MRGPRX2 Recombinant Monoclonal Antibody

Code CSB-RA839361MA1HU
Size US$210
Order now
Image
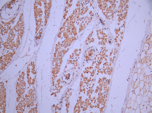
  • IHC image of CSB-RA839361MA1HU diluted at 1:50 and staining in paraffin-embedded human skin tissue performed on a Leica BondTM system. After dewaxing and hydration, antigen retrieval was mediated by high pressure in a citrate buffer (pH 6.0). Section was blocked with 10% normal goat serum 30min at RT. Then primary antibody (1% BSA) was incubated at 4°C overnight. The primary is detected by a Anti-Human lgG, Fcy Fragment Specific labeled by HRP and visualized using 0.05% DAB.
Have Questions? Leave a Message or Start an on-line Chat

Product Details

Uniprot No.
Target Names
Alternative Names
G protein coupled receptor MRGX 2 antibody; G protein coupled receptor MRGX2 antibody; Mas related G protein coupled receptor member X2 antibody; Mas related gene MRGX 2 antibody; Mas related gene MRGX2 antibody; MAS related GPR member X2 antibody; Mas-related G-protein coupled receptor member X antibody; Mas-related G-protein coupled receptor member X2 antibody; MRGPRX 2 antibody; MRGPRX2 antibody; MRGX 2 antibody; MRGX2 antibody; MRGX2_HUMAN antibody
Species Reactivity
Human
Immunogen
Recombinant Human MRGPRX2 protein
Immunogen Species
Homo sapiens (Human)
Conjugate
Non-conjugated
Clonality
Monoclonal
Isotype
hIgG1
Clone No.
6C3
Purification Method
Affinity-chromatography
Concentration
It differs from different batches. Please contact us to confirm it.
Buffer
Preservative: 0.03% Proclin 300
Constituents: 50% Glycerol, 0.01M PBS, PH 7.4
Form
Liquid
Tested Applications
ELISA, IHC
Recommended Dilution
Application Recommended Dilution
IHC 1:50-1:200
Troubleshooting and FAQs
Storage
Upon receipt, store at -20°C or -80°C. Avoid repeated freeze.
Lead Time
Basically, we can dispatch the products out in 1-3 working days after receiving your orders. Delivery time maybe differs from different purchasing way or location, please kindly consult your local distributors for specific delivery time.
Usage
For Research Use Only. Not for use in diagnostic or therapeutic procedures.

Customer Reviews and Q&A

 Customer Reviews

There are currently no reviews for this product.

Submit a Review here

Target Background

Function
Mast cell-specific receptor for basic secretagogues, i.e. cationic amphiphilic drugs, as well as endo- or exogenous peptides, consisting of a basic head group and a hydrophobic core. Recognizes and binds small molecules containing a cyclized tetrahydroisoquinoline (THIQ), such as non-steroidal neuromuscular blocking drugs (NMBDs), including tubocurarine and atracurium. In response to these compounds, mediates pseudo-allergic reactions characterized by histamine release, inflammation and airway contraction. Acts as a receptor for a number of other ligands, including peptides and alkaloids, such as cortistatin-14, proadrenomedullin N-terminal peptides PAMP-12 and, at lower extent, PAMP-20, antibacterial protein LL-37, PMX-53 peptide, beta-defensins, and complanadine A.
Gene References into Functions
  1. Low levels of MRGPRX2 were detected in non-asthma lung mast cells, but its expression was significantly up-regulated in asthma lung mast cells. PMID: 29295703
  2. the present study demonstrates that FceRI and MRGPRX2 function can be inversely regulated by SCF in an acute scenario, suggesting that the signaling requirements differ profoundly between the routes. PMID: 28859248
  3. The authors discuss the possibility that MRGPRX2 responds to various as-yet-unidentified endogenous ligands that have specific characteristics, and propose that MRGPRX2 plays an important role in regulating inflammatory responses to endogenous harmful stimuli, such as protein breakdown products released from damaged or dying cells. PMID: 29484687
  4. these peptides are identified as fragments of albumin. The isolated fragments activate MRGPRX2 and degranulate MRGPRX2 expressing LAD 2 cells in dose-dependent manner. The isolated basic peptides generated from human albumin are able to degranulate mast cells via the MRGPRX2. PMID: 28844982
  5. The results showed a kind of mechanism that sinomenine-induced anaphylactoid reactions were mediated by MRGPRX2 via activating PLC molecular signaling pathways to provoke mast cells Ca(2+) mobilization and degranulation. PMID: 28987593
  6. data suggest that mast cells play important roles in both gingival homeostasis and periodontal disease by orchestrating an interaction between gingival epithelial cells and neutrophils via MRGPRX2-mediated degranulation PMID: 28694291
  7. MRGX2 is related to nociception, adrenal gland secretion and mast cell degranulation. (Review) PMID: 26106044
  8. contributes to larger and longer lasting wheal reactions to intradermally injected neuropeptides in patients with chronic urticaria PMID: 24954276
  9. Ectopic expression of MrgX2 in rat basophilic leukemia RBL-2H3 cells and murine bone marrow mast cells renders these cells responsive to human beta-defensin for degranulation. PMID: 23698749
  10. identified MrgX2 as a novel G protein-coupled receptor for the antibacterial peptide LL-37 and demonstrated that unlike most G protein-coupled receptors it is resistant to agonist-induced receptor phosphorylation, desensitization, and internalization. PMID: 22069323
  11. cortistatin-14 shown to be a high affinity ligand for G protein coupled receptor MrgX2 which is expressed in dorsal root ganglion PMID: 12915402
  12. MRGX2 amino acid substitutions may alter the interactions between MRGX2 protein and its ligand, thus, potentially led to adaptive changes of the pain-perception-related nervous system during human evolution. PMID: 15862286

Show More

Hide All

Subcellular Location
Cell membrane; Multi-pass membrane protein.
Protein Families
G-protein coupled receptor 1 family, Mas subfamily
Tissue Specificity
Mainly expressed in mast cells. Has a limited expression profile, both peripheral and within the central nervous system, with highest levels in dorsal root ganglion. Detected in blood vessels, scattered lymphocytes, and gastrointestinal ganglia (at protei
Database Links

HGNC: 17983

OMIM: 607228

KEGG: hsa:117194

STRING: 9606.ENSP00000333800

UniGene: Hs.350566

icon of phone
Call us
301-363-4651 (Available 9 a.m. to 5 p.m. CST from Monday to Friday)
icon of address
Address
7505 Fannin St., Ste 610, Room 7 (CUBIO Innovation Center), Houston, TX 77054, USA
icon of social media
Join us with

Subscribe newsletter

Leave a message

* To protect against spam, please pass the CAPTCHA test below.
CAPTCHA verification
© 2007-2025 CUSABIO TECHNOLOGY LLC All rights reserved. 鄂ICP备15011166号-1
×
Place an order now

I. Product details

*
*
*
*

II. Contact details

*
*

III. Ship To

*
*
*
*
*
*
*

IV. Bill To

*
*
*
*
*
*
*
*