Asp/His) Box Polypeptide; EC 3.6.4.13; SGMRT1; IMD95; RH116; AGS7; HLCD
Species Reactivity
Human, Mouse, Rat
Immunogen
Recombinant Human IFIH1 protein
Immunogen Species
Homo sapiens (Human)
Conjugate
Non-conjugated
Clonality
Monoclonal
Isotype
Rabbit IgG
Clone No.
1E11
Purification Method
Affinity-chromatography
Concentration
It differs from different batches. Please contact us to confirm it.
Buffer
Rabbit IgG in PBS (pH 7.4) containing 50% glycerol, and 0.02% sodium azide.
Form
Liquid
Tested Applications
ELISA, WB, ICC
Recommended Dilution
Application Recommended Dilution
WB 1:1000-1:5000
ICC 1:100-1:1000
Troubleshooting and FAQs
Storage
Upon receipt, store at -20°C or -80°C. Avoid repeated freeze.
Lead Time
Basically, we can dispatch the products out in 1-3 working days after receiving your orders. Delivery time maybe differs from different purchasing way or location, please kindly consult your local distributors for specific delivery time.
Usage
For Research Use Only. Not for use in diagnostic or therapeutic procedures.

Customer Reviews and Q&A

 Customer Reviews

There are currently no reviews for this product.

Submit a Review here

Target Background

Function
Innate immune receptor which acts as a cytoplasmic sensor of viral nucleic acids and plays a major role in sensing viral infection and in the activation of a cascade of antiviral responses including the induction of type I interferons and proinflammatory cytokines. Its ligands include mRNA lacking 2'-O-methylation at their 5' cap and long-dsRNA (>1 kb in length). Upon ligand binding it associates with mitochondria antiviral signaling protein (MAVS/IPS1) which activates the IKK-related kinases: TBK1 and IKBKE which phosphorylate interferon regulatory factors: IRF3 and IRF7 which in turn activate transcription of antiviral immunological genes, including interferons (IFNs); IFN-alpha and IFN-beta. Responsible for detecting the Picornaviridae family members such as encephalomyocarditis virus (EMCV) and mengo encephalomyocarditis virus (ENMG). Detects coronavirus SARS-CoV-2. Can also detect other viruses such as dengue virus (DENV), west Nile virus (WNV), and reovirus. Also involved in antiviral signaling in response to viruses containing a dsDNA genome, such as vaccinia virus. Plays an important role in amplifying innate immune signaling through recognition of RNA metabolites that are produced during virus infection by ribonuclease L (RNase L). May play an important role in enhancing natural killer cell function and may be involved in growth inhibition and apoptosis in several tumor cell lines.
Gene References into Functions
  1. RIG-I and MDA5 receptor sensing of host non-coding RNAs facilitates the cell-intrinsic immune response to Kaposi's sarcoma-associated herpesvirus infection. PMID: 30451863
  2. Melanoma differentiation-associated gene 5 (MDA5) is a recently described autoantigen target in a subset of patients with dermatomyositis. Anti-MDA5 dermatomyositis is characterized by a unique mucocutaneous and systemic phenotype PMID: 29229575
  3. genetic association studies in population of children in Hungary: Data suggest that a genetic polymorphism in IFIH1 (rs1990760) is associated with seasonal variation in onset of type 1 diabetes in population studied; this polymorphism in IFIH1 may contribute to manifestation of type 1 diabetes primarily in summer. PMID: 28929635
  4. Anti-MDA5 antibody helps in the diagnosis of dermatomyositis, predicting cutaneous, musculoskeletal and pulmonary manifestations. PMID: 29380533
  5. Engineered Oncolytic Poliovirus PVSRIPO Subverts MDA5-Dependent Innate Immune Responses in Cancer Cells. PMID: 29997212
  6. This work validates the significant role of MDA5 in IFN signaling and HCV infection and proposes the first lncRNA inhibiting HCV replication by promoting the activation of MDA5 and mediating the association between MDA5 and HCV RNA, the study of which may shed light on the MDA5 function and treatment for hepatitis C patients. PMID: 29899107
  7. anti-MDA5 antibody related to muscle weakness, Gottron's sign or papules, mechanic's hand, V rash, skin ulcers, panniculitis, alopecia, arthritis/arthralgia, pneumomediastinum, and elevated CK in patients with dermatomyositis [meta-analysis] PMID: 28983955
  8. the identification of a pathogen-restricted immunodeficiency due to loss-of-function variants in IFIH1, which result in defective innate recognition of RNA viruses, preventing the activation of an efficient antiviral IFN response. PMID: 28716935
  9. The connection between the rs1990760 polymorphism and the expression level of type III IFNs. PMID: 28000722
  10. Oncostatin M induces RIG-I and MDA5 expression and enhances the double-stranded RNA response in fibroblasts. PMID: 28560754
  11. data highlight new function of ARRDC4 in innate immunity, contributing to the better understanding about regulation of MDA5 activation after EV71 infection, and also suggest ARRDC4 may serve as a potential target for intervention of EV71-induced inflammatory response. PMID: 28594402
  12. Both diseases (Neuroinflammation and the Singleton-Merten Syndrome) are part of the interferonopathy grouping and that the Arg822Gln mutation in IFIH1 can cause a spectrum of disease, including neurological involvement. PMID: 28475458
  13. Knockdown of PBRM1 in colon cancer cells increased the expression of two receptor genes (RIG-I and MDA5) and upregulated interferon (IFN)-related and inflammation-related gene signatures. PMID: 28940253
  14. Dengue virus infection of human dendritic cells drives follicular T helper cells formation via crosstalk of RIG-I and MDA5. PMID: 29186193
  15. study revealed that encapsidation of DI-RNA (defective interfering genomes) molecules within the measles virus nucleocapsid abolished their immunoactive properties. identified specific interactions of DI-RNAs with both RIG-I and LGP2 but not MDA5. PMID: 28768856
  16. An up-regulation of type I IFN-induced gene transcripts in all 5 patients tested and a heterozygous gain-of-function mutation in IFIH1 in each family were discovered in families with a Singleton-Merten syndrome phenotype. PMID: 28605144
  17. Data indicate autosomal recessive, homozygous MDA5 encoding gene IFIH1 mutation in the proband, and both parents and a brother were carriers of this mutation. PMID: 28606988
  18. this study shows that PACT facilitates RNA-induced formation of MDA5 oligomers in response to viruses PMID: 28760879
  19. Human peripheral blood mononuclear cells (PBMCs) and cell lines expressing the risk variant IFIH1(T946) exhibited heightened basal and ligand-triggered production of type I interferons. PMID: 28553952
  20. Mechanistically, West Nile virus NS1 targets RIG-I and melanoma differentiation-associated gene 5 (MDA5) by interacting with them and subsequently causing their degradation by the proteasome. PMID: 28659477
  21. The rare variant rs35667974, encoding an Ile923Val amino acid change in the IFIH1 gene protein product, is protective for psoriatic arthritis. PMID: 28501801
  22. This would suggest that the change in IP-10 is genotypically driven, while the change in IL-6 may be reflective of systemic lupus erythematosus (SLE) transition status. These data suggest that IFIH1 may contribute to SLE pathogenesis via altered inflammatory mechanisms. PMID: 28234905
  23. dynamic sumoylation and desumoylation of MDA5 and RIG-I modulate efficient innate immunity to RNA virus and its timely termination. PMID: 28250012
  24. GPATCH3 negatively regulates both RIG-I- and MDA5-mediated signaling. PMID: 28414768
  25. Data support a new model where an LGP2-MDA5 oligomer shuttles NS3 to the mitochondria to block antiviral signaling PMID: 28483922
  26. MDA-5 stimulation leads to endothelial dysfunction. PMID: 27130701
  27. LGP2 plays an essential role in activating interferon signaling against hepatitis C virus (HCV) infection by promoting MDA5 recognition of HCV pathogen-associated molecular patterns. PMID: 28090671
  28. These data confirm the pathogenicity of IFIH1 c.2465G>A p.(Arg822Gln) for Singleton-Merten syndrome and affirm the striking phenotypic heterogeneity of this disorder PMID: 28319323
  29. RNAs isolated from HCV-replicating cells triggered robust IFN-beta and IFN-lambda production through MDA5. PMID: 27655134
  30. meta-analysis of peer-reviewed articles from 2008 to 2015 and data from this study indicated an association between rs1990760 and Systemic lupus erythematosus (SLE) onset . This is the first association analysis on IFIH1 polymorphisms and SLE susceptibility in Brazilian populations. PMID: 27813554
  31. This study reviewed that Neurologic Phenotypes Associated with Mutations in IFIH1 in patients with Aicardi-Goutieres Syndrome. PMID: 27643693
  32. We provide herein the results of pathological examination including detailed description of the neuropathological hallmarks. To our knowledge, this the first detailed clinico-pathological description of a patient with an IFIH1 pathogenic variant. PMID: 26833990
  33. Our findings indicate that although STAT4 and IFIH1 SNPs are not associated with T1D in a Brazilian population, they might play a role in susceptibility to T1D on a larger worldwide scale PMID: 26782418
  34. Results describe a family with gain of function mutation associated with cutaneous manifestations of Aicardi-Goutieres and Singleton-Merten syndromes PMID: 26284909
  35. These results showed that mRNA levels of MDA5 and RIG-1 were significantly decreased and increased, respectively, in chronic hepatitis B patients when compared to healthy controls. PMID: 26485346
  36. Findings indicate that melanoma differentiation associated protein-5 (MDA5) may serve as a complementary role in the toll-like receptor3 (TLR3) activated suppression of neuroblastoma (NB). PMID: 26208481
  37. The MDA5 knockdown had no significant impact on the phosphorylation of eukaryotic translation initiation factor 2alpha triggered by CCCP, and MDA5 itself was not recruited to SGs, and the regulation of MDA5 in the SG response occurs downstream of eIF2alpha. PMID: 26351918
  38. A significantly higher frequency of anti-melanoma differentiation-associated gene 5 (MDA5) antibodies was observed in Chinese patients with polymyositis/dermatomyositis (PM/DM) than in Japanese patients. PMID: 25903820
  39. MDA5 mediates neuroprotection against cerebral ischemic injury. PMID: 26564103
  40. discusses the different risk and protective IFIH1 alleles in the context of recent structural and functional analysis that relate to MDA5 regulation of interferon responses PMID: 26385483
  41. The study proposes that the turnover kinetics of the ATPase domain enables the discrimination of self/non-self RNA by both RIG-I and MDA5. PMID: 26215161
  42. This review briefly summarizes the RLR system, and focuses on the relationship between LGP2 and MDA5, describing in detail how these two proteins work together to detect foreign RNA and generate a fully functional antiviral response. PMID: 25794939
  43. Single nucleotide polymorphism in IFIH1 gene is associated with type 1 diabetes. PMID: 25042601
  44. the ectopic expression of RIOK3 or a phosphomimetic MDA5-S828D mutation attenuated MDA5-mediated signaling. PMID: 25865883
  45. As a receptor for viral RNA, MDA5 until now has been linked to antiviral host defense, but these novel studies show unexpected effects in antifungal immunity as well. PMID: 25579795
  46. MDA5 plays important role in sensing HCV infection to trigger interferon response. PMID: 25463548
  47. L region antisense RNA of EMCV is a key determinant of innate immunity to the virus and represents an RNA that activates LGP2 associated MDA5 in virally-infected cells. PMID: 24550253
  48. These data demonstrate that EFTUD2 restricts Hepatitis C Virus infection mainly through an RIG-I/MDA5-mediated, JAK-STAT-independent pathway, thereby revealing the participation of EFTUD2 as a novel innate immune regulator. PMID: 25878102
  49. There is an association of the IFIH1 locus with susceptibility to type 1 diabetes mellitus in the Polish population. PMID: 25515714
  50. Data indicate that pattern recognition receptors RIG-I and MDA5 displace viral proteins bound to dsRNA in an ATP-dependent manner. PMID: 25891073

Show More

Hide All

Involvement in disease
Diabetes mellitus, insulin-dependent, 19 (IDDM19); Aicardi-Goutieres syndrome 7 (AGS7); Singleton-Merten syndrome 1 (SGMRT1)
Subcellular Location
Cytoplasm. Nucleus. Mitochondrion. Note=Upon viral RNA stimulation and ISGylation, translocates from cytosol to mitochondrion. May be found in the nucleus, during apoptosis.
Protein Families
Helicase family, RLR subfamily
Tissue Specificity
Widely expressed, at a low level. Expression is detected at slightly highest levels in placenta, pancreas and spleen and at barely levels in detectable brain, testis and lung.
Database Links

HGNC: 18873

OMIM: 182250

KEGG: hsa:64135

STRING: 9606.ENSP00000263642

UniGene: Hs.163173

icon of phone
Call us
301-363-4651 (Available 9 a.m. to 5 p.m. CST from Monday to Friday)
icon of address
Address
7505 Fannin St., Ste 610, Room 7 (CUBIO Innovation Center), Houston, TX 77054, USA
icon of social media
Join us with

Subscribe newsletter

Leave a message

* To protect against spam, please pass the CAPTCHA test below.
CAPTCHA verification
© 2007-2025 CUSABIO TECHNOLOGY LLC All rights reserved. 鄂ICP备15011166号-1
×
Place an order now

I. Product details

*
*
*
*

II. Contact details

*
*

III. Ship To

*
*
*
*
*
*
*

IV. Bill To

*
*
*
*
*
*
*
*