MBD3 Recombinant Monoclonal Antibody

Code CSB-RA072670A0HU
Size US$210
Order now
Image
  • Western Blot
    , Positive WB detected in:COLO205 whole cell lysate(30µg)Mouse brainr tissue lysate(30µg), Rat brain lysate(30µg)
    All lanes: MBD3 antibody at 1:1000
    Secondary
    Goat polyclonal to rabbit IgG at 1/40000 dilution
    Predicted band size: 33 kDa
    Observed band size: 33, 35 kDa
    Exposure time:60s
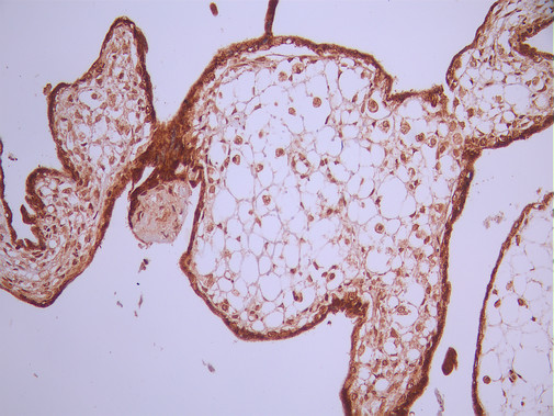
  • IHC image of CSB-RA072670A0HU diluted at 1:100 and staining in paraffin-embedded human placenta tissue performed on a Leica BondTM system. After dewaxing and hydration, antigen retrieval was mediated by high pressure in a citrate buffer (pH 6.0). Section was blocked with 10% normal goat serum 30min at RT. Then primary antibody (1% BSA) was incubated at 4°C overnight. The primary is detected by a Goat anti-rabbit polymer IgG labeled by HRP and visualized using 0.05% DAB.
  • Overlay Peak curve showing Hela cells stained with CSB-RA072670A0HU (red line) at 1:100. The cells were fixed in 4% formaldehyde and permeated by 0.2% TritonX-100 for 10min. Then 10% normal goat serum to block non-specific protein-protein interactions followed by the antibody (1ug/1*106cells) for 45min at 4℃. The secondary antibody used was FITC-conjugated goat anti-rabbit IgG (H+L) at 1/200 dilution for 35min at 4℃.Control antibody (green line) was Rabbit IgG (1ug/1*106cells) used under the same conditions. Acquisition of >10, 000 events was performed.
Have Questions? Leave a Message or Start an on-line Chat

Product Details

Uniprot No.
Target Names
MBD3
Alternative Names
AI181826 antibody; AU019209 antibody; MBD 3 antibody; Mbd3 antibody; MBD3: methyl CpG binding domain protein 3 antibody; MBD3_HUMAN antibody; Methyl CpG binding domain protein 3 antibody; Methyl CpG binding protein MBD3 antibody; Methyl-CpG-binding domain protein 3 antibody; Methyl-CpG-binding protein MBD3 antibody
Species Reactivity
Human, Mouse, Rat
Immunogen
A synthesized peptide from human MBD3 protein
Immunogen Species
Homo sapiens (Human)
Conjugate
Non-conjugated
Clonality
Monoclonal
Isotype
Rabbit IgG
Clone No.
11A5
Purification Method
Affinity-chromatography
Concentration
It differs from different batches. Please contact us to confirm it.
Buffer
Rabbit IgG in 10mM phosphate buffered saline , pH 7.4, 150mM sodium chloride, 0.05% BSA, 0.02% sodium azide and 50% glycerol.
Form
Liquid
Tested Applications
ELISA, WB, IHC, FC
Recommended Dilution
Application Recommended Dilution
WB 1:500-1:5000
IHC 1:50-1:200
FC 1:50-1:200
Troubleshooting and FAQs
Storage
Upon receipt, store at -20°C or -80°C. Avoid repeated freeze.
Lead Time
Basically, we can dispatch the products out in 1-3 working days after receiving your orders. Delivery time maybe differs from different purchasing way or location, please kindly consult your local distributors for specific delivery time.
Usage
For Research Use Only. Not for use in diagnostic or therapeutic procedures.

Customer Reviews and Q&A

 Customer Reviews

There are currently no reviews for this product.

Submit a Review here

Target Background

Function
Acts as transcriptional repressor and plays a role in gene silencing. Does not bind to DNA by itself. Binds to DNA with a preference for sites containing methylated CpG dinucleotides (in vitro). Binds to a lesser degree DNA containing unmethylated CpG dinucleotides. Recruits histone deacetylases and DNA methyltransferases.
Gene References into Functions
  1. Study have demonstrated that MBD3/ NuRD inhibits formation of liver induced cancer stem cells (iCSCs). In addition, MBD3 suppression induces c-JUN, resulting in the induction of pluripotent genes in iCSCs. PMID: 27894081
  2. Suggest that MBD3 exerts influences on both active and silenced genes in glioma cells. PMID: 27835581
  3. MBD3 inhibits epithelial-mesenchymal transition in pancreatic cancer cells probably via TGF-beta/Smad signaling and may be a candidate for diagnostics and prognosis of pancreatic cancer. PMID: 27898661
  4. Overexpression of MBD3 is associated with neoplasms. PMID: 27465550
  5. Insufficient MBD3 induced by small interfering RNA (siRNA) was found to result in a global DNA hypermethylation as well as increased methylation in the promoter CpG islands (CGIs) of a number of cell cycle related genes. PMID: 25753672
  6. This study investigates the genetic association between methyl-CpG-binding domain (MBD) gene polymorphisms and schizophrenia. PMID: 24849540
  7. These data suggest that MBD3, and by extension the NuRD complex, may have multiple roles in fine tuning expression for both active and silent genes, representing an important step in defining regulatory mechanisms PMID: 24385926
  8. reduced mRNA expression of MBD2 and MBD3 is implicated in gastric carcinogenesis. PMID: 24338710
  9. MBD3 is enriched at active promoters, whereas MBD2 is bound at methylated promoters and enriched at exon sequences of active genes. PMID: 23361464
  10. These factors lead to a binding affinity hierarchy of p66alpha for the different MBD2 homologues (MBD2 approximately MBD3 > MBD3L1 approximately MBD3L2). PMID: 23239876
  11. MBD3 mutations are not responsible for ICR1 hypomethylation in Silver-Russell syndrome. PMID: 20004753
  12. MBD3 is highly expressed in glioblastome multiforme compared to astrocytoma and anaplastic astrocytoma PMID: 11836615
  13. interaction with two highly related p66 proteins PMID: 12183469
  14. localization in Aurora-A-positive centrosomes in M phase PMID: 12354758
  15. MBD3L2 interacts with MBD3 and components of the NuRD complex and can oppose MBD2-MeCP1-mediated methylation silencing PMID: 15701600
  16. MBD3 assembles into mutually exclusive distinct Mi-2/NuRD-like complex, called MBD3/NuRD. PMID: 16428440
  17. This is the first demonstration that MBD3 is involved in inducing and maintaining the demethylated state of a specific promoter. PMID: 17452452
  18. data demonstrate a causal relationship between MBD3 and DNA demethylation of genomic targets in cells. PMID: 18602768
  19. Study demonstrates a direct role of the MBD3, a subunit of nucleosome remodeling and deacetylase corepressor complex complex in aberrant gene repression and transmission of epigenetic repressive marks in acute promyelocytic leukemia. PMID: 18644863
  20. These findings collectively support a role for MBD3 in cell cycle progression and cell death as a modulator of HDAC-mediated transcription. PMID: 19041848

Show More

Hide All

Subcellular Location
Nucleus. Chromosome. Note=Nuclear, in discrete foci. Detected on chromatin, at promoter regions of active genes.
Database Links

HGNC: 6918

OMIM: 603573

KEGG: hsa:53615

STRING: 9606.ENSP00000156825

UniGene: Hs.178728

icon of phone
Call us
301-363-4651 (Available 9 a.m. to 5 p.m. CST from Monday to Friday)
icon of address
Address
7505 Fannin St., Ste 610, Room 7 (CUBIO Innovation Center), Houston, TX 77054, USA
icon of social media
Join us with

Subscribe newsletter

Leave a message

* To protect against spam, please pass the CAPTCHA test below.
CAPTCHA verification
© 2007-2025 CUSABIO TECHNOLOGY LLC All rights reserved. 鄂ICP备15011166号-1
×
Place an order now

I. Product details

*
*
*
*

II. Contact details

*
*

III. Ship To

*
*
*
*
*
*
*

IV. Bill To

*
*
*
*
*
*
*
*