JAG1 Recombinant Monoclonal Antibody

Code CSB-RA272247A0HU
Size US$210
Order now
Image
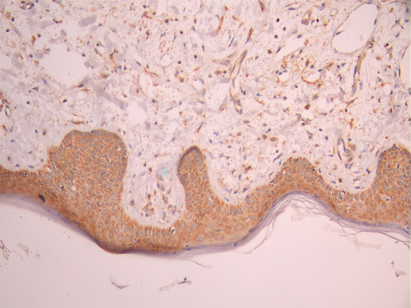
  • IHC image of CSB-RA272247A0HU diluted at 1:100 and staining in paraffin-embedded human skin tissue performed on a Leica BondTM system. After dewaxing and hydration, antigen retrieval was mediated by high pressure in a citrate buffer (pH 6.0). Section was blocked with 10% normal goat serum 30min at RT. Then primary antibody (1% BSA) was incubated at 4°C overnight. The primary is detected by a Goat anti-rabbit polymer IgG labeled by HRP and visualized using 0.05% DAB.
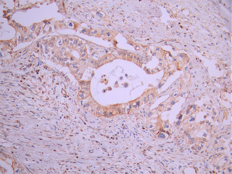
  • IHC image of CSB-RA272247A0HU diluted at 1:100 and staining in paraffin-embedded human pancreatic cancer performed on a Leica BondTM system. After dewaxing and hydration, antigen retrieval was mediated by high pressure in a citrate buffer (pH 6.0). Section was blocked with 10% normal goat serum 30min at RT. Then primary antibody (1% BSA) was incubated at 4°C overnight. The primary is detected by a Goat anti-rabbit polymer IgG labeled by HRP and visualized using 0.05% DAB.
Have Questions? Leave a Message or Start an on-line Chat

Product Details

Uniprot No.
Target Names
Alternative Names
AGS antibody; AHD antibody; AWS antibody; CD 339 antibody; CD339 antibody; CD339 antigen antibody; Headturner antibody; hJ1 antibody; Htu antibody; Jag 1 antibody; Jag1 antibody; JAG1_HUMAN antibody; Jagged 1 antibody; Jagged1 (Alagille syndrome) antibody; Jagged1 antibody; JAGL1 antibody; MGC104644 antibody; OTTHUMP00000030278 antibody; Protein jagged-1 antibody; Ser 1 antibody; Ser1 antibody; Serrate 1 antibody; Slalom antibody
Species Reactivity
Human
Immunogen
A synthesized peptide from human JAG1 protein
Immunogen Species
Homo sapiens (Human)
Conjugate
Non-conjugated
Clonality
Monoclonal
Isotype
Rabbit IgG
Clone No.
17G12
Purification Method
Affinity-chromatography
Concentration
It differs from different batches. Please contact us to confirm it.
Buffer
Rabbit IgG in 10mM phosphate buffered saline , pH 7.4, 150mM sodium chloride, 0.05% BSA, 0.02% sodium azide and 50% glycerol.
Form
Liquid
Tested Applications
ELISA, IHC
Recommended Dilution
Application Recommended Dilution
IHC 1:50-1:200
Troubleshooting and FAQs
Storage
Upon receipt, store at -20°C or -80°C. Avoid repeated freeze.
Lead Time
Basically, we can dispatch the products out in 1-3 working days after receiving your orders. Delivery time maybe differs from different purchasing way or location, please kindly consult your local distributors for specific delivery time.
Usage
For Research Use Only. Not for use in diagnostic or therapeutic procedures.

Customer Reviews and Q&A

 Customer Reviews

There are currently no reviews for this product.

Submit a Review here

Target Background

Function
Ligand for multiple Notch receptors and involved in the mediation of Notch signaling. May be involved in cell-fate decisions during hematopoiesis. Seems to be involved in early and late stages of mammalian cardiovascular development. Inhibits myoblast differentiation. Enhances fibroblast growth factor-induced angiogenesis (in vitro).
Gene References into Functions
  1. We observe similar stapes defects and hearing loss in one patient with heterozygous JAGGED1 loss, and a diversity of conductive and sensorineural hearing loss in nearly half of Alagille Syndrome patients, many of which carry JAGGED1 mutations PMID: 28566723
  2. MFNG imposes a negative correlation between Jag1 and Notch, being high Jag1 in the absence of MFNG predictive of poor prognosis. PMID: 30065304
  3. MiR-26b-5p acts as a tumor suppressor through suppressing cells proliferation and inducing cells apoptosis via directly targeting JAG1 in multiple myeloma PMID: 30098829
  4. miR-30d may improve TGF-beta1-induced pulmonary fibrosis through direct binding to the 3'UTR of JAG1 and blocking JAG1/Notch signaling PMID: 30029934
  5. these two lossoffunction JAG1 mutations may be associated with Alagille syndrome manifestations in these patients PMID: 29956768
  6. Results provide evidence that JAG1 is downregulated by microRNA-128 binding its 3'UTR in glioma cells. PMID: 29091297
  7. The demonstration that miR-124 inhibits gastric cancer cell growth supports the concept that miR-124 functions as a tumor suppressor by a mechanism that involves translational repression of the JAG1 and the inhibition of Notch signaling pathway. PMID: 28941308
  8. The c.765C>T JAG1 variant is significantly associated with the pathogenesis of tetralogy of Fallot in the Iranian population. PMID: 29631691
  9. Vascular smooth muscle cells were cyclically stretched on flexible membranes, as quantified via video tracking, demonstrating that the expression of Jagged1, Notch3, and target genes was down-regulated with strain. PMID: 29610298
  10. This study identifies the unique role of JAG1-induced Notch activation in the pathogenesis of multiple myeloma PMID: 29242532
  11. is an autosomal dominant disorder found to be linked to the Notch ligand JAG1.5 Approximately 90 percent of patients presenting with Alagille Syndrome have a mutation on the JAG1 gene that is located on chromosome 20p12. PMID: 29185945
  12. These data indicate a process of NF-kappaB-induced miR-506 suppression and JAG1 upregulation upon IL-1beta induction. PMID: 28926924
  13. In subjects with Alagille syndrome, incomplete clinical features of Alagille syndrome and biliary atresia, the frequency of mutations was as follows: single nucleotide variants (51.9%), small insertion or deletion (29.6%) and gross deletion (18.5%). PMID: 28695677
  14. The Jagged1-Notch pathway showed elevated expression in AI-resistant breast cancer cells, resulting in macrophage differentiation towards M2 TAMs and there contributing to the acquisition of AI resistance. PMID: 28730338
  15. Data show that Delta-like 4 (DLL4) and Jagged1 (JAG1) displayed equal potency in stimulating Notch target genes in HMEC-1 dermal microvascular endothelial cells but had opposing effects on sprouting angiogenesis in vitro. PMID: 28445154
  16. Missense mutant of Jag1 (Jag1(Ndr)) disrupts bile duct development and is responsible for Alagille syndrome phenotypes in heart, eye, and craniofacial dysmorphology. PMID: 29162437
  17. JAG1 was demonstrated to be a novel target of miR1405p, and miR1405p exerted its inhibitory effect on human glioma growth and invasion, partly by suppressing JAG1. PMID: 28713992
  18. miR-141 may serve as an antioncomir in GSCs and markedly inhibit their self-renewal via downregulating Jagged1 expression levels in vitro and in vivo. PMID: 28535010
  19. HIF1A potentiates Jagged 1-mediated angiogenesis by mesenchymal stem cell-derived exosomes. PMID: 28376567
  20. the Notch signaling and atherosclerosis relevant markers in lesions from femoral arteries of symptomatic peripheral artery disease patients, were characterized. PMID: 28472949
  21. Lower positive expression rate of RUNX3 and higher positive expression rate of Notch1 and Jagged 1 were observed in CRC tissues than those in normal adjacent tissues with a negative correlation, and the expression levels were associated with the differentiation degree, TNM staging, lymph node metastasis and tumor invasion depth (all P<0.05). PMID: 28498402
  22. These findings imply that miR-199b-5p performs an inhibitory role in osteogenic differentiation in ligamentum flavum cells by potentially targeting JAG1 and influencing the Notch signalling pathway. PMID: 27957826
  23. A three-molecule score based on the expression of Notch pathway molecules: Jagged1, intracellular Notch1 (ICN1) and Hes1 (JIH score) to assess prognostic value in non-metastasis clear cell renal cell carcinoma (ccRCC). PMID: 27612417
  24. Jagged1 (JAG1) thymic medullary niche enriched for dendritic cells (DC)-lineage cells expressing Notch receptors indicate thymus as a DC-poietic organ, which provides selective microenvironments permissive for DC development. PMID: 28947612
  25. Positive Jagged1 and DLL4 expression is closely correlated with severe clinicopathological characteristics and poor prognosis in patients with gallbladder cancers. PMID: 27174628
  26. Data indicate that jagged 1 protein (JAG1)-mediated Notch signaling regulates differentiation of basal cells (BC) into secretory cells. PMID: 27216293
  27. these results show that the Notch signaling pathway in T cells is crucial for the induction of TH2-mediated allergic airway inflammation in an house dust mite -driven asthma model but that expression of Jagged 1 or Jagged 2 on DCs is not required PMID: 28111308
  28. Bruceine D inhibits hepatocellular carcinoma growth by targeting beta-catenin/jagged1 signaling pathways. PMID: 28645563
  29. Results showed that JAG1 was significantly downregulated in miR-26a-overexpressing osteosarcoma cells and is a direct target of miR-26a. PMID: 27270422
  30. the effects of two Notch ligands, i.e., Jagged1 and DLL1, on murine and human hematopoiesis in vitro. Our observations indicate that the stromal expression of Notch ligands increases the production of both the total and phenotypically early murine and human hematopoietic cells in the co-culture. PMID: 28537242
  31. Specific Notch3 and Jag1 subcellular localization patterns may provide clues for the behavior of the corresponding tumors and could potentially be applied in the clinic for Jag1 targeting in triple-negative breast cancer patients. PMID: 28476798
  32. there is a cross-talk between Jagged1/Notch3 and VEGF in TNBC angiogenesis. Jagged1/Notch3 is expected to be an important signaling pathway for TNBC progression and a potential target for TNBC neovascularization therapy. PMID: 28625320
  33. Low levels of Notch pathway genes Notch1, Notch2, Notch4 and Jagged1 correlated with poor prognostic factors such as larger tumor size, positive lymph-node status, tumor phenotype and infiltrating tumor Treg cells. PMID: 27118257
  34. Human Jagged-1 induced the proliferation and differentiation of CD133+ cord blood progenitors compared with hDll-1. Thus, hJagged-1 signaling in the bone marrow niche may be used to expand EPCs for therapeutic angiogenesis PMID: 27846321
  35. By studying leprosy as a model, we provide evidence that upregulation of JAG1 on endothelium instructs monocytes to differentiate into M1 macrophages with antimicrobial activity. PMID: 27532668
  36. High Jag1 expression is associated with metastasis in colorectal cancer. PMID: 28161537
  37. amplification of Jagged1 contributed to mRNA expression that activates the Jagged1-Notch signaling pathway in liver cancer and led to poor outcome. PMID: 27315779
  38. Our data revealed that MALAT1 inhibited tongue cancer cell growth and metastasis through miR-124-dependent JAG1 regulation. In conclusion, we revealed that MALAT1 may play an oncogenic role by increasing proliferation and metastasis of tongue cancer and is a potential therapeutic target in human tongue cancer. PMID: 28260102
  39. Positive Jagged1 and DLL4 expression is closely correlated with severe clinicopathological characteristics and poor prognosis in patients with pancreatic ductal carcinoma. PMID: 27919854
  40. miR-199a-3p targets YAP1, downregulates Jagged1 and suppresses the Notch signaling to inhibit hepatocellular carcinoma (HCC) cell proliferation and promote apoptosis. These findings provide new insights into the mechanism by which miR-199a-3p suppresses HCC cell proliferation and induces apoptosis. PMID: 27832779
  41. Jagged1 activation of Notch3 resulted in a significant decrease in cell proliferation while concomitantly promoting Hemangioma-pericyte maturation. PMID: 27941324
  42. expression of JAG1 is regulated by various pathways and is associated with poor prognosis through promoting the epithelial to mesenchymal transition and cell proliferation or maintaining cell survival in colorectal cancer PMID: 27589478
  43. AGS is caused by mutations in one of two genes, namely, JAG1 or NOTCH2. These genes are part of the Notch signaling pathway, which is involved in cell fate determination. JAG1 mutations have been identified in 70-94% of individuals with clinically diagnosed AGS PMID: 25676721
  44. On complete gene sequencing of JAG1 gene as described before, the patient was shown to be heterozygous for a known pathogenic mutationc.270delG (p.C92AfsX69) in exon 2 PMID: 25596152
  45. JAG1 protein expression was significant positive correlation with lymph node metastasis, pathological grades invasive ductal carcinoma of breast.JAG1 gene methylation level in breast cancer. PMID: 26971121
  46. these findings demonstrate that 50 microM EGCG protects against ox-LDL-induced endothelial dysfunction through the Jagged-1/Notch signaling pathway. PMID: 26648562
  47. PKCalpha Attenuates Jagged-1-Mediated Notch Signaling in ErbB-2-Positive Breast Cancer to Reverse Trastuzumab Resistance PMID: 26350262
  48. Immunohistochemical panel of CDX2, p120ctn, c-Myc, and Jagged1 proteins would be to distinguish between low/high grade dysplasia in histologically challenging cases of Barrett's esophagus. PMID: 26926447
  49. High Jagged1 expression is associated with colorectal cancer. PMID: 26406415
  50. High Jagged1 expression is associated with Prostatic Intraepithelial Neoplasia. PMID: 26341090

Show More

Hide All

Involvement in disease
Alagille syndrome 1 (ALGS1); Tetralogy of Fallot (TOF)
Subcellular Location
Membrane; Single-pass type I membrane protein.
Tissue Specificity
Widely expressed in adult and fetal tissues. In cervix epithelium expressed in undifferentiated subcolumnar reserve cells and squamous metaplasia. Expression is up-regulated in cervical squamous cell carcinoma. Expressed in bone marrow cell line HS-27a wh
Database Links

HGNC: 6188

OMIM: 118450

KEGG: hsa:182

STRING: 9606.ENSP00000254958

UniGene: Hs.224012

icon of phone
Call us
301-363-4651 (Available 9 a.m. to 5 p.m. CST from Monday to Friday)
icon of address
Address
7505 Fannin St., Ste 610, Room 7 (CUBIO Innovation Center), Houston, TX 77054, USA
icon of social media
Join us with

Subscribe newsletter

Leave a message

* To protect against spam, please pass the CAPTCHA test below.
CAPTCHA verification
© 2007-2025 CUSABIO TECHNOLOGY LLC All rights reserved. 鄂ICP备15011166号-1
×
Place an order now

I. Product details

*
*
*
*

II. Contact details

*
*

III. Ship To

*
*
*
*
*
*
*

IV. Bill To

*
*
*
*
*
*
*
*