MARK3 Recombinant Monoclonal Antibody

Code CSB-RA091918A0HU
Size US$210
Order now
Image
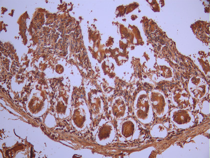
  • IHC image of CSB-RA091918A0HU diluted at 1:100 and staining in paraffin-embedded human small intestine tissue performed on a Leica BondTM system. After dewaxing and hydration, antigen retrieval was mediated by high pressure in a citrate buffer (pH 6.0). Section was blocked with 10% normal goat serum 30min at RT. Then primary antibody (1% BSA) was incubated at 4°C overnight. The primary is detected by a Goat anti-rabbit polymer IgG labeled by HRP and visualized using 0.05% DAB.
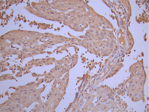
  • IHC image of CSB-RA091918A0HU diluted at 1:100 and staining in paraffin-embedded human cervical cancer performed on a Leica BondTM system. After dewaxing and hydration, antigen retrieval was mediated by high pressure in a citrate buffer (pH 6.0). Section was blocked with 10% normal goat serum 30min at RT. Then primary antibody (1% BSA) was incubated at 4°C overnight. The primary is detected by a Goat anti-rabbit polymer IgG labeled by HRP and visualized using 0.05% DAB.
  • Overlay Peak curve showing Hela cells stained with CSB-RA091918A0HU (red line) at 1:100. The cells were fixed in 4% formaldehyde and permeated by 0.2% TritonX-100 for 10min. Then 10% normal goat serum to block non-specific protein-protein interactions followed by the antibody (1ug/1*106cells) for 45min at 4℃. The secondary antibody used was FITC-conjugated goat anti-rabbit IgG (H+L) at 1/200 dilution for 35min at 4℃.Control antibody (green line) was Rabbit IgG (1ug/1*106cells) used under the same conditions. Acquisition of >10, 000 events was performed.
Have Questions? Leave a Message or Start an on-line Chat

Product Details

Uniprot No.
Target Names
Alternative Names
C-TAK1 antibody; Cdc25C associated protein kinase 1 antibody; Cdc25C-associated protein kinase 1 antibody; cTAK1 antibody; ELKL motif kinase 2 antibody; EMK-2 antibody; Emk2 antibody; ETK 1 antibody; KIAA4230 antibody; KP78 antibody; MAP microtubule affinity regulating kinase 3 antibody; MAP/microtubule affinity-regulating kinase 3 antibody; Mark3 antibody; MARK3_HUMAN antibody; Par 1a antibody; PAR1A antibody; Protein kinase STK10 antibody; Ser/Thr protein kinase PAR-1 antibody; Serine threonine protein kinase p78 antibody; Serine/threonine-protein kinase p78 antibody; SerThr protein kinase PAR 1 antibody
Species Reactivity
Human
Immunogen
A synthesized peptide from human MARK3 protein
Immunogen Species
Homo sapiens (Human)
Conjugate
Non-conjugated
Clonality
Monoclonal
Isotype
Rabbit IgG
Clone No.
5C7
Purification Method
Affinity-chromatography
Concentration
It differs from different batches. Please contact us to confirm it.
Buffer
Rabbit IgG in 10mM phosphate buffered saline , pH 7.4, 150mM sodium chloride, 0.05% BSA, 0.02% sodium azide and 50% glycerol.
Form
Liquid
Tested Applications
ELISA, IHC, FC
Recommended Dilution
Application Recommended Dilution
IHC 1:50-1:200
FC 1:50-1:200
Troubleshooting and FAQs
Storage
Upon receipt, store at -20°C or -80°C. Avoid repeated freeze.
Lead Time
Basically, we can dispatch the products out in 1-3 working days after receiving your orders. Delivery time maybe differs from different purchasing way or location, please kindly consult your local distributors for specific delivery time.
Usage
For Research Use Only. Not for use in diagnostic or therapeutic procedures.

Customer Reviews and Q&A

 Customer Reviews

There are currently no reviews for this product.

Submit a Review here

Target Background

Function
Serine/threonine-protein kinase. Involved in the specific phosphorylation of microtubule-associated proteins for MAP2 and MAP4. Phosphorylates the microtubule-associated protein MAPT/TAU. Phosphorylates CDC25C on 'Ser-216'. Regulates localization and activity of some histone deacetylases by mediating phosphorylation of HDAC7, promoting subsequent interaction between HDAC7 and 14-3-3 and export from the nucleus. Negatively regulates the Hippo signaling pathway and antagonizes the phosphorylation of LATS1. Cooperates with DLG5 to inhibit the kinase activity of STK3/MST2 toward LATS1.
Gene References into Functions
  1. Authors identified a regulatory switch controlled by MARK3 that couples microtubules to the actin cytoskeleton to establish epithelial cell polarity through ARHGEF2. PMID: 29089450
  2. findings indicate that brain PP-1I associates with and is regulated by the associated protein kinases C-TAK1 and PFTK1 PMID: 25028520
  3. We have shown that serum ALP levels modified the association of MARK3 with bone mineral density in osetoporosis for Chinese patients. PMID: 23894155
  4. interaction between Mitf and C-TAK1 was demonstrated. PMID: 20214879
  5. results show that LKB1 can direct the phosphorylation of the serine-threonine kinase PAR1A PMID: 12879020
  6. identify sequence motifs required for stable C-TAK1 association and substrate phosphorylation PMID: 12941695
  7. The C-TAK1/p78 constitutively associates with and phosphorylates KSR1 generating a 14-3-3 binding site. PMID: 15182702
  8. Data show that the protein kinase Cdc25 C-associated kinase 1 (C-TAK1) is a binding partner and a substrate of Pim-1, and suggest a role for Pim-1 as a positive regulator at the G(2)/M transition of the cell cycle. PMID: 15319445
  9. 14-3-3 binding to MARK3 is dependent on phosphorylation. PMID: 16968750
  10. Class IIa histone deacetylases (HDACs) are subjected to signal-independent nuclear export that relies on their constitutive phosphorylation. EMK and C-TAK1, are identified as regulators of this process. PMID: 16980613
  11. identify a molecular mechanism through which the hMARK3 UBA domain has evolved to bind the kinase domain PMID: 17726107
  12. occurrence of an unusual TG 3' splice site in intron 3 PMID: 17672918

Show More

Hide All

Subcellular Location
Cell membrane; Peripheral membrane protein. Cell projection, dendrite. Cytoplasm.
Protein Families
Protein kinase superfamily, CAMK Ser/Thr protein kinase family, SNF1 subfamily
Tissue Specificity
Ubiquitous.
Database Links

HGNC: 6897

OMIM: 602678

KEGG: hsa:4140

STRING: 9606.ENSP00000411397

UniGene: Hs.35828

icon of phone
Call us
301-363-4651 (Available 9 a.m. to 5 p.m. CST from Monday to Friday)
icon of address
Address
7505 Fannin St., Ste 610, Room 7 (CUBIO Innovation Center), Houston, TX 77054, USA
icon of social media
Join us with

Subscribe newsletter

Leave a message

* To protect against spam, please pass the CAPTCHA test below.
CAPTCHA verification
© 2007-2025 CUSABIO TECHNOLOGY LLC All rights reserved. 鄂ICP备15011166号-1
×
Place an order now

I. Product details

*
*
*
*

II. Contact details

*
*

III. Ship To

*
*
*
*
*
*
*

IV. Bill To

*
*
*
*
*
*
*
*