LIN28B Recombinant Monoclonal Antibody

Code CSB-RA961193A0HU
Size US$210
Order now
Image
  • Western Blot
    , Positive WB detected in:THP-1 whole cell lysate(30µg), HEK293 whole cell lysate(30µg)
    All lanes: Lin 28B antibody at 1:1000
    Secondary
    Goat polyclonal to rabbit IgG at 1/40000 dilution
    Predicted band size: 27 kDa
    Observed band size: 30 kDa
    Exposure time:120s
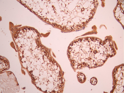
  • IHC image of CSB-RA961193A0HU diluted at 1:100 and staining in paraffin-embedded human placenta tissue performed on a Leica BondTM system. After dewaxing and hydration, antigen retrieval was mediated by high pressure in a citrate buffer (pH 6.0). Section was blocked with 10% normal goat serum 30min at RT. Then primary antibody (1% BSA) was incubated at 4°C overnight. The primary is detected by a Goat anti-rabbit polymer IgG labeled by HRP and visualized using 0.05% DAB.
  • Immunofluorescence staining of HepG2 cell with CSB-RA961193A0HU at 1:50 , counter-stained with DAPI. The cells were fixed in 4% formaldehyde, permeabilized using 0.2% Triton X-100 and blocked in 10% normal Goat Serum. The cells were then incubated with the antibody overnight at 4°C. The secondary antibody was Alexa Fluor 488-congugated AffiniPure Goat Anti-Rabbit IgG(H+L).
  • Overlay Peak curve showing HepG2 cells stained with CSB-RA961193A0HU (red line) at 1:100. The cells were fixed in 4% formaldehyde and permeated by 0.2% TritonX-100 for 10min. Then 10% normal goat serum to block non-specific protein-protein interactions followed by the antibody (1ug/1*106cells) for 45min at 4℃. The secondary antibody used was FITC-conjugated goat anti-rabbit IgG (H+L) at 1/200 dilution for 35min at 4℃.Control antibody (green line) was Rabbit IgG (1ug/1*106cells) used under the same conditions. Acquisition of >10, 000 events was performed.
Have Questions? Leave a Message or Start an on-line Chat

Product Details

Uniprot No.
Target Names
LIN28B
Alternative Names
CSDD 2 antibody; CSDD2 antibody; FLJ16517 antibody; Lin 28 homolog B (C. elegans) antibody; Lin 28.2 antibody; Lin-28B antibody; LIN28B antibody; LN28B_HUMAN antibody; Protein lin-28 homolog B antibody
Species Reactivity
Human
Immunogen
A synthesized peptide from human LIN28B protein
Immunogen Species
Homo sapiens (Human)
Conjugate
Non-conjugated
Clonality
Monoclonal
Isotype
Rabbit IgG
Clone No.
10G2
Purification Method
Affinity-chromatography
Concentration
It differs from different batches. Please contact us to confirm it.
Buffer
Rabbit IgG in 10mM phosphate buffered saline , pH 7.4, 150mM sodium chloride, 0.05% BSA, 0.02% sodium azide and 50% glycerol.
Form
Liquid
Tested Applications
ELISA, WB, IHC, IF, FC
Recommended Dilution
Application Recommended Dilution
WB 1:500-1:5000
IHC 1:50-1:200
IF 1:50-1:200
FC 1:50-1:200
Troubleshooting and FAQs
Storage
Upon receipt, store at -20°C or -80°C. Avoid repeated freeze.
Lead Time
Basically, we can dispatch the products out in 1-3 working days after receiving your orders. Delivery time maybe differs from different purchasing way or location, please kindly consult your local distributors for specific delivery time.
Usage
For Research Use Only. Not for use in diagnostic or therapeutic procedures.

Customer Reviews and Q&A

 Customer Reviews

There are currently no reviews for this product.

Submit a Review here

Target Background

Function
Suppressor of microRNA (miRNA) biogenesis, including that of let-7 and possibly of miR107, miR-143 and miR-200c. Binds primary let-7 transcripts (pri-let-7), including pri-let-7g and pri-let-7a-1, and sequester them in the nucleolus, away from the microprocessor complex, hence preventing their processing into mature miRNA. Does not act on pri-miR21. The repression of let-7 expression is required for normal development and contributes to maintain the pluripotent state of embryonic stem cells by preventing let-7-mediated differentiation. When overexpressed, recruits ZCCHC11/TUT4 uridylyltransferase to pre-let-7 transcripts, leading to their terminal uridylation and degradation. This activity might not be relevant in vivo, as LIN28B-mediated inhibition of let-7 miRNA maturation appears to be ZCCHC11-independent. Interaction with target pre-miRNAs occurs via an 5'-GGAG-3' motif in the pre-miRNA terminal loop. Mediates MYC-induced let-7 repression. When overexpressed, isoform 1 stimulates growth of the breast adenocarcinoma cell line MCF-7. Isoform 2 has no effect on cell growth.
Gene References into Functions
  1. In colon cancer cells, up-regulation of LIN28B increased BCL-2 expression, enhanced its stability and reduced its ubiquitination. PMID: 29669301
  2. Lin28B could facilitate gastric cancer stemness. PMID: 29787985
  3. downregulation of Lin28b by miR-125a partially accounts for its antiproliferative activity toward hepatocellular carcinoma cells. PMID: 29689270
  4. The effects of acetylated Lin28B on let-7a-1 and let-7g are similar to that of stable knockdown of Lin28B in H1299 cells. The new role of PCAF in mediating Lin28B acetylation and the specific release of its target microRNAs in H1299 cells may shed light on the potential application of let-7 in the clinical treatment of lung cancer patients PMID: 29301498
  5. High LIN28B is associated with cervical cancer. PMID: 29336272
  6. Data found that LIN28B expression is inhibited in hepatoma cells by miR-125b-5p promoting HBV replication. PMID: 28267418
  7. Studied the association between Lin28 homolog B (LIN28B) gene polymorphisms and Wilms tumor susceptibility in Chinese children. PMID: 28301057
  8. C allele frequency in rs314276 of LIN28B is associated with Central precocious puberty. PMID: 28525351
  9. Testing for a combination of elevated IMP3 and Lin28B levels could further facilitate the identification of a patient subgroup with the worst ovarian cancer prognosis. PMID: 26158423
  10. Lin28A and Lin28B are co-expressed colon cancer tissues and have functional similarities. PMID: 27793004
  11. LIN28B is over-expressed in specific subtypes of pediatric leukemia and regulates lncRNA H19. PMID: 26969084
  12. The study deciphered the essential role of Lin28B in the pathogenesis of epithelial-mesenchymal transition in idiopathic pulmonary fibrosis, and unraveled a novel mechanism that miR-26a is a modulator of let-7d. PMID: 26787543
  13. Targeting LIN28B in acute myeloid leukemia cells resulted in cell cycle arrest, inhibition of cell proliferation and colony formation, which was induced by de-repression of let-7a miRNA. On the other hand, overexpression of LIN28B promoted cell proliferation. PMID: 28693523
  14. common genetic variations (rs7759938 and rs314280) of LIN28B may contribute to idiopathic central precocious puberty susceptibility in Chinese girls PMID: 27304100
  15. these findings reveal that lncRNA H19, miRNA let-7 and transcriptional factor LIN28 form a double-negative feedback loop, which has a critical role in the maintenance of breast cancer stem cells. PMID: 28102845
  16. Authors show that mature Let-7 miRNAs are regulated during hESC differentiation and have opposite expression profile with LIN28B. Moreover, mature Let-7 miRNAs fine tune the expression levels of LIN28B protein in pluripotent hESCs, whereas silencing of LIN28 proteins have no effect on mature Let-7 levels. PMID: 27776272
  17. LIN28A and LIN28B play cooperative roles in regulating reprogramming, naive/primed pluripotency, and stem cell metabolism. PMID: 27320042
  18. The identification of the let-7/Lin28 axis as an important regulator of HSC activation as well as its upstream modulators and down-stream targets will provide insights into the involvement of altered microRNA expression in contributing to the pathogenesis of alcoholic liver fibrosis PMID: 28536261
  19. the LIN28B rs221634 A>T polymorphism was associated with an increased neuroblastoma risk in Southern Chinese children. PMID: 27021521
  20. Upregulation of let-7a carries the potential to reverse CCL18 induced cell proliferation and migration alteration in breast cancer cells by regulating Lin28 expression. PMID: 26898455
  21. LIN28B orchestrates oncogenic signaling in neuroblastoma. PMID: 26743584
  22. loss of SIRT6 results in hyperacetylation of H3K9 and H3K56 at the promoter of the LIN28B gene, creating a more permissive chromatin state and allowing for the Myc transcription factor to drive its expression PMID: 27180906
  23. Compared with NCMT samples from the same OSCC patient, the expression of Lin28B was increased in all of the tumor samples. A similar upregulation of Lin28B was also observed in LN metastatic when compared with local tumors. PMID: 25726847
  24. suggest that molecular subtypes of the LIN-28B/let-7a/IGF-II axis associate with heterogeneous progression PMID: 26751131
  25. let-7 disruption by LIN28B, MYCN sponging, or genetic loss is a unifying mechanism of neuroblastoma development with broad implications for cancer pathogenesis PMID: 27383785
  26. elevated LIN28B expression as a hallmark of a novel fetal-like subgroup in Juvenile myelomonocytic leukemia. PMID: 26712910
  27. Lin28B/let-7 pathway is tightly regulated by macroH2A1 PMID: 26028027
  28. Data show that RNA-binding protein LIN28B coordinates the expression of the oncogene RAN protein and aurora A kinase (AURKA) in neuroblastoma. PMID: 26481147
  29. Data implicate LIN28/RAS/MAP kinase as key drivers of tumorigenesis atypical teratoid rhabdoid tumors. PMID: 25638158
  30. The data implicate Lin28B as a novel oncogene in melanomagenesis by mediating a miRNA regulatory circuit. PMID: 26071398
  31. LIN28 and its regulatory microRNAs have roles in adult adrenocortical cancer PMID: 25200669
  32. A functional link between Lin28B and the uridylation pathway with a focus on let-7 metabolism in cancer cells. PMID: 26080928
  33. Lin28A and Lin28B enhance, whereas let-7 suppresses, aerobic glycolysis via targeting pyruvate dehydrogenase kinase 1, or PDK1. PMID: 25301052
  34. Expression of SUMO1/2/3 is dramatically enhanced by interferons through an miRNA-based mechanism involving the Lin28/let-7. PMID: 24942926
  35. rs221236 located at Lin28B may contribute to the risk of oral cavity cancer through the interruption of miRNA binding. PMID: 25503985
  36. LIN28B as an important effector of the MYCN oncogenic phenotype and underline the importance of MYCN-regulated miRNAs in establishing the MYCN-driven oncogenic process. PMID: 26123663
  37. LIN28B overexpression correlated with reduced patient survival and an increased likelihood of tumour recurrence.LIN28B overexpression contributes to colon tumourigenesis. PMID: 25360631
  38. Lin28B(high)-Let7(low) expression pattern was highly correlated with high levels of ARID3B, HMGA2, OCT4, and SOX2 expression in OSCC specimens. Results show how Lin28B/Let7 regulates key cancer stem-like properties in oral squamous cancers. PMID: 25858147
  39. Upregulation of LIN28B is associated with systemic mastocytosis. PMID: 25655194
  40. The study establishes that the ribonuclease DIS3, targeting LIN28B, sustains the maturation of let-7 miRNAs. PMID: 25925570
  41. These observations suggest that Lin28B:miR-212 may work as a regulatory loop in androgen-independent prostate cancer PMID: 25201220
  42. Our findings point to the prognostic role of Lin28B in gastric adenocarcinoma PMID: 25197381
  43. Overexpression of Lin28B was linked to poor differentiation, advanced-stage disease, and Ki67-positive status (all p<0.05). Lin28B expression was significantly different among breast cancer subtypes. PMID: 24885919
  44. reciprocal changes in the expression profiles of the gene encoding the RNA-binding protein, LIN28B, and the related miRNAs, Let-7a, mir-132 and mir-145, in early stages of human placentation PMID: 24498170
  45. miR-26a directly targets Lin28B and Zcchc11-two critical repressors of let-7 maturation. PMID: 24056962
  46. Human LIN28B overexpression is sufficient to initiate hepatoblastoma and hepatocellular carcinoma in murine models. PMID: 25117712
  47. Lin28B is a novel marker for predicting prognosis in patients with oral squamous cell carcinoma PMID: 24386298
  48. Lin28B is an oncofetal circulating cancer stem cell-like marker associated with recurrence of hepatocellular carcinoma. PMID: 24244607
  49. Genetic variants of LIN28B may be biomarkers for susceptibility to severe radiation pneumonitis in non-small cell lung cancer patients. PMID: 24780874
  50. Consistent with the let-7 microRNA stimulatory role of TRIM71 via Lin28B polyubiquitination. PMID: 24602972

Show More

Hide All

Subcellular Location
Nucleus. Nucleus, nucleolus. Cytoplasm.
Protein Families
Lin-28 family
Tissue Specificity
Expressed at high levels in the placenta and, at mucher lower, in testis and fetal liver. Isoform 1 is only detected in placenta and in moderately and poorly differentiated hepatocellular carcinoma cells (at protein level). Isoform 2 is detected in fetal
Database Links

HGNC: 32207

OMIM: 611044

KEGG: hsa:389421

STRING: 9606.ENSP00000344401

UniGene: Hs.23616

icon of phone
Call us
301-363-4651 (Available 9 a.m. to 5 p.m. CST from Monday to Friday)
icon of address
Address
7505 Fannin St., Ste 610, Room 7 (CUBIO Innovation Center), Houston, TX 77054, USA
icon of social media
Join us with

Subscribe newsletter

Leave a message

* To protect against spam, please pass the CAPTCHA test below.
CAPTCHA verification
© 2007-2025 CUSABIO TECHNOLOGY LLC All rights reserved. 鄂ICP备15011166号-1
×
Place an order now

I. Product details

*
*
*
*

II. Contact details

*
*

III. Ship To

*
*
*
*
*
*
*

IV. Bill To

*
*
*
*
*
*
*
*