MAD2L1BP Recombinant Monoclonal Antibody

Code CSB-RA155738A0HU
Size US$210
Order now
Image
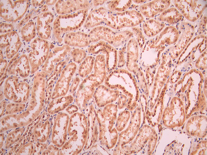
  • IHC image of CSB-RA155738A0HU diluted at 1:100 and staining in paraffin-embedded human kidney tissue performed on a Leica BondTM system. After dewaxing and hydration, antigen retrieval was mediated by high pressure in a citrate buffer (pH 6.0). Section was blocked with 10% normal goat serum 30min at RT. Then primary antibody (1% BSA) was incubated at 4°C overnight. The primary is detected by a Goat anti-rabbit polymer IgG labeled by HRP and visualized using 0.05% DAB.
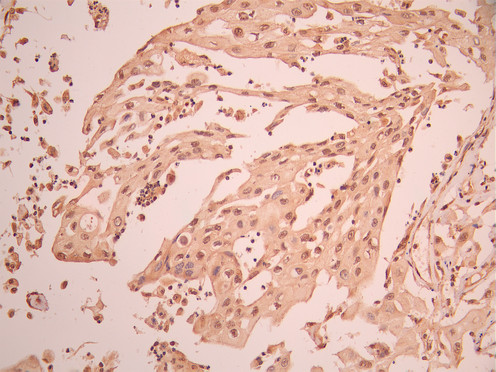
  • IHC image of CSB-RA155738A0HU diluted at 1:100 and staining in paraffin-embedded human cervical cancer performed on a Leica BondTM system. After dewaxing and hydration, antigen retrieval was mediated by high pressure in a citrate buffer (pH 6.0). Section was blocked with 10% normal goat serum 30min at RT. Then primary antibody (1% BSA) was incubated at 4°C overnight. The primary is detected by a Goat anti-rabbit polymer IgG labeled by HRP and visualized using 0.05% DAB.
  • Immunofluorescence staining of Hela cell with CSB-RA155738A0HU at 1:50 , counter-stained with DAPI. The cells were fixed in 4% formaldehyde, permeabilized using 0.2% Triton X-100 and blocked in 10% normal Goat Serum. The cells were then incubated with the antibody overnight at 4°C. The secondary antibody was Alexa Fluor 488-congugated AffiniPure Goat Anti-Rabbit IgG(H+L).
  • Overlay Peak curve showing A431 cells stained with CSB-RA155738A0HU (red line) at 1:100. The cells were fixed in 4% formaldehyde and permeated by 0.2% TritonX-100 for 10min. Then 10% normal goat serum to block non-specific protein-protein interactions followed by the antibody (1ug/1*106cells) for 45min at 4℃. The secondary antibody used was FITC-conjugated goat anti-rabbit IgG (H+L) at 1/200 dilution for 35min at 4℃.Control antibody (green line) was Rabbit IgG (1ug/1*106cells) used under the same conditions. Acquisition of >10, 000 events was performed.
Have Questions? Leave a Message or Start an on-line Chat

Product Details

Uniprot No.
Target Names
MAD2L1BP
Alternative Names
Caught by MAD2 protein antibody; CMT2 antibody; dJ261G23.1 antibody; KIAA0110 antibody; MAD2L1 binding protein antibody; MAD2L1 binding protein isoform 2 antibody; MAD2L1-binding protein antibody; Mad2l1bp antibody; MD2BP_HUMAN antibody; MGC11282 antibody; OTTHUMP00000016496 antibody; RP1 261G23.6 antibody
Species Reactivity
Human
Immunogen
A synthesized peptide from human MAD2L1BP protein
Immunogen Species
Homo sapiens (Human)
Conjugate
Non-conjugated
Clonality
Monoclonal
Isotype
Rabbit IgG
Clone No.
18A12
Purification Method
Affinity-chromatography
Concentration
It differs from different batches. Please contact us to confirm it.
Buffer
Rabbit IgG in 10mM phosphate buffered saline , pH 7.4, 150mM sodium chloride, 0.05% BSA, 0.02% sodium azide and 50% glycerol.
Form
Liquid
Tested Applications
ELISA, IHC, IF, FC
Recommended Dilution
Application Recommended Dilution
IHC 1:50-1:200
IF 1:50-1:200
FC 1:50-1:200
Troubleshooting and FAQs
Storage
Upon receipt, store at -20°C or -80°C. Avoid repeated freeze.
Lead Time
Basically, we can dispatch the products out in 1-3 working days after receiving your orders. Delivery time maybe differs from different purchasing way or location, please kindly consult your local distributors for specific delivery time.
Usage
For Research Use Only. Not for use in diagnostic or therapeutic procedures.

Customer Reviews and Q&A

 Customer Reviews

There are currently no reviews for this product.

Submit a Review here

Target Background

Function
May function to silence the spindle checkpoint and allow mitosis to proceed through anaphase by binding MAD2L1 after it has become dissociated from the MAD2L1-CDC20 complex.
Gene References into Functions
  1. MAD2-p31(comet) axis may serve as a potential therapeutic target for glioma. PMID: 29408509
  2. p31comet-induced cell death is mediated by interactions with Mad2 PMID: 26544187
  3. joint action of TRIP13 and p31(comet) also promotes the release of Mad2 from MCC, participates in the complete disassembly of MCC and abrogates checkpoint inhibition of APC/C PMID: 25092294
  4. Altered p31(Comet):Mad2 expression ratios may provide new insight into altered spindle assembly checkpoint function and the generation of chromosomal instability in tumors. PMID: 24131926
  5. attenuating the affinity of p31(Comet) for Mad2 by phosphorylation promotes SAC activity in mitosis. Specifically, phosphorylation of Ser-102 weakens p31(Comet)-Mad2 binding and enhances p31(Comet)-mediated bypass of the SAC. PMID: 24596092
  6. study found p31(comet) traffics on and off kinetochores and also present in the cytosol; Cells depleted of p31(comet) arrest in metaphase with mature bipolar kinetochore-microtubule attachments; propose that p31(comet) is an essential component of machinery that silences the checkpoint during each cell cycle PMID: 21965286
  7. the importance of p31(comet) in checkpoint silencing and its potential as a target for antimitotic therapies. PMID: 22544748
  8. The binding of p31(comet) to Mad2 in mitotic checkpoint complex may trigger a conformational change in Cdc20 that facilitates its phosphorylation by Cdk, and that the latter process may promote its dissociation from BubR1. PMID: 22566641
  9. both p31(comet) and ubiquitination of Cdc20 are critical mechanisms of checkpoint inactivation. They act redundantly to promote Mad2 dissociation from Cdc20 PMID: 21937719
  10. p31(comet) negatively regulates the spindle assembly checkpoint by extracting Mad2 from the MCC. PMID: 22100920
  11. This review presents knowledge of CMT2 and possible pathogenetic mechanisms responsible for the disease PMID: 22235654
  12. p31comet localizes to kinetochores in a C-Mad2-dependent manner. the Mad1:C-Mad2 complex undergoes regulation by p31comet-dependent 'capping'. PMID: 21772247
  13. Although p31(comet) binds to Mad2, it promotes the dissociation of Cdc20 from BubR1 in MCC. PMID: 21300909
  14. p31(comet, formerly known as Cmt2) counteracts the function of Mad2 and is required for the silencing of the spindle checkpoint PMID: 15257285
  15. p31(comet) does not have an impact on the formation of aneuploidy and tetraploidy found in human hepatocellular carcinoma. PMID: 17934339
  16. Data suggest that p31(comet)(CMT2) exploits the two-state behavior of Mad2 to block its activation by acting as an "anti-Mad2." PMID: 18022368
  17. p31(comet) induces tumor cell senescence by mediating p21(Waf1/Cip1) accumulation and Mad2 disruption and that these effects are dependent on a direct interaction of p31(comet) with Mad2. PMID: 19276188

Show More

Hide All

Subcellular Location
Nucleus. Cytoplasm, cytoskeleton, spindle. Note=During early mitosis, unevenly distributed throughout the nucleoplasm. From metaphase to anaphase, concentrated on the spindle.
Protein Families
MAD2L1BP family
Database Links

HGNC: 21059

KEGG: hsa:9587

STRING: 9606.ENSP00000410818

UniGene: Hs.122346

icon of phone
Call us
301-363-4651 (Available 9 a.m. to 5 p.m. CST from Monday to Friday)
icon of address
Address
7505 Fannin St., Ste 610, Room 7 (CUBIO Innovation Center), Houston, TX 77054, USA
icon of social media
Join us with

Subscribe newsletter

Leave a message

* To protect against spam, please pass the CAPTCHA test below.
CAPTCHA verification
© 2007-2025 CUSABIO TECHNOLOGY LLC All rights reserved. 鄂ICP备15011166号-1
×
Place an order now

I. Product details

*
*
*
*

II. Contact details

*
*

III. Ship To

*
*
*
*
*
*
*

IV. Bill To

*
*
*
*
*
*
*
*