MAPK7 Recombinant Monoclonal Antibody

Code CSB-RA148565A0HU
Size US$210
Order now
Image
  • Western Blot
    , Positive WB detected in:Hela whole cell lysate(30µg), MCF-7 whole cell lysate(30µg), Jurkat whole cell lysate(30µg), HEK293 whole cell lysate(30µg), COLO-205 whole cell lysate(30µg), SH-SY5Y whole cell lysate(30µg), Mouse brain tissue lysate(30µg), Rat brain tissue lysate(30µg)
    All lanes: ERK5 antibody at 1:1000
    Secondary
    Goat polyclonal to rabbit IgG at 1/40000 dilution
    Predicted band size: 88 kDa
    Observed band size: 115 kDa
    Exposure time:2min
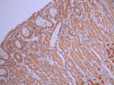
  • IHC image of CSB-RA148565A0HU diluted at 1:100 and staining in paraffin-embedded human stomach tissue performed on a Leica BondTM system. After dewaxing and hydration, antigen retrieval was mediated by high pressure in a citrate buffer (pH 6.0). Section was blocked with 10% normal goat serum 30min at RT. Then primary antibody (1% BSA) was incubated at 4°C overnight. The primary is detected by a Goat anti-rabbit polymer IgG labeled by HRP and visualized using 0.05% DAB.
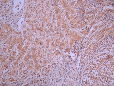
  • IHC image of CSB-RA148565A0HU diluted at 1:100 and staining in paraffin-embedded human liver cancer performed on a Leica BondTM system. After dewaxing and hydration, antigen retrieval was mediated by high pressure in a citrate buffer (pH 6.0). Section was blocked with 10% normal goat serum 30min at RT. Then primary antibody (1% BSA) was incubated at 4°C overnight. The primary is detected by a Goat anti-rabbit polymer IgG labeled by HRP and visualized using 0.05% DAB.
  • Immunofluorescence staining of Hela cell with CSB-RA148565A0HU at 1:50 , counter-stained with DAPI. The cells were fixed in 4% formaldehyde, permeabilized using 0.2% Triton X-100 and blocked in 10% normal Goat Serum. The cells were then incubated with the antibody overnight at 4°C. The secondary antibody was Alexa Fluor 488-congugated AffiniPure Goat Anti-Rabbit IgG(H+L).
Have Questions? Leave a Message or Start an on-line Chat

Product Details

Uniprot No.
Target Names
Alternative Names
Big MAP kinase 1 antibody; BMK 1 antibody; BMK 1 kinase antibody; BMK-1 antibody; BMK1 antibody; BMK1 Kinase antibody; EC 2.7.11.24 antibody; ERK 4 antibody; ERK 5 antibody; ERK-5 antibody; ERK4 antibody; ERK5 antibody; Extracellular signal regulated kinase 5 antibody; Extracellular signal-regulated kinase 5 antibody; MAP kinase 7 antibody; MAPK 7 antibody; MAPK7 antibody; Mitogen activated protein kinase 7 antibody; Mitogen-activated protein kinase 7 antibody; MK07_HUMAN antibody; OTTHUMP00000065906 antibody; OTTHUMP00000065907 antibody; PRKM 7 antibody; PRKM7 antibody; PROTEIN KINASE; MITOGEN-ACTIVATED; 7 antibody
Species Reactivity
Human, Mouse, Rat
Immunogen
A synthesized peptide from human MAPK7 protein
Immunogen Species
Homo sapiens (Human)
Conjugate
Non-conjugated
Clonality
Monoclonal
Isotype
Rabbit IgG
Clone No.
19F12
Purification Method
Affinity-chromatography
Concentration
It differs from different batches. Please contact us to confirm it.
Buffer
Rabbit IgG in 10mM phosphate buffered saline , pH 7.4, 150mM sodium chloride, 0.05% BSA, 0.02% sodium azide and 50% glycerol.
Form
Liquid
Tested Applications
ELISA, WB, IHC, IF
Recommended Dilution
Application Recommended Dilution
WB 1:500-1:5000
IHC 1:50-1:200
IF 1:50-1:200
Troubleshooting and FAQs
Storage
Upon receipt, store at -20°C or -80°C. Avoid repeated freeze.
Lead Time
Basically, we can dispatch the products out in 1-3 working days after receiving your orders. Delivery time maybe differs from different purchasing way or location, please kindly consult your local distributors for specific delivery time.
Usage
For Research Use Only. Not for use in diagnostic or therapeutic procedures.

Customer Reviews and Q&A

 Customer Reviews

There are currently no reviews for this product.

Submit a Review here

Target Background

Function
Plays a role in various cellular processes such as proliferation, differentiation and cell survival. The upstream activator of MAPK7 is the MAPK kinase MAP2K5. Upon activation, it translocates to the nucleus and phosphorylates various downstream targets including MEF2C. EGF activates MAPK7 through a Ras-independent and MAP2K5-dependent pathway. May have a role in muscle cell differentiation. May be important for endothelial function and maintenance of blood vessel integrity. MAP2K5 and MAPK7 interact specifically with one another and not with MEK1/ERK1 or MEK2/ERK2 pathways. Phosphorylates SGK1 at Ser-78 and this is required for growth factor-induced cell cycle progression. Involved in the regulation of p53/TP53 by disrupting the PML-MDM2 interaction.
Gene References into Functions
  1. Regulation of atypical MAP kinases ERK3 and ERK4 by the phosphatase DUSP2 has been reported. PMID: 28252035
  2. that Capn4 promotes cell proliferation by increasing MAPK7 expression PMID: 29331389
  3. ERK5 is highly expressed in human tumor-associated macrophages.ERK5 plays a role in the tumor-associated macrophage polarization via STAT3. PMID: 29507229
  4. The reduction of MAPK7 pathway activity and the loss of MAPK7 gene expression induce damaged osteogenesis via RPS6KA3 and/or its substrates. PMID: 30032135
  5. Findings revealed that ERK5-mediated EMT was critically involved in benzidine-correlated BC progression. PMID: 29463068
  6. MiR-143-3p inhibits the proliferation, cell migration and invasion of human breast cancer cells by modulating the expression of MAPK7 PMID: 29360495
  7. High ERK5 expression is associated with malignant pleural mesothelioma. PMID: 28560410
  8. Small interfering RNA knockdown of MAPK7 demonstrated that MAPK7 regulates a subset of WNK1-regulated genes and controls the migration and cell proliferation PMID: 29025069
  9. The data suggest that miR-143 might represent a novel genetic element to enhance production of difficult-to-express proteins in CHO cells which may be partly mediated by down-regulation of MAPK7. PMID: 28371547
  10. our findings suggest that rare coding variants in MAPK7 predispose to AIS, providing clues to understanding the mechanisms of AIS. PMID: 28714182
  11. ERK5 associates with CKII to play essential roles in GPIb-IX-mediated platelet activation via the PTEN/PI3K/Akt pathway. PMID: 28603902
  12. For gain and loss of function studies, constitutively active MEK5 (CA-MEK5) and ERK5 shRNA lentiviruses were used to activate or knock down extracellular signal-regulated kinase 5 (ERK5). Our results confirmed that low concentrations of H2O2 promoted HUVECs angiogenesis in vitro, and ERK5 is an essential mediator of this process. Therefore, ERK5 may be a potential therapeutic target for promoting angiogenesis PMID: 28540300
  13. ERK5 expression was increased in 58% of cases and associated with the presence of metastasis and more advanced stages in clear cell renal cell carcinoma patients. ERK5 may be a new prognostic marker in this type of tumor. PMID: 27836247
  14. FOXF1 promotes prostate tumor growth and progression by activating ERK5 signaling PMID: 27165781
  15. CCh induced TGF-beta1 self-sustaining signaling loops by potentiating ERK5 signaling and promoted myofibroblast activity. This autocrine signaling mechanism may be an attractive therapeutic target to block the fibrotic response, which was modulated by the combination of glycopyrronium and indacaterol. PMID: 28284212
  16. In the current study, five structures of the ERK5 kinase domain co-crystallized with ERK5 inhibitors are reported. Interestingly, three of the compounds bind at a novel allosteric binding site in ERK5, while the other two bind at the typical ATP-binding site. PMID: 27139631
  17. Our results indicate that overexpression of MAPK7 in human OS cells could promote cell proliferation, migration and invasion, whereas knockdown of MAPK7 expression had the opposite effect. All the results suggest that MAPK7 may serve as a potent target for drug development. PMID: 26350187
  18. Statin mediated ERK5 activation and the resulting decrease in cardiac endothelial cell permeability may contribute to the cardioprotective effects of statins in reducing doxorubicin-induced cardiotoxicity. PMID: 28639275
  19. These findings suggest that atherogenic conditions critically regulate platelet CD36 signaling by increasing superoxide radical anion and hydrogen peroxide through a mechanism that promotes activation of MAPK ERK5. PMID: 28336528
  20. expression of miR-143 in osteosarcoma cells inhibited cell proliferation and migration/invasion. Bioinformatics and luciferase reporter assays confirmed that MAPK7 was targets gene of miR-143. PMID: 28734729
  21. miR-143 down-regulated its target ERK5, leading to the suppression of epithelial-mesenchymal transition induced by GSK-3beta/Snail signaling of breast cancer. PMID: 26618772
  22. this study revealed the functional and mechanistic links between CDK5 and the oncogenic ERK5-AP-1 signaling pathway in the pathogenesis of colorectal cancer. PMID: 27735944
  23. Present study revealed the positive role of ERK5/AP-1 in benzidine-provoked urocystic epithelial-mesenchymal transition and the curcumin promising use in bladder cancer prevention and intervention via ERK5/AP-1 pathway. PMID: 28259934
  24. miR-200b-3p suppresses glioma tumor growth, invasion, and reverses EMT through downregulated its target ERK5. PMID: 27545608
  25. Results indicate that MAPK7 may be modulating the growth, proliferation, migration and invasion of osteosarcoma cells. PMID: 26460937
  26. Thus ERK5 signaling is unlikely to play a role in tumor cell proliferation downstream of KRAS or BRAF or in tumor cells with ERK5 amplification. These results have important implications for the role of ERK5 as an anti-cancer drug target PMID: 26959608
  27. data implied the up-regulated MAPK7 might contribute to ovarian cancer metastasis PMID: 26617753
  28. The results pf this study indicated that BMK1 modulation by miR-429 has an important function in glioma invasion both in vitro and in vivo. PMID: 26272601
  29. Extracellular signal-regulated kinase 5 promotes acute cellular and systemic inflammation. PMID: 26307013
  30. ERK5 negatively regulates cigarette smoke-mediated pulmonary epithelial mesenchymal transformation. PMID: 25965818
  31. Our findings define ERK5 as a novel kinase that modulates the levels of TCR/CD3 at the cell surface by promoting CD3zeta degradation and TCR/CD3 recovery after TCR stimulation. PMID: 26302753
  32. we demonstrated for the first time that ERK5 positively regulated CS-mediated EMT in urothelial cells, as evidenced by the findings that CS promoted ERK5 activation and that the CS-triggered alteration in the EMT phenotype was reversed by ERK5 inhibition PMID: 26177962
  33. The TRAF4-ERK5 is a dominant pathway in human skin squamous cell carcinoma. PMID: 26347473
  34. data highlight a broader role for dysregulated MAPK7 in driving tumorigenesis within niche populations of highly prevalent tumor types, and describe current efforts in establishing a robust drug discovery screening cascade. PMID: 26040563
  35. Cdc42 may promote breast cancer cell migration and invasion by inhibiting ERK5 phosphorylation and ERK5 expression may be inversely correlated with the progression of some breast tumors. PMID: 25160664
  36. Phosphorylation of ERK5 on Thr732 is associated with ERK5 nuclear localization and ERK5-dependent transcription PMID: 25689862
  37. ERK5 regulates the development and growth of hepatocellular carcinoma. PMID: 25183205
  38. This study reveals a novel role for the ERK5-MEF2 cascade, linking bFGF-induced PAI-1 expression and subsequent mitogenic processes in lung fibroblasts. PMID: 26032256
  39. ERK5 knockdown inhibits invasion of osteosarcoma cells through modulation of Slug and MMP-9 expression. PMID: 25317798
  40. Provide first evidence for existence of a previously unknown Erk5/KLF2/PAK1 axis, which may limit undesired cell migration in unperturbed endothelium and lower its sensitivity for migratory cues that promote vascular diseases including atherosclerosis. PMID: 25388666
  41. ERK5 mediates ALK-induced transcription of MYCN and proliferation of neuroblastoma. PMID: 25351247
  42. High ERK5 expression is associated with colorectal cancer. PMID: 25662172
  43. ERK-5 is required for T cell receptor-induced and oxidative stress-induced full Sirtuin 1 expression PMID: 24880091
  44. miR-143 and miR-145 and the predicted target proteins API5, ERK5, K-RAS, and IRS-1 display regional differences in expression in the colon PMID: 25477374
  45. Hormone activation of ERalpha determined the subcellular localization of ERK5, which functions as a coregulator of ERalpha-dependent gene transcription. PMID: 24505128
  46. ERK5 activity negatively controls the expression of M-CSFR and retards differentiation from monocyte to macrophage. PMID: 25447310
  47. study has identified statins and antimalarial drugs as strong ERK5 activators and shown that ERK5 activation is preventive of endothelial inflammation and dysfunction and acute allograft rejection. PMID: 25187658
  48. Inhibitors of apoptosis proteins regulate myogenic differentiation by directly suppressing MEKK2/3-MEK5-ERK5 signaling. PMID: 24975362
  49. results document the expression of ERK5 in degenerated nucleus pulposus tissues, and suggest a potential involvement of ERK5 in human degenerated nucleus pulposus PMID: 24857985
  50. findings indicate that ERK5 plays a critical role in TGF-beta1-induced pulmonary fibrosis via enhancing Smad3 acetylation. PMID: 24095924

Show More

Hide All

Subcellular Location
Cytoplasm. Nucleus. Nucleus, PML body. Note=Translocates to the nucleus upon activation.
Protein Families
Protein kinase superfamily, CMGC Ser/Thr protein kinase family, MAP kinase subfamily
Tissue Specificity
Expressed in many adult tissues. Abundant in heart, placenta, lung, kidney and skeletal muscle. Not detectable in liver.
Database Links

HGNC: 6880

OMIM: 602521

KEGG: hsa:5598

STRING: 9606.ENSP00000311005

UniGene: Hs.150136

icon of phone
Call us
301-363-4651 (Available 9 a.m. to 5 p.m. CST from Monday to Friday)
icon of address
Address
7505 Fannin St., Ste 610, Room 7 (CUBIO Innovation Center), Houston, TX 77054, USA
icon of social media
Join us with

Subscribe newsletter

Leave a message

* To protect against spam, please pass the CAPTCHA test below.
CAPTCHA verification
© 2007-2025 CUSABIO TECHNOLOGY LLC All rights reserved. 鄂ICP备15011166号-1
×
Place an order now

I. Product details

*
*
*
*

II. Contact details

*
*

III. Ship To

*
*
*
*
*
*
*

IV. Bill To

*
*
*
*
*
*
*
*