MOG Recombinant Monoclonal Antibody

Code CSB-RA805422A0HU
Size US$210
Order now
Image
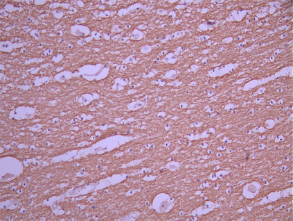
  • IHC image of CSB-RA805422A0HU diluted at 1:100 and staining in paraffin-embedded human brain tissue performed on a Leica BondTM system. After dewaxing and hydration, antigen retrieval was mediated by high pressure in a citrate buffer (pH 6.0). Section was blocked with 10% normal goat serum 30min at RT. Then primary antibody (1% BSA) was incubated at 4°C overnight. The primary is detected by a Goat anti-rabbit polymer IgG labeled by HRP and visualized using 0.05% DAB.
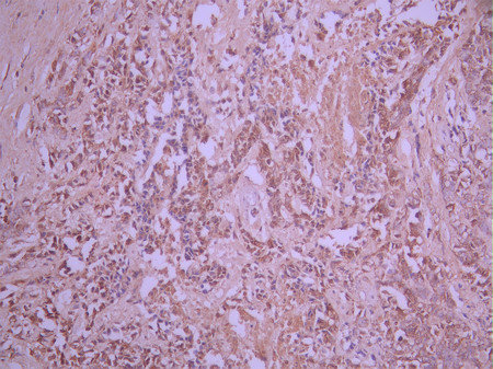
  • IHC image of CSB-RA805422A0HU diluted at 1:100 and staining in paraffin-embedded human breast cancer performed on a Leica BondTM system. After dewaxing and hydration, antigen retrieval was mediated by high pressure in a citrate buffer (pH 6.0). Section was blocked with 10% normal goat serum 30min at RT. Then primary antibody (1% BSA) was incubated at 4°C overnight. The primary is detected by a Goat anti-rabbit polymer IgG labeled by HRP and visualized using 0.05% DAB.
Have Questions? Leave a Message or Start an on-line Chat

Product Details

Uniprot No.
Target Names
Alternative Names
BTN6 antibody; BTNL11 antibody; MGC26137 antibody; MOG alpha 5 antibody; MOG alpha 6 antibody; MOG AluA antibody; MOG AluB antibody; MOG antibody; MOG Ig AluB antibody; MOG_HUMAN antibody; MOGIG2 antibody; Myelin oligodendrocyte glycoprotein antibody; Myelin-oligodendrocyte glycoprotein antibody; NRCLP7 antibody
Species Reactivity
Human
Immunogen
A synthesized peptide from human MOG protein
Immunogen Species
Homo sapiens (Human)
Conjugate
Non-conjugated
Clonality
Monoclonal
Isotype
Rabbit IgG
Clone No.
21D2
Purification Method
Affinity-chromatography
Concentration
It differs from different batches. Please contact us to confirm it.
Buffer
Rabbit IgG in 10mM phosphate buffered saline , pH 7.4, 150mM sodium chloride, 0.05% BSA, 0.02% sodium azide and 50% glycerol.
Form
Liquid
Tested Applications
ELISA, IHC
Recommended Dilution
Application Recommended Dilution
IHC 1:50-1:200
Troubleshooting and FAQs
Storage
Upon receipt, store at -20°C or -80°C. Avoid repeated freeze.
Lead Time
Basically, we can dispatch the products out in 1-3 working days after receiving your orders. Delivery time maybe differs from different purchasing way or location, please kindly consult your local distributors for specific delivery time.
Usage
For Research Use Only. Not for use in diagnostic or therapeutic procedures.

Customer Reviews and Q&A

 Customer Reviews

There are currently no reviews for this product.

Submit a Review here

Target Background

Function
Mediates homophilic cell-cell adhesion. Minor component of the myelin sheath. May be involved in completion and/or maintenance of the myelin sheath and in cell-cell communication.; (Microbial infection) Acts as a receptor for rubella virus.
Gene References into Functions
  1. Anti-MOG positive patients may have manifestations that mimic neuromyelitis optica spectrum disorders but differ in their course and prognosis from anti-AQP4 positive NMOSD. PMID: 26498263
  2. Molecular Dynamics (MD) simulations were used to explore the interactions of MOG35-55 at the receptor level. PMID: 27388119
  3. Adoptive transfer of serum from anti-MOG Ab mice or of purified anti-MOG Ab 8.18C5 into naive 2D2 recipients triggered activation and expansion of T cells followed by severe and robust experimental autoimmune encephalomyelitis, suggesting that the mechanism of anti-MOG Ab-mediated opsonization of auto-antigen may indeed contribute to initiation and propagation of CNS demyelinating disease. PMID: 27022743
  4. Retinal nerve fiber layer may be better preserved in MOG-IgG versus AQP4-IgG optic neuritis. PMID: 28125740
  5. Data show that aquaporin-4 (AQP4) and myelin-oligodendrocyte glycoprotein (MOG) autoantibodies double positive neuromyelitis optica spectrum disorder (NMOSD) patients had a multiphase disease course with a high annual relapse rate. PMID: 26920678
  6. MOG antibody associated optic neuritis tends to involve the anterior optic pathway. PMID: 26163068
  7. This study demonstrated that increased expression of mRNA of OLIG1 in ventral prefrontal white matter in major depressive disorder. PMID: 25930075
  8. In patients with idiopathic optic neuritis, 27.6% (8/29) were positive for MOG antibodies. Three of the eight MOG-positive patients showed significantly high CSF levels of myelin basic protein. Five had optic pain and three had prodromal infection. PMID: 25838512
  9. Immune modulation by a tolerogenic myelin oligodendrocyte glycoprotein (MOG)10-60 containing fusion protein in the marmoset experimental autoimmune encephalomyelitis model. PMID: 25393803
  10. These data demonstrate a new role for myelin glycosylation in the control of immune homeostasis in the healthy human brain through the MOG-DC-SIGN homeostatic regulatory axis, which is comprised by inflammatory insults that affect glycosylation. PMID: 24935259
  11. findings suggest that immune reactions toward MOG and in particular MOG-specific antibodies may play a functional role in multiple sclerosis PMID: 22494461
  12. Patients with neuromyelitis optica spectrum disorders with MOG antibodies have distinct clinical features, fewer attacks, and better recovery than patients with AQP4 antibodies or patients seronegative for both antibodies. PMID: 24415568
  13. Bipolar I disorder and schizophrenia share a number of common genetic risk loci and susceptibility genes including the genes coding for myelin oligodendrocytes glycoprotein (MOG). PMID: 23032943
  14. We could show for the first time that a subset of aquaporin 4-IgG seronegative patients with neuromyelitis optica exhibit a MOG-IgG mediated immune response PMID: 22204662
  15. This study provides valuable information about requirements of anti-myelin oligodendrocyte glycoprotein reactivity for being regarded as a prognostic biomarker in a subtype of MS. PMID: 22093619
  16. The authors found that the human myelin oligodendrocyte glycoprotein (MOG) specifically bound to the E1 envelope glycoprotein of rubella virus, and an antibody against MOG could block rubella virus infection. PMID: 21880773
  17. A missense mutation in myelin oligodendrocyte glycoprotein as a cause of familial narcolepsy with cataplexy. PMID: 21907016
  18. The persistence or disappearance of antibodies to MOG may have prognostic relevance for acute childhood demyelination PMID: 21795651
  19. Conformational structure of the MOG-derived peptide 101-108 in solution. PMID: 20549678
  20. A mutated MOG peptide [MOG97-109] enables detection of MOG97-109-reactive T cells in multiple sclerosis patients bearing the HLA-DRB1*0401 allele. PMID: 21653833
  21. Report provides evidence that the humoral immune response against MOG in children is specific for demyelinating inflammatory CNS disorders. PMID: 21177754
  22. Persistence of MOG antibodies despite viral clearance in a high percentage of HIV-1 associated neurocognitive disorder (HAND) patients suggests ongoing neuroinflammation, possibly preventing recovery from HAND. PMID: 21083890
  23. cell surface-expressed native myelin oligodendrocyte glycoprotein nor linear epitopes have a predictive or discriminative role during the preclinical disease phase for developing clinically isolated syndrome or multiple sclerosis later in life PMID: 20685767
  24. The results of this study have observed that changes in splicing, but not expression levels, are associated with common genetic variation in the MOG gene PMID: 20800907
  25. Our study provides first evidence that the MOG G511C (Val142Leu) polymorphism might be associated with structural changes in the total white matter volumes of OCD patients. PMID: 20452030
  26. identification of T cell epitopes that are encephalitogenic and presented by B cells PMID: 11739534
  27. The B cell and T cell epitopes have been identified in rat MOG-immunized marmosets, and these sequences are observed to map primarily onto accessible regions in the model, which may explain their ability to generate potent antibody responses. PMID: 11895369
  28. A T cell reactivity pattern analysis of multiple sclerosis patients at the onset of relapse or progression shows that there is a highly immunogenic epitope for CD4+ T cells within the transmembrane/intracellular part of MOG comprising amino acids 146-154. PMID: 12077287
  29. MOG-specific antibody is critical to the initiation of MOG-induced murine experimental autoimmune encephalomyelitis PMID: 12115610
  30. polymorphisms do not provide evidence to support a significant role for MOG in multiple sclerosis susceptibility. PMID: 12149493
  31. a substantial proportion of MOG-reactive T cells from some subjects have been activated in vivo without resulting in clinical disease PMID: 12482392
  32. Human MOG is immunogenic and induces experimental autoimmune encephalomyelitis in C57BL/6 mice via an encephalitogenic B cell response to epitopes on human MOG protein that most likely cross-react with mouse determinants. PMID: 12817031
  33. Demonstration of molecular mimicry between MOG and butyrophilin suggests that exposure to this common dietary antigen may influence the composition and function of the MOG-specific autoimmune repertoire during the course of multiple sclerosis. PMID: 14688379
  34. No significant evidence for biased transmission of alleles at the (CA)n (chi2=2.430, 6 df, P=0.876) (TAAA)n (chi2=3.550, 5 df, P=0.616), C1334T (chi2=0.040, 1 df, P=0.841) and C10991T (chi2=0.154,polymorphisms in patients with schizophrenia was seen. PMID: 15660663
  35. In human brain the splice variants of MOG appear at a late stage compared to the major isoform, coincidental with myelination and myelin maturation, unlike other myelin proteins. PMID: 16903876
  36. pathogenic antibody response to native MOG in a subgroup of multiple sclerosis patients PMID: 17142321
  37. This study represents the first evidence of alternative translation products from the MOG gene. To date, it is believed that alternative splicing of MOG is limited to primates. PMID: 17402967
  38. results indicate that variation within the MOG gene is not an important independent determinant of multiple sclerosis -inherited risk in the Sardinian population PMID: 17509152
  39. MOG may be a target of Hoxd1 PMID: 17554625
  40. Our findings highlight myelin oligodendrocyte glycoprotein splicing as a factor that could be critical to the phenotypic expression of multiple sclerosis. PMID: 17573820
  41. The associations observed in Japanese and French patients, the linkage studies and the present work speak in favor of the existence of a susceptibility gene for autism in the NF1 locus. PMID: 17897745
  42. A sequence variation in the MOG gene is involved in multiple sclerosis susceptibility in Italy. PMID: 17928868
  43. although individuals with anti-myelin oligodendrocyte glycoprotein (MOG) antibodies have an increased risk of developing multiple sclerosis, this association may at least in part reflect cross-reactivity between MOG and Epstein-Barr nuclear antigen PMID: 18753473
  44. genetic polymorphism is associated with autism in Sardinian children PMID: 19167444
  45. B cell autoimmunity to this MOG is therefore most common in patients with a very early onset of MS PMID: 19687098

Show More

Hide All

Involvement in disease
Narcolepsy 7 (NRCLP7)
Subcellular Location
[Isoform 1]: Cell membrane; Multi-pass membrane protein.; [Isoform 5]: Cell membrane; Multi-pass membrane protein.; [Isoform 2]: Cell membrane; Single-pass type I membrane protein.; [Isoform 3]: Cell membrane; Single-pass type I membrane protein.; [Isoform 4]: Cell membrane; Single-pass type I membrane protein.; [Isoform 6]: Cell membrane; Single-pass type I membrane protein.; [Isoform 7]: Cell membrane; Single-pass type I membrane protein.; [Isoform 8]: Cell membrane; Single-pass type I membrane protein.; [Isoform 9]: Cell membrane; Single-pass type I membrane protein.
Protein Families
Immunoglobulin superfamily, BTN/MOG family
Tissue Specificity
Found exclusively in the CNS, where it is localized on the surface of myelin and oligodendrocyte cytoplasmic membranes.
Database Links

HGNC: 7197

OMIM: 159465

KEGG: hsa:4340

STRING: 9606.ENSP00000366095

UniGene: Hs.141308

CUSABIO guaranteed quality
icon of phone
Call us
301-363-4651 (Available 9 a.m. to 5 p.m. CST from Monday to Friday)
icon of address
Address
7505 Fannin St., Ste 610, Room 7 (CUBIO Innovation Center), Houston, TX 77054, USA
icon of social media
Join us with

Subscribe newsletter

Leave a message

* To protect against spam, please pass the CAPTCHA test below.
CAPTCHA verification
© 2007-2025 CUSABIO TECHNOLOGY LLC All rights reserved. 鄂ICP备15011166号-1
×
Place an order now

I. Product details

*
*
*
*

II. Contact details

*
*

III. Ship To

*
*
*
*
*
*
*

IV. Bill To

*
*
*
*
*
*
*
*